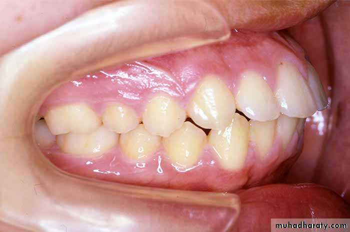
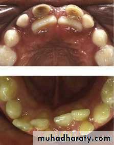
Crowding of teeth
UNIVERSITY OF MOSULCOLLEGE OF DENTISTRY
5th class
By: Assist. Prof.
Saad Gasgoos
2020-2021
P.O.P Department
Department of:
HEREOrthodontics
UNIVERSITY OF MOSUL
COLLEGE OF DENTISTRYDepartment of:
HERE
Crowding of teeth:
Defined as a lack of space for all teeth to fit normally with in the jaw.
OR
disharmony in tooth to jaw size relationship.UNIVERSITY OF MOSUL
COLLEGE OF DENTISTRY020-2021
Causes of crowding:
dental
and
skeletal
Other causes
environmental
or
hereditary.
UNIVERSITY OF MOSUL
COLLEGE OF DENTISTRY020-2021
Dental causes:
1- Large teeth(Macrodontioa)
2- Presence of supernumerary teeth
3- Ectopic eruption of teeth
4- Oral habit
5- Prolonged retention of primary teeth
6- Early loss of primary tooth
7- 3rd molar
Skeletal causes:
Deficiency of arch length ( small jaws)
Cleft lip and palate
Growth pattern
Diagnosis of crowding
1- Space analysis2- Tooth size analysis (Bolton analysis)
3- Radiographic examinationUNIVERSITY OF MOSUL
COLLEGE OF DENTISTRYUNIVERSITY OF MOSUL
COLLEGE OF DENTISTRYDepartment of:
HERE
Classification of crowding:
1- According to cause:
A- Primary crowding: its cause is genetic.B- Secondary crowding: its cause is environmental
Example: (premature loss of primary teeth and loss of space).C- Tertiary crowding: caused by pressure from back of arch either result from mesial drift or pressure from last molar.
UNIVERSITY OF MOSUL
COLLEGE OF DENTISTRYDepartment of:
HERE
2- According to severity of crowding:
Mild (1-3 mm)Moderate (3-6 mm)
Severe (more than 6 mm)
3- According to Clinical analysis:
HereditaryEnvironmental
UNIVERSITY OF MOSUL
COLLEGE OF DENTISTRYHereditary factors of crowding:
1- Maxillary – mandibular alveolar protrusion.UNIVERSITY OF MOSUL
COLLEGE OF DENTISTRY2- One permanent mandibular lateral incisor block out lingually and midline discrepancy.
3- Premature exfoliation of one primary mandibular canine with result midline discrepancy.
4- One mandibular permanent lateral incisor block out labially and midline discrepancy.5- Bilateral exfoliation of primary mandibular canine.
6- Gingival recession of one or more mandibular incisors.7- Split maxilla.
8- Canine bulging in maxillary and mandibular vestibule.
9- Palisading maxillary molars.UNIVERSITY OF MOSUL
COLLEGE OF DENTISTRYEnvironmental crowding associated with:
1- Trauma like facial burn.UNIVERSITY OF MOSUL
COLLEGE OF DENTISTRY• 2- Discrepancy in size of individual teeth.
• 3- Rotate maxillary incisor with enlarge cingulum.• Environmental crowding associated with:
• 4- Iatrogenic treatment.
• 5- Transposed teeth.• 6- Uneven resorption of deciduous roots.
• 7- Prolonged retention of primary teeth.
• 8- interproximal caries if not restored.
• 9- Abnormal exfoliation sequence.
• 10- Altered eruption sequence.
• Environmental crowding associated with:
Crowding should be corrected :
Why?1- It prevent proper cleansing of all surfaces of teeth.
2- Cause dental decay.3- Increase the chance of gum disease.
4- Prevent normal function of the teeth.
5- pain or discomfort.
6- lack of self-confidence and desire to smile.
UNIVERSITY OF MOSUL
COLLEGE OF DENTISTRYTreatment plane of crowding:
It is done according to AGE, SEVERITY, and CAUSE of crowding.
No treatment is done till mixed dentition
UNIVERSITY OF MOSUL
COLLEGE OF DENTISTRYTreatment in mixed dentition:
1- Mild crowding:
A- Crowding up to 2 mm must not treated because spontaneous correction by growth.
B- Crowding 2-3 mm need for disking of primary lateral incisor and canine during eruption of permanent central incisor.
UNIVERSITY OF MOSUL
COLLEGE OF DENTISTRY
2- Moderate crowding:
A- Reduction in size of primary canine.B- Expansion of arch, by tipping the molars distally and incisors slightly foreword while widening the arch in premolar area.
C- Extraction of primary canine but this create a possibility that permanent incisor will tip lingually reducing arch length, a conservative approach to place a lingual arch in canine extraction.
UNIVERSITY OF MOSUL
COLLEGE OF DENTISTRYUNIVERSITY OF MOSUL
COLLEGE OF DENTISTRY3- Sever crowding:
A- Expantion either use functional appliance (Frankle appliance, lip bumber, buccal shield ) or with fixed appliance.Note: lip bumber action is distalization of molars and proclination of incisors.
B- If we have severe crowding(10 mm or more): we do serial extraction.UNIVERSITY OF MOSUL
COLLEGE OF DENTISTRYUNIVERSITY OF MOSUL
COLLEGE OF DENTISTRYUNIVERSITY OF MOSUL
COLLEGE OF DENTISTRYUNIVERSITY OF MOSUL
COLLEGE OF DENTISTRYDepartment of:
HERE
. Reduction in size (disking) of six anterior teeth.
. Extraction. Expantion
Slow or rapid
Treatment in permanent dentition:
0.25 mm disking from mesial surface and 0.25 mm from distal for each tooth will provide a 3 mm space to relief the crowding.






































