Morphology of the primary teeth
UNIVERSITY OF MOSUL
COLLEGE OF DENTISTRY2020-2021
Department of
Pedodontics,
Orthodontics and Preventive Dentistry
Department of:
HERE
By:Assist Prof:Omar Hussein Alluazy
UNIVERSITY OF MOSUL
COLLEGE OF DENTISTRYDepartment of:
HERE
020-2021
UNIVERSITY OF MOSUL
COLLEGE OF DENTISTRYFunction of primary teeth
Esthetic
Phoneticspsychology
mastication
Act as space maintainer
Guide the eruption of teeth
Stimulate the growth and development of the jaw and permanent teeth
It keep the inter occlusal distance (vertical dimension)
020-2021
Maxillary Central Incisor• Only crown that has a greater mesiodistal width than height
• Prominent cingulum
• Straight incisal edge
• Maxillary Lateral Incisor
• Similar form to central
• Smaller and DI angle rounded
UNIVERSITY OF MOSUL
COLLEGE OF DENTISTRY• Primary teeth morphology
UNIVERSITY OF MOSUL
COLLEGE OF DENTISTRYDepartment of:
HERE
Primary teeth morphology
Mandibular Central Incisor
Symmetrically flat when viewed from
buccal
Crown about 1/3 length of root
Cingulum present on lingual surface
Mandibular Lateral Incisor
Similar form to central
Usually longer
UNIVERSITY OF MOSUL
COLLEGE OF DENTISTRYDepartment of:
HERE
Maxillary Canine
Crown constricted at cervical regionWell developed, sharp cusp
Root is long, more than 2X
crown
Mandibular Canine
Similar form to maxillary
Crown shorter and narrower labiolingually
UNIVERSITY OF MOSUL
COLLEGE OF DENTISTRYMaxillary First Molar
Unique appearance
Three cusps-MB, DB and Lingual
Prominent MB cervical bulge
Mandibular First Molar
Also unique in appearance
Four cusps-MB, DB, ML and DL
Prominent MB cervical bulge
Transverse ridge (separated c.)
UNIVERSITY OF MOSUL
COLLEGE OF DENTISTRYDepartment of:
HERE
Maxillary 2nd Molar
Resembles permanent
Maxillary first molar
but smaller
Mandibular 2nd Molar
Resembles permanentmandibular first molar
but smaller
UNIVERSITY OF MOSUL
COLLEGE OF DENTISTRYDepartment of:
HERE
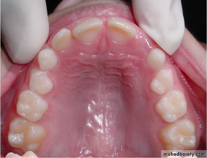
• upper
• lowerUNIVERSITY OF MOSUL
COLLEGE OF DENTISTRY
Department of:
HERE
Roots of primary teeth
Roots of anterior teeth are narrower mesiodistally
Posterior teeth have longer and more slender roots in relation to crown size
Molar roots flare more as they approach the apex
Apical foramina may be larger and accessory canals often larger and more numerous
UNIVERSITY OF MOSUL
COLLEGE OF DENTISTRY
Pulps of Primary Teeth
Relatively larger
Pulp horns are closer to the outer surface
Great variation in size and location
Mesial pulp horn is higher
Pulp chamber shallow
Usually a pulp horn under each cusp
UNIVERSITY OF MOSUL
COLLEGE OF DENTISTRYDepartment of:
HERE
Average dimension of primary molars from exterior surface to the periphery of the pulp chamber
UNIVERSITY OF MOSUL
COLLEGE OF DENTISTRYProcedures in Primary Teeth:
Restorative Dentistry:
Enamel is thinner, there fore
modifications are necessary in the
cavity preparation.
Broad contacts need to be restored.
Beware of the mesio-buccal pulp horn.
May need to do SSC if both proximal
surfaces involved.
Preserve the buccal cervical ridge to
obtain mechanical retention for SSC.
UNIVERSITY OF MOSUL
COLLEGE OF DENTISTRYDepartment of:
HERE
Question
The progression of caries
is much faster in
the primary dentition
UNIVERSITY OF MOSUL
COLLEGE OF DENTISTRYDepartment of:
HERE
Surgical Procedures:
Conical anterior roots facilitate easy removal
Flared roots of the molars use caution as premolar buds are located between the roots
UNIVERSITY OF MOSUL
COLLEGE OF DENTISTRYprimary
permanent
UNIVERSITY OF MOSUL
COLLEGE OF DENTISTRYPulp Therapy:
Pulpotomy:
beware of perforations
Pulpectomy:
Difficult on molars due to tortuous and irregular pulp canals
Beware of tooth buds
UNIVERSITY OF MOSUL
COLLEGE OF DENTISTRY
Morphological difference between primary and permanent teeth
The crowns of primary teeth :
are shorter
have a narrower occlusal table
have a more pronounced cervical constriction
have thinner enamel and dentin layers
UNIVERSITY OF MOSUL
COLLEGE OF DENTISTRYMorphological difference between primary and permanent teeth
crowns of primary teeth :
have enamel rods that run in a slightly occlusal direction from the DEJ
UNIVERSITY OF MOSUL
COLLEGE OF DENTISTRYMorphological difference between primary and permanent teeth
• crowns of primary teeth :
• have broad flat contact areas between primary molars
UNIVERSITY OF MOSUL
COLLEGE OF DENTISTRYMorphological difference between primary and permanent teeth
crowns of primary teeth :
have nearly the same mineral content
as permanent teeth
have a lighter, more homogeneous color
E
6
UNIVERSITY OF MOSUL
COLLEGE OF DENTISTRYMorphological difference between primary and permanent teeth
Roots of primary molars:
are longer and more slender in relation to crown size
are more flared as they approach the apex in order to accommodate the developing permanent tooth buds
UNIVERSITY OF MOSUL
COLLEGE OF DENTISTRY1
2
4
3
UNIVERSITY OF MOSUL
COLLEGE OF DENTISTRY
Keys to differentiating primary and permanent teeth:
Color primary teeth white and opaque
Size and contoursDepth of anatomy
Age of child
Location of teeth (counting)
UNIVERSITY OF MOSUL
COLLEGE OF DENTISTRYSize
UNIVERSITY OF MOSUL
COLLEGE OF DENTISTRYDepth of anatomy
UNIVERSITY OF MOSUL
COLLEGE OF DENTISTRYDepartment of:
HERE
C
B
E
D
A
UNIVERSITY OF MOSUL
COLLEGE OF DENTISTRY
UNIVERSITY OF MOSUL
COLLEGE OF DENTISTRYc
B
E
D
6
1
UNIVERSITY OF MOSUL
COLLEGE OF DENTISTRY6
E
7
4
6
E
7
4
UNIVERSITY OF MOSUL
COLLEGE OF DENTISTRYE
c
5
4
6
D
2
1
c
6
2
1
UNIVERSITY OF MOSUL
COLLEGE OF DENTISTRYWhat if everything got mixed up and you can’t tell which one is primary and which is permanent
?
THE END
UNIVERSITY OF MOSUL
COLLEGE OF DENTISTRY2020-2021
























































