UNIVERSITY OF MOSUL
COLLEGE OF DENTISTRY2020-2021
Eruption of Teeth..
By:
الأستاذ المساعد: عمر حسين اللويزي
• Department of
• Orthodontics
is the movement which takes a tooth from its developmental position (in the alveolar bone) to the oral cavity until it reaches the occlusion with its antagonist dentition.
It includes two phases:
Intra bony Phase
Intra oral Phase
Eruption
Chronology of Human Primary Dentition
• Tooth• Hard Tissue Formation Begins
• Amount of Enamel Formed at Birth
• Enamel Completed
• Eruption
• Root Completed
• Maxillary
• Central incisor
• 4 mo in utero• Five sixths
• 1 ½ mo
• 7 ½ mo
• 1 ½ yr
• Lateral incisor
• 4 ½ mo in utero
• Two thirds
• 2 ½ mo
• 9 mo
• 2 yr
• Cuspid
• 5 mo in utero
• One third
• 9 mo
• 18 mo
• 3 ¼ yr
• First molar
• 5 mo in utero
• Cusps united
• 6 mo
• 14 mo
• 2 ½ yr
• Second molar
• 6 mo in utero
• Cusp tips still isolated
• 11 mo
• 24 mo
• 3 yr
• Mandibular
• Central incisor
• 4 ½ mo in utero
• Three fifths
• 2 ½ mo
• 6 mo
• 1 ½ yr
• Lateral incisor
• 4 ½ mo in utero
• Three fifths
• 3 mo
• 7 mo
• 1 ½ yr
• Cuspid
• 5 mo in utero
• One third
• 9 mo
• 16 mo
• 3 ¼ yr
• First molar
• 5 mo in utero
• Cusps united
• 5 ½ mo
• 12 mo
• 2 ¼ yr
• Second molar
• 6 mo in utero
• Cusp tips still isolated
• 10 mo
• 20 mo
• 3 yr
Chronology of Human Permanent Dentition
• Tooth• Hard Tissue Formation Begins
• Amount of Enamel Formed at Birth
• Enamel Completed
• Eruption
• Root Completed
• Maxillary
• Central incisor
• 3-4 mo• Sometimes a trace
• 4-5 yr
• 7-8 yr
• 10 yr
• Lateral incisor
• 10-12 mo
• 4-5 yr
• 8-9 yr
• 11 yr
• Cuspid
• 4-5 mo
• 6-7 yr
• 11-12 yr• 13-15 yr
• First bicuspid
• 1 ½ - 1 ¾ yr
• 5-6 yr
• 10-11 yr• 12-13 yr
• Second bicuspid
• 2 – 2 ¼ yr
• 6-7 yr
• 10-12 yr• 12-14 yr
• First molar
• At birth
• 2 ½ - 3 yr
• 6-7 yr
• 9-10 yr
• Second molar
• 2 ½ - 3 yr
• 7-8 yr
• 12-13 yr• 14-16 yr
• Third molar
• 7-9 yr
• 12-16 yr
• 17-21 yr• 18-25 yr
• Mandibular
• Central incisor
• 3-4 mo• Sometimes a trace
• 4-5 yr
• 6-7 yr
• 9 yr
• Lateral incisor
• 3-4 mo
• 4-5 yr
• 7-8 yr
• 10 yr
• Cuspid
• 4-5 mo
• 6-7 yr
• 9-10 yr• 12-14 yr
• First bicuspid
• 1 ¾ - 2yr
• 5-6 yr
• 10- 12 yr• 12-13 yr
• Second bicuspid
• 2 ¼ – 2 ½ yr
• 6-7 yr
• 11-12 yr• 13-14 yr
• First molar
• At birth
• 2 ½ - 3 yr
• 6-7 yr
• 9-10 yr
• Second molar
• 2 ½ - 3 yr
• 7-8 yr
• 11-13 yr• 14-15 yr
• Third molar
• 8-10 yr
• 12-16 yr
• 17-21 yr• 18-25 yr
Influence of Premature loss of Primary Teeth on Eruption time of their Successors:
Primary molars loss at 4 or 5 years leads to delay eruption of premolars.
Extraction of the primary molars occurs after the age of 5 years, there will be a decrease in the delay of premolar eruption.
Variations in the Sequence of Eruption:
Sequence of eruption of primary dentition:Sequence of eruption of permanent dentition:
ABDCEABDCE
6124537861234578
Teething and Difficult Eruption:
Increase in salivation.
Itching sensation and the child put his/her hands and fingers in the mouth.The child feels restlessness.
Inflammation of gingival tissue.
No evidence of high fever, diarrhea, facial rash, or sleep problems.
Management
Eruption takes place over a period of two year.Reassurance of parents regarding teething signs and symptoms.
Giving the child object to bite on, cold object may cause pain relief through pressure of biting and my accelerate tooth eruption.Cold vegetables like chilled carrots or chewy toys
Topical medication (Not recommended)
Systemic medication (Antipyrol 4-6 hours)
Eruption Haematoma (Eruption Cyst):
Bluish purple elevated areaResult from trauma to the area and a hemorrhage on follicle of erupted tooth.
subside after eruption
Mainly associated with 6s
and Es.
Treatment: Self limited
as the tooth break through
or surgical excision.
Eruption Sequestrum:
Tiny spicule of nonviable bone overlying the crown of an erupting permanent.Should be removed to
control local inflammation.
Ectopic Eruption
Tooth erupts or tries to erupt in an abnormal position.Lingual Eruption of Mandibular Permanent Incisors:
Natal and Neonatal teeth
Natal teeth (teeth present at birth)Neonatal teeth (teeth that erupt during the first 30 days).
Most prematurely erupted teeth are hypermobile because of the limited root development.
Management
Careful observation, checking the degree of mobility.Interferences with suckling and breast feeding, possibility of traumatic injury (Riga Fede)
Whether the tooth is part of normal dentition or supernumerary.
Leave, extract or smooth edges
Epstein Pearls, Bohn Nodules and Dental Lamina Cysts:
Small, white or grayish lesions on the alveolar mucosa of the newborn.
May incorrectly diagnosis as natal teeth.
Usually multiple but do not increase in size.
No treatment indicated, since
the lesions are spontaneously
shade a few weeks after birth.
Epstein's pearl
Factors that Cause Difference in Time of Eruption:
1. Race: Black versus white people.
2. Environment: Industrial versus third world country.
3. Socio – economic Level: The children of high level show early teeth eruption due to good nourishment and health.
4. Nutrition and Growth: Result in earlier teeth eruption
5. Sex: female’s teeth eruption earlier than males.
6. Disease: either local or systemic disease.
• Local Factors:
• Infection around the tooth.• Supernumerary teeth.
• 3. Trauma.
• 4. Gingival fibromatosis.
• 5. Ankylosed teeth.
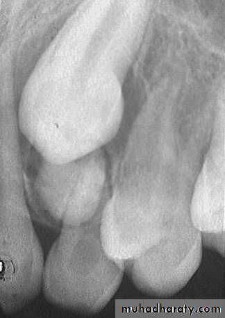
Ankylosed tooth: The tooth is in state of static retention, whereas in the adjacent areas eruption and alveolar growth continue.
Ankylosis of anterior teeth does not occur unless there has been trauma.
Diagnosis of ankylosed tooth:
1. Eruption has not occurred.
2. Alveolar process has not developed in normal occlusion.
3. The opposing tooth is out of occlusion.
4. Even with extensive root resorption, the tooth is not mobile.
5. Diagnosis by tapping with a blunt instrument.
6. Radiographically: A break in the continuity of the periodontal membrane.
Treatment of ankylosed tooth:
Early diagnosis is important.Treatment may involve surgical removal,
loss of arch length is evident, the dentist may choose to keep the tooth under observation.
The tooth that is definitely ankylosed may undergoes root resorption and be normally exfoliated.
Ankylosis of permanent teeth:
The incomplete eruption of permanent tooth may be related to a small area of root ankylosis.
The removal of soft tissue and bone covering the occlusal aspect of the crown should be attempted first.
Luxation technique effective in breaking the bony ankylosis.
If rocking technique is not immediately successful, it should be repeated in 6 months.
Systemic Causes of Late Teeth Eruption:
1. Mongolism (Down’s syndrome)
2. Cleidocranial dysplasia3. Hypothyrodism
4. hypopitutarism
5. Achordroplastic dwarfism




































