Pericardial Disease
1Normal Pericardium
Composed of two layers: visceral & parietalFunction:
Limits distension of the heart
Barrier to infection
2
Ventricular interdependence
During inspiration, the diaphragm descends into the abdominal cavityThis reduces the intrathoracic pressure
3
Ventricular interdependence
Squeezes the intra-abdominal blood into the thoracic cavityVenous return to the right side of the heart is augmented
4
Ventricular interdependence
Filling of the RV occurs at the expense of the left side of the heart (atrial & ventricular septa move to the left)5
Ventricular interdependence
During expiration, the reverse occurs:Increased intrathoracic pressure
Reduced venous return to right side
Increased pulmonary venous return to the left side of the heart
6
Ventricular interdependence
Accordingly, during inspiration the RV stroke volume risesWhile during expiration, the LV stroke volume rises
This physiological effect is exaggerated in cases of pericardial constriction & tamponade
7
Diseases of the Pericardium
Acute pericarditisPericardial effusion without tamponade
Cardiac tamponade
Chronic constrictive pericarditis
8
Acute Pericarditis
9Acute Pericarditis: Etiology
Infective: viral, bacterial, mycobacterial, parasitic
Immunologic: rheumatic fever, rheumatoid arthritis, SLE, familial Mediterranean fever
In relation to myocardial infarction: AMI, post infarction syndrome (Dressler’s syndrome)
10
Acute Pericarditis: Etiology
Pericarditis in disorders of metabolism: chronic renal failureNeoplastic: secondary or primary (mesothelioma)
Traumatic: direct trauma, radiation
idiopathic
11
Common Causes of Pericarditis
Viral (including COVID-19!)Tuberculous
Post MI
Uremic
Idiopathic
12
Acute Pericarditis: Clinical
Pain:Retrosternal
Sharp
Radiates to the shoulders & neck
Aggravated by movement, respiration, swallowing, posture, & coughing
Fever: low grade
13
Acute Pericarditis: Clinical
Pericardial friction rub:High-pitched
Scratchy sound
May be monophasic (only during systole), biphasic (systolic & diastolic) or triphasic (systolic, diastolic, & pre-systolic)
14
Acute Pericarditis: Investigation
ECG:ST elevation: with upward concavity (≠ AMI)
Depressed PR interval
Later on: T-inversion
15
16
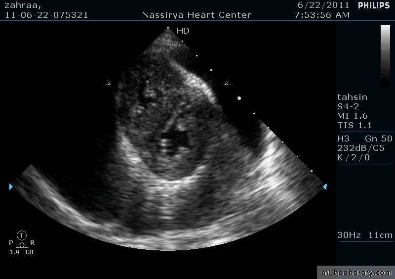
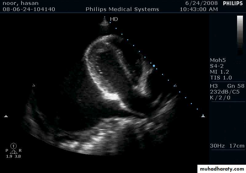
Echocardiography
Thickening of pericardiumPericardial effusion
17Acute Pericarditis: Investigation
Blood tests:High ESR
High C-Reactive protein: titre important for the follow-up of disease activity
Neutrophil leucocytosis
18
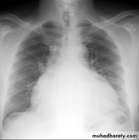
Acute Pericarditis: Investigation
CXR:Ranges from normal to severe cardiomegaly
May show additional pulmonary/mediastinal pathology
19
Acute Pericarditis: Investigation
CT scan & MRI:Demonstrate effusions
Define the pericardial & epicardial tissue
20
Acute Pericarditis: Investigation
Other investigations:Aspiration of pericardial fluid: if large enough
Cell count
Cytology
Cultures: bacterial infections
PCR: to diagnose TB
21
Acute Pericarditis: Management
Exercise restrictionAdmission to hospital
Determine etiology
Observe for tamponade
Monitor the response to treatment
22
Acute Pericarditis: Management
Drug treatment:Colchicine
AND
Aspirin
other NSAIDs
? Steroids: only in case of recurrent or resistant pericarditis
23
Acute Pericarditis: prognosis
Usually self-limitingMay be recurrent
May progress to pericardial effusion
May progress to constriction
24
Pericardial Effusion without Tamponade
25Pericardial Effusion without tamponade
Could be an exudate or transudateThe clinical picture depends on:
The amount of fluid
The rate of fluid accumulation
* A rapid rate of accumulation of relatively small amount of fluid in the pericardium leads to pericardial tamponade
26
Pericardial Effusion Without Tamponade: Clinical
Chest pain: becomes oppressive rather than sharpApex beat becomes impalpable
Distant heart sounds
Pericardial friction rub: not always disappears
27
Pericardial Effusion: Investigation
ECG :Low voltage QRS
Electrical alternans: alternating high and low QRS voltage due to oscillation of the heart in the pericardial fluid
28
Pericardial Effusion: Investigation
CXR:Globular enlargement of the heart
Rapid enlargement of cardiac shadow over days
The lungs are usually clear
29
30
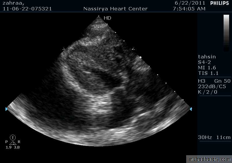
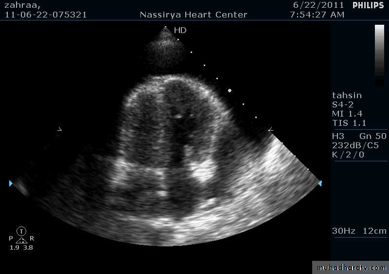
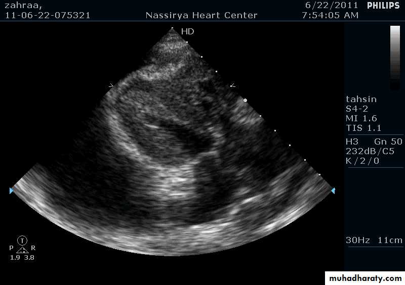
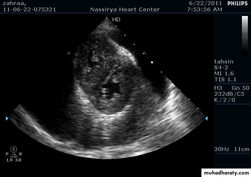
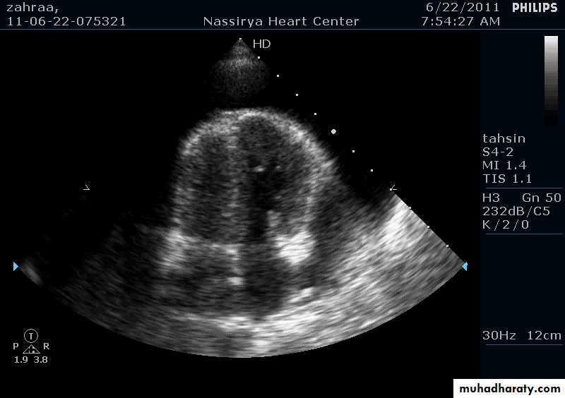
Pericardial Effusion: Investigation
Echocardiography: establishes the diagnosis31
32
33
34
35
36
37
38
39
Cardiac Tamponade
40Cardiac tamponade
Acute cardiac failure caused by compression of the heart by large or rapidly expanding pericardial effusion41
Cardiac tamponade: Clinical
Dyspnea, tachypneaHypotension
Tachycardia
Pulsus paradoxus
Raised JVP
Impalpable apex beat
42
Cardiac tamponade: Investigation
ECG:Sinus tachycardia
May be normal otherwise
Low voltage complexes
Electrical alternans
In the terminal state: electro-mechanical dissociation
43
Cardiac tamponade: Investigation
CXR:Cardiomegaly with normal lungs
Echocardiography & Doppler:
Establish the diagnosis44
Cardiac tamponade: Management
Medical emergencyShould be treated by immediate aspiration of pericardial effusion
Usually symptoms disappear after the first few CCs of aspiration
45
Chronic Constrictive Pericarditis
46Chronic Constrictive Pericarditis
Progressive thickening, fibrosis, and calcification of pericardiumThe heart becomes encased in a rigid shell of pericardium, restricting its expansion & filling
May follow viral pericarditis, TB, rheumatoid arthritis or hemopericardium
47
Symptoms
Fatigue
Enlarging abdomen
Leg edema
Dyspnea is not common because the lungs are rarely congested
48
Physical findings
Pulse: rapid & low volumePulsus paradoxus: seen in 1/3rd of cases
Elevated JVP
JAUNDICE
49
Physical Findings
Kussmaul’s sign: ↑JVP with inspirationPericardial knock: loud early diastolic heart sound (early S3)
Hepatomegaly
50
51
Physical findings
AscitesPeripheral edema
Constrictive pericarditis is an elusive entity & is often missed
Should always be suspected in all patients with edema &/or ascites
52
Differential Diagnosis
Restrictive cardiomyopathy: both cause congestive heart failure with small heartChronic liver disease: the JVP is normal
53
Investigations
ECG:May be normal
May show low voltage complexes
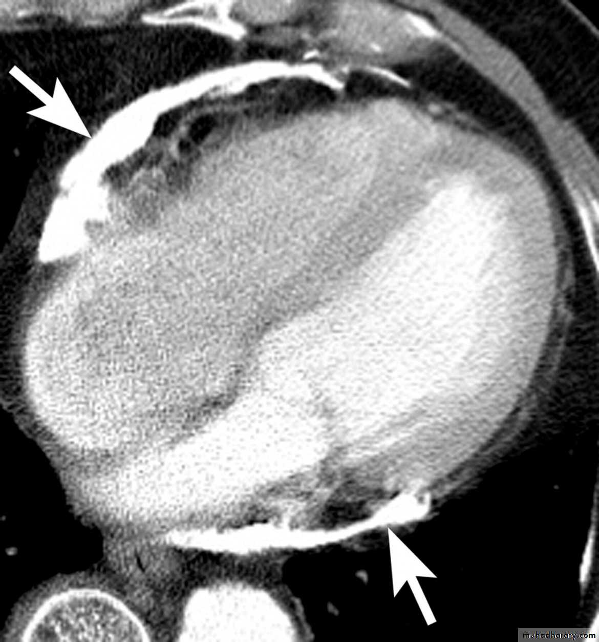
CXR:
Pericardial calcification
54
Investigations
Echocardiography & Doppler:RA & LA enlargement
Normal size ventricles
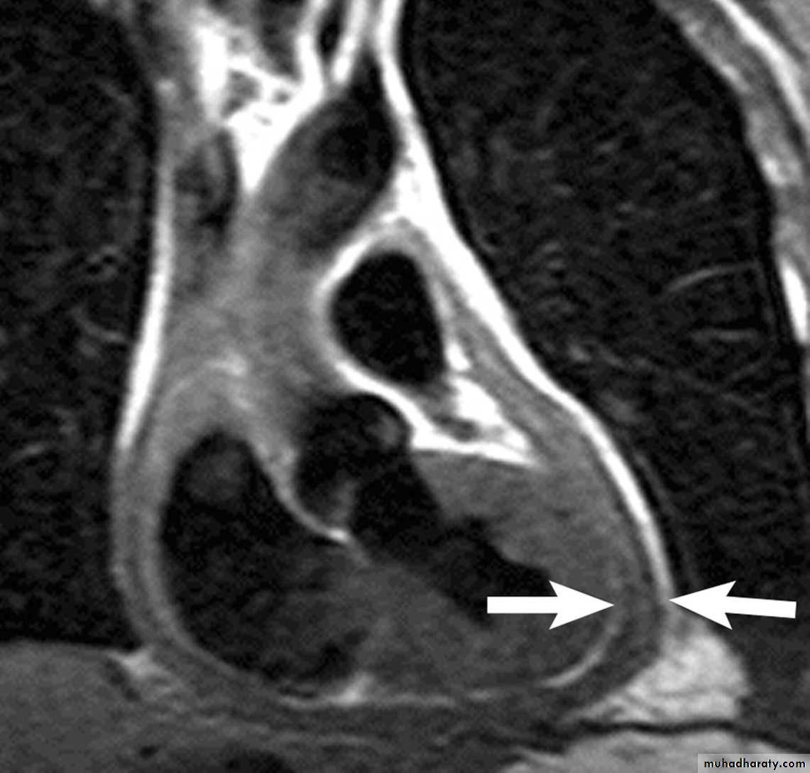
Pericardial thickening
CT/MRI: demonstrate the thickened pericardium
Cardiac catheterization: equalization of diastolic pressures in all 4 cardiac chambers
55
56
57
58
Treatment
Surgical excision of the pericardium59













