THE
LENSAnatomy
Histology
Anterior
VsPosterior
Accommodation
Accommodation
Suspensory Ligaments
Normal
VS
Cataract
Classification According To Maturity
Mature
VSImmature
Mature Cataract
Immature Cataract
Hyper Mature
CataractMorgagnian
CataractCortical Cataract
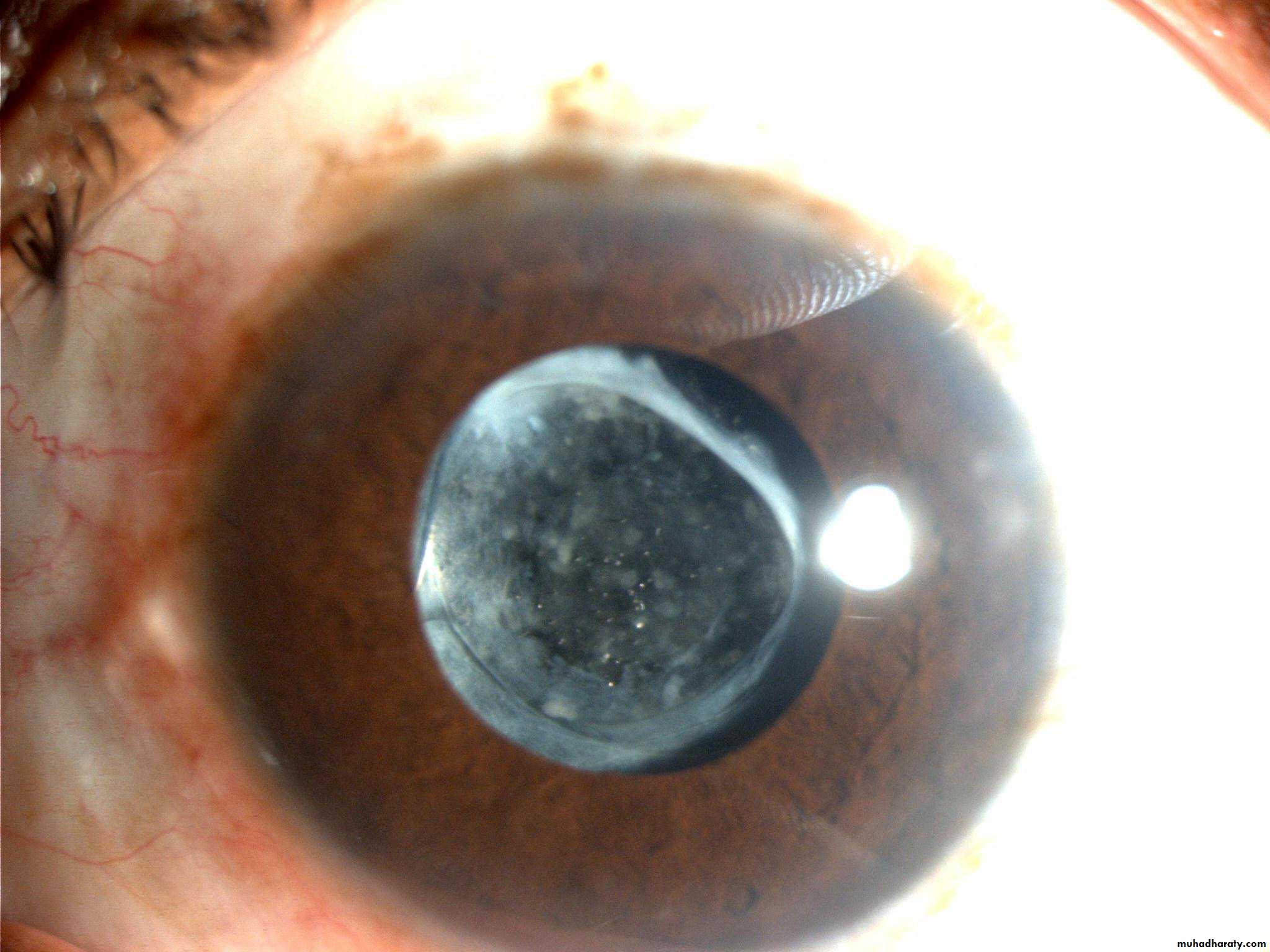
Posterior Subcapsular Cataract
Nuclear Cataract
Cataract & systemic diseases
Secondary Cataract
Traumatic Cataract
Phacomorphic Glaucoma
Phacolytic Glaucoma
Phaco Anaphylactic
Congenital Cataract
Couching Procedure
Iraqi Ocularist Ammar
AD 996-1020AMMAR
From
Baghdad
Daviel (1696-1762)
ECCE
Samuel Sharp
1753Thumb
ICCE
Lieutenant Colonel
Henry SmithMuscle Hook
ICCE
Joaquin Barraquer
1957Chemical
Alpha Chemotrypsin
ICCE
Cryoprobe
Simcoe
Sir Harold Ridley(1906-2001)
Postoperative
EndophtalmitisPostoperative
Thick PCTreatment
ByYAG LASER





















































































