Congenital Heart Disease
Scope
Fetal circulation Vs mature circulationDevelopment of pulmonary HT in CHD
CHD with shunts: ASD, VSD, PDA
CHD without shunts: congenital PS,
Co-A
Cyanotic CHD: TOF
2
Objectives
CHD can manifest for the first time in adulthoodCHDs with shunt have similar clinical presentations
PHT & Eisenmenger’s syndrome may complicate all conditions with increased pulmonary blood flow (including shunt lesions) if untreated
3
Objectives
Initially, PHT develops due to increased flow & is usually reversible; later due to increased pulmonary vascular resistance & is irreversibleRecognition depends on the underlying anatomical defect and its hemodynamic consequences
4
The Normal Circulation
56
Congenital Heart Disease: Classification
Acyanotic:With shunt: e.g. ASD, VSD, PDA
Without shunt: e.g. PS, coarctation of the aorta, congenital AS, congenital MS……
Cyanotic
With reduced pulmonary blood flow: e.g. TOF
With increased blood flow: TGA
7
Common Congenital Heart Disease
Atrial septal defect (ASD)Osteum secundum
Osteum primum
Ventricular septal defect (VSD)
Patent ductus arteriosus (PDA)
Coarctation of the aorta
Congenital pulmonary stenosis
Tetralogy of Fallot (TOF)
8
Clinical Presentation of CHD
AsymptomaticCongestive heart failure
Cyanosis and digital clubbing
Failure to thrive
Recurrent chest infections
9
Clinical Presentation of CHD
Heart murmurPulmonary hypertension with reversed shunt (Eisenmenger syndrome)
10Pulmonary Hypertension
Initially caused by increased blood flow through the pulmonary vessels due to left-to-right shuntUsually reversible on correction of the defect
11
Pulmonary Hypertension
Later on: structural changes affect the walls of pulmonary arterioles, including:Arterial wall thickening
intraluminal thrombosis
Capillary obliteration
Probably irreversible!
12Pulmonary Hypertension
These structural changes leads to:increased resistance to pulmonary blood flow
Reduction of pulmonary blood flow
Right-to-left shunt through the connection between the two circulations (reversed shunt, the Eisenmenger’s syndrome)
13
Eisenmenger’s Syndrome: clinical features
Cyanosis and clubbingRaised JVP
Left parasternal heave (RVH)
Systolic expansion of the pulmonary artery
Palpable second heart sound
Loud pulmonary second sound
14
Eisenmenger’s Syndrome: clinical features
RV third heart soundMurmurs:
early diastolic murmur at the pulmonary area (Graham-Steel murmur)
Tricuspid regurgitation (pansystolic murmur at LSB)
15
Eisenmenger’s Syndrome: ECG
Right axis deviationRight ventricular hypertrophy (tall R waves in V1& V2)
Peaked P wave (RA enlargement)16
ECG in Eisenmenger’s Synd.
17ECG in Eisenmenger’s Synd.
18CXR in Eisenmenger’s Synd.
CXR shows enlarged central pulmonary arteries & peripheral pruning of the pulmonary arteries19
CXR in Eisenmenger’s Synd.
20Complications of Cyanotic Heart Disease
Polycythemia: hyperviscosity syndromeHemoptysis, sometimes massive and fatal
Paradoxical embolization
Brain abscess
21
Specific Congenital Heart Diseases
22Atrial Septal Defect (ASD)
Osteum primum ASD:part of endocardial cushion defects
associated with mitral regurgitation and tricuspid regurgitation
Osteum secundum ASD: at the area of fossa ovalis
23
24
ASD: Pathophysiology
Shunting of blood from LA to RA through the defect leads to dilatation of RA, RV, & PA, but not LA or LV25
ASD: Symptoms
DyspneaRecurrent chest infections
Heart failure
Arrhythmias (palpitations)
26
ASD: Signs
↑ JVPLeft parasternal heave
Fixed splitting of S2
Systolic murmur at the pulmonary area
NO THRILL is felt at the pulmonary area (unlike valvular PS)
27
ASD: Investigations
ECG:CXR
Echocardiography
Trans-esophageal echocardiography (TEE)
28
ASD: ECG
Incomplete RBBBWith secundum ASD: right axis deviation
With primum ASD: left axis deviation
29
Ostium Secundum ASD
30Ostium Primum ASD
31ASD: CXR
Dilated RV, RA, and PAplethoric lungs: increased pulmonary arterial and venous markings
32
ASD: CXR
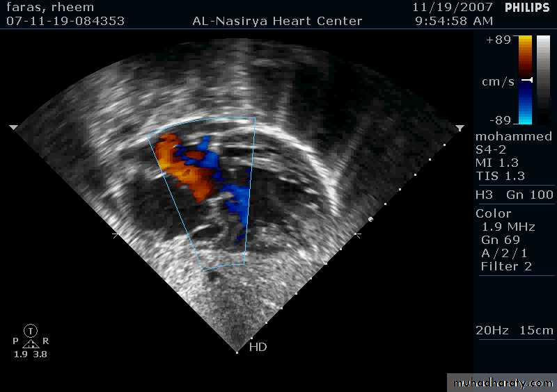
33Echocardiography & TEE
Shows the size of the defectThe direction of blood flow
The pulmonary artery pressure34
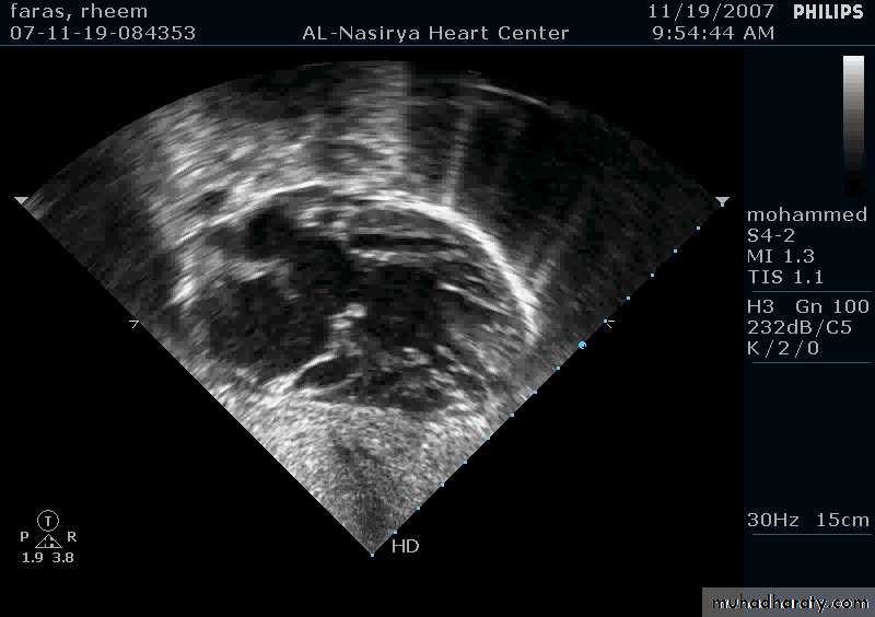
Ostium Secundum ASD
35
Ostium Secundum ASD
36
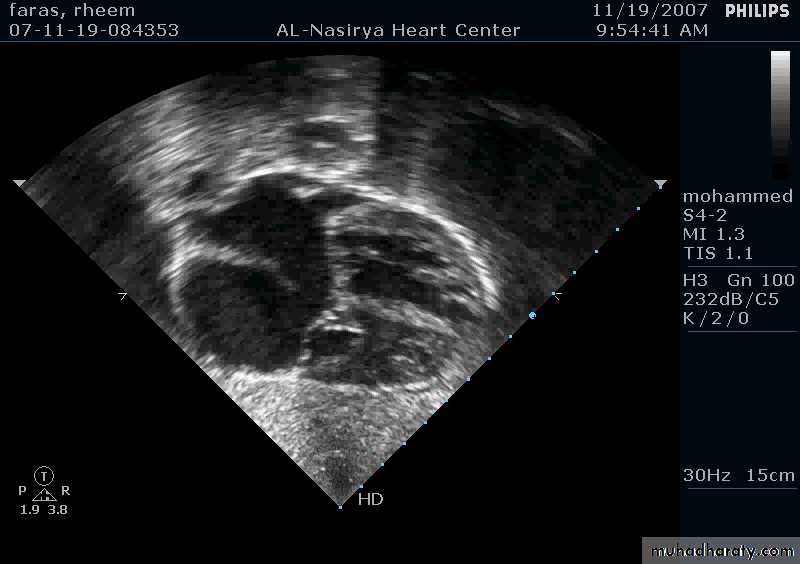
Ostium Primum ASD
37
Ostium Primum ASD
38
39
40
41
ASD: Management
Surgical closure when the shunt is large (exceeds 1.5:1)Recently: closure with implantable closure devices during cardiac catheterization
Endocarditis prophylaxis for primum ASD
42
ASD: Management
Endocarditis prophylaxis is not required in osteum secundum ASD unless associated with other valvular or congenital defects43
Transcatheter Closure of ASD
44Ventricular Septal Defect (VSD)
Ventricular Septal Defect (VSD)Failure of septation of the ventricles
The interventricular septum is normally composed of small membranous and large muscular parts.
46
Ventricular Septal Defect (VSD)
The usual position of the defect is around the membranous septum (perimembranous VSD)47
48
VSD: Pathophysiology
The magnitude of the shunt depends on the size of the defect & the relative systemic & pulmonary resistance49
VSD: Pathophysiology
The shunt involves the LV, RV, PA, PVs, & LA50
VSD: Pathophysiology
The shunt does not involve the RA or the aortaThere is increased flow through the mitral valve & LV volume overload
51
VSD: Clinical Presentation
DyspneaRecurrent chest infections
Heart failure
Accidental finding of a murmur
Eisenmenger’s syndrome
52
VSD: Physical Findings
Hyperdynamic apex beatSystolic thrill: flow through the defect
Physiological splitting of S2 (↑ with breathing)
S3: LV volume overload
53
VSD: Physical Findings
LV-RV shunt causes pansystolic murmur at the left sternal borderIncreased flow through the mitral valve causes diastolic murmur at the apex
54VSD: Investigations
ECGCXR
Echocardiography
55
VSD: CXR
Plethoric lungsProminent main pulmonary artery
LA dilatation
Cardiomegaly of LV configuration
56
CXR of VSD
57
VSD: ECG
LVH: Tall R waves in V5 & V6 & Deep S waves in V1 & V2Biventricular hypertrophy: tall R in V1 & V2, tall R in V5 & V6
58ECG in VSD: Biventricular Hypertrophy
59VSD: Echocardiography
60
61
62
63
VSD: Treatment
Small defects:no indication for surgical closure
Attention should be paid for endocarditis prophylaxis
64
VSD: Treatment
Large defects with heart failure:Medical treatment: digoxin, diuretics, ACEIs
Definitive treatment: surgical repair of the defect
Lately: closure by catheterization (occluder)
65
VSD: Treatment
If the Eisenmenger’s syndrome has developed:Heart-lung transplantation
66













