Endocrine system
This system consist of a highly integrated and widely distributed group of organs whose function is to maintain a state of metabolic equilibrium or hemostasis by secretion of hormones. In cases of increased activity of the target tissue, in turn, typically down regulate the activity of the glands secreting the stimulating hormones a process knwon as (feed back inhibition).Endocrine diseases can be broadly classified as:-
1- Diseases of under or over production of hormones and their resultant biochemical and clinical consequences.2- Diseases associated with the development of mass lesions (neoplasms) which's either benign one (adenoma) or malignant one (carcinoma).
The most common and important endocrine glands or organs:-
1- Pituitary gland:Pituitary gland is a small bean-shaped structure that lies at the base of the brain within the confines of the sella-turcica, the gland is related to the hypothalamus, it's divided into:
A- Anterior lobe or called (adenohypophesis) connect with the hypothalamus by rich venous plexus.
B- Posterior lobe or called (neurohypophesis) connect with hypothalamus by neuronal axons.
These 2 lobes are different in morphology and function.
The hormones secreted from anterior pituitary gland (which's consist of epithelial cells called according to the stain taken by these cells in routine H & E stain: basophilic, eosinophilic and chromophobes).
1- Prolactin hormone act on breast for secretion of milk during lactation.
2- Growth hormone (GH).
3- ACTH act on adrenal glands to secret steroids.
4- Gonadotrophic hormones act on ovaries and testes to produce sex hormones. 5- TSH act on thyroid gland to produce T3 & T4.
Posterior-pituitary gland:
It produces: 1- Antidiuretic hormone (ADH).2- Oxytocine.
Anterior-pituitary gland:
The most important diseases that occur in anterior lobe of pituitary gland are:I-Hyperpituitarism: causes:-
The most common cause of hyperpituitarism are:1- Functioning adenoma (most common cause).
2- Hyperplasia.
4- Secretion of hormones by non-pituitary tumor.
5- Certain hypothalamic disorders.
Pituitary adenoma:
Which's the most common cause of overproduction of ant. pituitary hormones presented clinically as overproduction of one or more ant. pituitary gland hormones or by local mass effect as headache, visual field abnormalities because of close proximity of optic nerve and chiasma to the sella.radiologically sellar expansion .The signs and symptoms caused by overproduction of hormones depend on type of cells proliferated and hormones secretion. e.g.
1. if cells of adenoma is type of prolactin hormonal secretion so patient present with hyperprolactinemia which's obvious in premenapausal women who are present by amenorrhea, galactorrhea and infertility.
2.In cases of GH secreting adenoma, this adenoma if occur in prepubertal children this will cause gigantism, but if it occur after closure of epiphysis so cause acromegaly which's occur in soft tissue, skin, viscera bones of face hands and feet.
3.ACTH secreting adenoma cause over secretion of ACTH which's act on adrenal cortex causing hypercortisolism (Cushing's disease).
4. TSH secreting adenoma causing thyrotoxicosis.
2- Hypopituitarism:This condition caused by
A- Primary pituitary disease as in cases of :1. non functioning pituitary adenoma.
2. Ischemic necrosis of pituitary gland as in case of
Sheehan's syndrome or called postpartum necrosis of anterior pituitary because of bleeding during delivery.
3. Ablation of the pituitary by surgery or radiation.
B- less commonly may be decrease stimulating factors of hypothalamus.
The signs and symptoms of underproduction of anterior pituitary appear as loss of hormones stimulating by pituitary hormones as thyroid hormones, adrenal corisol and gonads.Posterior pituitary gland
The 2 hormones secreted by this part of pituitary gland are:1- Oxytocin: stimulates the contraction of smooth muscles in gravid uterus so overproduction of this hormone not associated with significant clinical abnormalties.
2- ADH is more important and significant this hormone act on collecting tubules of kidney to promote reabsorption of free water so decrease of ADH by head injury, neoplasm of both hypothalamus or posterior pituitary cause diabetes insipdus a condition characterized by polyuria, the urine having low gravity, while increased of ADH secretion from pituitary or extracranial disorder as in cases of small cell carcinoma of lung will cause decrease of urination by increased absorption of water to circulation so cause hyponatremia and cerebral oedma.
Thyroid gland:
It is a bilobed structure lies below and anterior to larynx structurly consist of follicles lined by low cuboidal – columnar epithelium and filled by thyroglobulin rich colloid, which's is converted by follicular cells as T3 and T4, realse to circulation and interact with intracellular receptors to up-regulate of CHO and lipid catabolism, and protein synthesis so cause increase basal metabolic rate.Between these follicles there are parafollicular cells secrete calcitonin hormone which's promotes absorption of calcium by skeletal system and inhibits resorption of bone by osteoclast.
Diseases of thyroid glands:
1- overproduction (thyrotoxicosis)2- hypothyroidism
3- thyroiditis.
4- neoplasia.
I- Thyrotoxicosis:
Is a hypermetabolic state caused by elevation circulating levels of free T3 &T4 .The causes of thyrotoxicosis:
1- Primary overproduction by thyroid gland itself which's the most common cause.
2- secondary overproduction by realse of TSH from pituitary or realsing factors from hypothalamus which's a minor cause.
The clinical features of thyrotoxicosis are related to hypermetabolic state indused by excess thyroid hormones, so cause weight loss inspite of increase appetite, heat intolerance, the skin is soft, warm and flushed, diarrhea, palpitation and tachycardia.
Diagnosis of hyperthyroidism:
Depend on1-clinical features
2-laboratory data the measurement of
a- Serum TSH concentration is a sensitive assay provides the most useful single screening test for hyperthyroidism causing decrease it's level because of feed back inhibition which's usually increase in case of secondary hyperthyroidism caused by pituitary or hypothalamic over stimulation.b- measurement of T3&T4 which are increased.
Hypothyroidism:
Is decreased in level of thyroid hormones also caused by:1- primary cause is the most common cause occur in cases of :
a- Ablation of the thyroid by surgery or radiation therapy.
b- Hashimoto's thyroiditis.
c- primary idiopathic hypothyroidism.
2- secondary cause due to decrease of TRH or TSH from hypothalamus and pituitary resepectively.
Clinical features of hypothyroidism:
Include cretinism and myxedema .1- Cretinism is hypothyroidism developing in infancy or early childhood caused by hypothyroidism of mother during pregnancy, because the child take thyroid hormones in 1st months of his development in uterus from mother this cause impaired development of skeletal system, CNS and mental retardation, so the baby have short stature, coarse fascial feature and protruted tongue.
2- Myxedema: occur in older children and adults cause mental sluggish, cold intolerance, obesity, constipation and coarsening of fascial featues.
Diagnosis depend on estimation of TSH which's increased with decreased level of T3&T4.
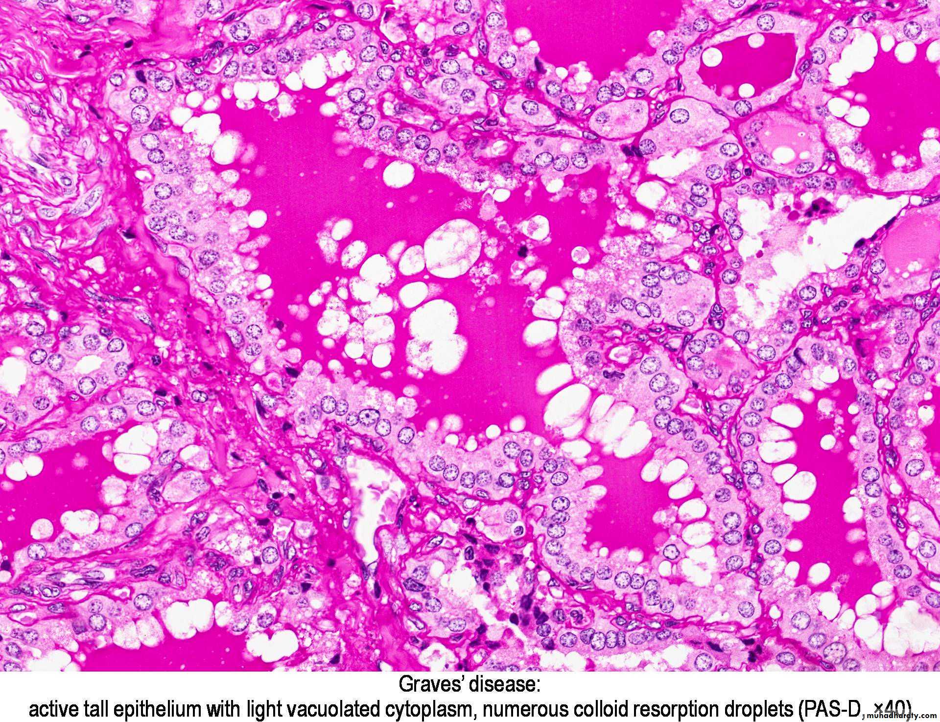
Grave's disease:
Is the most common cause of primary hyperthyroidism, this usually occur in young age female 20-40 years, present with diffuse goiter (enlargement of thyroid gland) and clinical features of thyrotoxicosis in addition to exophalamous because of muscular hypertrophy and fibroblast activation .
Pathogenesis: It is an autoimmune disorder, different auto antibodies present in serum most common are TSH receptors autoanti-body, which's act on TSH receptors of follicular cells, causes over-stimulation and increased secretion of T3&T4.
Morphology: diffuse symmetrical enlargement of thyroid gland, because of hypertrophy and hyperplasia of follicular cells.
Microscopically: proliferated follicles lined by tall columnar active follicular cells with forming of infolding, the follicles filled by pale colloid with scalloped margin, the stroma infiltrated by B lymphocytes which are the source of auto Ab.
Diffuse non-toxic and multinodular goiter:
This is most common thyroid disease occur due to :1- impaired synthesis of thyroid hormones due to dietary iodine deficiency.
2- increased thyroxin demand especially in young age female.
3- less commonly hereditary enzymatic defects that decreased thyroid hormone synthesis
These cause compensatory rise in serum TSH level, hypertrophy and hyperplasia of thyroid follicular cells, so cause enlargement of thyroid gland, when the cause subside by iodine intake or decrease of demand to thyroxin, so the TSH level will return to normal, the follicles enlarged and filled by colloid with lining by flat to cuboidal follicular cells so cause diffuse colloid goiter or multinodular goiter.
Hormonal assay at this stage reveal normal hormonal level or called authyroid, so signs and symptoms of disease reveal only thyroid enlargement and pressure effect.
Thyroiditis:
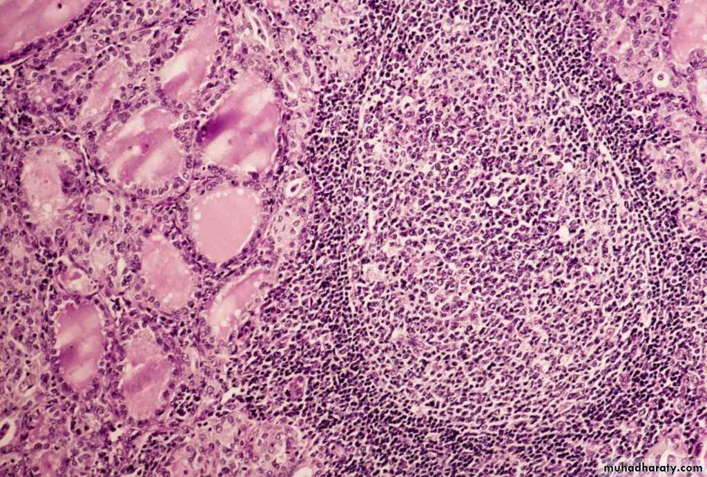
The most common type of thyroiditis isHashimoto's thyroiditis
It is an auto-immune disorder, the serum of patient contain auto-anti TSH receptors Ab like present in Grave's disease but block the action of TSH so cause hypothyroidism.
Morophology: diffuse enlargement of thyroid gland.
Microscopically: the stroma is heavily infiltrated by lymphocytes and plasma cells forming lymphoid follicles with germinal center, the thyroid follicles are usually small, lined by follicular cells having eosinophilic cytoplasm in some areas.
Clinical features: the patient is usually female present with diffuse, painless enlargement of thyroid gland with features of hypothyroidism, but in early stage of disease there is transient thyrotoxicosis because of distruption of thyroid follicles during this phase hormonal assay reveal increased level of T3&T4 with decline of TSH level but radioactive iodine uptake is diminished, during hypothyroidism state there are decline in level of T3&T4 with increased of TSH.
Neoplasm of thyroid gland
1- benign neoplasm called thyroid adenoma.
2- malignant include: a- papillary carcinoma is the most common
b- follicular carcinoma.
c- medullary carcinoma.
d- anaplastic carcinoma.














