د. زياد كامل الجنابي
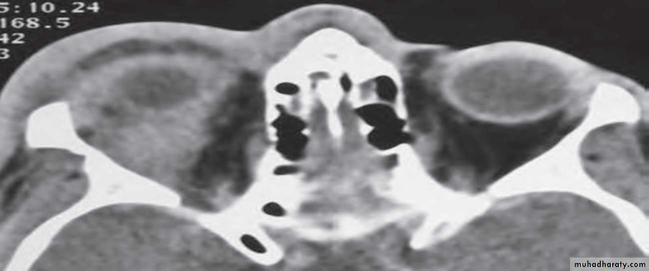
THE ORBITTHYROID EYE DISEASE
Risk factors for ophthalmopathy:Pathogenesis of ophthalmopathy:
Clinical features:
Inflammatory
Quiescent
Treatment
Measures taken :Mild disease:
Moderate to severe active disease:
Post-inflammatory complications:
Proptosis
Restrictive myopathy
Lid retraction












