د. زياد كامل الجنابي
M.B.ch.B , C.A.B.Ophth. F.I.C.Ophth , V.R.SOrbital LESIONS
A- Vascular Abnormality 1- Cavernous Sinus Thrombosis:
clotting within the cavernous sinus.sinusitis, orbital & preseptal cellulitis or otitis.
Mortality: 20% treated, 100% untreated.
rapid onset severe headache, malaise, nausea and vomiting, unilateral or bilateral proptosis, chemosis, congestion of the facial, conjunctival and retinal veins, reduced vision, and signs of cranial nerves pulsy.
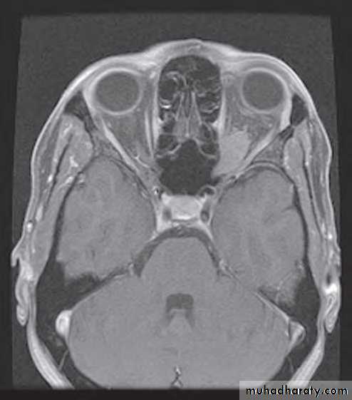
MRI and MRI venography; systemic investigation for infection.
I.V Abs and sometimes surgical drainage.
2- Carotid–Cavernous Fistula:
arteriovenous fistulaDirect fistulae: high-flow shunts
Caused by trauma (75%), including surgery, spontaneous rupture of an aneurysm or an atherosclerotic artery.
S & S: may be days or weeks after head injury with a classic triad of pulsatile proptosis (associated with a bruit and a thrill), conjunctival chemosis and a whooshing noise in the head.
Visual loss may be immediate or delayed visual loss.
Increased IOP due to elevated episcleral venous pressure, ophthalmoplegia due to the ocular motor nerve damage also may occur.
Indirect fistula: intracavernous portion of the ICA remains intact. Arterial blood flows through the meningeal branches of the external or internal carotid arteries indirectly into the cavernous sinus.
The clinical features are more subtle.
Spontaneous rupture of an atherosclerotic artery or of a congenital malformation is the usual cause.
Gradual onset of redness is a typical presentation, caused by conjunctival vascular engorgement. Milder epibulbar vascular dilatation, ocular pulsation, ‘corkscrew’ epibulbar vessels, raised IOP, proptosis and bruit are mild if present and ophthalmoplegia.
Investigation: CT and MRI ,Orbital Doppler imaging and angiography.
Treatment : Treatment of Ocular complications.Direct: Most carotid–cavernous fistulae are not life-threatening. Surgery is indicated if spontaneous closure does not occur.
Trans arterial approach to repair the artery (e.g. coil).
Craniotomy for arterial repair is occasionally needed.
Indirect, if required, treatment usually involves trans venous occlusion of the involved sinus.
Spontaneous closure or occluding thrombosis sometimes occurs
B- Cystic Lesions1- Dacryops:
Bilateral cyst of the lacrimal gland
developed from a dilated obstructed duct.
The possibility of a malignant tumor should always be considered.
Treatment involves excision or marsupialization, with histopathological analysis.
2- Dermoid Cyst:
choristoma derived from displacement of ectoderm to a subcutaneous location.Lined by keratinized stratified squamous epithelium (like skin), have a fibrous wall and contain dermal appendages
. It is one of the most frequently encountered orbital tumours in children.
• S & S: superficial: in infancy with a painless firm round smooth non-tender mass 1–2 cm in diameter mobile under the skin , most commonly located in the superotemporal part of the orbit ,the posterior margins are easily palpable.
• Deep: in adolescence or adult life with a gradual proptosis), dystopia, a mass lesion with indistinct posterior margins or acutely with an inflamed orbit due to rupture.
• Investigation: Imaging.
• Treatment: Small lesions may be observed.
• Large dermoid treated by total excision.
• If incompletely excised, dermoids may recur with persistent low-grade inflammation.
3-Sinus Mucocoele:
Develops when the drainage of normal paranasal sinus secretions is obstructed. A slowly expanding cystic accumulation of mucoid secretions and epithelial debris develops and gradually erodes the bony walls of the sinus causing symptoms.
Orbital invasion occurs usually from a frontal or ethmoidal mucocoele.
Presentation: adult with proptosis , dystopia ,diplopia or epiphora.
Investigation: CT shows a soft tissue mass with thinning or erosion of the bony walls of the sinus.
Treatment involves complete excision.
4-Encephalocoele
herniation of intracranial contents through a congenital defect of the base of the skull. A meningocoele contains only dura whilst a meningoencephalocoele also contains brain tissue.
Presentation is usually during infancy.
Pulsating proptosis may occur due to communication with the subarachnoid space but, because the communication is not vascular, there is neither a thrill nor a bruit.
CT shows the bony defect responsible for the herniation.
C. Vascular Tumors1- Varices:
plexus of thin walled low-flow vein-like vessels.Associations include Varices of the eyelids and conjunctiva.
They commonly present at any time from early childhood to late middle age as unilateral (most frequently is upper nasal) intermittent non-pulsatile proptosis without a bruit.
If there is free communication with the normal circulation, reversible proptosis may be precipitated by increasing venous pressure through Valsalva manoeuvre.
Imaging (e.g. MRI and magnetic resonance venography (MRV), CT, ultrasound venography) shows a lobulated mass with variable contrast enhancement, and may demonstrate phleboliths.
Treatment ,Small lesions generally do not require treatment. Surgical excision is technically difficult and often incomplete because the lesions are friable and bleed easily; it can be complicated by severe orbital haemorrhage and vascular optic nerve compromise.
2-Lymphangioma:
vascular tumour that tends to enlarge and infiltrate diffusely with time.Bleeding into the lumen may occur with subsequent formation of blood-filled ‘chocolate cysts’ that may regress spontaneously with time.
Presentation is usually in early childhood.
Diagnosis: Anterior lesions soft bluish masses in the upper nasal quadrant.Posterior lesions may cause slowly progressive proptosis,
or initially may lie dormant and later present with the sudden onset of painful proptosis secondary to spontaneous haemorrhage, which may be associated with optic nerve compression.
Treatment: In many cases the visual prognosis is good without treatment, Surgical excision is difficult because lesions are unencapsulated, friable, bleed easily and commonly infiltrate normal orbital tissues; repeated subtotal excision may be necessary. Persistent sight threatening chocolate cysts can be drained or removed sub-totally by laser.
3-Capillary haemangioma:
Most common tumour of the orbit in childhood.Girls are affected more commonly than boys (3 : 1).
may be small isolated lesion of minimal clinical significance, or large disfiguring mass that can cause visual impairment and systemic complications.
• Diagnosis: superficial cutaneous lesions (‘strawberry naevi’) are bright red
• preseptal (deeper) tumours appear dark blue or purple through the overlying skin and are most frequently located superiorly, but both pulsation and a bruit are absent.
• Deep orbital tumours give rise to unilateral proptosis without skin discoloration.
• Investigation: Imaging.
• Treatment: is indicated principally for amblyopia secondary to induced astigmatism, anisometropia or strabismus, and less commonly for cosmesis, optic nerve compression or exposure keratopathy.• Beta-blockers (Oral propranolol).
• Steroids: Injection (complications include CRAO, skin depigmentation, necrosis fat atrophy and systemic effects such as adrenal suppression), topical high-potency steroids , systemic steroids.
• Laser may be used to close blood vessels in superficial skin lesions less than 2 mm in thickness.
• Local resection with cutting cautery or laser.
4-Cavernous Haemangioma
middle-aged adults, more in female; growth may be accelerated by pregnancy . It is the most common orbital tumour in adults.Signs & Symptoms: Slowly progressive unilateral axial proptosis which may be associated with optic disc oedema and choroidal folds;
Investigation: CT and MRI show a well circumscribed oval lesion, usually within the muscle cone.
Treatment: observation alone is often appropriate in many cases .
Symptomatic lesions require surgical excision because they gradually enlarge. It is usually well encapsulated and relatively easy to remove.
D- Lacrimal Gland Tumors1- Pleomorphic adenoma
• most common epithelial tumour of the lacrimal gland. Young to middle-aged adults are the predominantly affected group.• Symptoms & Signs : Painless slowly progressive proptosis or swelling in the superolateral eyelid, usually of more than a year duration.
• Orbital lobe tumour presents as a smooth, firm, non-tender mass in the lacrimal gland fossa with inferonasal dystopia.
• Palpebral lobe tumour is less common and tends to grow anteriorly causing upper lid swelling without dystopia.
• Investigation: CT shows a round or oval mass, with a smooth outline and indentation but not destruction of the lacrimal gland fossa.
• Treatment involves surgical excision.
• If the diagnosis is strongly suspected, it is wise to avoid prior biopsy to prevent tumour seeding into adjacent orbital tissue.
• Incomplete excision or preliminary incisional biopsy may result in seeding of the tumour into adjacent tissues, with recurrence and occasionally malignant changes.
2-Lacrimal gland carcinoma
carries a high morbidity and mortality.The peak incidence is in middle-aged adults.
Tumour may presents after incomplete excision of a benign pleomorphic adenoma with eventual malignant transformation or without a previous history of a pleomorphic adenoma as a rapidly growing lacrimal gland mass, usually of several months duration.
Symptoms & signs: The history is short. Pain is a frequent feature of malignancy. A mass in the lacrimal area causing inferonasal dystopia. Posterior extension may give rise to proptosis, ophthalmoplegia , optic disc swelling and choroidal folds.
• Investigation: CT shows a globular lesion with irregular serrated edges, often with contiguous erosion or invasion of bone.
• Biopsy is necessary to establish the histological diagnosis.
• Treatment: involves excision of the tumour and adjacent tissues.
• Extensive tumours may require orbital exenteration or midfacial resection, but the prognosis for life is frequently poor.
• Radiotherapy combined with local resection may prolong life and reduce pain.
D-Neural Tumors1- Optic nerve glioma
slowly growing astrocytoma that typically affects children.The prognosis is variable; some have an indolent course with little growth, while others may extend intracranially and threaten life.
Symptoms & signs: Slowly progressive visual loss and proptosis. The optic nerve head, initially swollen, subsequently becomes atrophic. Intracranial spread to the chiasm and hypothalamus may develop.
• Investigation: MRI effectively demonstrates the tumour, and may show intracranial extension if present.
Treatment: As the tumour is intrinsic to the optic nerve, resection means that all vision will be lost in the operated eye.
Observation may be considered in patients with a typical tumor on imaging in whom the tumour is confined to the orbit, especially if there is good vision and no significant cosmetic impairment.
Surgical excision with preservation of the globe is indicated in those with large or growing tumours particularly if vision is poor and proptosis significant.
Radiotherapy may be combined with chemotherapy for tumours with extension that precludes complete surgical excision.
2-Optic nerve sheath meningioma
benign tumour of the optic nerve. Typically affect middle-aged women. The prognosis for life is good in adults, although the tumour may be more aggressive in children in whom 25% occur.• Symptoms & Signs: typically consist of gradual visual impairment in one eye, transient obscurations of vision may occur.
• The usual sequence of involvement is: *Optic nerve dysfunction and chronic disc swelling followed by atrophy, *Opticociliary collaterals (30%), *Restrictive motility defects, particularly in upgaze , *Proptosis.
• Investigation: MRI is the investigation of choice, CT shows thickening and calcification of the optic nerve.
• Treatment may not be indicated in a middle-aged patient with a slowly growing lesion, but excision is required for an aggressive tumour, particularly if the eye is blind or there is a risk of intracranial extension.
• Radiotherapy may be appropriate as a vision-sparing approach, or as adjunctive treatment following surgery.
•
E- Lymphoma
Non-Hodgkin, and (80%) are of B-cell origin.Those affected are typically older individuals.
• Symptoms & Signs: An absence of symptoms is common, but may include discomfort, double vision, a bulging eye or a visible mass.
• Anterior lesions may be palpated, and generally have a rubbery consistency.
• Local lymph nodes should be palpated, but systemic evaluation by an appropriate specialist is required.
• Investigation: Orbital imaging, Biopsy ,Systemic investigation.
• Treatment: Radiotherapy is used for localized lesions, and chemotherapy for disseminated disease,
F- Rhabdomyosarcoma:
most common primary orbital malignancy in children; 90% occur in children under 16.Four subtypes are recognized: Embryonal, Alveolar, Botyroid and pleomorphic.
• Symptoms & Signs: Rapidly progressive unilateral proptosis is usual and may mimic an inflammatory condition such as orbital cellulitis. Diplopia is frequent, but pain is less common.
• Investigation: MRI & CT shows a poorly defined mass with adjacent bony destruction, incisional biopsy is performed to confirm the diagnosis and systemic investigation for metastasis should be performed; the most common sites are lung and bone.
• Treatment: combination of radiotherapy, chemotherapy and sometimes surgical debulking.




































