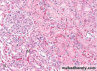
Organ:-kidney
lesion :- there is normal tissue of kidney (N) and necrotic cells in the infarct (I). The necrotic cells show preserved outlines with loss of nuclei, and an inflammatory infiltrate is presentDiagnosis :- coagulative necrosis.
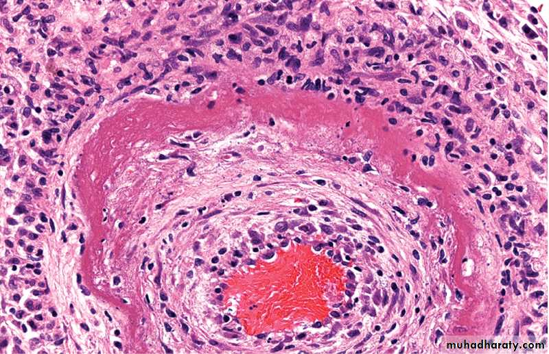
Organ :-artery
Lesion:-The wall of the artery shows a circumferential bright pink area of necrosis with protein deposition(fibrin) and inflammation.Diagnosis-:- Fibrinoid necrosis.
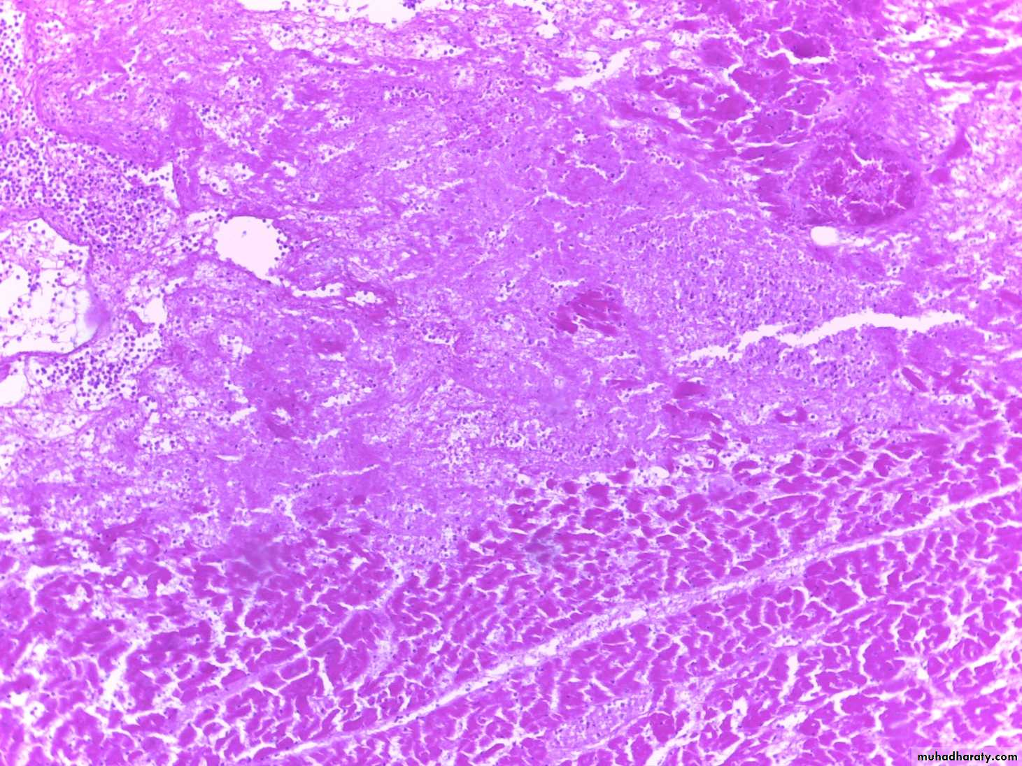
Organ :-Heart
Lesion:-There is necrotic area (infarction) with infiltration of inflammatory cells .Diagnosis-:- coagulative necrosis



