5th stage Dr.Khalid Ali Orthopaedics
Elbow Injuries in childrenSupracondylar humeral fractures
A supracondylar humerus fracture is a fracture of the distal humerus just above the elbow joint. The fracture is usually transverse or oblique and above the medial and lateral condyles and epicondyles. This fracture pattern is relatively rare in adults, but is the most common type of elbow fracture in children.
Epidemiology
Supracondylar fractures of the humerus are the most frequent fractures of the pediatric humerus, with the median age being 6 years and a peak incidence at the ages of five to eight years.
It is the second most common bony injury in the pediatric population .It accounts for 55% to 80% of total elbow fractures in children and up to two-thirds of pediatric elbow injuries requiring hospitalization.
Their incidence has been estimated at 177.3 per 100 000 Higher incidence of supracondylar fractures is in boys, affecting the non-dominant arm 1.5 times more frequently.
About 10% to 20% of displaced supracondylar fractures present with alterations in vascular status. In most cases, fracture reduction restores perfusion.
Neural injuries occur in 6.5% to 19% of cases involving displaced fractures. Most of them are neurapraxias.
Anatomy
The distal humerus anatomy is especially predisposed to injury because its configuration in two columns connected by thin bone represents a zone of weakness.When a fall on the outstretched hand occurs, the olecranon engages on the olecranon fossa and if elbow extension progresses, the olecranon finally acts as a fulcrum on the fossa. Therefore, the bone begins to break at first anteriorly and the fracture progresses posteriorly
Mechanism of Injury
Injury is most commonly from a fall on outstretched hand (FOOH(Classification
Supracondylar fracture is broadly classified into => extension type and flexion type.
In extension type, the fracture line runs upwards and backwards; and
In flexion type, it runs downwards and forwards
Extension type of supracondylar fracture is further classified into the following subtypes
)Gartland’s Classification ) In ChildrenType I: Undisplaced
Type II: Displaced, but posterior cortex is intact.
Type III: Displaced, but no intact posterior cortex and the distal fragment could be either
:displaced
a. Posteromedial or
b. Posterolatera
Clinical Features
The following are the characteristic clinical signs in supracondylar fracture:Arm is short, forearm is normal in length.
Gross swelling, and tenderness.
Crepitus is present but should not be elicited for fear of increasing the pain and damaging the neighboring neurovascular structures.
S-shaped deformity of the upper limb.
Dimple sign due to one of the spikes of proximal fragment penetrating the muscle and tethering the skin.
Relationship between three bony points is maintained.
Soft spots” is an effusion beneath anconeus muscle“
Movements of the elbow both active and passive are decreased.
Tests should be carried out for brachial artery and all the three nerves of the upper limb, namely the radial nerve, the median and ulnar nerves.
Diagnosis
X-rays
Diagnosis is confirmed by x-ray imaging. Antero-posterior (AP) and lateral view of the elbow joint should be obtained.
Any other sites of pain, deformity, or tenderness should warrant an X-ray for that area too.
X-ray of the forearm (AP and lateral) should also be obtained for because of the common association of supracondylar fractures with the fractures of the forearm.
AP view
Baumann's Angle
Carrying angle can be evaluated through AP view of the elbow by looking at the Baumann’s angle
definition of Baumann's angle is an angle between a line parallel to the longitudinal axis of the humeral shaft and a line drawn along the lateral epicondyle. The normal range is 70-75 degrees. Every 5 degrees change in Bowmann's angle can lead to 2 degrees change in carrying angle.
Lateral view
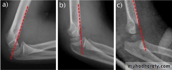
On lateral view of the elbow, there are four radiological features should be looked forAnterior humeral line :It is a line drawn down along the front of the humerus on the lateral view and it should pass through the middle third of the capitulum of the humerus. If it passes through the anterior anterior third of the capitulum, it indicates the posterior displacement of distal fragment.
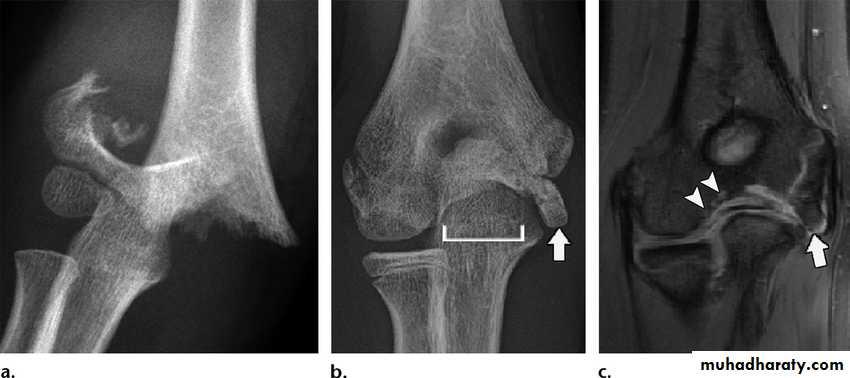
Fat pad sign/sail sign : A non-displaced fracture can be difficult to identify and a fracture line may not be visible on the X-rays. However, the presence of a joint effusion is helpful in identifying a non-displaced fracture. Bleeding from the fracture expands the joint capsule and is visualized on the lateral view as a darker area anteriorly and posteriorly, and is known as the sail sign.
Coronoid line : A line drawn along the anterior border of the coronoid process of the ulna should touch the anterior part of the lateral condyle of the humerus. If lateral condyle appearsposterior to this line, it indicates the posterior displacement of lateral condyle.
Fish-tail sign : The distal fragment is rotated away from the proximal fragment, thus the sharp ends of the proximal fragment looks like a shape of a fish-tail.
Computed tomography
Computed tomography (CT) can also be helpful in surgical planning for complicated fractures.When concern exists about vascular injury, arteriography can be beneficial.
Other tests
In cases of neurologic injury, electromyography (EMG) generally is not helpful until approximately 3 months after injury, at which point it may serve as a helpful baseline for assessing progress.
Treatment
Aim of treatment
Restore normal anatomy Provide an optimal environment for healing.
Provide pain relief through fracture stabilization.
Allow early range-of-motion (ROM) exercises and prevent stiffness
Conservative management
Initially, closed reduction is tried under general anesthesia by traction and counter traction methods .The medial and lateral tilt is corrected first and posterior displacement next.
An immediate check can be made whether the reduction has been successful by noting the long axis of the forearm and arm, which should be parallel.
Any deviation from the normal indicates residual uncorrected deformities. Two to three attempts under the same anesthesia can be made and the elbow is immobilized in hyper flexion, as in this position the triceps acts as an internal splint and the forearm is pronated as in this position the medial periosteal hinge closes the cortex laterally.
Check radiograph is taken and all the angles so far discussed should be restored to normalcy, failure of which requires considering alternative methods of treatment like skeletal traction or open reduction and internal fixation.
Modified shoulder spica for 3 to 4 weeks has given good results in some
Traction methods: It is indicated if conservative methods fails . Traction methods consist of skin or skeletal traction and is of historical importance of late due to the availability of better and effective treatment methods.
Surgery
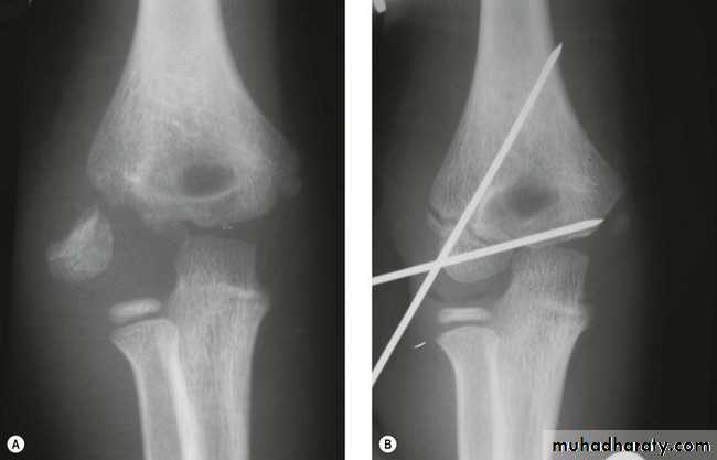
This includes PCIF or open reductionClosed reduction and percutaneous fixation (PCIF): In cases where hyper flexion of the elbow cannot be done due to gross swelling in and around
Complications
Immediate complications are associated with neurovascular involvement includingVascular insufficiency / pink pulseless hand- involvement of the brachial artery is most commonly associated with Type II and III supracondylar fractures, frequently encountered in posterolaterally displaced fracture.
Compartment syndrome: It can occur in 0.1% to 0.3% of cases.Associated forearm fractures and elbow flexion > 90° increase compartment pressures. To minimize the risk of compartment syndrome, the elbow should be immobilized in about 30° of flexion in the emergency room and 60° to 70° of after surgery.
Neurologic deficit-10 to 20 percent of supracondylar fracture and mainly associated with Type III supracondylar fractures.
Open or associated forearm fractures
Long term complications :
Cubitusvarus deformity
Volkmann’s ischemic contracture
Medial Epicondyle Fracture
Represents 5-10 percent of pediatric elbow fractures.Occurs with valgus stress to the elbow, which avulses the medial epicondyle.
Frequently associated with an elbow dislocation
C.F.:
Pain.swelling on the medial side.
Sensation in the ulna fingers should be tested.
Due to the extreme, the avulsed fragment may become entrapped in the joint even when there is no dislocation of the elbow.
Classification and Treatment
Nondisplaced and minimally displaced (less than 5 mm of displacement)- May be treated without fixation, and early motion to avoid stiffness.
Displaced more than 5 mm -ORIF.
Only absolute indication is entrapped fragment after dislocation with incongruent elbow joint.
Lateral Condyle Fractures
Common fracture, representing approximately 15 percent of elbow trauma in children.Usually occurs from a fall on an outstretched hand in varus.
The # is important because
it may damage the growth plate.
it always involves the joint intra-articular prone tononunion because the fracture is bathed in synovial fluid.
So accurate reduction is necessary it is called fracture of necessity.
The diagnosis of a lateral condyle fracture can be challenging. Fracture lines are sometimes rarely visible.Since most of the structures involved are cartilageneous, it is very difficult to know the exact extent of the fracture.
Clinical features;
Elbow is swollen & deformed.Tenderness over lateral condyle.
Passive flexion of the wrist may be painful.
X-ray;
In lateral condyle fractures the actual fracture line can be very subtle since the metaphyseal flake of bone may be minor.
The fracture fragment is often rotated.
Lateral condyle fracture: displacement
Displacement < 2mm .> 2mm gap, but fragment close to humerus.
Wide displacement and rotation.
Treatment strategies are based on the amount of displacement.
Undisplaced fractures are treated with a long arm cast. These fractures must be carefully monitored as they have a tendency to displace. At follow up both AP and Oblique views are taken after removal of the cast.Once displaced fractures consolidate in a malunited position, treatment is difficult and fraught with complications. For this reason, surgical reductions are recommended within the first 48 hours.
Open reduction is indicated for all displaced fractures and those demonstrating joint instability
Complications
Non-union.progressive valgus and (tardy ulnar n. palsy).
AVN can occur after excessive surgical dissection.
Cubitus varus can occur, may be because of malreduction or a result of lateral column overgrowth.
Recurrent dislocation.











