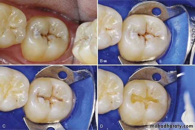
Lecture 4, CL I Cavity
Clinical Technique for Class I Amalgam RestorationClass I refers to
Restoration on the occlusal surfaces of posterior teeth.
The occlusal two thirds of facial and lingual surfaces of posterior teeth.
The lingual surfaces of anterior teeth.
A small surface opening which may remain unnoticed until the lesion becomes of a considerable size.
A conical spread in both E. & D. with the bases at DEJ.
Principles of class I Cavity preparation
I-Outline FormSmooth flowing, regular curves. To visualize and carve following condensation.
Angular irregularities in the outline are susceptible to fracture during
II- Extensions
Conservation of tooth structure is the basis for all cavity preparations in order to preserve the strength of the tooth.Sufficient extension of cavity preparations is necessary to ensure access (convenience form) for instrumentation, removal of defective tooth structure, insertion and finish of the restorative material, and maintenance the restoration.
• Extensions circumscribe:
• Caries and decalcifications.• Enamel unsupported by sound dentin.
• Pits and fossae.
• Major fissures and grooves.
• Existing restorations.
Eliminates defective tooth structure and eliminates areas ( pit, fissures, etc.) which are susceptible to recurrent caries and facilities oral hygiene procedures ( extension for prevention).
• Bucco-lingual extension
1. Extend fully in areas of buccal and lingual grooves to terminate on smooth surfaces, to allow a smooth tooth- restoration margin to be created ( easier to finish and keep clean).2.Extend minimally in areas of triangular ridges( optimal isthmus width is ¼ inter cuspal distance or less ) terminating on smooth surfaces, to preserve the strength and function of the cusps while eliminating susceptible grooves or defective tooth structure.
C- Mesio-distal extension
1.Stop short of the marginal ridge crest, to preserve strength of the ridges.
2. Parallel the contour of the marginal ridge, to preserve a uniform bulk( strength ) to the marginal ridges.
3.Groove extensions are kept narrow mesio-distally where possible with access for condensation and outline form),terminating on smooth tooth structure, to preserve strength of cusps while eliminating susceptible grooves and or defective tooth structure.
3.If marginal ridge is unsupported or very thin it should be included, resulting in a class II preparation, if not included the marginal ridge may fail ( amalgam will be stronger than the unsupported enamel).
III. Resistance/ Retention Form
A. Depth= ½ mm into dentin ( approx. 2mm measured at triangular ridges). Minimum depth is required to provide sufficient bulk to prevent fracture and retain the amalgam.B. Pulpal floor
1. Smooth and flat ( uniform thickness of restorative material ).
2. Parallel to the occlusal plane9 resists occlusal stress (resistance form) and force of condensation.
C. Buccal and lingual walls
1. Smooth and curved mesio-distally.2. Smooth and straight pulpo-occlusally.Facilitates adaptation of amalgam and elimination of weak tooth structure.
3.Converge slightly pulpo-occlusally under the cusps (6°), to provide mechanical lock or retention to the occlusal portion and crate bulk at the margins.
4. Diverge slightly pulpo-occlusally in the buccal and lingual groove extension (6°), to protect buccal and lingual surfaces from being undermined ( resistance form).
D. Mesial and distal walls
1. Smooth and straight, to facilitates adaptation of amalgam and elimination of weak tooth structure.2. Diverges slightly pulpo-occlusally ( form an obtuse angle with pulpal floor), to protects marginal ridge from being undermined or weakened ( E must be supported by D)
IV. Cavity Finish
• Pulpo-occlusal line angle is well defined ( no point angles are present) and follows general configuration of cavosurface outline, to increases retention of the amalgam restoration and preparation is more easily visualizedB. Cavosurface margins 90-100 ° .
1. Sharp ( well defined), easier to visualize and carve.
2. Sound ( well supported) provides marginal integrity .
C. Cleanliness
Cavity is free of debris and moisture, to facilitates adaptation of amalgam to the cavity and improves the physical properties of the restoration by elimination of void or foreign material.Buccal Pit Cavities
The out line of these cavities usually describes a triangle with its base forming the gingival wall and its sides forming the mesial and distal walls.The gingival wall is placed at or slightly occlusal to the height of contour of the tooth.
All walls are extended just enough to eliminate defective enamel and dentin.
The enamel walls are planned in the direction of enamel rods and perpendicular to the axil wall.Hoe excavators are used to smooth the axial wall and make it parallel with the external surface of the tooth.
It should be re-emphasizing that the shape of the cavity will be governed by the extension of caries, accordingly the outline of these cavities may be a rounded or oval in shape.
Occlusal Pits of mandibular first premolars
Mandibular 1st premolars have 2 exceptions:1- We can made 2 separated cavity one on mesial occlusal pit and one on distal with out including central fissure if this fissure not involved by caries because of :
The presence of well developed transverse ridge.
In order not to weakening the tooth unless the fissure is involved by caries so we have to included all pits and fissure in one class I preparation
2-The buccal horn of the pulp is higher than the lingual one . So according to this when we prepare the cavity floor it should be inclined lingual ( not flatted) in order not to harm the pulp.
To achieve this cutting instrument is held so that its long axis is parallel with bisector of angle formed by long axis of tooth and the line perpendicular to plane drawn through facial and lingual cusp point.
Cavity preparation for maxillary first molars
Upper 6 also had exceptions because of the anatomy of the tooth:1- The presence of oblique ridge in between DB and MP cusps gives the possibility to do 2 separated cavities one mesial and one distal without the need to include oblique ridge within the preparation unless it is involved by caries or weakened due to preparation.
Buccal and Lingual extensions
In case of occluso-buccal and occluso-lingual cavities extensions are made through the fissures and to wards the respective surfaces.The cutting is done in dentin at the a melo-dentinal junction using a #56 fissure bur until the occlusal oblique ridge is undermined and removed.
If the caries is still gingival to the level of the pulpal seat, a step is indicated: a #330 or 56 bur is used to cut the dentin at the amelo-dentinal junction, applying pressure in a gingival direction and at the same time moving the bur mesio-distally.
The enamel thus undermined, is broken down with chisels.
Retention grooves are then cut in dentin along the axio-mesial and axio-distal line angles. The cavity walls and margins are finished as previously described.
Class I with Palatal extension of upper 1st molar
The same principles and procedures for CI I cavity preparation were applied occlusaly.For the extension : the tooth preparation for the extension should be not wider than necessary; ideally the mesio-distal width of the palatal extension should not exceed 1 mm,
Except for extension necessary to remove carious or undermined enamel or to include unusual fissuring.
The tooth preparation should be cut more at the expense of the oblique ridge rather than centering over the fissure ( weakening the small DL cusp).
Especially on the smaller teeth, the margins on the occlusal portion should extend as little as possible on to the oblique ridge and DL cusp.
























