Valvular heart diseases:-
It's either congenital or acquired lesions, some occur in isolation and other in association with other heart diseases.The abnormal cardiac valves cause disease by two major mechanisms:-
1-They impose a major homodynamic burden on the cardiac chambers by causing obstruction (stenosis) or regurgitation (incompetence) or sometimes combination of two.
2- The abnormal valves are more susceptible to infections and its complications.
Mitral and aortic valves diseases are more common than lesions of tricuspid and pulmonic valves.
Rheumatic fever and heart diseases:
Rheumatic fever: is an acute, immunologically mediated, multi-system inflammatory disease that follows, after a few weeks and episodes of group A streptococcal pharyngitis.
Rheumatic fever may cause heart disease during:
1- Acute phase (acute rheumatic carditis).
2- Chronic valvular deformities which's become manifested after many years of acute disease.
Rheumatic fever occur in only about 3/1 of patients with group A streptococcal pharyngitis.
Pathogenesis:-
Acute rheumatic fever is a hypersensitivity reaction induced by group A streptococci, the antibodies directed against the M proteins of certain strains of streptococci cross react with tissue glycoproteins in the heart, joints and other tissues, the onset of symptoms 2 to 3 weeks after infection and the absence of streptococci from the lesions support the concept that R.F result from immune response against the bacteria.
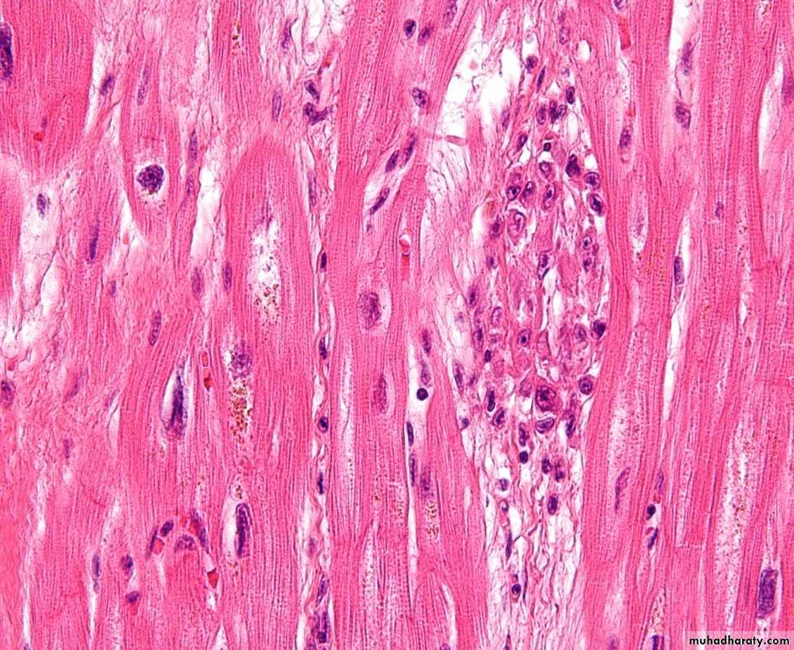
Morphology:-
Acute rheumatic carditis is characterized by inflammatory changes in all 3 layers of the heart, so it's designated a pancarditis, it's characterized by multiple foci of inflammation within connective tissue of the heart called Aschoff bodies: a granuloma which contains a central focus of fibrinoid necrosis, surrounded by a chronic mononuclear inflammatory cells and some large histeocytes with prominent nucleoli in myocardium in addition to presence of Aschoff bodies, there are diffuse interstitial inflammatory infiltrates and in severe myocarditis may cause generalized dilation of cardiac chambers.In endocardium involvement is common and usually affect any valve but mitral and aortic valves are common.
The valve is edematous, thickened and show foci of fibrinoid necrosis but Aschoff nodules are not common.
The acute inflammation of valve predispose to the formation of small vegetation seen as wart-like projections particularly along the lines of valves closure, these acute changes may resolve without squeals or progress to chronic scarring and valvular deformities.
Chronic rheumatic heart disease is characterized by irreversible deformity of one or more cardiac valves, scarring of the valve leaflets may cause:-
1- Reduction in the diameters of valve orifice (stenosis).
2- Prevent proper closure of valve leaflets resulting in regurgitation of blood during diastole.
3- Both stenosis and regurgitation.
Complications of rheumatic heart diseases:
1- Valvular stenosis and regurgitation increase the demands on the myocardium because of increase pressure load or volume load or both and cause heart failure.2- Damage to the valves predispose to infective endocaridtis.
Chronic rheumatic mitral valvulitis:-
Stenosis is more than regurgitation and is most common cause of mitral stenosis, the valve leaflets and chordae tendineae are thick, rigid and inter-adherent and orifice narrowed to a slit-like channel, have a" fish-mouth deformity", the left atrium is dilated and hypertrophied, mural thrombi may be present which's source of systemic emboli.In mitral regurgitation, the deformed mitral leaflets are retracted and the added volume load on the left ventricle causes left ventricular dilation and hypertrophy.
Chronic aortic valvulitis:-
The valve cusps are thickened, firm and adherent to each other, the orifice reduced to a rigid, triangular channel.Aortic stenosis places a pressure load on the left ventricle, so undergoes concentric hypertrophy, fibrosis of the valve leaflets may also cause them to retract toward the aortic wall result in aortic regurgitation.
Calcific aortic stenosis:-
This occur due to aging process by degenerative changes with fibrosis of valve leaflets and calcification, so it's called degenerative calcific aortic stenosis(DCAS).
Infective endocarditis:-
It's infection of the cardiac valves or mural surface of the endocardium resulting in the formation of an adherent mass of thrombotic debris and organism (vegetation).Infective endocarditis divided into:-
1- Acute endocarditis:- associated with infection of the valves by high virulent microorganism as staphylococcus aureus on normal valve and cause rapidly progressive infection with few local host reaction.
2- Subacute endocarditis:- associated with infection of previously abnormal valves by low virulent organisms, such as ά-hemolytic streptococci, the infection tend to progress slowly and accompanied by the development of a local inflammatory reaction and granulation tissue in the affected valve.
Pathogenesis:-
Infection occur from any microorganism as bacteria, fungi and parasite but bacteria is the most causative agents, this bacteria found in blood (bacteremia) then implanted on the endocardial surface, the source of bacteremia usually by intravenous drug abusers, previous dental, surgical or other procedure.The most common abnormalities of valve predispose to infective endocarditis are prosthetic valve, chronic rheumatic heart disease, DACS and mitral valve prolapse.
Infective endocarditis is a particularly difficult infection to eradicate because of the avascular nature of the heart valves, the inflammatory response to the infection is relatively scant, so that even a virulent organism can proliferate in uncontrolled fashion.
Morphology:-
The hall mark of infective endocarditis is the presence of valvular vegetation containing bacteria or other organisms, the aortic and mitral valves are the most common sites of infection, the vegetation may be single or multiple and may be involve more than one valve, seen grossly as small excrescence and vegetation enlarge to form bulky, friable lesion obstruct valve orificeMicroscopically: show large numbers of organisms admixed with fibrin and blood cells.
Systemic emboli may occur due to friable nature of the vegetation sites, and abscesses usually develop at the sites of such infarcts because of embolic fragments contain large number of virulent organism.Non bacterial thrombotic endocarditis:
Is characterized by deposition of small masses of fibrin, platelets and other blood components, on the leaflets of cardiac valves, these valvular lesions are sterile and do not contain microorganism.Pathogenesis:-
Endothelial abnormalities and hyper-coagulable states predispose to its development, this hypercoagulability occur in deep venous thrombosis, malignancies and even occur in healthy individuals.














