Operative Dentistry
Dr. Samira Jameel JuhiDental caries
Infectious microbiologic disease that results in localized dissolution and destruction of the calcified tissues of the teeth.Carious lesions originating
1-Enamel pits and fissures,2-Enamel smooth surfaces, or
3-Root surfaces.
4-Around existing restorations.
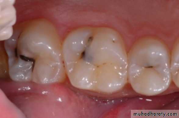
Caries of pits and fissure origin
The caries forms small area of penetration in the enamel at the bottom of a pit or fissureand does not spread laterally to a great extent until the DEJ is reached.
May be represented as two cones, base to base.
Caries of enamel smooth surfaces origin
Also pictured as a cone,But its base on the enamel surface and the apex directed to DEJ.
The caries again spreads at this DEJ spreads as in enamel contacts double inverted cone.
Tooth preparation
Mechanical alteration of a defective , Injured, or diseased tooth to best receive a restorative material that will reestablish a healthy state for the tooth with normal form and function.
Objectives of tooth preparation
-To remove diseased tissue as necessary.-To restore the integrity of tooth surface.
-To restore the function of the tooth.
-To restore the appearance of the tooth
Tooth Preparation Terminology
-Simple one tooth surface involved.Compound two tooth surface involved.
Abbreviation description of tooth preparation
O: Occlusal surface
MO, DO : Occlusal and mesial or distal surfaces.
MOD: Mesial, occlusal and distal surfaces.
Tooth preparation walls
Internal Wall: prepared surface that does not extend to the external tooth surface.1-Axial wall : parallel with long axis of the tooth.
2-Pulpal Wall : perpendicular to the long axis of the tooth and occlusal of the pulp.
External Wall: external wall is prepared surface that extends to the external tooth surface.
Tooth Preparation Angles
Line Angle: junction of two plane surfaces of different orientation along a line.Point Angle: junction of three plane surfaces of different orientation.
Cavosurface Angle : angle formed by junction of prepared wall and external surface of the tooth.
Proximal surface: surface face adjacent tooth.
Marginal ridge: border the lingual surface of anterior teeth and occlusal surface of posterior teeth
Classification of tooth preparation presented by G. V. Black
Class I: Pit and fissure lesion.Class II
Class III
Class IV
Class V
Class `VI
Smooth surface lesions
G.V.Black principles for cavity preparation
Outline form.
Resistance form.
Retention form.
Convenience form.
Removal of remaining caries
Finish enamel walls
Clean cavity preparation























