1-Proper contact and apposition of fr fragments.
2-Good local blood supply.3-Adequate immobility or fixation of the fr.
4-Absence of infection.
5-Early and good management.
Diagnosis of fr:
Clinical diagnosis;
A-There is history of injury or trauma.B-Patient has pain.
C-Inability to move or use of the limb (loss of function).
Factors affect and help bone healing may be:
By local examination :
1-Local tenderness.2-Swelling by heamatoma or soft tissue edema.
3-Deformity, the limb may acquire an abnormal posture like abnormal angulation, rotation... etc
4-Abnormal movements can occur at the fr site when it’s complete fr.
5-CREPITUS its characteristic of fr where an abnormal friction sound can be elicited between the fr fragments when they are moved.
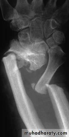
Radiological diagnosis;
The fr line can be shown by a good x-ray exam. specially with application of the role of two, the fr line can be seen and we can describe the fr site, shape and displacement exactly.
problems of union:
Sometimes bone healing is delayed and takes more than usual time here we call it DELAYED UNION.
Sometimes the fracture fail to unite and the problem is called NON-UNION, this can be atrophic non-union where bone completely fail to form around the fracture,
or its called hypertrophic non-union where there is excessive large callus that cannot pass
through the fr line and bridge the fr fragments.
Causes of non-union can be
Wide separation of fr fragments.Soft tissue interposition between the fragments.
Poor local blood supply.
Excessive movement of the fr fragments.
Local infection as in compound fracture or after surgical operation.
Continuous pull of the fragments by a muscle as in avulsion fr of patella or olecranon.
Delayed or poor management.
In debilitated, elderly or sometimes chronically diseased patients.
Clinical symptoms and signs of non-union are nearly the same as for fractures unless at later stages the gap is filled with fibrous tissue (fibrous union) and the fracture area becomes painless with the presence of abnormal movements (pseudoarthrosis = false joint).
Radiologically atrophic nonunion shows;
Maintenance of the fr line.
Resorbtion of the ft end that will show a rounded appearance rather than the sharp fr ends.
Local sclerosis of the fr ends.
Sometimes abnormal position or displacement of the fragments.
Hypertrophic non-union gives the radiological appearance of maintenance of the fr line with extensive callus proximal and distal to it, also abnormal position of the fragments may be seen. The appearance sometimes refereed to as elephant foot or hours hoof appearance.
Sometimes bone unites in an abnormal position, this is called MAL-UNION, this can lead to various deformities and functional impairments.
We must always think of possible associated injuries of the patient so we must examine the patient as a whole and do the urgent resuscitation or treatment before we think of the fracture.
The golden rule is TREAT THE PATIENT AND NOT SIMPLY THE PART.
The two main procedures in treating closed fr are:
a, reduction;1- Closed reduction
by manipulation of the fr under anesthesia or sometimes analgesia; this Aincludes:Traction of the fragments (always use a counter traction of the assistant) to disimpact the fr.
Move the distal segment in a way to reverse the mechanism of injury so that we can get proper realignment of the displaced fragments.
2- open reduction
through surgical operation this is done in cases of failure of closed reduction or in special occasions when closed reduction is not useful or not applicable, it’s also preferred for intraarticular fr.
MANEGMENT OF CLOSED FRACTURES
b. Hold the reduction in the proper position for a suitable period to allow union; this can be achieved by variable ways:1. Cast immobilization: by using the plaster of Paris (POP) where we try to immobilize the reduced fr in position together with a proximal and a distal joint., this takes longer time and cause stiffness of the involved joints. very good choice in upper limb fracture s .
2. Maintained traction: this can be
askin traction
balanced traction.
skeletal tractions
3. Interna1 fixation:
Fractures that cannot be reduced only by operation.
Failure of conservative treatment.
Unstable fr that frequently redisplaces after closed reduction e.g. fr of forearm or mid shaft of femur.
Fr that poorly heals and takes long time to do so in conservative way e.g. femoral neck fr.
Pathological fractures.
Polytraumatized patient with multiple fr.
Patients that have nursing difficulties as in elderly, paraplegics, chronically diseased...etc
Fr with vascular injury that needs surgical intervention.
The indications of open reduction and internal fixation (ORIF)
5. External fixation: its usually used in compound fr it means that we use a metal pins that pass through the skin from outside proximal and distal to the fr and after proper reduction the pins are joined together outside the skin by special long bars.The indications of external fixation:
Compound fractures.
Infected fractures as after internal fixation.
Multiple fractures, as an urgent way to stabilize a seriously ill patient.
Fr with nerve or vessel injury.
Fr with extensive soft tissue damage.
Fr of pelvis.
Seriously comminuted and unstable fr.
For bone lengthening.
For joint arthrodesis.
The treatment of closed fr always includes physiotherapy, exercises and rehabilitation.
A. In multiple injured patients the basic priorities is to be followed; the ABCDE
Airway clearance.
Breathing control.
Circulation and hemorrhage control.
Disability—neurological status.
Exposure of the whole body to assess injuries.
All above done at the same time and a good multiple venous access secured for patient resuscitation and replacement.
System priorities we care to vital systems according to importance for life according to this sequence:
Head injury.
Chest injury
Abdominal and pelvic visceral injury.
Skeletal injuries i.e. bonny fr and dislocation which can be multiple as well. Those injuries can be closed or open.
Management of open fractures
first aid treatmentPatient clothes are removed, limbs are washed and wounds are sterilized and dressed.
Temporary splintage (immobilization by splints) of fractured limbs
At the same time SHOCK is treated and patient is resuscitated and replaced with blood, fluids.. .etc to stabilize his general condition.
Anti tetanus prophylaxis.
Anti gas gangrene prophylaxis.
Combined prophylactic antibiotic treatment until results of culture and sensitivity show the specific antibiotics to be used.
Prepare the patient for urgent anesthesia and surgery.
B.For open fr the definitive treatment: includes first aids and operation
Operation (wound excision or called debridemcnt)
Patient must take general anesthesia.Tourniquet must be used when needed.
Skin must be prepared.. i.e, hair is shaved, skin around the wound is washed very well, wound sterilization.
The surgical procedure is called wound debridemcnt, which is the technique that include exploration of the wound, excision of dead devitalized tissue, and removal of foreign material.
Open reduction of the fr and fixing the fracture with external fixator.
starts from the skin down to the bone:
Skin is excised few millimeters away from the wound until regular healthy wound margin is gained.Deep fascia if dead is removed widely and extensively opened all through the wound and beyond its limits as well.
Foreign and dirty materials are carefully removed from the wound and proper wound cleaning and sterilization is achieved.
Muscles which are dead removed until healthy muscle is reached, doubtful muscles are examined well, normal muscle looks pink while dead muscle looks darker, healthy muscle have bleeding margin but dead muscle does not bleed, and viable muscle contracts when stimulated as by an artery or other tool during operation but it dose not contract when dead
Debridement
Nerves and tendons are dealt with carefully, in the early treatment we usually don’t do immediate repair, we try to clean and minimally cut the dead damaged edges. We approximate the two ends by a black silk suture that will act as marker in later explorations when we do secondary suture or repair.
The fractured bone is gently displaced and the bone ends are cleaned with a curette and washed then we replace it back in normal position and alignment (open reduction). Any small fragment that has a soft tissue or periosteal attachment that ensures blood supply must be preserved. Very small segments that are completely displaced and have no attachment can be removed with precautions.
Fractures then stabilized by external fixation until there is good skin cover or until union.
The wound must left open to avoid serious infections and other complications.we use sterile packing and dressings.
Wounds usually re-explored 5-7 days later and anther debridement is done, this is repeated until we decide wound closure.
Wound closure varies according to the degree of primary skin damage and loss.
Sometimes we do delayed primary suture, or secondary suture, if the defect is large it may need a graft that can be a simple skin graft or even a combined fasciocutaneous, myocutaneous or other grafts all depends on the degree of skin loss.
Before, during and after surgery we should use specific antibiotics according to frequent wound swab cultures; also we support the patient general health and condition.
Physiotherapy and muscle exercises with rehabilitation are all part of the treatment.
Traction for disimpaction
Revers the direction of troma for reductionPOP cast
SKIN TRACTION
SKIN & SKELITAL TRACTIONSECROW FIXATION
PLATE & SECROW FIXATIONDHS
IMN





















