MRI
Magnetic resonance imaging (MRI )MRI
Magnetic resonance imaging (MRI)
is noninvasive method of mapping the internal structure and certain aspects of function within the body.
It uses nonionizing electromagnetic radiation and appears to be without exposure-related hazard .
HISTORICAL PERSPECTIVE
Name of MRI previously is nuclear magnetic resonance (NMR),first described by Bloch and Purcell in 1946 .NMR has been used extensively as a laboratory method for studying the properties of matter at the molecular level (NMR spectroscopy
MRI
In applications to medicine, it is now commonly referred to as magnetic resonance (MR).Application for human study between 1973-1977
MRI
MR describes the phenomenon whereby the nuclei of certain atoms, when placed in a magnetic field, absorb and emit energy of a specific or resonant frequency.
..
Mean that the nuclei of certain elements align with the magnetic force when placed in astrong magnetic field .
…
At the field strengths currently used in medical imaging ,hydrogen nuclei (protons ) in water molecules and lipids are responsible for producing anatomical imaging .
MRI
The body is largely composed of water molecules which each contain two hydrogen nuclei or protons. When a person goes inside the powerful magnetic field of the scanner, the magnetic moments of these protons align with the direction of the field.BASIC PRINCIPLE OF MRI
The hydrogen (1^H) atom inside body possess “spin”• In the absence of external magnetic field, the spin directions of all
atoms are random and cancel each other.
• When placed in an external magnetic field, the spins align with the
external field.
• By applying an rotating magnetic field in the direction orthogonal to
the static field, the spins can be pulled away from the z-axis with an
angle \alpha
MRI
• The rapidly rotating transverse magnetization (M_xy)
creates a radio frequency excitation within the sample.
• If we put a coil of wire outside the sample, the RF
excitation will induce a voltage signal.
• In MRI, we measure this voltage signal.
• Voltage produced is (Faraday’s Law of Induction)
MRI
If radiofrequency of hydrogen is applied ,aproportion of the protons change alignment ,flipping through apreset angle , rotate in phase with one another.fallowing this radiofrequency pulse,the protons return (realign )to their original postion .
MRI
Advantage :Provide high resolution anatomic structure (as with X-ray CT)
• Provide high contrast between different soft tissues (X-ray CT cannot)
• No exposure to radiation and hence safe
• More complicated instrumentation •
Disadvantage :
Takes longer to acquire a scan than CT, more susceptible to patient motion
MRI
The hydrogen (1^H) atom inside body possess “spin”
• In the absence of external magnetic field, the spin directions of allatoms are random and cancel each other.
• When placed in an external magnetic field, the spins align with the
external field.
• By applying an rotating magnetic field in the direction orthogonal to
the static field, the spins can be pulled away from the z-axis with an
angle \alpha
..
As the protons realign(relax )they induce aradio signal which ,although very weak,can be detected and localize by coils placed around the patient .
An image represent the distribution of the hydrogen protons can be built up .
MRI
The strength of signal depends not only on proton density but also on tow relaxation times .T1 and T2
MRI
T1-depend on the time the protons takes to return to the axis of magnetic fields.
T1 WEIGHTING
• Short TR:– Maximizes T1 contrast due to different degrees of saturation
– If TR too long, tissues with different T1 all return equilibrium already
• Short TE:
– Minimizes T2 influence, maximizes signal
SPIN DENSITY
Signal at equilibrium proportional to PD• Long TR:
– Minimizes effects of different degrees of saturation (T1 contrast)
– Maximizes signal (all return to equilibrium)
• Short TE:
– Minimizes T2 contrast -Maximizes signal
T2 WEGHTING
Long TR:
– Minimizes influence of different T1
• Long TE:
– Maximizes T2 contrast
– Relatively poor SNR
MRI
Mean transfer of energy from the protons to the tissue .
MRI
T2- depend on the time the protons take to dephase .
MRI
T1 of tissue is longer than T2 of tissue
MRI
T2 is called transverse relaxation time, which is the time for M_xyto decrease by 1/e.
• Also called spin-spin relaxation time
• T2 is much smaller than T1
– For tissue in body, T2: 25-250ms, T1: 250-2500 ms
MRI
-Body fluid T1 is long compared to soft while those of fatty structures are short.
-Fluids have long T2 values than of soft tissues and fat.
MRI
AT1-weighted images is one in which the contrast between tissues due mainly to their T1 relaxation propereties ,while in a T2-weighted image the contrast between tissues due mainly to their T2 relaxation propereties .
MRI
Most pathological processes show increase T1 and T2 relaxation times and these processes therefore appear lower in signal (blacker )on a T1 –weighted scan and higher in signal (whiter ) on a T2 –weighted scan than the normal surrounding tissue
MRI
.the T1 and T2 weighting of an image can be selected by approperiatly altering the timing and sequences of radiofrequency pulses .
MRI
T1 weighted images used for anatomical details (normal stracture )and T2 weighted images used for pathological processesMRI SCANNER
Atypical MRI scanner consist of large circular magnet.Inside the magnet are the radiofrequency transmitter and receiver coils as well as gradient coils to allow spatial localization of the MRI signal .MRI
Ancillary equipment converts the radiosignal into adigital form which the computer can manipulate to create image.
MRI
MRI scanner available now from 0.2 -8 Tesla
In our hospitals is 1.5 Tesla
MRI
MRI
MRI
ADVANTAGES OF MRI
1-Information can directly imaged in any plane .2-No ionizaing radiation .
3-Bone and air do not produce artifact
4-Soft tissue contrast is high
5- Non invasive
6-No adverse biological effects .
DISADVANTAGE
1-Require longer scaning time comperd to CT scan ,so the patient keep still during scaning procedure .
2-An avoidable movement from breathing cardiac pulsation and perestalsis often degrade the image .
MRI
3-Strong magnetic field used mean that it is at present contraindicated in patient with cardiac pacemakers,intraocular metallic forign bodies and certain types of aneurysm clip .
4-Acoustic noise .
CONTRAST AGENT FOR MRIContrast agent providing useful diagnostic information with MRI .
The most widly used agents are gadolinium compounds which only cross the B.B.B. when it is damaged by disease and which concentrate in tissue and diseases processes with high blood supply .
MRI
Tissue which concentrate the agent show very high intensity ( they appear white ) on T1 –images .Tissue specific media ,such as iron oxide agents for reticuloendothelial cells imaging .
PD T2 T1
CT SCAN
Sagittal coronal
MRI
MRA
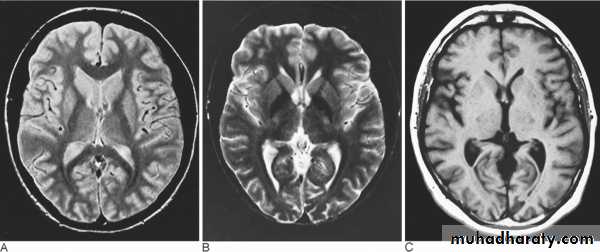
Patient with multiple sclerosis with plaques of demyelination shown on (A) fast spin-echo (FSE) proton density; (B) FSE T2; and (C) FSE FLAIR. There is no discernible abnormality on T1-weighted images without contrast
MRI
MRI
CT SCAN
CT SCAN
MRI
CT SCAN
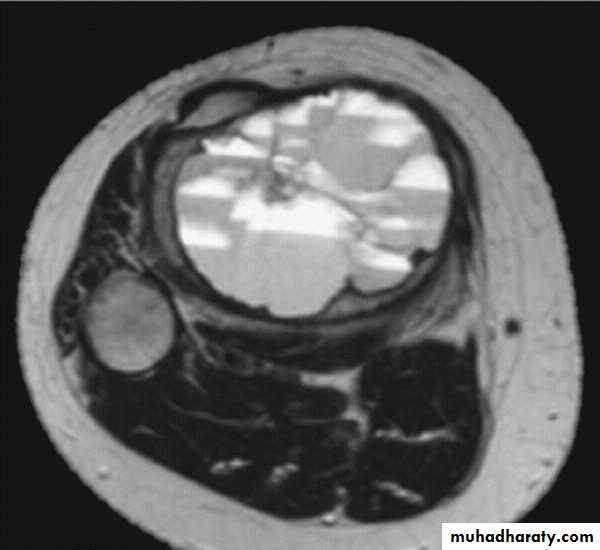
MRI
MRI
PLANI X-RAY
MRI
MRI
































