• Lec : 11
Maintenance Phase• UNIVERSITY OF MOSUL
• COLLEGE OF DENTISTRY
• By:
• Dr.Ghayath Aljawady
• B.D.S, M.Sc., Ph.D in periodontics
• 2020-2021
• Department of:
• Oral and Maxillofacial surgery / Periodontics unit
• Department of:
Preservation of the periodontal health of the treated patient requires a supportive program that is just as important as the therapy used to treat the periodontal disease.
After phase I therapy has been completed, patients are placed on a schedule of periodic recall visits for maintenance care to prevent the recurrence of the disease.
Maintenance Phase
Transfer of the patient from active treatment status to a maintenance program is a definitive step in total patient care that requires time and effort on the part of the dentist and staff.Patients who are not maintained in a supervised recall program subsequent to active treatment show obvious signs of recurrent periodontitis (e.g., increased pocket depth, bone loss, or tooth loss).
Motivational techniques and reinforcement of the importance of the maintenance phase of treatment should be considered before performing definitive periodontal surgery.
It is meaningless simply to inform patients that they are to return for periodic recall visits without clearly explaining the significance of these visits and describing what is expected of patients between visits.
The maintenance phase of periodontal treatment starts immediately after the completion of phase I therapy.
While the patient is in the maintenance phase, the necessary surgical and restorative procedures are performed.
This ensures that all areas of the mouth retain the degree of health attained after phase I therapy.
Rationale for Supportive PeriodontalTreatment
One likely explanation for the recurrence of periodontal disease is incomplete subgingival plaque/biofilm and calculus removal
The regrowth of subgingival biofilm is a slow process compared with that of supragingival biofilm. During this period (perhaps months), the subgingival biofilm may not induce inflammatory reactions that can be appear at the gingival margin.
Thus inadequate subgingival biofilm control can lead to continued loss of attachment, even without the presence of clinical gingival inflammation.
Scaling and root planing are generally not effective at sites with probing depths of 6 mm or greater.
Bacteria are present in the gingival tissues in chronic and aggressive periodontitis cases. Eradication of intragingival microorganisms may be necessary for a stable periodontal result.
Scaling, root planing, and even flap surgery may not eliminate intragingival bacteria in some areas. These bacteria may recolonize the pocket and cause recurrent disease
Another possible explanation for the recurrence of periodontal disease is the microscopic nature of the dentogingival unit healing after periodontal treatment.
Both the mechanical debridement performed by the therapist and the motivational environment provided by the appointment seem to be necessary for good maintenance results.
Maintenance Program
The interval between visits is initially set at 3 months but may vary according to the patient's needs. Periodontal care at each recall visit comprises three parts:The first part involves examination and evaluation of the patient's current oral health.
The second part includes the necessary maintenance treatment and oral hygiene reinforcement.
The third part involves scheduling the patient for the next recall appointment, additional periodontal treatment, or restorative dental procedures. The time required for a recall visit for patients with multiple teeth in both arches is approximately 1 hour
Examination and Evaluation
The recall examination is similar to the initial evaluation of the patient. However, because the patient is not new to the office, the dentist or hygienist primarily looks for changes that have occurred since the last evaluation.Updating of changes in the medical history and evaluation of restorations, caries, prostheses, occlusion, tooth mobility, gingival status, and periodontal and peri implant probing depths are important parts of the recall appointment.
The oral mucosa should be carefully inspected for pathologic conditions
Radiographic examination must be individualized, depending on the initial severity of the case and the findings during the recall visit. These are compared with findings on previous radiographs to check the bone height and look for repair of osseous defects, signs of trauma from occlusion, periapical pathologic changes, and caries.
Sequence of maintenance phase visits
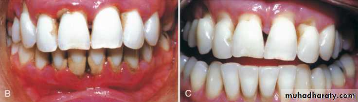
Recurrence of Periodontal DiseaseOccasionally, lesions may recur, which is often due to inadequate plaque/biofilm control on the part of the patient or failure to comply with recommended SPT schedules.
It should be understood, however, that it is the responsibility of the dentist to educate and motivate patients to improve their oral hygiene techniques.
Surgery should not be undertaken unless the patient participates in disease prevention and demonstrates proficiency in plaque/biofilm control.
Other causes for recurrence include the following:
1. Inadequate or insufficient treatment that has failed to remove all of the potential factors favoring biofilm accumulation. Incomplete calculus removal in areas of difficult access is a common source of problems.2. Inadequate restorations placed after the periodontal treatment was completed.
3. Failure of the patient to return for periodic maintenance care. This may be a result of the patient's conscious or unconscious decision not to continue treatment or the failure of the dentist and staff to emphasize the need for periodic supportive therapy.
4. Presence of some systemic diseases that may affect host resistance to previously acceptable levels of biofilm.
Classification of Post treatmentPatients and Risk Assessment
The Periodontal Risk Assessment (PRA) and the Periodontal Risk Calculator (PRC) have the most studies documenting their ability to predict the progression of periodontitis and tooth loss.patient is at low risk,
moderate risk,
or high risk;
an appropriate recall interval is then suggested.




















