Connective tissue hyperplasia
In the oral cavity most of the called tumors are not true neoplasms but are hyperplastic reaction of the connective tissue (CT)to chronic injury or irritation .the hyperplastic lesions are referred to as reactive proliferation because they represent self-limiting growth of fibroblastic tissue or a mixture of fibrous and vascular tissue resulting from chronic irritation such as cheek biting, ill fitting dental appliances. When the focal CT hyperplasia is confined to the gingiva it’s clinically designated as an epulis , the most common lesions referred to as epulides are ,peripheral fibroma, peripheral ossifying fibroma, pyogenic granuloma, peripheral giant cell granuloma.______________________________________
Oral pathology/fourth year/ Dr.Ali Idrees
1-Focal fibrous hyperplasia(irritation fibroma)
It’ the most common tumor like lesion of the oral cavity also called fibro-epithelial polyp. in fact, it’s not true neoplasm but it’s reactive hyperplasia of fibrous connective tissue in response to local irritation or traumaClinical features ofFocal fibrous hyperplasia
The most common site along the bite line on the buccal mucosa may be due to cheek biting and it may occur on the labial mucosa, tongue and gingiva. the lesion appear as smooth-surfaced pink nodule that is similar in color to the surrounding mucosa. most are sessile although some are pedunculated and painless unless it’s traumatized .Histopathological features ofFocal fibrous hyperplasia
Nodular mass of fibrous CT covered by stratified squamous epithelium .the connective tissue usually dense collagenized ,and the epithelium is atrophied or may be hyperplastic in some areas from trauma. the lesion is not encapsulated.The lesion is treated by surgical excision .
2-Inflammatory fibrous hyperplasia
It’s tumor like hyperplasia of CT that develop in association with flange of an ill fitting complete or partial denture also called Epulis fissuratum. Appear as single or multiple fold or folds of hyperplastic tissue in the alveolar vestibule .most often there are two folds of tissue and the flanges of the associated denture fits conveniently in to the fissure between the folds3-Inflammatory papillary hyperplasia of the palate
Is a reactive tissue growth that usually but not always developed beneath a denture (ill-fitting denture , poor denture hygiene ,wearing denture 24 hours /day).Usually occur on the hard palate beneath a denture. On rare, the condition occur on the palate of patients with out denture especially in patients who habitually breathe through their mouth or have high palatal vault. Candidal-associated palatal papillary hyperplasia has been reported in dentate patient with HIV infection.the mucosa is erythematous and has papillary surface in many cases associated with denture stomatitis.
Histopathological features ofInflammatory papillary hyperplasia
The mucosa show numerous papillary growth on the surface that are covered by hyperplastic stratified squamous epithelium. In advance cases the hyperplastic epithelium show pseudoepitheliomatous hyperplasia in appearance. In the CT Chronic inflammatory cells infiltration is seen.4-Pyogenic granuloma (PG)
Is a common tumor like growth of the oral cavity. Although it was originally thought to be caused by pyogenic organism ,instead the pyogenic granuloma thought to be represent tissue response to local irritation or trauma.Clinical features ofPyogenic granuloma
Is a smooth or lobulated mass that is usually pedunculated although some lesions are sessile. The surface is ulcerated and ranges from pink to red to purple.it’s painless but bleeds easily because of it’s extreme vascularity .it’s most frequently occur on the gingiva then the lip, tongue, buccal mucosa.lesion may develop on the gingiva of pregnant woman called pregnancy tumorHistopathological features ofPyogenic granuloma
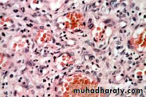
Show highly vascular proliferation that resemble granulation tissue . numerous small and large endothelium lined channels are formed that engorged with RBC. The surface is usually ulcerated ,a mixed inflammatory cell infiltrate of neutrophil, plasma cell and lymphocyte is evident.5-Peripheral giant cell granuloma(PGCG)
It’s relatively common growth like lesion of the oral cavity’ it dose not represent true neoplasm but rather is a reactive lesion caused by local irritation or trauma.Clinical features ofPeripheral giant cell granuloma
PGCG occur exclusively on the gingiva or edentulous alveolar ridge, present as red or reddish-blue nodular mass, the lesion can be sessile or pedunculated and may or may not ulcerated, clinical appearance similar to pyogenic granuloma . In radiograph either there is no change or just cupping resorption of the underlying bone.Histopathological features of Peripheral giant cell granuloma
There is proliferation of multinucleated giant cell within background of ovoid or spindle –shaped mesenchymal cells. Abundant haemorrhage is found throughout the mass result in deposition of hemosiderin pigmentHistopathological features of Peripheral giant cell granuloma
The overlying mucosa may be ulcerated. Acute and chronic inflammatory cells are frequently present. area of reactive bone formation or dystrophic calcification are not unusual.Treatment :
By surgical excision.
Epulis
When CT hyperplasia occur on the gingiva it’s called Epulis like:1.Fibrous epulis like irritation fibroma
2.Vascular epulis like pyogenic granuloma
3.Giant cell epulis like peripheral giant cell granuloma.














