Neck mass
Lymphatic levels
Differential diagnosis
• A. Middle neck mass• a: 1- congenital
• - thyroglossal cyst
• - dermoid cyst
• - thymic tumor
• a: 2- cx. Lymphadenopathy:
• - inflammatory
• - neoplastic( metastasis)
a: 3- neoplasm:
-Benign:-lipoma
-chondroma
-isthmus swelling
- malignant:
- thyroid ca.
a: 4- inflammations:
thyroiditis, infected
thyroglossal cyst
B.Lateral neck mass
B: 1- cong. :
lymphangioma
lat. Thyroglossal cyst
B: 2- developmental:
- branchial cyst
- laryngocoele
-pharyngeal pouch cyst
B: 3- swelling related to the gland :
-submandibulr
= sialadenitis
= stone
= tumor
- thyroid gland --goitor ,tumor.
B: 4- parapharyngeal tumors parotid tail, carotid body tumor
B : 5-soft tissue swelling (ludwig`s angina)B: 6- cx. Lymphadinitis
-acute( URTI)
-chronic(tb,syph. AIDS)
B: 7- cx. Ln . Tumor
1-lymphoma
2-metastatic
B: 8- sternocledomastoid muscle tumor
B: 9 – cx. rib
INVESTIGATIONS
• LAB. :• - CBP, ESR ,B.FILM
• -throat swab for c/s ,KLB
• -tub.t
• -serologic tests for HIV,CMV, EBV.
• RAD: - CXR u/ss CT.scan ,MRI ,MRA,PETscan
• Thyroid function tests
• F.N.AC , AFB, culture aerobic &anaerobic)
• EXCISIONAL BIOPSY
Fine Needle Aspiration Biopsy
Any neck mass that is not an obvious abscessPersistence after a 2 week course of antibiotics
EXCISIONAL BIOPSY
• Present of signs& symptoms of malignancy• Persist lymphadenopathy
• DX. Remain in dout.
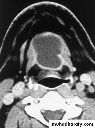
Thyroglossal Duct Cyst
Most common congenital neck mass (70%)50% present before age 20
Midline (90%).
Usually just inferior to hyoid bone (65%)
Painless unless infected.
Elevates on swallowing/protrusion of tongue
Treatment is surgical removal (Sis trunk) after resolution of any infection
Thyroglossal Duct Cyst
Branchial Cleft Cysts
Branchial cleft anomalies2nd cleft most common (95%) – tract medial to CnXII between internal and external carotid aa.
Most common as smooth, fluctuant mass underlying the SCM
Skin erythema and tenderness if infected
Treatment
Initial control of infection
Surgical excision, including tract
Branchial Cleft Cysts
Lymphoma
More common in children and young adultsUp to 80% of children with Hodgkin’s have a neck mass
Signs and symptoms
Lateral neck mass only (discrete, rubbery, nontender)
Fever
Hepatosplenomegaly
Diffuse adenopathy
Lymphoma
FNAC – first line diagnostic testIf suggestive of lymphoma – open biopsy
Full workup – CT scans of chest, abdomen, head and neck; bone marrow biopsy
Vascular Tumors
Lymphangiomas and hemangiomas



































