Orthodontics :5th class
Crowding of teeth Dr: saad sami___________________________
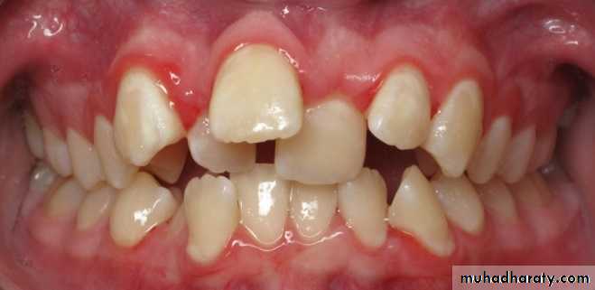
WHAT IS DENTAL CROWDING?Dental crowding or malocclusion is a hereditary condition that occurs when there is an insufficient amount of space for all the teeth to properly fit within your jaws.
Your teeth may become displaced if they are too large to fit in the available space. Losing your primary teeth too early or the improper growth of teeth can also cause crowding.
Crowding of teeth: disharmony in tooth to jaw size relationship.
Causes of crowding:There are dental and skeletal causes
OR may be environmental or hereditary.Dental causes:
1- Large teeth
2- Presence of supernumerary teeth3- Ectopic eruption of teeth
4- Oral habit5- Prolonged retention of primary teeth
6- 3rd molarSkeletal causes:
Deficiency of arch length (small jaws)Cleft lip and palate
Growth patternHereditary factors of crowding:
1- Maxillary – mandibular alveolar protrusion.2- One permanent mandibular lateral incisor block out lingually and midline discrepancy.
3- Premature exfoliation of one primary mandibular canine with result midline discrepancy.4- One mandibular permanent lateral incisor block out labially and midline discrepancy.
5- Bilateral exfoliation of primary mandibular canine.6- Gingival recession of one or more mandibular incisors.
7- Split maxilla (cleft palate).8- Canine bulging in maxillary and mandibular vestibule.
9- Palisading maxillary molars (narrow maxilla).
Environmental crowding associated with:
1- Trauma like facial burn.2- Discrepancy in size of individual teeth.
3- Rotate maxillary incisor with enlarge cingulum.4- Iatrogenic treatment.
5- Transposed teeth.6- Uneven resorption of deciduous roots.
7- Prolonged retention of primary teeth.8- interproximal caries if not restored.
9- Abnormal exfoliation sequence.10- Altered eruption sequence.
Crowding should be corrected:
Why?1- It prevent proper cleansing of all surfaces of teeth.
2- Cause dental decay.3- Increase the chance of gum disease.
4- Prevent normal function of the teeth.
5- pain or discomfort.6- difficulty chewing or speaking.
7- lack of self-confidence and desire to smile.Tretment plane of crowding:
It is done according to AGE, SEVERITY, and CAUSE of crowding.No treatment is done till mixed dentition
Treatment in mixed dentition:1- Mild crowding:
A- Crowding up to 2 mm must not treated because spontaneous correction by growth.B- Crowding 2-3 mm need for disking of primary lateral incisor and canine during eruption of permanent central incisor.
2- Moderate crowding:
A- Reduction in size of primary canine.B- Expansion of arch, by tipping the molars distally and incisors slightly foreword while widening the arch in premolar area.
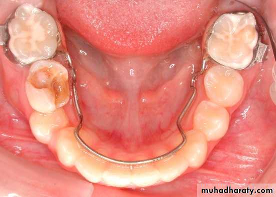
C- Extraction of primary canine but this create a possibility that permanent incisor will tip lingually reducing arch length, a conservative approach to place a lingual arch in canine extraction.
3- Sever crowding:
A- Expantion either use functional appliance (Frankle appliance, lip bumber, buccal shield) or with fixed appliance.
Note: lip bumber action is distalization of molars and proclination of incisors.
B- If we have severe crowding (10 mm or more): we do serial extraction.Treatment in permanent dentition:
. Reduction in size (disking) of six anterior teeth.. Expantion
. ExtractionNote: 0.25 mm disking from mesial surface and 0.25 mm from distal for each tooth will provide a 3 mm space to relief the crowding.









