بسم الله الرحمن الرجيمIN THE NAME OF GOD THE COMPATINATE THEMOST MERCIFULL
Respiratory diseases caused by fungi
Objectives is to know the followingEpidemiology
Risk for
Clinical presentation
Investigation
treatment
Significance
The majority of fungi encountered by humans are harmless saprophytes,But in certain circumstances some species may infect human tissue .
Aspergillus spp
Most cases of bronchopulmonary aspergillosis are caused by Aspergillus fumigatus, but other members of the genus occasionally cause disease.Allergic bronchopulmonary aspergillosis (ABPA)
ABPA is a hypersensitivity reaction to germinating fungal spores, which may complicate asthma and cystic fibrosis.It is a recognised cause of pulmonary eosinophilia .
The prevalence of ABPA is approximately 1-2% in asthma and 5-10% in CF.
Factors predisposing to fungal disease
Systemic factorsMetabolic disorders: diabetes mellitus
Chronic alcoholism
HIV and AIDS
Corticosteroids and other immunosuppressant medication
Radiotherapy
Local factors
Tissue damage by suppuration or necrosis
Alteration of normal bacterial flora by antibiotic therapy
Classification of bronchopulmonary aspergillosis
• Allergic bronchopulmonary aspergillosis (asthmatic pulmonary eosinophilia)
• Extrinsic allergic alveolitis (Aspergillus clavatus)
• Intracavitary aspergilloma
• Invasive pulmonary aspergillosis
• Chronic and subacute pulmonary aspergillosis
Features of allergic bronchopulmonary aspergillosis
Asthma .Proximal bronchiectasis.
Peripheral blood eosinophilia .
Presence or history of chest X-ray abnormalities
Fungal hyphae of A. fumigatus on microscopic examination of sputum
Clinical features and investigations
Depend on the stage of disease.Fever.
breathlessness.
cough productive of bronchial casts .
worsening of asthmatic symptoms.
Management
ABPA regular low-dose oral corticosteroids (prednisolone 7.5-10 mg daily).
Itraconazole (400 mg/day).
Allergic bronchopulmonary aspergillosis in a patient with a longhistory of asthma. Chest radiographs showed multilobar infiltrates. Computedtomographyshows areas of tubular ( arrows) and cystic ( arrowhead) bronchiectasis.
Allergic bronchopulmonary aspergillosis in a patient with a longhistory of asthma. Chest radiographs showed multilobar infiltrates. Allergic bronchopulmonary aspergillosis in a patient with a longhistory of asthma. Chest radiographs showed multilobar infiltrates predominantlyin the upper lobes, and bilateral mucous plugging ( arrows) with mediastinal and hilar lymphadenopathy
Aspergilloma
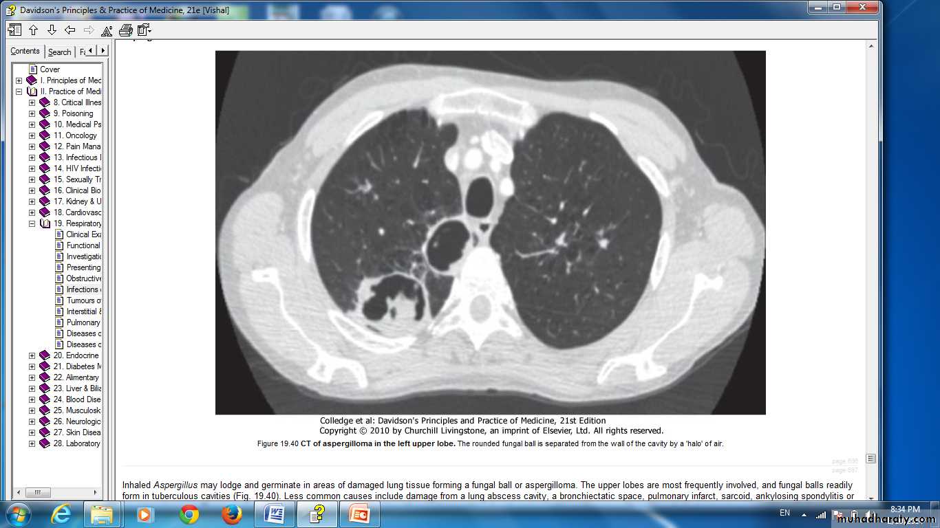
Inhaled Aspergillus may lodge and germinate in areas of damaged lung tissuea fungal ball or aspergilloma.
The upper lobes.
Cavities of any cause.
The 'complex aspergilloma'
presence of multiple aspergilloma cavities.
Investigation
HRCT is more sensitive .Elevated serum precipitins to A. fumigatus
Sputum microscopy
skin hypersensitivity to extracts of A. fumigatus
Management
Asymptomatic cases do not require treatment.Aspergillomas complicated by haemoptysis should be excised surgically
In unfit for surgery, palliative procedures range from local instillation of amphotericin B ---- to bronchial artery embolisation.




