Breast:
- Modified sweat gland.Parenchyma of the breast composed of 12-20 distinct lobes. Each lobe contains many lobules which are the functional units. The ducts of each lobe drain into a large duct called lactiferous duct that open separately into the nipple.
HISTOLOGY:
Epithelial:Ducts: Major ducts( lactiferous, major, lobar,….), small ducts & ductules.
Acini:
- Epithelial & myoepithelial cells
Stromal:
Interlobular & intralobular.STROMA:
Interlobular:- The major component.
- Dense fibroconnective tissue, later replaced by fat.
Intralobular:
• Loose myxoid tissue.• Poor in elastic fibers
- Hormone responsive.
Life cycle changes of breast development
Breast PathologyCategories of breast diseases:
Dr. Nazar Taher, Pathology Department
Disorders of Development
A) Hypoplasia:B) Supernumerary nipple:
C) Accessory axillary breast:
D) Congenital inversion of nipple:
E) Macromastia:
Supernumerary nipple:
Persistent of epidermal thickening along the milk line.Dr. Nazar Jawhar, Pathology Department
Galactocele
A cystic dilation of an obstructed duct that arises during lactation. Besides being painful "lumps," the cysts may rupture to incite a local inflammatory reaction, which may yield a persistent focus of induration that may arouse suspicion of malignancy
Dr. Nazar Jawhar, Pathology Department
INFLAMMATIONS OF THE BREASTUncommon and during the acute stages usually cause pain and tenderness in the involved areas.
Included in this category are several forms of mastitis and traumatic fat necrosis, none of which are associated with increased risk of cancer.
Dr. Nazar Jawhar, Pathology Department
Acute mastitis:Develops when bacteria gain access to the breast tissue through the ducts; when there is inspissation of secretions; through fissures in the nipples, which usually develop during the early weeks of nursing; or from various forms of dermatitis involving the nipple.
Dr. Nazar Jawhar, Pathology Department
Morpohology:Staphylococcal infections induce single or multiple abscesses accompanied by the typical clinical acute inflammatory changes. Streptococcal infections generally spread throughout the entire breast, causing pain, marked swelling, and breast tenderness. Resolution of these infections rarely leaves residual areas of induration
• Chronic inflammatory mastitis :
• True chronic inflammation of the breast due to bacterial infection is uncommon . Most cases are due to incomplete resolution of acute mastitis in the lactating breast or due to chronic breast abscess .
• Tuberculosis :
• It is very rare but may occur secondary to tuberculosis of the lungs .
Dr. Nazar Jawhar, Pathology Department
Dr. Nazar Jawhar, Pathology DepartmentMammary duct ectasia (periductal mastitis) :
It is a nonbacterial chronic inflammation of the breast associated with inspissation of breast secretions in the main excretory ducts. Ductal dilation with ductal rupture leads to reactive changes in the surrounding breast substance.
It is an uncommon condition, usually encountered in perimenopausal multiparous women.
Dr. Nazar Jawhar, Pathology DepartmentMammary duct ectasia is of principal importance because it leads to induration of the breast substance and, more significantly, to retraction of the skin or nipple, mimicking the changes caused by some carcinomas
Dr. Nazar Jawhar, Pathology Department
Traumatic fat necrosis:is an uncommon and innocuous lesion that is significant only because it produces a mass. Most women with this condition report some antecedent trauma to the breast.
During the early stage the lesion is small , often tender, and sharply localized.
It consists of a central focus of necrotic fat cells surrounded by neutrophils and lipid-filled macrophages, which is later enclosed by fibrous tissue. Eventually the focus is replaced by scar tissue. Calcifications may develop in the scar
Fibrocystic Changes
This is a group of morphologic changes which very frequently develop in the FEMALE breast during reproductive period of life but may persist after menopause, and are the commonest cause of a lump or lumpiness of the breast. It is a common condition & often of no clinical significance (found at autopsy in 60% to 80% of women).Dr. Nazar Jawhar, Pathology Department
Most of the changes encompassed within the diagnosis of fibrocystic disease have little clinical significance except that they cause nodularity; only a small minority represent forms of epithelial hyperplasia that are clinically important.The "lumps" produced by the various patterns of fibrocystic change must be distinguished from cancer.
The alterations are crudely subdivided into:
Non-proliferative pattern: include cysts, fibrosis, apocrine metaplasia (simple fibrocystic change).Proliferative patterns: include epithelial hyperplasia (typical & atypical), papillomas & sclerosing adenosis.
It is widely accepted that this range of changes is the consequence of an exaggeration and distortion of the cyclic breast changes that occur normally in the menstrual cycle.
Estrogenic therapy and oral contraceptives do not seem to increase the incidence of these alterations; indeed, oral contraceptives may decrease the risk.
m.i
The changes arise mainly from the TDLU & there are 4 principal patterns ( singly or in combination):
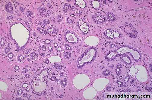
Cyst formation: Cystic dilatation of the terminal ducts & lobules of variable degree.
Fibrosis: Presence of area of dense collagenous tissue.
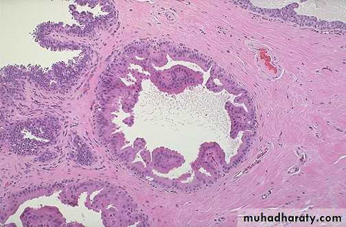
Apocrine metaplasia: Her the ducts become lined by large cells having abundant granular eosinophilic cytoplasm resembling that of apocrine sweat glands.
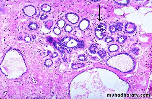
Adenosis: It means increase in the no. of acini & lobules
• Fibrocystic disease, adenosis, fibrosis, cystic change
• Fibrocystic disease, apocrine change
Dr. Nazar Jawhar, Pathology Department
PROLIFERATIVE BREAST DISEASES
A group of breast disorders that characterize by proliferation of epithelial cells.Include:
Epithelial hyperplasia.( atypical hyperplasia increase the risk of malignancy)Sclerosing adenosis.
Others.
Epithelial Hyperplasia:
- Increase in the no. cells that line the ducts & lobules.
- Either occurs alone or as part of FC change.
- Classification depends on:* No. of layers.
* Presence & degree of atypia.* Architectural pattern.
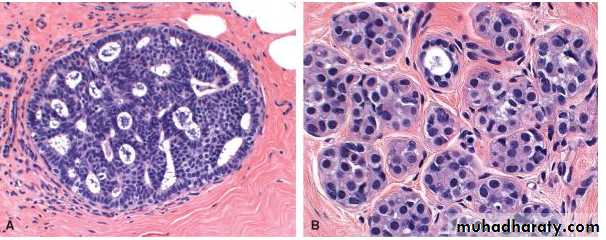
A: Atypical ductal hyperplasia. A duct is filled with a mixed population of cells consisting of oriented columnar cells at the periphery and more rounded cells within the central portion. Although some of the spaces are round and regular, the peripheral spaces are irregular and slitlike. These features are highly atypical, but fall short of a diagnosis of DCIS. B, Atypical lobular hyperplasia. A population of monomorphic small, round, loosely cohesive cells partially fill a lobule. Some intracellular lumens can be seen. Although the cells are morphologically identical to the cells of LCIS, the extent of involvement is not sufficient for this diagnosis
Dr. Nazar Jawhar, Pathology Department
• Epithelial hyperplasia
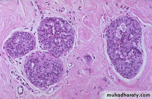
Sclerosing Adenosis
A proliferative breast disease characterized by increased no. of acini that are distorted and compressed by excess fibrous tissue in a specialized morphological arrangement.Clinically it can mimic carcinoma ( irregular firm-hard mass, calcification).
• Sclerosing adenosis
No increased risk
Slightly inc. riskModerately inc.risk
Family history of breast CA
FC changes, mild epith hyperplasia
Moderate epith hyperplasia, sclerosing
adenosis, intraduct. papillomaS.
Atypical epithelial hyperplasia
Increases the risk in all group
Clinical significance of proliferative breast diseases
Relative risk of malignancy:














