بسم الله الرحمن الرحيم
CRANIAL NERVES DISORDERS
Objectives
Know some anatomical points about cranial nervesFunction or functions of each cranial nerve
Exam of each cranial nerve
Some cranial nerve disorders
Cranial Nerves
I- OLFACTORYII- OPTIC
III- OCULOMOTOR
IV- TROCHLEAR
V- TRIGEMINAL
VI- ABDUCENS
VII- FACIAL
VIII- VESTIBULOCOCHLEAR
IX- GLOSSOPHARYNGEAL
X- VAGUS
XI- ACCESSORY
XII- HYPOGLOSSAL
OLFACTORY nerve
-fibers enter the cranium through the cribriform plate to form the olfactory tract.
Cortical olfactory area is in the temporal lobe.
causes of anosmia:A-nasal obstruction by infective or allergic oedema of the nasal mucosa.
B-degenerative including aging, Parkinson's and Huntington's diseases.
C-head injury
D- anterior fossa tumor
Optic
Discussed in the introductionThe oculomotor (III)
-The nerve innervates the superior, medial and inferior recti, the inferior oblique and levator palpebrae superioris muscles.-parasympathetic fibres arising from the Edinger-Westphal nucleus, the nerve indirectly supplies the sphincter muscles of the iris, causing constriction of the pupil.
-it passes in relation to the posterior communicating artery and enters the dura surrounding the cavernous sinus.
- III palsy= squint + complete ptosis + dilated pupil
Medical 3rd nerve palsy
Surgical 3rd nerve palsy
Trochlear (IV)-innervate sup. Oblique muscle. Causes are
(1) Trauma
(2) Idiopathic
(3) Ischemic
(4) Congenital
(5) Tumor
-Vertical diplopia is most clear in down gaze.
ABDUCENS (VI)
Innervates the lateral rectus muscle.-causes are
(1) Idiopathic
(2) Tumor
(3) Trauma
(4) Ischemia
(5) Raised ICP as a false localizing sign
- VI palsy produces horizontal diplopia maximal to the direction of weakness.
CN VI palsy
Trigeminal nerve palsy
CN V disorders
Lesions lead to loss of sensation in the face and weakness in muscles of masticationcauses:
1-tumors(acoustic neuroma)
2-Sjogren”s disease
3-trauma
4-idiopathic
5-herpes zoster (usually ophthalmic division)
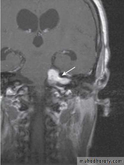
Acoustic Neur(in)oma
Left V palsy
Facial (VII) nerve
MediatesSensory function: somatic sensation from external auditory meatus; taste (anterior 2/3 of tongue, )
Motor function to muscles of facial expression
parasympathetic function( GVE) to the lacrimal, submandibular and sublingual salivary glands (via nervus intermedius).
-it is emerging from the lateral pontomedullary junction in close association with the VIII nerve; together they enter the internal acoustic meatus.
-exiting the skull via the stylomastoid foramen.
-Passing through the parotid glandCN VII disorders
-In a unilateral lower motor neurone VII nerve lesion, there is weaknessof both upper and lower facial muscles.
-Bell's phenomenon occurs when the patient is unable to close the eye. As he or she tries, the eyeball rolls upwards, exposing the conjunctiva below the cornea.
-In unilateral VII nerve upper motor neurone lesions, weakness (facial paresis) is marked in the lower facial muscles with relative sparing of the upper face. This is because there is bilateral cortical innervation of the upper facial muscles. While the nasolabial fold may be flattened and the corner of the mouth drooping, eye closure is usually well preserved.
Bell’s palsy
The commonest cause of LMN palsy.The cause of this condition is not certain, although there is some evidence to suggest inflammation due to reactivation of herpes simplex virus within the nerve ganglion in many cases.
The lesion is usually proximal enough to have effects on taste and hearing.
After some aching around the ear, the facial weakness develops quite quickly within 24 hours.
The cornea may be vulnerable to infection because of impaired eye closure.
Mx: steroid+ antiviral + eye protection
LMN V Palsy
emEmotional and voluntary UMN facial weakness
Bilateral V palsy + Bell”s phenomenon
Causes of CN VII palsyLMN palsy
1-Bell’s palsy
2-diabetes
3- herpes zoster (Ramsay –Hunt syndrome)
4- cerebello-pontine angle tumors (acoustic neuroma)
5-parotid tumor or injury.
UMN palsy
1-stroke
2-multiple sclerosis
3-cerebral tumor
4-trauma
5-encephalitis
Vestibulocochlear nerve
consists of two functional divisions:Auditory nerve (cochlear)
Vestibular nerve
Pure special visceral afferent nerve
Exits the brainstem at cerebellopontine (CP) angle
Disorders of VCN-A
Destructive ( negative symptoms): sensori-neural hearing loss secondary to:Irritative (positive symptoms): tinnitus
Disorders of vestibular nerveLesions result in : vertigo, nystagmus and ataxia
Causes:
1-Vestibular neuropathy (diabetes, meningitis, hypothyroidism)
2-Acute peripheral vestibulopathy (vestibular neuritis)
3-Benign positional vertigo
4-Toxic vestibulopathy (drugs, alcohol)
5-Meniere disease (severity decrease with time, SNHL)
6-Otosclerosis
Glossopharyngeal nerve
Mediates:Sensory function (somatic: part of external auditory , taste: from posterior 1/3 of tongue), taste sensation from posterior 1/3 of tongue
Motor function (: stylopharyngeus muscle)
Visceral efferent (parasympathetic) ( GVE: Otic ganglia to parotid gland)
Nuclei: medulla
Exit foramen: jugular foramen
Vagus nerve
Mediates:Sensory function (GSA: infratentorial dura, posterior surface of EAM, tympanic membrane; SVA: taste from epiglottis)
Motor function (SVE: , palate, muscles of swallowing, laryngeal muscles)
Visceral efferent (parasympathetic) to viscera of the neck, thocoabdominal viscera down to left colic flexure.
Nuclei: medulla
Exit foramen: jugular foramen
Disorders of GPN and VN
Bulbar and Pseudo bulbar palsy- similarities and differences, causesVascular
Inflammation
Tumors
Motor neuron disease
Myasthenia gravis
Accessory Nerve
Two parts: cranial ( with CN X supplying the larynx; exit from jugular foramen), and spinal (from C1-C6, enter the skull via the foramen magnem to exit again via jugular foramen)Mediates
Pure Motor function to the sternomastoid and trapezius muscles
Most common cause is iatrogenic injury( neck surgery)
Injury results in weakness or paralysis of respective musclesHypoglassal nerve
Pure motor nerveGSE to the extrinsic and intrinsic muscles of tongue
Nucleus: medulla
Exit foramen: hypoglossal canal






















