Deep Veins Thrombosis
Daffar Dr.Ahmed Abdul-AmeerThoracic & Vascular Surgeon
Definition Is the formation of a blood clot (thrombus) in a deep vein.It commonly affects the leg veins , such as the femoral vein or the popliteal vein or the deep veins of the pelvis .Occasionally the veins of the upper limbs are affected.Thrombi usually develop first in the calf veins growing in the direction of flow of the veins. Extensive DVT can extend into the iliac veins or the inferior vena cava .There is a significant risk of the thrombus embolizing and traveling to the lungs causing a pulmonary embolism
Etiology
Virchow’s triadIs a group of three factors affect clot formation
1-Rate of flow
2-Thickness(consistency ) of the blood .
3-State of the vessel wall
Deep veins thrombosis occurred in the left leg more than on the right leg due to compression of the left common iliac vein by the overlying right common iliac artery .
Risk factors Recent surgery or hospitalization Advanced age Obesity Infection Immobilization Contraceptive pills Tobacco Air travel (Economy class Syndrome ) Thrombophilia (tendency to develop thrombosis )
Signs & Symptoms
The classical symptoms of DVT include :-Pain , swelling, tenderness, hotness & redness of the leg & dilatation of the surface veins .
-Clinically silent DVT may not be diagnosed unless pulmonary embolism develops
- It’s common in hospitalized patients.
Phlegmasia alba dolens (Milk leg , white leg )
The leg is pale and cool with diminished arterial pulse due to spasm. It usually result from acute occlusion of the iliac and femoral veins due to DVTPhlegmasia cerulea dolens ( Blue leg )
There is an acute and nearly total venous occlusion of the entire extremity outflow ,including the iliac and femoral veins. The leg is usually painful, cyanosed and edematous. Venous gangrene may supervene.InvestigationsIntra venous venography
Which involves injecting a peripheral vein of the affected limb with a contrast agent and taking X-rays to visualize the vein was the gold standard in the diagnosis of DVT but because of its invasiveness , it is rarely performed nowadays .Inferior vena cava venography
Thrombus (axillary vein)Blood Tests
• D- dimer level• This cross-linked fibrin degradation product is an indication that thrombosis is occurring , and that the blood clot is being dissolved by plasmin.
• Other blood tests
• Complete blood count (CBC)
• Primary coagulation studies (PT ,PTT ,Fibrinogen )
• Liver Enzymes
• Renal function and electrolytes .
PlethysmographyIt’s a device used to measure changes in blood flow or air volume in different parts of the body. It may be done to check for blood clots in the arms and legs, or other extremities to determine circulatory capacity
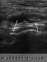
Doppler ultrasonography
Duplex US with color-flow imaging (sometimes called triplex ultrasound):This is a special type of 2-dimensional ultrasound that uses Doppler-flow information to add color for blood flow in the image. Vessels in the blood are colored red for flow in one direction and blue for flow in the other, with a graduated color scale to reflect the speed of the flow.
Duplex ultrasonography , due to its high sensitivity , specificity and reproducibility , has replaced venography as the most widely used test in the evaluation of DVT.
Complication
DVTs occur in about 1 per 1000 persons per year. About 1-5% will die from the complications (i.e Pulmonary Embolism)
Signs and symptoms
Signs of DVT
Chest pain
Tachycardia
Cough
Tachypnea
SOB
Syncopy
Although pulmonary embolism can arise from anywhere in the body, most commonly it arises from the calf veins. The venous thrombi predominately originate in venous valve pockets and at other sites of presumed venous stasis. To reach the lungs, thromboemboli travel through the right side of the heart. right atrium; &Right ventricle Pulmonary artery
: A pulmonary angiogram shows the abrupt termination of the ascending branch of the right upper-lobe artery, confirming the diagnosis of pulmonary embolism.
A posteroanterior chest radiograph showing a peripheral wedge-shaped infiltrate caused by pulmonary infarction secondary to pulmonary embolism.
Post – phlebitic syndrome
It occurs in 15% of patients with deep vein thrombosis .It presents with :-
Leg edema
Pain
Nocturnal cramping
Venous claudication
Skin pigmentation
Dermatitis & Ulceration
Treatment
1-HospitalizationHospitalization should be considered in patients with more than two of the following risk factors as these patients may have more risk of complications during treatment
Bilateral DVT
Renal insufficiencyObesity
Recent immobility
Chronic heart failure
Cancer
2-Anti coagulant
Patients are initiated on a brief course (i.e., less than a week) of heparin or LMWH treatment while they start on a 6-month course of warfarin .Unfractionated heparin is given in patients who have a contraindication to LMWH (e.g., renal failure or imminent need for invasive procedure).
In patients who have had recurrent DVTs (two or more), anticoagulation is generally "life-long."
Heparin increases the activity of anti thrombin III , prevent conversion of fibrinogen to fibrin monitored by P.T.T
Warfarin acts by blocking liver prothrombin production and monitored by P.T & INR . It should be (2-3) the normal
Low molecular weight heparin (LMWH)
It is safer and more effective than unfractinated heparin for prophylaxis and treatment of DVT & PE
PTT monitoring is neither necessary nor useful with LMWH as it is active in tissue phase .
Enoxaparin ( Clexane )
Tinzaparin (innohep )
3-Thrombolysis
It’s generally reserved for extensive clot, e.g. an iliofemoral thrombosis. Although there may be an increase in serious bleeding complicationsThrombolytic agents available today are serine proteases that work by converting plasminogen to the natural fibrinolytic agent plasmin. Plasmin lyses clot by breaking down the fibrinogen and fibrin contained in a clot .
Urokinase like plasminogen activators are produced in renal cells. They circulate in blood and are excreted in the urine. Their ability to catalyze the conversion of plasminogen to plasmin .
4-Compression stockings
Elastic compression stocking should be routinely applied "beginning within 1 month of diagnosis of proximal DVT and continuing for a minimum of 1 year after diagnosis . Starting within one.week may be more effective
It reduces the incidence of post-phlebitic syndrome .
5- Inferior vena cava filter
It reduces pulmonary embolism and is indicated in those patients with recurrent pulmonary emboli while on anti coagulant & for those with DVT who carry a risk of pulmonary embolism but have a contra – indication for anti – coagulation. It is called Greenfield filter.It may prevent pulmonary embolization of the leg clot.
DVT prophylaxis
In acutely ill medical patients who have been admitted to the hospital with congestive heart failure or severe respiratory disease, or who are confined to bed and have one or more additional risk factors, including active cancer,, sepsis acute neurologic disease, or inflammatory, bowel , we recommend prophylaxis with heparin. Enoxaparin or unfractionated heparin may be used .because it may be more effectiveSurgical patients
LMWH are routinely administered to prevent thrombosis in patients who undergo surgery.LMWH is administered subcutaneously.
Pregnant women who have history of thrombosis may need LMWH.
Early and regular ambulation (walking) is important as it activates muscle pump , increasing venous return and prevents stasis.
Economy class syndrome
Is the occurrence of DVT in air travelers specially long distance air line travel .There is clinical evidence to suggest that wearing compression socks while traveling will reduces the incidence of thrombosis in people on long distance travel .































