قراءة
عرض



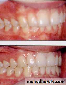
Orthognatic Surgery




Orthognatic Surgery

Treacher Collins Syndrome

Orthognatic Surgery

Hemifacial microsomia

Orthognatic Surgery





Orthognatic Surgery




Orthognatic Surgery




Orthognatic Surgery




Orthognatic Surgery




Orthognatic Surgery




Orthognatic Surgery





Orthognatic Surgery




Orthognatic Surgery




Orthognatic Surgery




Orthognatic Surgery


Orthognatic Surgery




Orthognatic Surgery



Orthognatic Surgery





رفعت المحاضرة من قبل: Sultan Alsaffar
المشاهدات: لقد قام 11 عضواً و 574 زائراً بقراءة هذه المحاضرة








تسجيل دخول

أو
عبر الحساب الاعتيادي
الرجاء كتابة البريد الالكتروني بشكل صحيح
الرجاء كتابة كلمة المرور
لست عضواً في موقع محاضراتي؟
اضغط هنا للتسجيل