Testicular tumors: - is the most common cause of firm painless enlargement of the testis.
• The causes remain unknown but• cryptorchidism is associated with a four-fold increase in the risk of cancer.
• Testicular feminization and Klinefelter also increase the risk.
• The risk is increase in siblings of patients with testicular cancer.
• The development of cancer in one testis is associated with marked increase risk of neoplasia in the contralateral testis.
• Testicular tumors are more common in white peoples than the blacks.
Testicular tumors divided into two major histogenetic groups:-
Germ cell tumors which represent more than 90%• Seminoma (the neoplastic primitive germ cells may differentiated along the gonadal lines).
• Embryonal carcinoma (the primitive germ cells transform into totipotential cells which largely remain undifferentiated).
• Yolk sac tumor (totipotential cells may differentiated into extraembryonic cell lines).
• Choriocarcinoma (differentiation of pluripotential neoplastic germ cells along trophoplastic lines)
• Teratoma (totipotential cells may differentiated along the somatic cell lines)
Gonadal stromal /sex cord tumors.
Leyding cell tumorSertoli cell tumor
Seminoma: - it represents about half of all germ cell tumors. Peak incidence is the fourth decade and it’s of three variants:-
Classic seminoma:- about 90% of all seminomas. On gross examination, the tumor is solid, gray-white, poorly demarcated growth that bulges from the cut surface of the testis. The tumor may replace the entire testis in more than half of the cases.
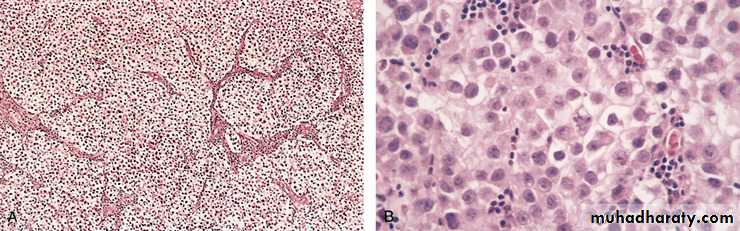
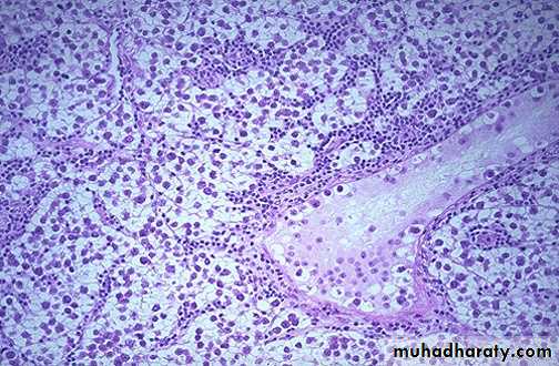
Histologically: solid nest of proliferating tumor cells in between there is randomly scattered thin fibrovascular trabeculea. The tumor cells have well defined borders with clear cytoplasm. The nuclei show limited pleomorphism and coarse granular chromatine. Typically there is lymphocytic infiltration is present in the fibrovascular trabeculea. Radiotherapy results in 5- years’ survival in 85-90%.
Spermatocytic seminoma: - about 5% of all seminomas. It arises in older patients (more than 50 years). On gross examination the size of the tumor is variable may reach 15 cm. the tumor is poorly demarcated soft yellow gray, gelatinous with small cystic areas. Histologically:- the tumor is composed of three population of neoplastic cells
1) small cells,
2) intermediate cells which is the most numerous and similar to tumor cells of classic seminoma,
3) scattered large cells with clumped coarse chromatin. All these tumor cells show poor cohesiveness and lack the lymphocytic infiltration which is characteristic for classic seminomas.
Siminomas may reach a large size and show late metastases by lymphatic to iliac and paraortic lymph nodes, while the other germ cell tumors show an early metastases even in the absence of palpable testicular lesion by both lymphatic and hematogenous routs.
Hematogenous metastases are most common to the liver and the lung.
Seminoma
Most common typeYong men
Curable
Arises from sperm producing cells
Several histologic types.
Lymphocytes
No markers
Seminoma testis gross
A small rim of remaining normal testis appears at the far right. The tumor is composed of lobulated soft tan to brown tissue.Seminoma
Little fried egg looking cells.Lymphocytes
No production of Beta-HCG or Alpha-fetoprotein
Seminoma testis mic
Typical seminoma. Lobules of neoplasitic cells have an intervening stroma with characteristic lymphoid infiltrates. The seminoma cells are large with vesicular nuclei, and pale watery cytoplasm.
Anaplastic seminoma: - about 5% of all seminomas. Has the same gross feature of classic type but histologically the tumor has more marked nuclear pleomorphism and increased mitoses. This tumor tends to be at a high stage than the classic seminoma at time of diagnosis.
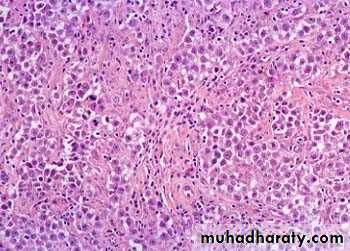
Embryonal carcinoma:- is the second most common testicular germ cell tumor, account 15-35% of these neoplasms. It occurs between 20-35 years. Grossly appear as ill defined invasive masses containing foci of hemorrhage and necrosis. The primary lesion is small even in patient with systemic metastases.
Histologically the tumor cells are large and primitive with basophilic cytoplasm, ill defined borders, and large nuclei with prominent nucleoli. The neoplastic cells may arrange in solid sheet, glandular structures or irregular papillae. In most cases neoplastic cells of yolk sac carcinoma, teratoma, choriocarcinoma mixed with embryonal areas. Chemotherapy results in cure rate of 95%-98%.
Embryonal Carcinoma
Aggressive tumor20-30 years
Areas of hemorrhage and necrosis
Two histologically distinct cell types.
Markers +/-
Lance Armstrong
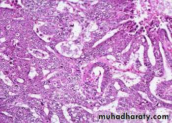
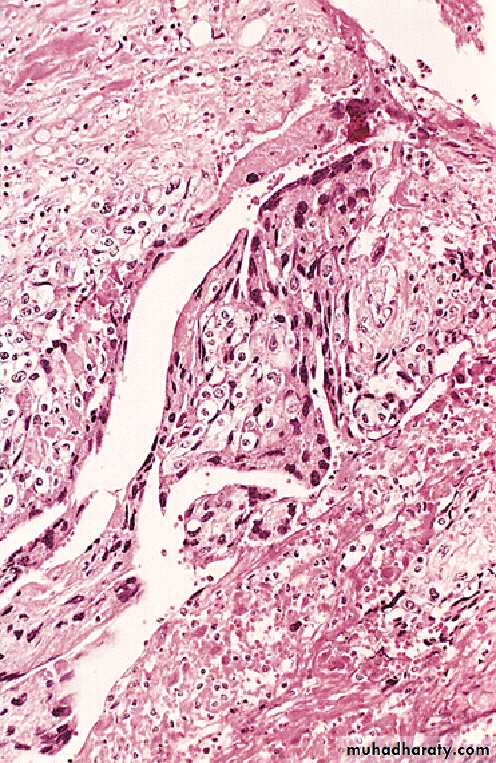
Yolk sac tumor (endodermal sinus tumor) :- most common primary testicular neoplasm in children younger than 3 years of age, but in adult this tumor are mostly seen admix with embryonic carcinoma. Grossly this tumor is typically large and well demarcated.
Histologically :- show cuboidal or columnar epithelial cells forming sheets glands, papillae and microcysts associated with eosinophilic hyaline globules and forming a characteristic feature is the forming of a primitive structure similar to the glomeruli (Schiller-Duvall bodies.)
By immunohistochemical techniques α- fetoprotein can be demonstrated in the cytoplasm of the neoplastic cells.
Choriocarcinoma:- grossly the tumors are very small, nonpalpable lesion even with extensive systemic metastases.
Histologically: the tumor is composed of sheets of small cuboidal cells irregularly intermingled with or capped by large eosinophilic syncytial cells containing multiple dark, pleomorphic nuclei; these represent cytotrophoblast &syncytiotrophoblastic differentiation respectively. Well-formed placental villi are not seen. HCG can be identified by immunohistochemical techniques in the cytoplasm of the syncytiotrophoblastic elements.
Choriocarcinoma
Placental elementsSynciotrophoblasts
Make Beta-HCG
Typically part of a ‘mixed lineage’ tumor.
Highly aggressive
This element spreads early.
Teratomas: - grossly firm masses on cut section show multiple cysts with recognizable areas of cartilage, bone, hair…
Histologically: three variant of pure teratoma can recognize:
Mature teratomas: contain fully differentiated tissues from one or more germ cell layers (e.g. cartilage, neural tissue, adipose tissue, bone, and epithelium) in a haphazard array.
Immature teratomas: in contrast, contain immature somatic elements resemble to those in developing fetal tissue.
Teratomas with malignant transformation: characterized by developing of frank malignancy in preexisting teratomatous elements such squamous cell carcinoma or adenocarcinoma. Most cases of malignant transformation occur in adult patients while pure teratomas in prepubertal male are usually benign.
Mature teratoma testis gross
There are multiple cystic areas, lobules of mature adipose tissue, and shiny solid nodules corresponding to well-differentiated cartilage.
Teratoma
Teratoma
Aggressively malignantThree germ lines
Ectoderm
Endoderm
Mesoderm
Makers +/-
Large islands of cartilage are seen surrounding well-differentiated glandular structures.
Mature teratoma testis micLeyding cell tumor: rare neoplasm arises from interstitial leyding cells of the testis. This tumor is very interesting because they are functionally active secreting either testosterone or estrogen or both of them. It occurs in two age groups: boys older than 4 years and men in their 3th – 6th decades. Although some boys develope precocious physical and sexual development ,, feminization with gynecomastia may observed in adult but still there is no characteristic clinical pattern of this tumor it’s depend on the its endocrinal activity. Leyding cell tumors are cured by orchiectomy.
Sertoli cell tumor: less frequent than leyding cell tumor. 20% of sertoli cell tumors are malignant. Orchiectomy is curative
.















