Lec.4
Medical Parasitology (endoparasites)Class : Flagellata
By MEEEEEEEEEEEEE
Prof. Dr. Amal KH. KH.Lec.4
Medical Parasitology (endoparasites)
Flagellata : Hemoflagellates
By MEEEEEEEEEEEEE
Morphological formsThe haemoflagellates occur in various morphological forms . these forms . these forms are :
amastigote
promastigote
epimastigote
trypomastigote
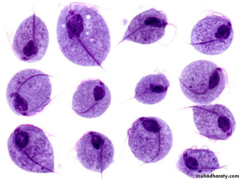
Morphology
Typical morphology
L. tropica : C. Leishmaniasis (Bagdad boil , oriental sore )
L. braziliensis : Muco-cutaneous Leishmaniasis ( espundia , uta )L. donovani : visceral Leishmaniasis ( Kala-azar , Dum-Dum fever )
L. tropicaL. tropica Minor :
L. tropica major
Cutaneous leishmaniasis
Baghdad boil , Oriental sore
Morphology
Pathology & Clinical manifestation
Formation of Baghdad boilComparison between :
• -L. tropica minor: (causes dry sore or urban Cutaneous leishmaniasis).• Produce chronic disease that if not treated, lasts for year or longer.
• with 2month – 3year incubation period
• It is characterized by the production of dry lesions that ulcerate only after several months .
• The lesions occur primarily on the face.
• The lesions are dry and non ulcerated.
• It is found in urban areas, it is found in Iraq and around the
• The dog may be a natural host.
L. tropica major: (causes wet sore or rural Cutaneous leishmaniasis).
Produces an acute infection with duration of 3-6 months.With as little as 2 weeks incubation period.
The lesions occur primarily on the lower limb.
The lesions are moist and tend to ulcerate very early.
There may be secondary or satellite lesions.
It is primarily a disease of rural areas.
Reservoir hosts (Rodents) are important source of human infection.
Diagnosis



































