IMMEDIATE DENTURE
Dr. Inas Aziz M. JawadUNIVERSITY OF MOSUL
COLLEGE OF DENTISTRY2020-2021
Department of Prosthodontics
Department of:
HERE020-2021
After the extraction of teeth the edentulous ridges undergo bone resorption and remodelling, as well as soft tissue changes. The greatest changes are observed in the first few months after extraction after which it usually slows down. Denture construction is often delayed to allow for proper healing of the tissues and bone remodelling. However, some patients cannot afford to be seen in public without teeth for the period required for this process. Such patients are provided with immediate replacement of teeth after total extraction. Immediate dentures reduce the psychological trauma and shame associated with the loss of teeth.UNIVERSITY OF MOSUL
COLLEGE OF DENTISTRYINTRODUCTION
UNIVERSITY OF MOSUL
COLLEGE OF DENTISTRYDEFINITION
Immediate denture: Any removable dental prosthesis fabricated for placement immediately following the removal of a natural tooth/ teeth (GPT-8).
Immediate dentures: are dentures constructed before all the remaining teeth have been removed and inserted immediately after the removal of the remaining teeth (Boucher)
Conventional immediate denture (CID):
1- Used as a long term prosthesis after the healing period by relining it.2- Teeth extracted in two surgical phases - posterior teeth extracted initially, followed by the anteriors.
3- indicated if patient can function without posterior teeth for 3-4 weeks as the posterior ridge heals.
2. Interim (transitional) immediate denture (IID):
1- Replaced by a new definitive prosthesis after the healing period
2- All teeth - anterior and posterior extracted in single visit.
3- Indicated if a patient is unwilling to function without any teeth.
UNIVERSITY OF MOSUL
COLLEGE OF DENTISTRYTYPES
UNIVERSITY OF MOSUL
COLLEGE OF DENTISTRYDepartment of:
HERE
1. Any person whose remaining teeth are indicated for extraction is a potential candidate for an immediate denture. However, such a candidate must be physically and mentally prepared to undergo the increased number of visits to the dentist, as well as the greater cost.
INDICATIONS
UNIVERSITY OF MOSUL
COLLEGE OF DENTISTRY
Department of:
HERE
2. Where appearance is critical.
3. Appropriate treatment option for those in the professions who could not do without teeth for any period of time, e.g. doctors, business people, singers.
INDICATIONS
UNIVERSITY OF MOSUL
COLLEGE OF DENTISTRYDepartment of:
HERE
The immediate denture requires more appointments than a conventional denture. Because of the rapid tissue changes the denture would need frequent adjustment and occasional relining. Soon the changes are so great that an entirely new denture has to be made within a short span of time. All this makes the immediate denture far more expensive than the conventional denture.
Cost and appointments
UNIVERSITY OF MOSUL
COLLEGE OF DENTISTRYDepartment of:
HERE
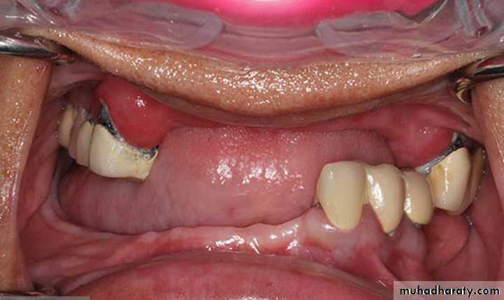
Basically any patient who is not fit to undergo multiple extraction , or patient with surgical risks like:
Radiation therapy
Blood clotting
Tissue regeneration/ wound healing problems
After surgery drainage required
Previous history of post-extraction
haemorrhage.
CONTRAINDICATIONS
UNIVERSITY OF MOSUL
COLLEGE OF DENTISTRYDepartment of:
HERE
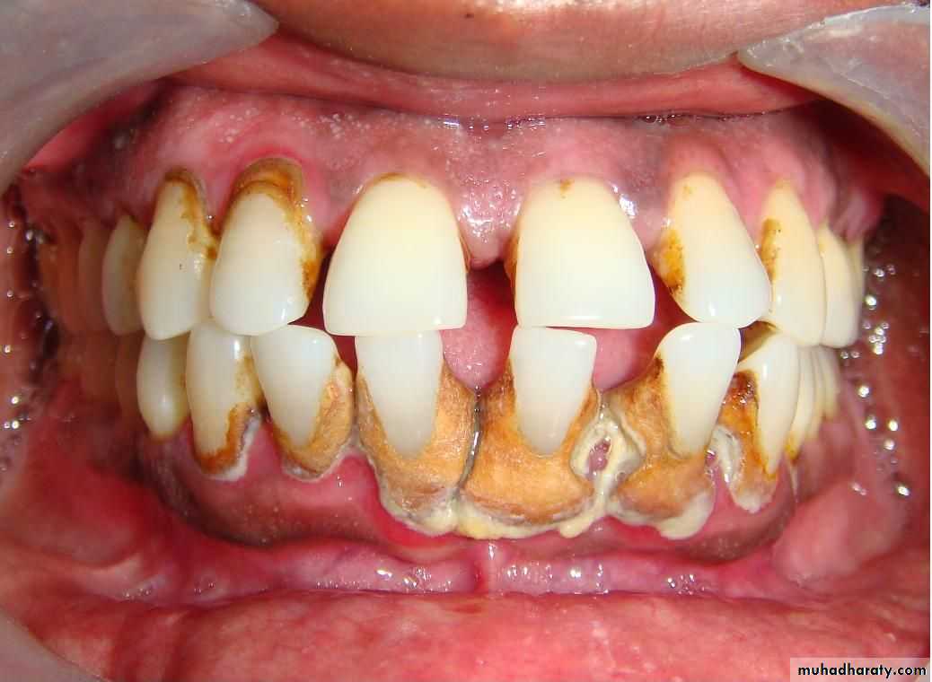
2. The presence of gross oral sepsis or infection.
CONTRAINDICATIONS
UNIVERSITY OF MOSUL
COLLEGE OF DENTISTRYDepartment of:
HERE
3. In acute periapical or periodontal infection
CONTRAINDICATIONS
UNIVERSITY OF MOSUL
COLLEGE OF DENTISTRY
Department of:
HERE
4. Patients have debilitating diseases or at risk from a bacteraemia:
History of rheumatic fever with cardiac damage.
Heart valve.
Hip prosthesis.
CONTRAINDICATIONS
Rheumatic heart disease (RHD)
UNIVERSITY OF MOSUL
COLLEGE OF DENTISTRYDepartment of:
HERE
5. Patients incapable of showing responsibility towards the treatment like patient in poor general health and uncooperative patient.
CONTRAINDICATIONS
UNIVERSITY OF MOSUL
COLLEGE OF DENTISTRYDepartment of:
HERE
6. Extensive bone loss adjacent to remaining teeth. (This would indicate that loss of fit and occlusion expected during the treatment)
CONTRAINDICATIONS
UNIVERSITY OF MOSUL
COLLEGE OF DENTISTRYThe primary advantage of the immediate denture is the preservation of esthetics as there is little or no change in facial appearance. There is no edentulous period.
ADVANTAGES
UNIVERSITY OF MOSUL
COLLEGE OF DENTISTRY2. The patient learns to manipulate the dentures while recovering from the surgery. Thus the patient regains oral functions faster.
3. Serves as a splint.
ADVANTAGES
UNIVERSITY OF MOSUL
COLLEGE OF DENTISTRY4. Nutrition is maintained.
5. It is more compatible with the oral surroundings as the tongue, lips and cheeks have not yet changed position.
6. The natural teeth aid in vertical relation positioning and selecting artificial teeth.
ADVANTAGES
UNIVERSITY OF MOSUL
COLLEGE OF DENTISTRY7. Less TMJ disturbance.
8. It aids in contouring the healing residual ridge.
9. Psychological benefit. The patient is spared the inconvenience and stress of an edentulous period.
10. Easy to refit by relining.
ADVANTAGES
UNIVERSITY OF MOSUL
COLLEGE OF DENTISTRYThe technique is precise and time consuming.
More appointments are needed.
More costly because of the increased chair time.
DISADVANTAGES
UNIVERSITY OF MOSUL
COLLEGE OF DENTISTRY4. There is no opportunity for try-in of anterior teeth.
5. Undercuts can be severe and can interfere with seating and removal.
DISADVANTAGES
UNIVERSITY OF MOSUL
COLLEGE OF DENTISTRY2020-2021






















