White & Red Lesions of The Oral Mucosa
By:Dr. Ahmed Salih KhudhurBDS, MSc, PhD Newcastle University/ UK
دكتور احمد صالح خضر
UNIVERSITY OF MOSUL
COLLEGE OF DENTISTRY2020-2021
Department of Oral and Maxillofacial Surgery
Department of:
HERE
Introduction
• Useful dermatological, clinical and pathological terms:
• Macule: Patch: Papule: Plaque:
•
Introduction
• Useful dermatological, clinical and pathological terms:• Nodule: Exophytic Endophytic Nodule. Note: Tumor (large nodule)
•
Introduction
• Useful dermatological, clinical and pathological terms:• Pustule:
•
Introduction
• Useful dermatological, clinical and pathological terms:• Vesicle(s): Bulla(e):
•
Introduction
The oral cavity is lined by oral mucosa which is composed of:Oral Epithelium
Sub-mucosa• According to its function, the oral mucosa is divided into:
Masticatory mucosa
Lining mucosa
Specialized mucosa
Introduction
• Why lesions appear white? Why lesions appear red?•
Introduction
• Classification of White and Red lesions:• 1. Normal variation:
• 2. Developmental:
• 3. Traumatic:
• 4. Infective:
• 5. Blood dyscrasias:
• 6. Drugs:
• 7. Dermatological:
• 8. Premalignant:
• 9. Malignant:
• 10. Miscellaneous:
Leukodema
•
Leukodema
•Fordyce’s granules
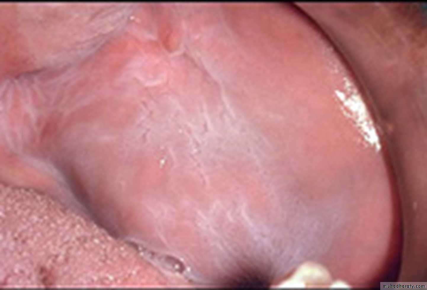
•Linea alba
•Morsicatio
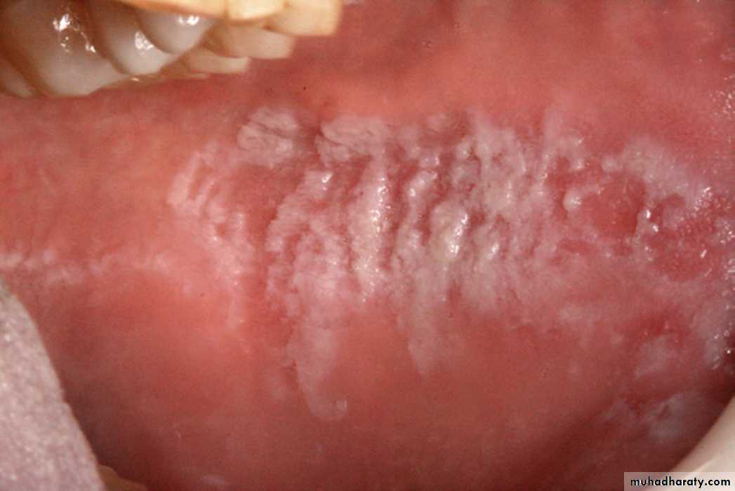
•Morsicatio Buccarum. White, ragged plaque involving the left buccal mucosa
MorsicatioMorsicatio Buccarum. Thickened, shredded areas of white hyperkeratosis of the left buccal mucosa
Morsicatio
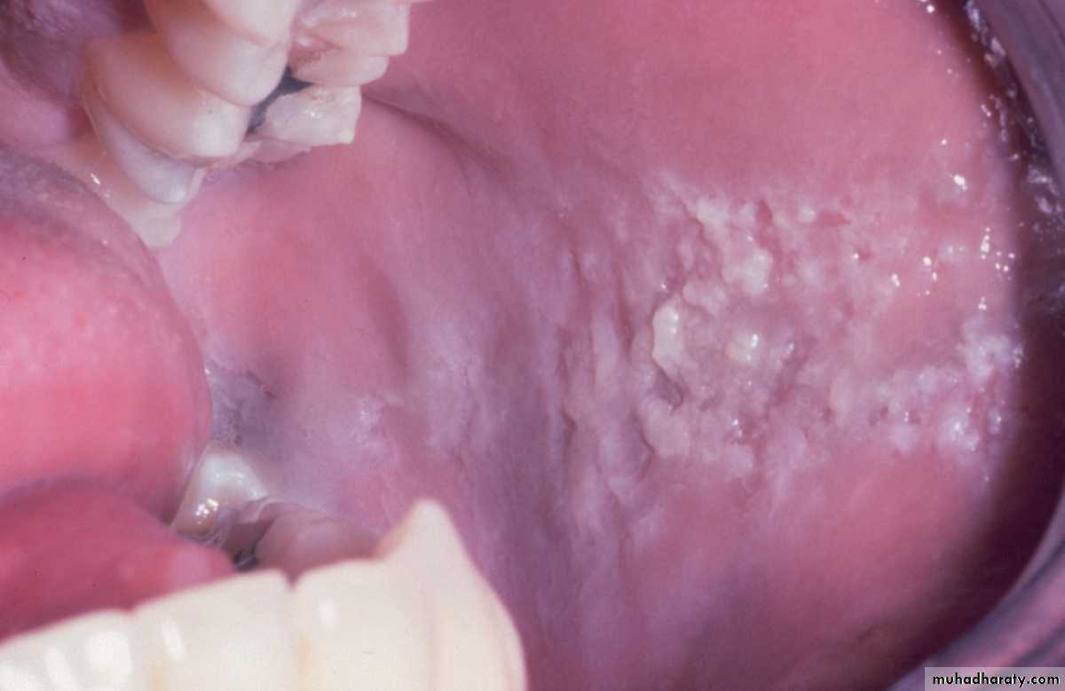
Morsicatio Linguarum. White, ragged plaque involving the right lateral tongueMorsicatio
Morsicatio Linguarum. Thickened, rough areas of white hyperkeratosis of the lateral border of the tongue on the left sideWhite sponge nevus
•Median rhomboid glossitis
•Traumatic keratosis
•Nicotinic stomatitis (stomatitis nicotina)
•Papillary hyperplasia of the palate
•Candidiasis (Candidosis)
Pseudomembranous candidiasis (Thrush)Candidiasis (Candidosis)
Pseudomembranous candidiasis (Neonatal Thrush)Erythematous candidiasis
Acute atrophic candidiasis or antibiotic sore mouthD.D: Acute atrophic candidiasis. Antibiotic sore mouth. Atrophy associated with Iron
deficiency anemia (left picture)Erythematous candidiasis
Central papillary atrophy of the tongue or Median rhomboid glossitisErythematous candidiasis
Chronic multifocal candidiasisErythematous candidiasis
Angular cheilitis (Angular stomatitis, Cheilosis, Perleche)Erythematous candidiasis
Chronic atrophic candidiasis or Denture associated stomatitisErythematous candidiasis
Chronic atrophic candidiasis or Denture associated stomatitisChronic hyperplastic candidiasis or Candidal leukoplakia
•Mucocutaneous Candidiasis MCC
MMC lesions of the oral mucosa and nailsSyphilis
Tertiary syphilis: Syphilitic leukoplakia D.D.: LeukoplakiaTHE END
UNIVERSITY OF MOSUL
COLLEGE OF DENTISTRY2020-2021























































