The Cause related phase of P.D. therapy (Initial phase)
UNIVERSITY OF MOSULCOLLEGE OF DENTISTRY
By: Dr. Huda A. Salim
B.D.S, M.Sc. In Oral and Maxillofacial Surgery
Mosul University/College of Dentistry/Oral and Maxillofacial Department.
2020-2021
Department of:
Oral and Maxillofacial Surgery.
UNIVERSITY OF MOSUL
COLLEGE OF DENTISTRY Phase I therapy or cause-related therapy is the first in the chronologic sequence of procedures that constitute periodontal treatment.
Phase I therapy is referred to by a number of names, including initial therapy, nonsurgical periodontal therapy, and cause-related therapy.
The initiation of a comprehensive daily plaque or biofilm control regimen, management of periodontal-systemic interrelationships as needed, and thorough removal of supragingival and subgingival bacterial plaque or biofilm and calculus.
Phase Ιaimed at removal of pathogenic biofilms, toxins, and calculus and the reestablishment of a biologically acceptable root surface
UNIVERSITY OF MOSUL
COLLEGE OF DENTISTRY
The treatment of patients affected by caries and periodontal disease, may be divided into four different phases:
1. Systemic phase of therapy, including smoking counseling
2. Initial (or hygienic) phase of periodontal therapy, that is cause‐related therapy
3. Corrective phase of therapy, that is additional measures such as periodontal surgery and/or endodontic therapy, implant surgery, restorative, orthodontic, and/or prosthetic treatment
4. Maintenance phase (care), that is supportive periodontal therapy (SPT).
UNIVERSITY OF MOSUL
COLLEGE OF DENTISTRYPatient Motivation:
Microbial plaque biofilm control, also referred to as periodontal self-care.
Optimal oral hygiene requires appropriate
motivation of the patient, adequate tools, and professional oral hygiene instruction.
Continuous encouraging the pt.to perform good O.H. measure to control plaque & regular return visits for maintenance & reinforcement.
UNIVERSITY OF MOSUL
COLLEGE OF DENTISTRYPatient Motivation:
change poor daily habits and return for regular visits for maintenance therapy. Patient must understand the etiology of the disease and its importance in treatment and maintenance.
The patient must also be compliant and receptive and must understand the concepts of pathogenesis, treatment, and prevention of periodontal disease.
UNIVERSITY OF MOSUL
COLLEGE OF DENTISTRYBrushing:
People brush their teeth for a number of reasons: to feel fresh and confident, to have a nice smile, and to avoid bad breath and disease Tooth brushing is currently the most commonly implemented measure in oral hygiene practices. when used properly, has no side effects, is easy to use, and is inexpensive
Two types of brush: Manual tooth brush and electric.
The American Dental Association (ADA) recommends that individuals should brush twice per day and use floss or other interdental cleaners once per day to effectively remove microbial plaque biofilms and prevent gingivitis.
UNIVERSITY OF MOSUL
COLLEGE OF DENTISTRYThe Toothbrush:
Toothbrushes vary in size and design, as well as in length, hardness, and arrangement of the bristles.Manual tooth brush:
Vary in size, design, length, hardness, and arrangement of bristles.
Tooth brush bristles are grouped in tufts: 3-4 rows.
Rounded bristles ends cause fewer scratches on gingiva than flat- cut bristles with sharp end
UNIVERSITY OF MOSUL
COLLEGE OF DENTISTRYUNIVERSITY OF MOSUL
COLLEGE OF DENTISTRY 2 types of bristles material: natural from hog and artificial filaments made from nylon.
Both remove microbial plaque biofilm, but nylon bristle brushes predominate in the market.
Diameter of common bristles:
0.007 inch (0.2 mm) for soft brushes
0.012 inch (0.3 mm) for medium brushes 0.014 inch (0.4 mm) for hard brushes.
Tooth brushes must replaced periodically, every 3-4 months.
Time for optimum plaque removing efficacy reached 2 min.
UNIVERSITY OF MOSUL
COLLEGE OF DENTISTRYUNIVERSITY OF MOSUL
COLLEGE OF DENTISTRY020-2021
A
B
UNIVERSITY OF MOSUL
COLLEGE OF DENTISTRYIdeal manual tooth brush:
1- Handle size appropriate to user’s age and dexterity.2- Head size appropriate to the size of the individual patient’s requirements.
3- End‐rounded nylon or polyester filaments.
4- Soft filament configurations.
5- Filament patterns that enhance plaque removal in the appropriate spaces and along the gum line.
6- In addition to: inexpensive, durability, imperviousness to moisture, and easy to use.
UNIVERSITY OF MOSUL
COLLEGE OF DENTISTRYPowered tooth brush:
Electrically powered toothbrushes designed to mimic back-and forth brushing techniques were invented in 1939. Subsequent models featured circular or elliptical motions, and some had combinations of motions. Currently, powered toothbrushes have oscillating and rotating motions.
Powered toothbrushes have been shown to improve oral health for the following:
• children and adolescents.
• people with physical or mental disabilities
• hospitalized patients, including older adults who require the assistance of caregivers for hygiene.
• patients with fixed orthodontic appliances
UNIVERSITY OF MOSUL
COLLEGE OF DENTISTRYPowered toothbrushes with oscillating and rotating motions remove plaque biofilm and reduce
gingival bleeding slightly better than manual toothbrushes.
UNIVERSITY OF MOSUL
COLLEGE OF DENTISTRY
UNIVERSITY OF MOSUL
COLLEGE OF DENTISTRYTooth brushing methods:
There is no single oral hygiene method that is correct for every patient. The ideal brushing technique is the one that allows for complete plaque removal in the least possible time, without causing any damage to tissues.
Many methods for brushing the teeth have been described and
promoted as being efficient and effective.
These methods can be categorized primarily according to the pattern of motion when brushing and are primarily of historic interest, as follows:
UNIVERSITY OF MOSUL
COLLEGE OF DENTISTRY1- Roll: Roll or modified Stillman technique.
2- Vibratory: Stillman, Charters, and Bass techniques.3- Circular: Fones technique.
4- Vertical: Leonard technique.
5- Horizontal: Scrub technique.
UNIVERSITY OF MOSUL
COLLEGE OF DENTISTRY020-2021
Roll technique:
Indicated when there is periodontitis with receded papillae & spaced teeth.
Called modified stillman technique.
Bristle ends resting partly on adjacent G. & partly on cervical portion of teeth at oblique angle then move in occlusal direction with back & forth strokes (5-8 times)
Incorrect tech. lead to G.R.
Depend on; frequency ,force.
Paragraph
UNIVERSITY OF MOSUL
COLLEGE OF DENTISTRYRoll tech.:
The sides of the filaments are pressed lightly against the gingiva. The head of the brush is rolled over the gingiva and teeth in an occlusal direction.UNIVERSITY OF MOSUL
COLLEGE OF DENTISTRY020-2021
Vibratory technique:
Modified bass method.
5-6 times at each sites.
For pt. with p.d. disease as it provide access to clean the gingival area.
It permit bristle tip penetrate into p.d. area & possibly slightly subgingivally
UNIVERSITY OF MOSUL
COLLEGE OF DENTISTRY
Vibratory:
This method is particularly effective in cases with receded interdental papillae because the filament tips can easily penetrate the interdental space and in orthodontic patients Light pressure vibratory (slight rotary) movement, is then applied to the handle, while the filament tips are maintained in position on the tooth surface
UNIVERSITY OF MOSUL
COLLEGE OF DENTISTRYUNIVERSITY OF MOSUL
COLLEGE OF DENTISTRYCircular tech.:
is performed with the teeth closed, the brush placed inside the cheek, and a fast circular motion applied that extends from the maxillary gingiva to the mandibular gingiva, using light pressure.Back‐and‐forth strokes are used on the lingual and palatal tooth surfaces.
UNIVERSITY OF MOSUL
COLLEGE OF DENTISTRYVertical brushing:
Similar to the horizontal brushing technique, but the movement is applied in the vertical direction, using up‐and‐down strokes.UNIVERSITY OF MOSUL
COLLEGE OF DENTISTRYHorizontal brushing:
the most commonly used tooth brushing method. used by individuals who have never had instruction in oral hygiene techniques
it is simple
head of the brush is positioned perpendicular to the tooth surface, and then a horizontal back‐and forth scrubbing movement is applied
UNIVERSITY OF MOSUL
COLLEGE OF DENTISTRYHorizontal brushing:
The occlusal, lingual, and palatal surfaces of the teeth are brushed with an open mouth. To reduce the pressure of the cheek on the brush head, the vestibular surfaces are cleaned with the mouth closed.
UNIVERSITY OF MOSUL
COLLEGE OF DENTISTRYNote:
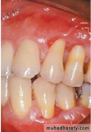
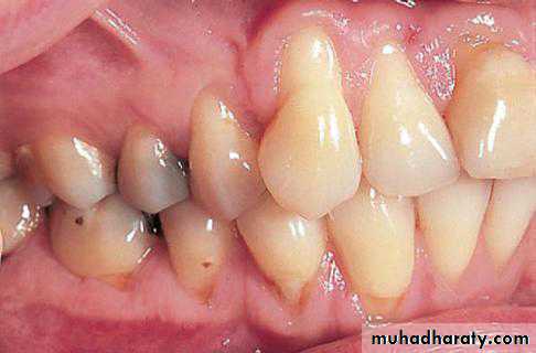
It has been shown that several factors contribute to the problem of abrasion:(1) the use of hard toothbrushes.
(2) vigorous horizontal brushing.
(3) the use of extremely abrasive dentifrices; all these factors may contribute to and lead to cervical abrasions of teeth and recession of the gingiva.
UNIVERSITY OF MOSUL
COLLEGE OF DENTISTRY
Department of:
HERE
UNIVERSITY OF MOSUL
COLLEGE OF DENTISTRYdentifrice
UNIVERSITY OF MOSUL
COLLEGE OF DENTISTRYDentifrice:
dentifrices aid in cleaning and polishing tooth surfaces Facilitate removal of dental plaque& stain by increase mechanical friction due to presence of abrasive particles.
Appropriate size of abrasive particles; neither large nor small.
The contents of abrasives:(silicone oxide or aluminum oxide and granular polyvinyl chlorides), water, soap, flavoring, sweetening agent & therapeutic agents (fluoride, pyrophosphates) ,coloring & preservatives
Insoluble inorganic salts ;20-40%.
Tooth powder much more abrasive than paste that contain 95% abrasive materials.
Fluoride ion must be in a mount 1000 to 1100 (ppm) to achieve caries reduction effects.
They are used mostly in the form of pastes, although powders and gels are also available.
UNIVERSITY OF MOSUL
COLLEGE OF DENTISTRYDentifrice:
“Calculus control” toothpastes, also referred to as “tartar control” toothpastes, contain pyrophosphates and have been shown to reduce the deposition of new calculus on teeth as it forms.These ingredients interfere with crystal formation in calculus but do not affect the fluoride ion in the paste or increase tooth sensitivity.
UNIVERSITY OF MOSUL
COLLEGE OF DENTISTRYInterdental Aids:
Any toothbrush, regardless of the brushing method used, does not completely remove interdental plaque biofilms. This is true for all patients, even for periodontal patients with wide-open embrasures.
Patients should understand that the purpose of interdental cleaning is to remove microbial plaque biofilm, not just food that has wedged between two approximating teeth.
UNIVERSITY OF MOSUL
COLLEGE OF DENTISTRY
Many instruments are available for interproximal cleaning, and they should be recommended based on:
● the size of the interdental spaces.
● the presence of furcation.
● Root surface concavities.
● tooth alignment and the presence of orthodontic appliances or other fixed prostheses.
Moreover, ease of use and patient cooperation are important considerations.
UNIVERSITY OF MOSUL
COLLEGE OF DENTISTRYDental Floss:
Dental floss is the most widely recommended tool for removing biofilm from proximal tooth surfaces.
Floss is made from nylon filaments or plastic monofilaments, and it comes in waxed, un waxed, thick, thin, and flavored varieties.
Ease of use
• Factors influencing the choice of dental floss include:
(1)the tightness of tooth contacts.
(2) the roughness of proximal surfaces.
(3)and the patient's manual dexterity.
not the superiority of any one product.
UNIVERSITY OF MOSUL
COLLEGE OF DENTISTRYUNIVERSITY OF MOSUL
COLLEGE OF DENTISTRYUNIVERSITY OF MOSUL
COLLEGE OF DENTISTRYInterdental Brushes:
Probably the most effective plaque biofilm removal method for interdental areas, where the papilla does not completely fill the space. A comparison study of dental floss and interdental brushes used by patients with moderate to severe periodontal disease indicated that the interproximal brushes
removed a greater amount of interproximal plaque biofilm and that
the subjects found it easier to use these brushes than dental floss.
UNIVERSITY OF MOSUL
COLLEGE OF DENTISTRYUNIVERSITY OF MOSUL
COLLEGE OF DENTISTRYUNIVERSITY OF MOSUL
COLLEGE OF DENTISTRYToothpick(stimudent):
Toothpick one of our earliest tools. In receded papillae, Wooden toothpicks are used either with or without a handle.
Wood sticks are somewhat difficult to use in the far posterior regions of the jaws because of the lack of accessibility and because the triangular cross‐section must pass into the embrasure space at a specific angle.
UNIVERSITY OF MOSUL
COLLEGE OF DENTISTRY When used in healthy dentition, wood sticks can depress the gingival margin.
Long‐term use can cause permanent loss of the papilla and opening of the embrasure, which can have important esthetic implications for the anterior dentition.UNIVERSITY OF MOSUL
COLLEGE OF DENTISTRYHERE
UNIVERSITY OF MOSUL
COLLEGE OF DENTISTRYSingle-tufted brush/ end‐tufted brushes:
Single‐tufted brushes have smaller brush heads, which have a small group of tufts or a single tuft. The tuft can be 3–6 mm in diameter and can be flat or tapered. The handle can be straight or contra‐angled. In furcation area, have smaller brush heads.
Angled handles permit easier access to lingual and palatal aspects.
UNIVERSITY OF MOSUL
COLLEGE OF DENTISTRYAdjunctive aids:
Additional oral hygiene aids have been developed in an attempt to augment the effects of tooth brushing on reducing interdental plaque.(1) Dental water jets/oral irrigators.
(2) Tongue cleaners.
UNIVERSITY OF MOSUL
COLLEGE OF DENTISTRY
UNIVERSITY OF MOSUL
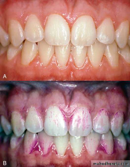
COLLEGE OF DENTISTRYDisclosing agent:
Adjunctive aid used by patient to evaluate efficacy of home care.
Disclosing agents are solutions or wafers that stain bacterial biofilm on the surfaces of the teeth, tongue, and gingiva.
educational and motivational tools to improve the efficiency of plaque biofilm control procedures.
Disclosing agents are chemical compounds, such as erythrosine, fuchsine or fluorescein‐ containing dye.
UNIVERSITY OF MOSUL
COLLEGE OF DENTISTRY the disclosing agent should be applied after tooth brushing, which allows the patient to identify those areas needing additional cleaning efforts.
Disclosing solution is available in liquid and tablet forms.










































