Aim of lecture:
• To classify urinary congenital anomalies.• Discussing its radiological features.
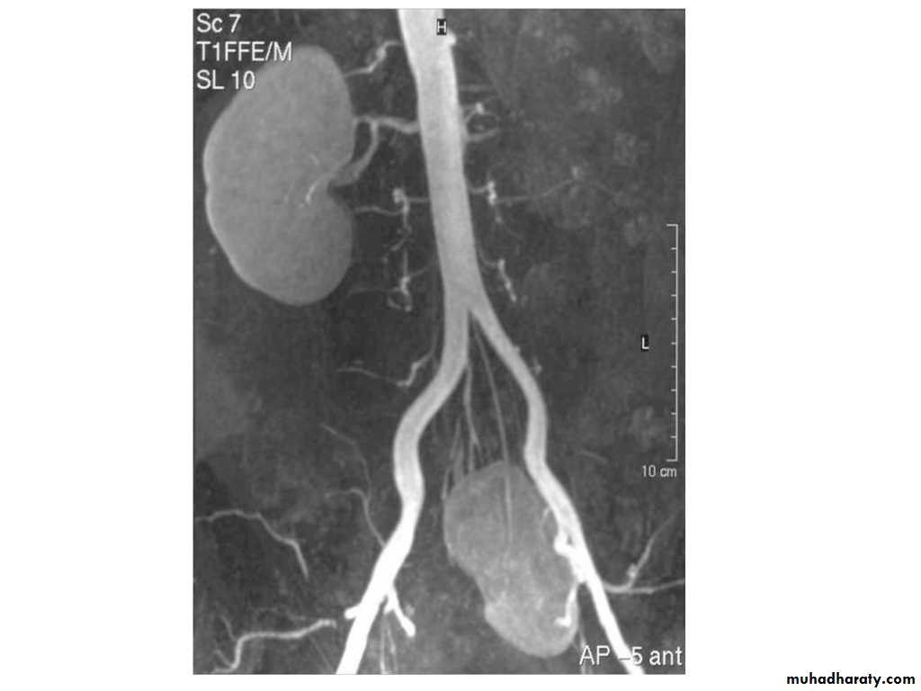
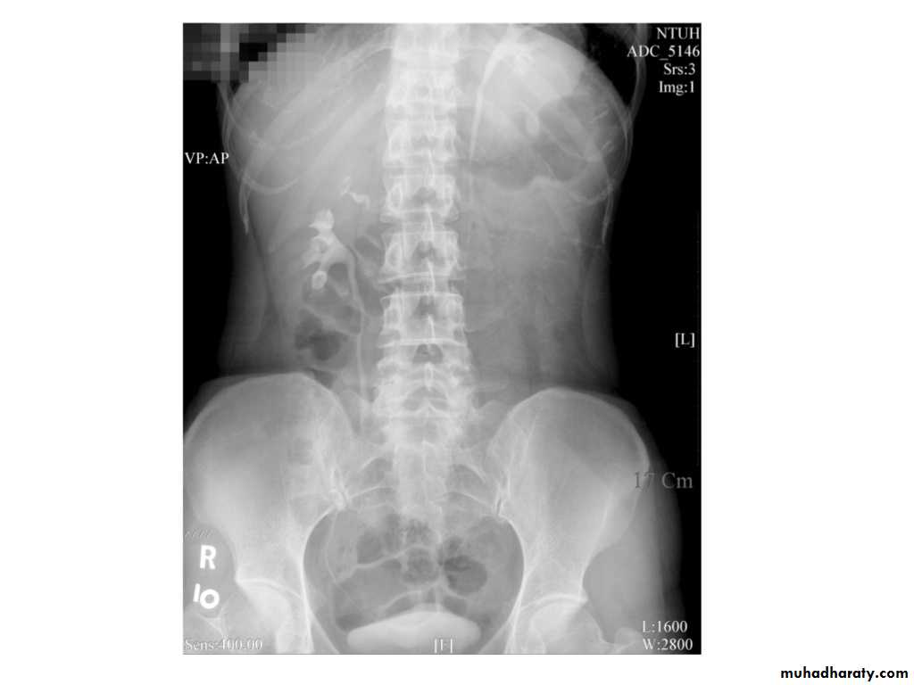
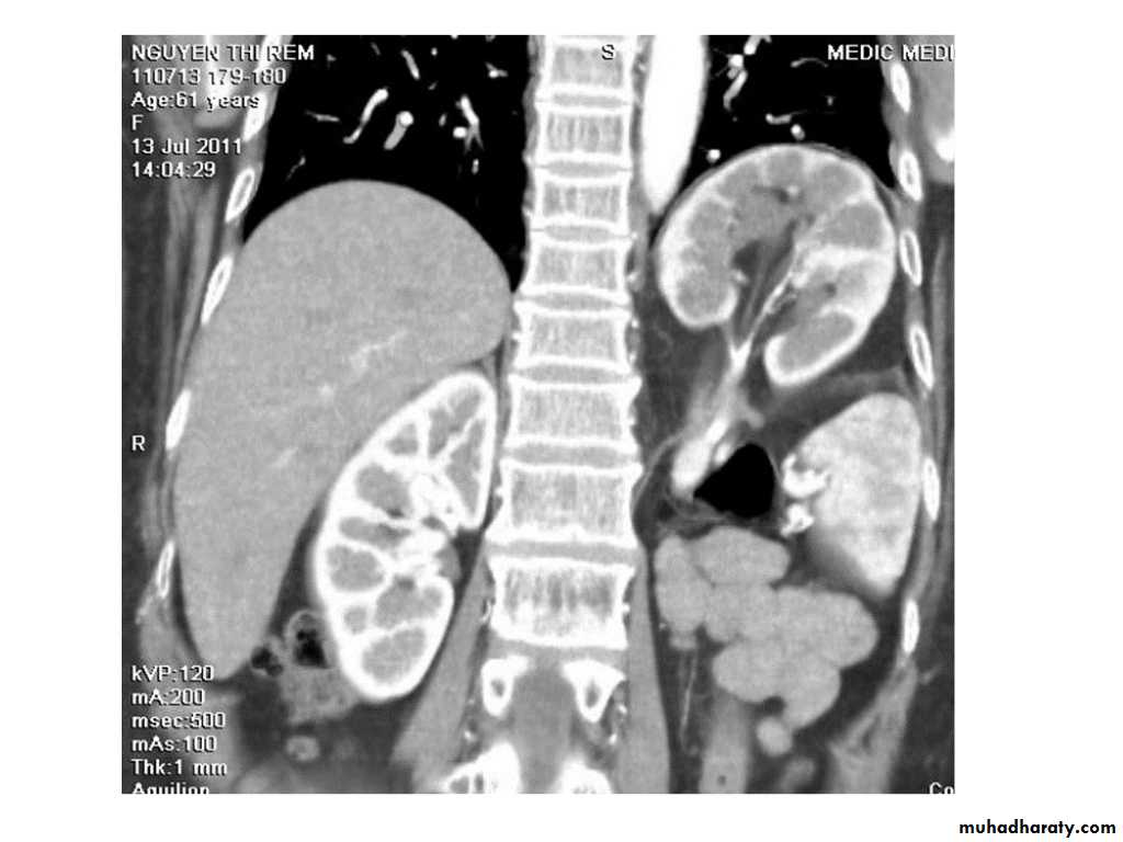
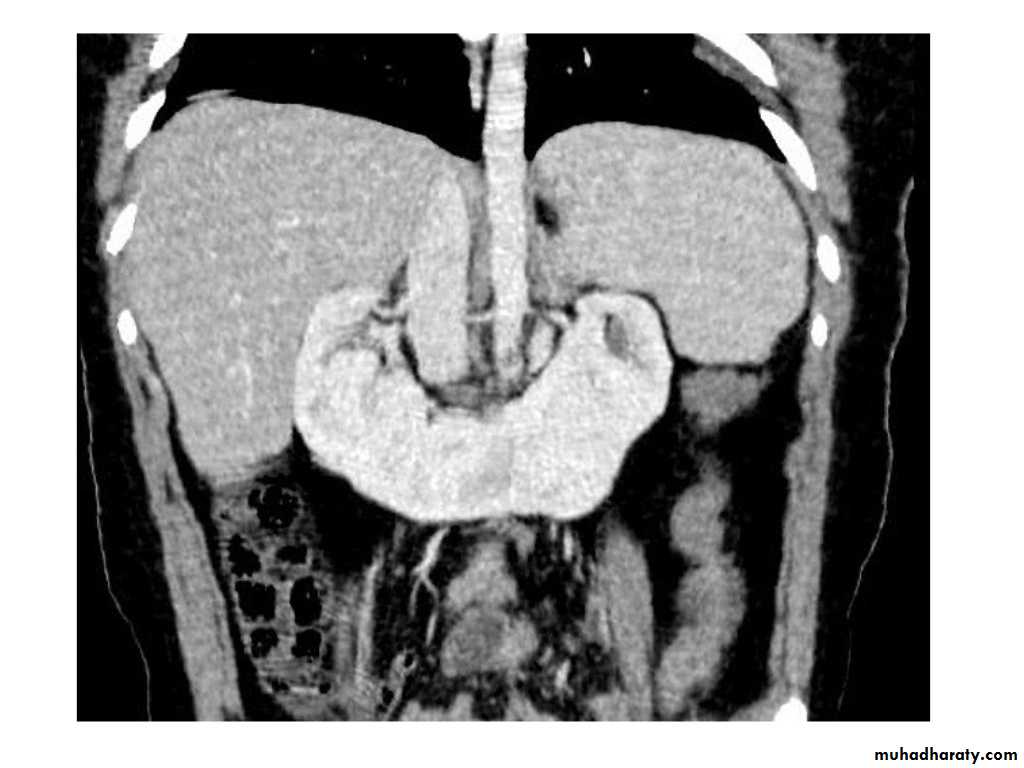
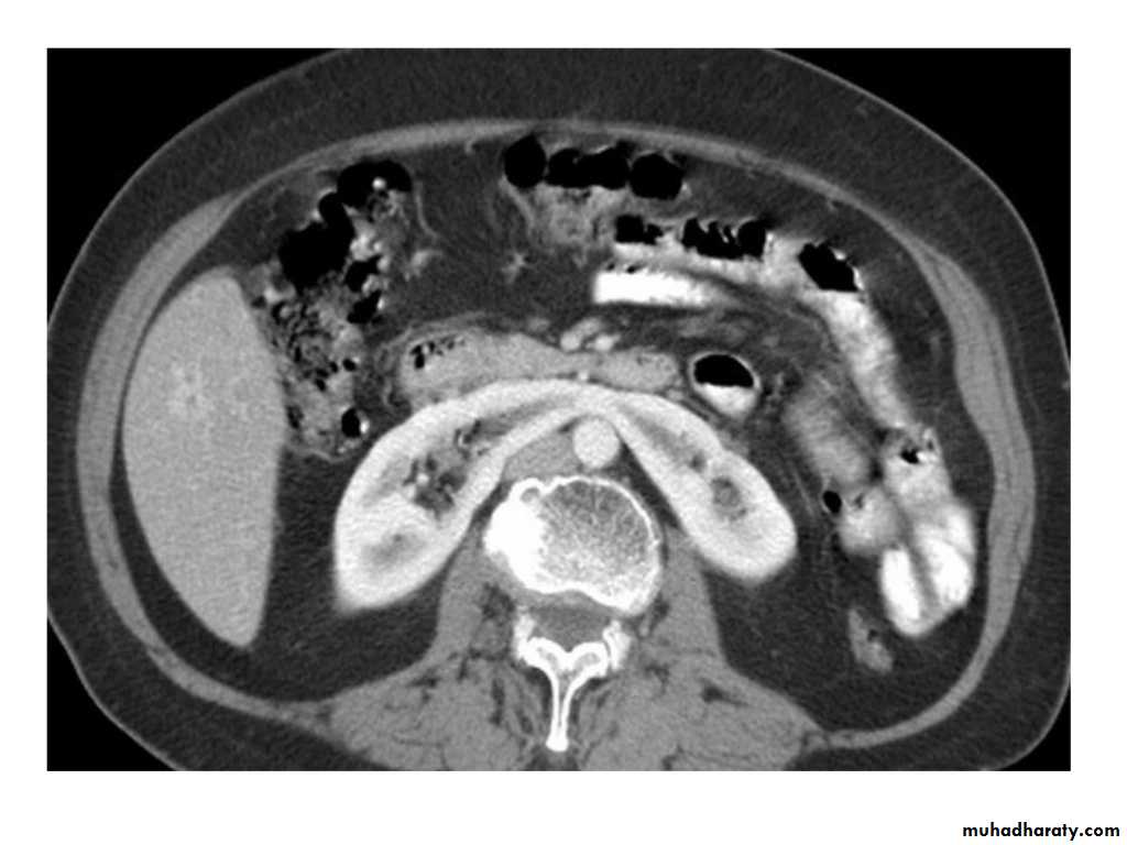
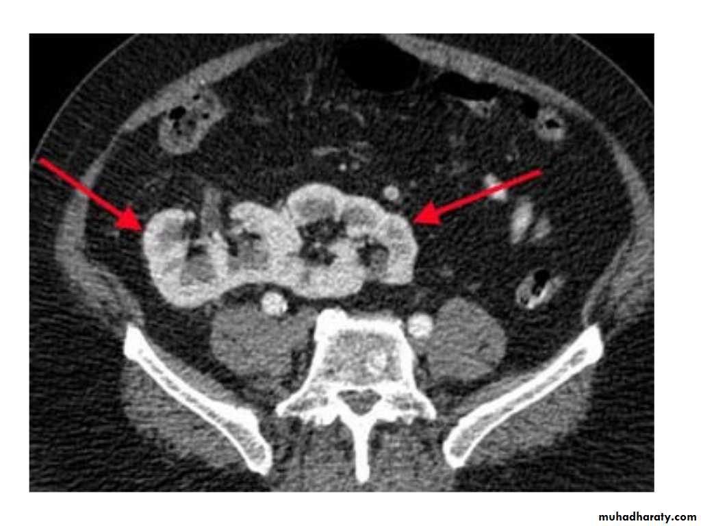
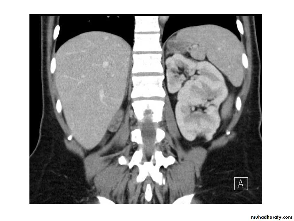
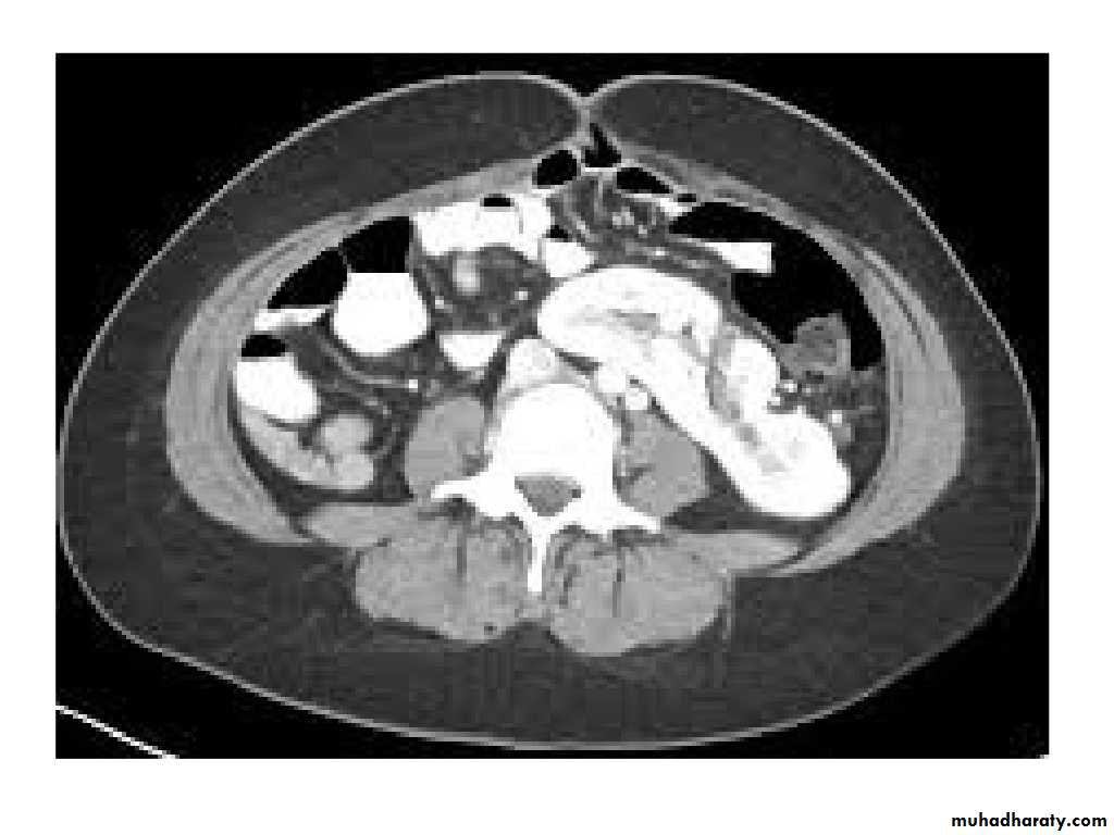
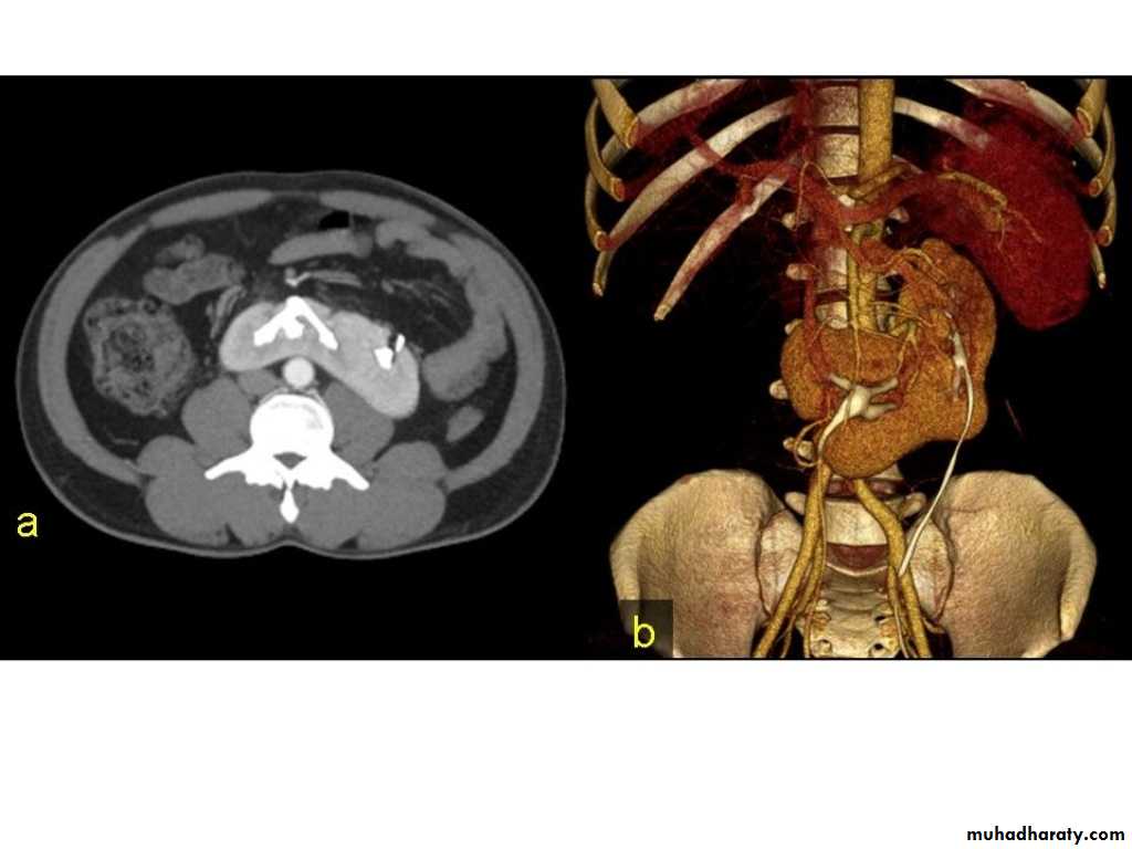
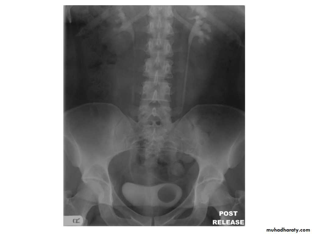
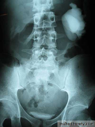
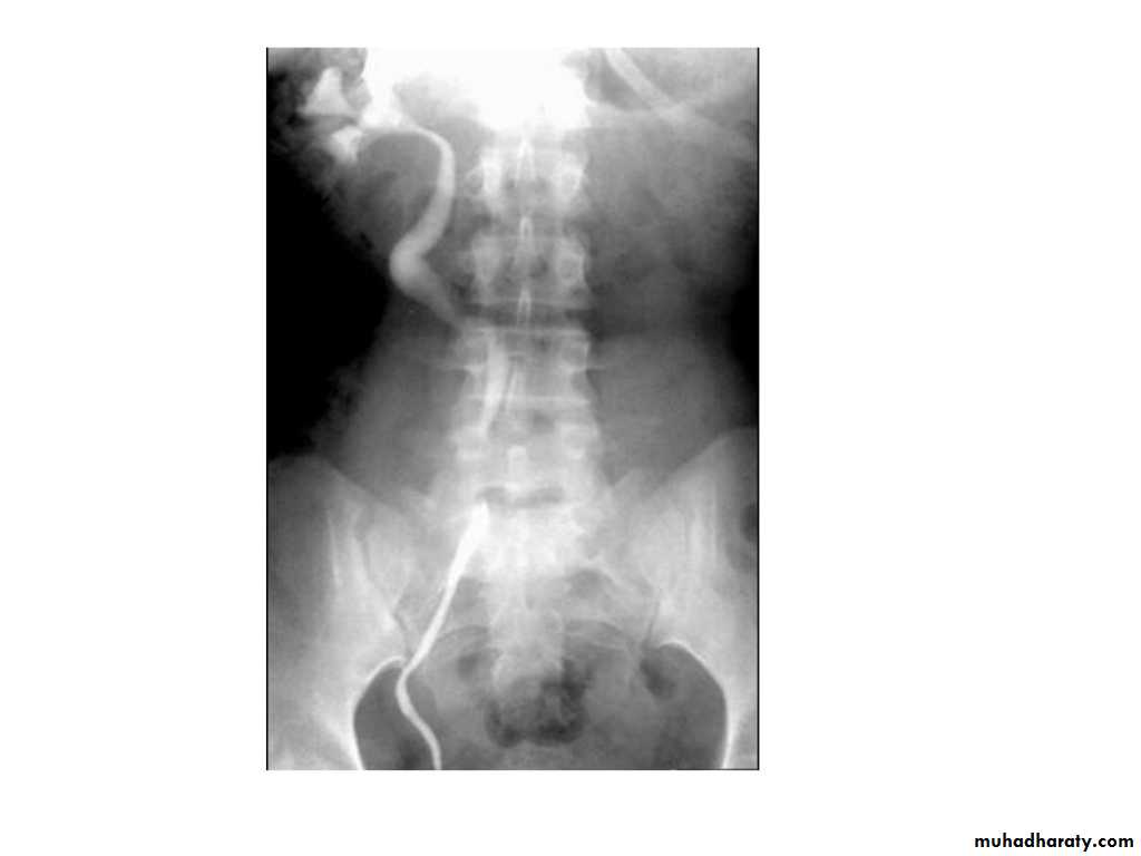
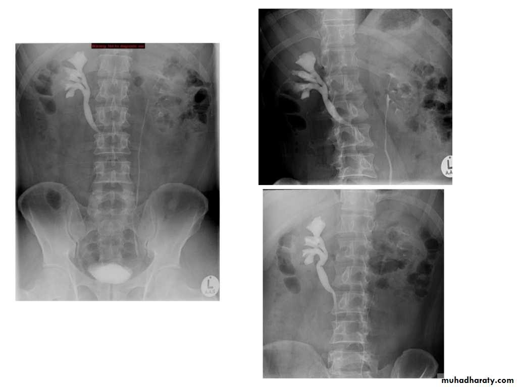
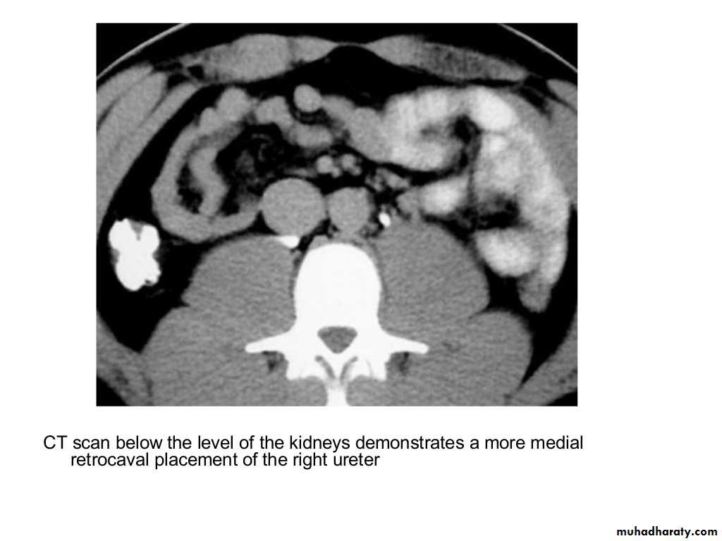
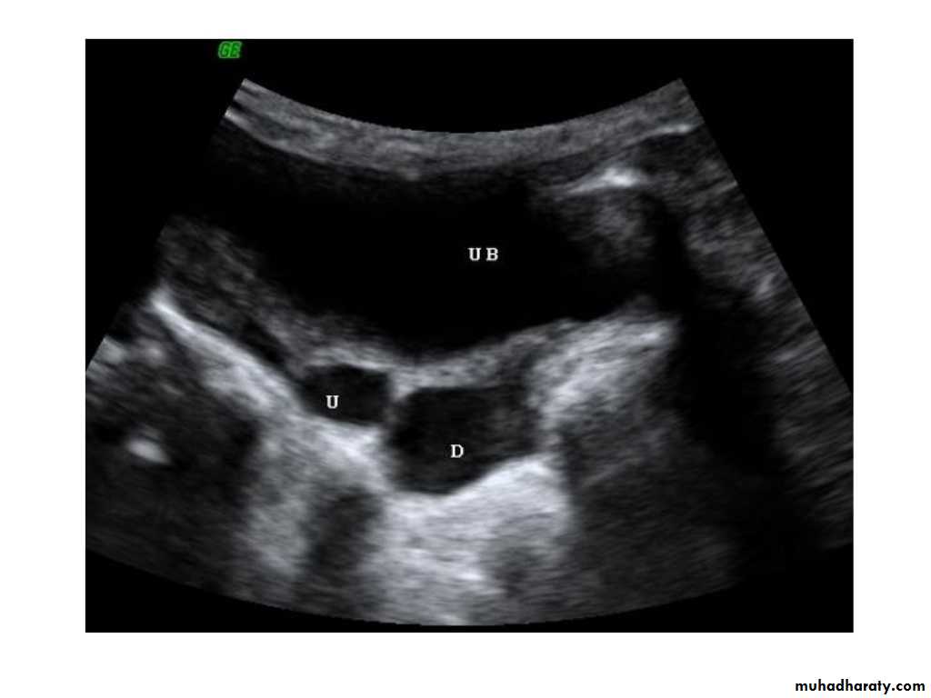
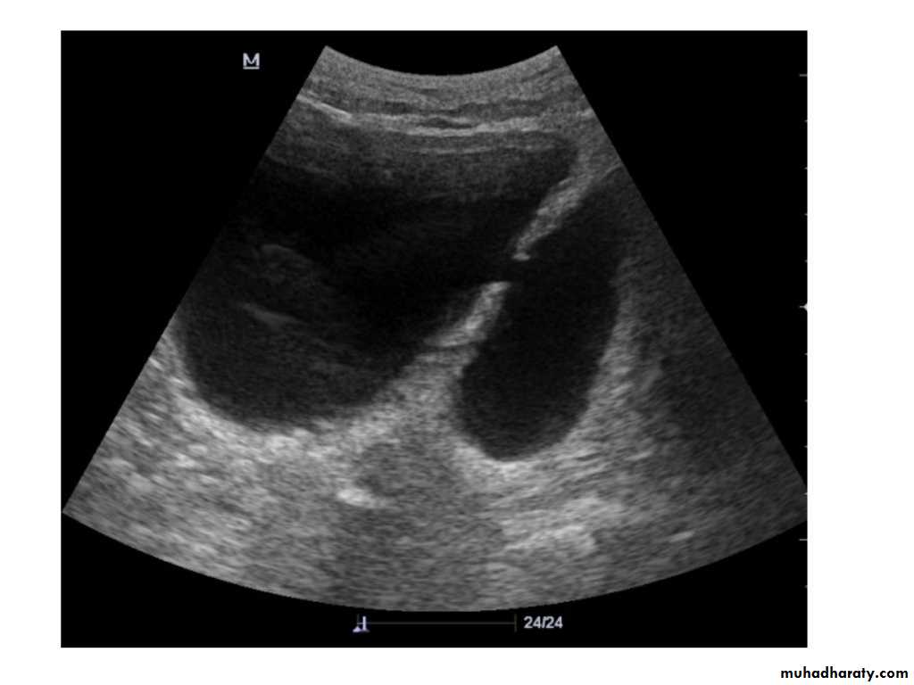
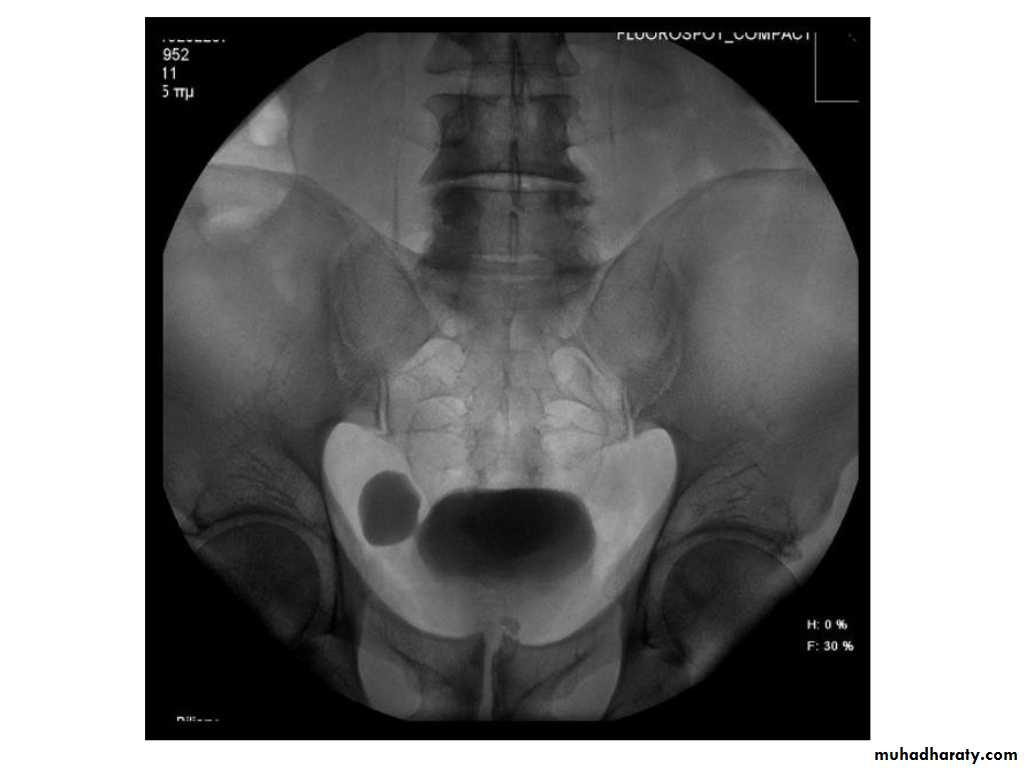
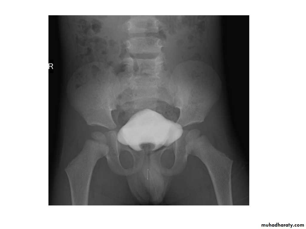
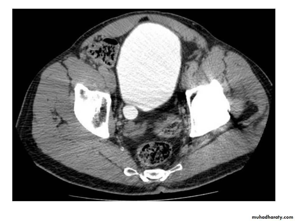
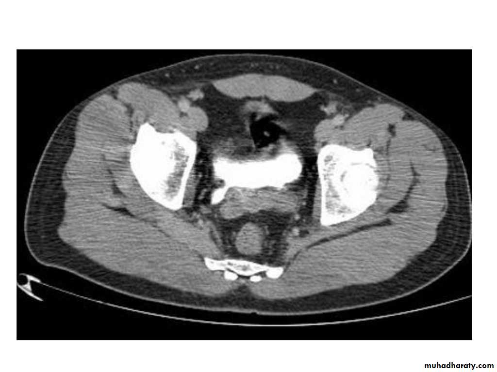
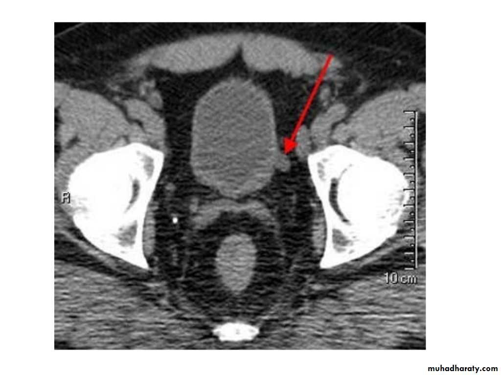
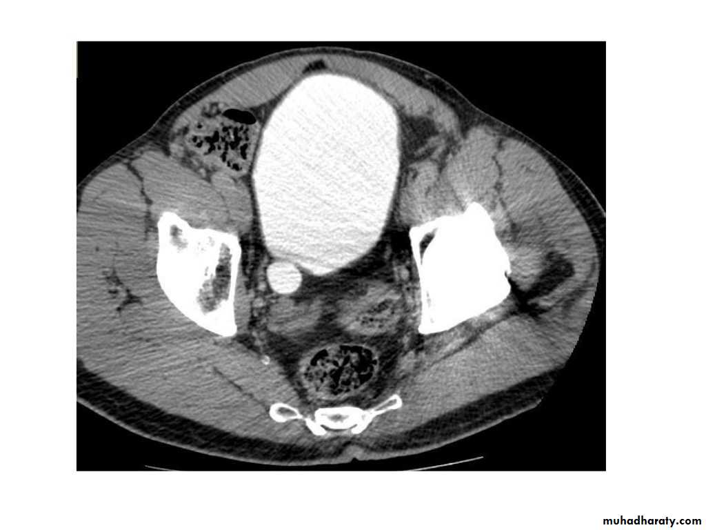
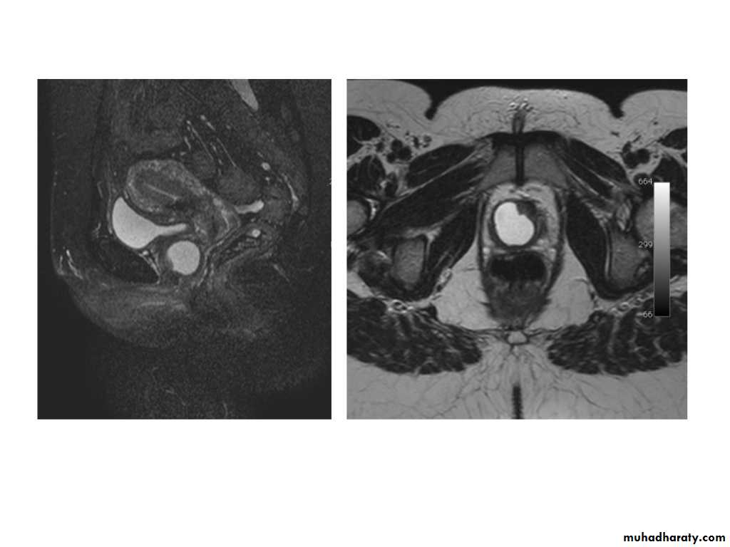
IVU shows
1. The kidneys at low position .2.Close to the spine with long axis parallel to the spine
3. Malrotation manifested by medially directed calyces.
4- The renal pelvis and ureters are anterior and lateral in position.
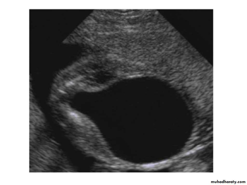
5- Hydronephrosis and calculi highly associated.





















































































































































