قراءة
عرض

CANCER EPIDEMIOLOGY

Study of cancer occurrence in populations has contributed substantially to knowledge about its origins. The now well established concept that cigarette smoking is causally associated with lung cancer arose primarily from epidemiologic studies, Major insights into the causes of cancer can be obtained by epidemiologic studies that relate particular environmental, racial (possibly hereditary), and cultural influences to the occurrence of specific neoplasms .

Geographic and environmental factors

Environmental exposures appear to be the dominant risk factors for many common cancers, suggesting that a high fraction of cancers are potentially preventable, the common types of cancers that are prostate, lung and colon are the leading cancers in males.
In females cancers of the breast, lung, and colon are the commonest.


Cancer Epidemiology



In Iraqi males the commonest cancers are those of the lung, bladder, larynx as well as non Hodgkin’s lymphomas (NHL) and leukemias.
In Iraqi females breast, NHL, Leukemia, CNS tumors and lung cancers are the commonest.
Environmental factors significantly affect the occurrence of specific forms of cancer in different parts of the world.
In Japan carcinoma of the stomach is commoner than in USA while carcinoma of the colon is uncommon. In Japanese immigrants to the USA, the incidence of both cancers is intermediate between Japanese and USA natives .
Hepatocellular carcinoma is particularly common in South East Asia.
Esophageal carcinoma is common in north of Iraq, north of Iran as well as in central Asia.
Other examples of environmental factors:
Occupational exposure to asbestos is associated with lung carcinoma, pleural and peritoneal mesotheliomas.
Occupational exposure to aniline dyes is associated with bladder carcinoma.
Occupational exposure to polyvinyl chloride monomers is associated with liver angiosarcoma.
Cigarette smoking is associated with carcinomas of the oropharynx, larynx and lung.
Air pollution is associated with lung cancer.


Age and Cancer :
In general, the frequency of cancer increases with age. Most cancer deaths occur between 55 and 75 years of age; the rate declines, along with the population base, after 75 years of age. The rising incidence with age may be explained by the accumulation of somatic mutations that drive the emergence of malignant neoplasms and the decline in immune competence that accompanies aging also may be a factor.
The major lethal cancers in children are leukemias, tumors of the central nervous system, lymphomas, and soft-tissue and bone sarcomas .

Acquired Predisposing Conditions:

Acquired conditions that predispose to cancer include disorders associated with chronic inflammation, immunodeficiency states, and precursor lesions .
Many different precursor lesions have been described; among the most common are the following:
1- Squamous metaplasia and dysplasia of bronchial mucosa, seen in in habitual smokers—a risk factor for lung carcinoma .
2- Endometrial hyperplasia and dysplasia, seen in women with unopposed estrogenic stimulation—a risk factor for endometrial carcinoma
3- Leukoplakia of the oral cavity, vulva, and penis, which may progress to squamous cell carcinoma .
4- Villous adenoma of the colon, associated with a high risk for progression to colorectal carcinoma .
The subsequent development of malignancy in a benign tumor is quite uncommon, most malignant tumors arise de novo. However, there are few exceptions, e.g., villous adenoma of the colon often develops into carcinoma.

PREINVASIVE MALIGNANCY:

Recently, cancer screening programs have emphasized the prevalence of lesions, which appear to be early stages in the development of cancers. They share some cytological features of infiltrative (invasive) tumors, but have not yet become infiltrative themselves. The implication is strong that they might become infiltrative if left long enough, although we cannot say how long would that be. Nor it is possible to tell how far they have evolved from normality in terms of time or biological events, or if any of these events are reversible. These changes are referred to as dysplasia (disorganization of tissue structure).
Dysplasia have been described in the epithelia of the
cervix
vulva
urinary bladder
bronchial mucosa
larynx
oral cavity
skin
prostate etc,.
In the cervix, vulva and the prostate they are called “intraepithelial neoplasia”.
The cells show many of the cytological changes of malignant tumors, like cellular overcrowding, pleomorphism, hyperchromatic nuclei, loss of normal orientation (loss of polarity) and disorderly maturation (e.g. dyskeratosis), mitotic activity above the basal layers .
Despite these manifestations of abnormal cell behavior, the changes are all within the normal confines of the epithelium; the basement membrane is not breached.
When the entire thickness of the epithelium is involved by the above cellular changes, this has been referred to as “carcinoma in situ” and presently as grade 3 or high-grade intraepithelial neoplasia.
Carcinoma in situ is the forerunner, in many cases, of invasive malignancy, However mild degrees of dysplasia (grade 1 or low-grade intraepithelial neoplasia), common in the uterine cervix, don’t always lead to cancer and are often reversible.



Cancer Epidemiology


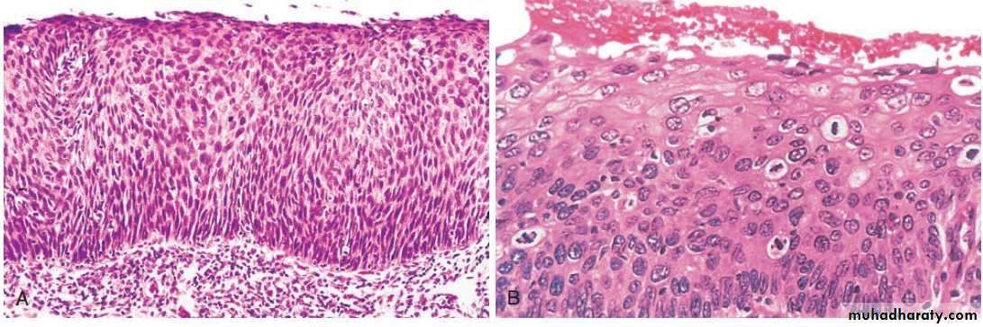
Carcinoma in situ. (A) Low-power view shows that the entire thickness of the epithelium is replaced by atypical dysplastic cells. There is no orderly differentiation of squamous cells.The basement membrane is intact, and there is no tumor in the subepithelial stroma. (B) High-power view of another region shows failure of normal differentiation, marked nuclear and cellular pleomorphism, and numerous mitotic figures extending toward the surface. The intact basement membrane (below) is not seen in this section.




رفعت المحاضرة من قبل: Ali Ahmed
المشاهدات: لقد قام عضو واحد فقط و 151 زائراً بقراءة هذه المحاضرة








تسجيل دخول

أو
عبر الحساب الاعتيادي
الرجاء كتابة البريد الالكتروني بشكل صحيح
الرجاء كتابة كلمة المرور
لست عضواً في موقع محاضراتي؟
اضغط هنا للتسجيل