Oral Ulceration
By:Dr. Ahmed Salih KhudhurBDS, MSc, PhD Newcastle University/ UK
دكتور احمد صالح خضر
UNIVERSITY OF MOSUL
COLLEGE OF DENTISTRY2020-2021
Department of Oral and Maxillofacial Surgery
Department of:
HERE
Recurrent Aphthous Stomatitis (RAS) or Ulceration (RAU)
• There are three types of RAS, each of which is defined by its clinical presentation.
Herpetiform ulcers
Major aphthous ulcers
Minor aphthous ulcers
Minor Aphthous
•Major Aphthous
•Major Aphthous
•Herpetiform Aphthous
•Behçet’s disease/syndrome
MucocutaneousArthritic
• Neurological
Ocular
Behçet’s disease/syndromeErythema nodosum. This is the commonest skin manifestation of Behçet’s disease.
Thrombophlebitis (vasculitis) in Behçet’s disease. Inflammation and pigmentation highlight the sites of veins and their valves.
Inflammatory bowel disease (IBD)
Inflammatory bowel disease (IBD) is a general classification of inflammatory processes that affect the large and small intestines.• Frequently, patients complain of pain associated with ulcerative lesions in the oral cavity.
• Palliative rinses, ointment, and topical steroids may be helpful.
• Ulcerative Colitis
Crohn’s Disease
Crohn’s disease
•Gross labial swelling and intraoral mucosal edema with typical histological changes led to the finding of extensive intestinal involvement.
Crohn’s disease
Soft nodular thickening of the oral mucosa is a typical feature and, in this case, was associated with facial swelling and intermittent diarrhea.Crohn’s disease
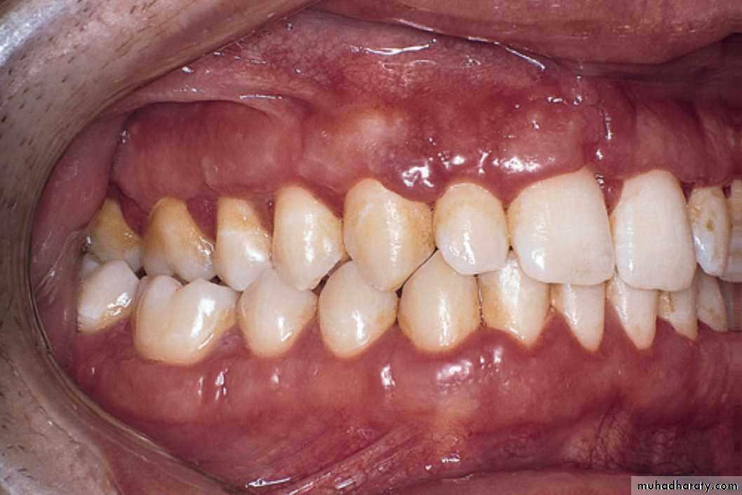
The gingivae are hyperplastic and irregular and erythematous. These changes are obvious, but more subtle signs are easily missed. The appearances are identical to those in sarcoidosis in the gingivae.THE END
UNIVERSITY OF MOSUL
COLLEGE OF DENTISTRY2020-2021





















