Gingivectomy
UNIVERSITY OF MOSULCOLLEGE OF DENTISTRY
By:
Dr. Huda A. Salim
B.D.S, M.Sc. In Oral and Maxillofacial Surgery
Mosul University/College of Dentistry.
2020-2021
Department ofOral and Maxillofacial Surgery
Department of:
HERE
UNIVERSITY OF MOSUL
COLLEGE OF DENTISTRY• Enlargement of gingiva has many causes and can manifest
with various clinical characteristics.
• A change in the dimensions of gingival tissue is always a pathologic event.
• Gingival enlargement can be transient and reversible or can be chronic and irreversible.
As in other pathologic processes, inflammation of the periodontal
tissues typically results in three outcomes:
complete resolution of inflammation and restoration of tissue integrity (i.e., homeostasis),
destruction of periodontal tissues and loss of attachment (i.e.,
chronic periodontitis),
or fibrosis. Fibrosis is a component of the defense mechanism against progression of periodontal inflammation
UNIVERSITY OF MOSUL
COLLEGE OF DENTISTRY Fibrosis of gingival tissues is commonly referred to as gingival hyperplasia
Because many forms of gingival enlargement are associated with systemic factors and conditions, understanding the exact pathogenesis of lesions is
essential for designing better approaches to treatment.
Gingival enlargement and gingival overgrowth are terms used interchangeably with hyperplasia, hypertrophy, and fibrosis.
Hyperplasia is an increase in the number of cells in tissues that results in increased tissue volume.
Hypertrophy refers to increased tissue size and volume resulting from increased cell size.
Although their pathogenetic mechanisms are different, hyperplasia and
hypertrophy usually occur simultaneously when cellular
involvement in hyperplasia most likely triggers the overgrowth.
UNIVERSITY OF MOSUL
COLLEGE OF DENTISTRY In periodontal tissues, indices are important for quantification of
the extent and severity of GO. Various indices have been proposed.For example, the degree of gingival enlargement can be scored as
follows:
• Grade 0: no signs of gingival enlargement
• Grade I: enlargement confined to interdental
papilla
• Grade II: enlargement involves papilla and
marginal gingiva
• Grade III: enlargement covers three-fourths or
more of the crown
UNIVERSITY OF MOSUL
COLLEGE OF DENTISTRY The word Gingivectomy means “excision of the gingiva.”, By removing the pocket wall, Gingivectomy provides visibility and accessibility for complete calculus removal and thorough root planing. This creates a favorable environment for gingival healing and restoration of a physiologic gingival contour.
The treatment of gingival enlargement is based on an understanding of the cause and underlying pathologic changes of this condition. Gingival enlargements are of special concern to the patient and the dentist because they pose problems that include biofilm control, impaired function (mastication, tooth eruption, and speech), and aesthetics.
UNIVERSITY OF MOSUL
COLLEGE OF DENTISTRY• INDICATIONS
• Eliminate suprabony pocket regardless of their depth ,if the p. wall is fibrous & firm.
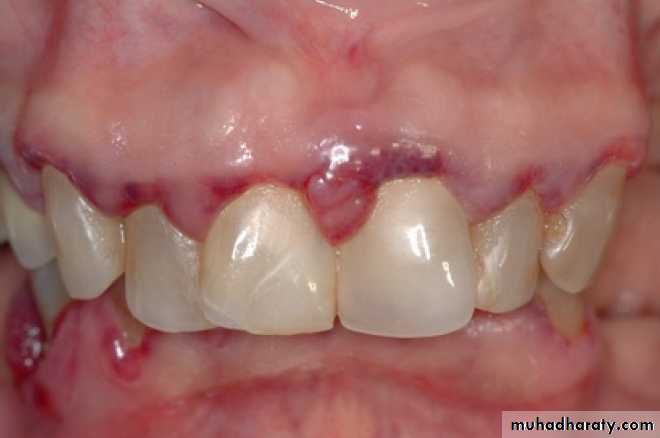
• Reshape abnormal Gingival contour like Gingival crater & Gingival hyperplasia(false p.)
• For crown lengthening prior to restorative procedure.
UNIVERSITY OF MOSUL
COLLEGE OF DENTISTRYContraindication
1. Access to bone required.
2. Narrow zone of keratinized tissue.
3. Aesthetics.
4. Patients with high postoperative risk of bleeding.
5-bottom of pocket below M.G. junction.
6-Infrabony pocket or crater.
UNIVERSITY OF MOSUL
COLLEGE OF DENTISTRYAdvantages and Disadvantages:
Advantages:
1- Technically simple; good visual access.
2- Complete pocket elimination.
3- Predictable morphologic results.
Disadvantages:
1- Very limited indication.
2- Gross wound, post operative pain.
3- Healing by secondary intention(0.5 mm re-epith. Per day).
4- Danger of exposed bone.
5- Sacrifice of attached gingiva.
6- Exposed cervical area of tooth(sensitivity, esthetic, caries).
7- Phonetic and esthetic problems in anterior area.
UNIVERSITY OF MOSUL
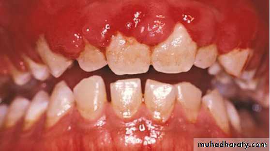
COLLEGE OF DENTISTRY Chronic Inflammatory Enlargement
Chronic inflammatory enlargements, which are characterized by gingival tissues that are soft and have an altered gingival color, are usually caused by edema and cellular infiltration.
Typical therapy consists of scaling and root planing, provided the size of the enlargement does not interfere with the complete removal of deposits from the involved tooth surfaces.
When chronic inflammatory gingival enlargements include a significant fibrotic component that does not undergo shrinkage after scaling and root planning, or if the extent of the gingival enlargement is so severe that access to the deposits on the tooth surface is impossible, surgical removal is the treatment of choice.
Two techniques exist for this purpose: Gingivectomy and the flap operation.
UNIVERSITY OF MOSUL
COLLEGE OF DENTISTRY Drug-Induced Gingival Enlargement
Esthetically disfiguring overgrowth of gingiva is a significant side effect which may be associated with three different types of drugs:
Anticonvulsants (e.g. phenytoin, sodium valproate, etc.)
Immunosuppressant (e.g. cyclosporine A).
Calcium channel blocking agents (e.g. nifedipine, verapamil, etc.).
UNIVERSITY OF MOSUL
COLLEGE OF DENTISTRY The examination of cases of drug-induced gingival enlargement reveals the overgrown tissues to have two components:
● fibrotic, which is the result of the action of the drug on the physiologic gingival collagen turnover;
● and inflammatory, which is induced by the bacterial biofilm.
Although the fibrotic and inflammatory components present in the enlarged gingiva are the result of distinct pathologic processes, they almost always are observed as gingival enlargement induced by the combination of drugs and biofilm.
UNIVERSITY OF MOSUL
COLLEGE OF DENTISTRY020-2021
The common clinical characteristics of drug‐induced gingival enlargements include :
1- patient variations in the pattern of enlargement.
2- a tendency to occur more often in the anterior gingiva.
3- a higher prevalence in younger age groups
4- onset within 3 months of use.
5- that is usually first observed in the papilla.
UNIVERSITY OF MOSUL
COLLEGE OF DENTISTRY020-2021
The treatment of drug-induced gingival enlargement should be based on the medication used and the clinical features of the case.
First, consideration should be given to the possibility of discontinuing the drug or changing the medication.
Second, the clinician should emphasize biofilm control as the first step in the treatment of drug-induced gingival enlargement.
Third, in many patients, gingival enlargement persists after careful consideration of the previous two approaches.
UNIVERSITY OF MOSUL
COLLEGE OF DENTISTRY020-2021
Leukemic Gingival Enlargement
Leukemic enlargement occurs with acute or sub acute leukemia, and it is uncommon among patients in the chronic leukemic state.
After acute symptoms subside, attention is directed to correction of the gingival enlargement.
The rationale is to remove the local irritating factors to control the inflammatory component of the enlargement, and this is achieved by scaling and root planing.
UNIVERSITY OF MOSUL
COLLEGE OF DENTISTRY020-2021
Gingival Enlargement During Pregnancy
Treatment requires the elimination of all local irritants that may be responsible for precipitating the gingival changes that occur during pregnancy.
prevention is preferable to treatment of gingival enlargement after it occurs.
Marginal and interdental gingival inflammation and enlargement are treated by scaling and root planing.
Treatment of tumor-like gingival enlargements consists of surgical excision, as well as the scaling and planing of the tooth surfaces adjacent to the lesion.
During pregnancy, the emphasis should be on:
(1) preventing gingival disease before it occurs
(2) treating existing gingival disease before it worsens.
UNIVERSITY OF MOSUL
COLLEGE OF DENTISTRY020-2021
Gingival enlargement during puberty:
Gingival enlargement during puberty is treated by performing scaling and root planing, removing all sources of irritation, and controlling biofilm.
Surgical removal may be required in severe cases.
The most important problem in these young patients is recurrence, for which close maintenance therapy is recommended.
Gingivectomy or gingivoplasty can also be performed with electrosurgery or via a laser device.
Gingivoplasty is recontouring the gingiva in the absence of pockets.
It may be accomplished with a periodontal knife , a scalpel, or rotary coarse diamond stones.
UNIVERSITY OF MOSUL
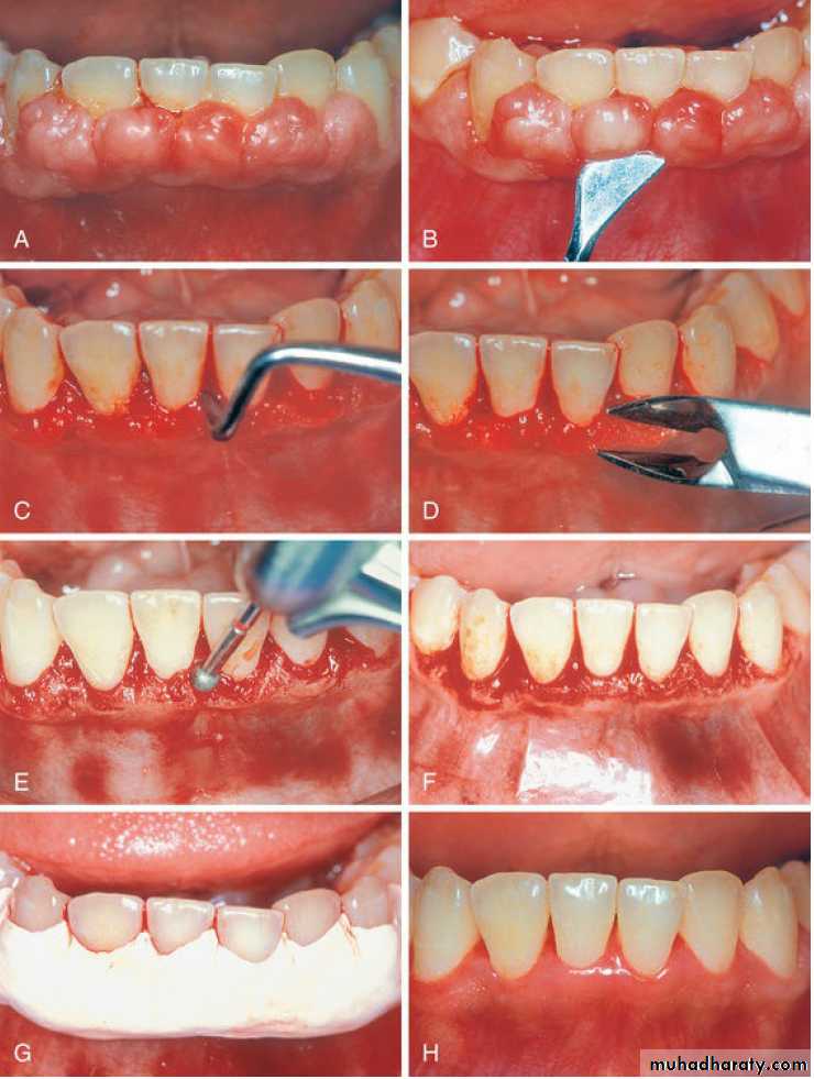
COLLEGE OF DENTISTRY• The step-by-step technique for Gingivectomy (surgical Gingivectomy) is as
follows:
Step 1:When the dentition in the area scheduled for surgery has been properlyanesthetized, the periodontal pocket is mapped out on the external gingival
surface by inserting a probe to the bottom of the pocket and puncturing theexternal surface of the gingiva at the depth of probe penetration.
UNIVERSITY OF MOSUL
COLLEGE OF DENTISTRYDepartment of:
HERE
UNIVERSITY OF MOSUL
COLLEGE OF DENTISTRYDepartment of:
HERE
UNIVERSITY OF MOSUL
COLLEGE OF DENTISTRYStep 2: Periodontal knives (e.g., Kirkland) are used for incisions on the facial and lingual surfaces.
Orban periodontal knives are used for interdental incisions.
Bard– Parker blades (#12 and #15), and scissors are used as auxiliary instruments.
UNIVERSITY OF MOSUL
COLLEGE OF DENTISTRY
Step 3: Remove the excised pocket wall, irrigate the area , and examine the root surface.
Pieces of gauze packs often have to be placed in the interdental areas to control bleeding.
Step 4: Scale and root plane.
Step 5: Cover the area with a surgical dressing.
The dressing should be closely adapted to the buccal and lingual wound surfaces as well as to the interproximal spaces.
The dressing should remain in position for 10–14 days.
After removal of the dressing, the teeth must be cleaned
and polished.
UNIVERSITY OF MOSUL
COLLEGE OF DENTISTRYDepartment of:
HERE
UNIVERSITY OF MOSUL
COLLEGE OF DENTISTRYDepartment of:
HERE
Gingivectomy by Electrosurgery:
UNIVERSITY OF MOSUL
COLLEGE OF DENTISTRYDepartment of:
HERE
Laser Gingivectomy:
UNIVERSITY OF MOSUL
COLLEGE OF DENTISTRYHealing After Gingivectomy
The initial response after Gingivectomy is the formation of a protective surface blood clot. The underlying tissue becomes acutely inflamed with necrosis. The clot is then replaced by granulation tissue.
After 12 to 24 hours, epithelial cells at the margins of the wound begin to migrate over the granulation tissue, thereby separating it from the contaminated surface layer of the clot. Epithelial activity at the margins reaches a peak after 24 to 36 hours.
After 5 to 14 days, surface epithelialization is generally complete.
Complete epithelial repair takes about 1 month.
Complete repair of the connective tissue takes about 7 weeks.
UNIVERSITY OF MOSUL
COLLEGE OF DENTISTRYFlap Operation
For larger areas of gingival enlargement (i.e., more than six teeth), and where attachment loss and osseous defects are present, flap surgery is recommended.
The periodontal flap technique used for the treatment of gingival enlargements is a simple variation of the one used to treat Periodontitis.



























