• CHRONIC INFLAMMATION
• Chronic inflammation is inflammation of prolonged duration (weeks to months to years) in which active inflammation, tissue injury, and healing proceed simultaneously.• In contrast to acute inflammation, which is distinguished by vascular changes, edema, and a predominantly neutrophilic infiltrate, chronic inflammation is characterized by:
• Infiltration with mononuclear cells, including macrophages, lymphocytes, and plasma cells
• Tissue destruction, largely induced by the products of the inflammatory cells
• Repair, involving new vessel proliferation (angiogenesis) and fibrosis
acute inflammation may progress to chronic inflammation. This transition occurs when the acute response cannot be resolved, either because of the persistence of the injurious agent or because of interference with the normal process of healing. For example, a peptic ulcer of the duodenum initially shows acute inflammation followed by the beginning stages of resolution.
Alternatively, some forms of injury (e.g., viral infections) engender a response that involves chronic inflammation from the onset.
Causes of chronic inflammation:
1. Persistent infections :by microbes that are difficult to eradicate. These include mycobacteria, Treponema pallidum, (causative organism of syphilis), and certain viruses and fungi, all of which tend to establish persistent infections and elicit a delayed-type hypersensitivity . In fact, most viral infections elicit chronic inflammatory reactions dominated by lymphocytes and macrophages
hypersensitivity disease
diseases that are caused by excessive and inappropriate activation of the immune system are increasingly recognized as being important health problems (
• under certain conditions, immune reactions develop against the individual's own tissues, leading to autoimmune diseases. In these diseases, autoantigens evoke a self-immune reaction that results in chronic tissue damage and inflammation. Inflammation secondary to autoimmunity plays an important role in several common and debilitating chronic diseases, such as rheumatoid arthritis and inflammatory bowel disease. Immune responses against common environmental substances are the cause of allergic diseases, such as bronchial asthma.
• 3. Prolonged exposure to potentially toxic agents.:
• either exogenous materials such as inhaled particulate silica, which can induce silicosis or endogenous agents such as chronically elevated plasma lipid components, which may contribute to atherosclerosis (
Features of chronic inflammation
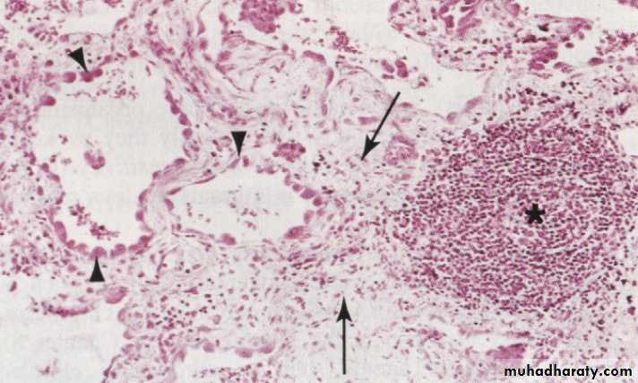
The three characteristic features of chronic inflammation (in the lung)
1. Chronic inflammatory cells infiltration* 2. destruction of the normal tissue(normal alveoli are replaced by spaces lined by cuboidal cells (arrow heads)
3. Replacement by fibrosis (arrows)
Chronic Inflammatory Cells and Mediators
chronic inflammation results from complex interactions between the cells that are recruited to the site of inflammation and are activated at this site.1. Macrophages:
the dominant cells of chronic inflammation, are tissue cells derived from circulating blood monocytes after their emigration from the bloodstream.
Macrophages are normally diffusely scattered in most connective tissues, and are also found in organs such as the liver (where they are called Kupffer cells), spleen and lymph nodes (called sinus histiocytes), central nervous system (microglial cells), and lungs (alveolar macrophages). Together these cells comprise the so-called mononuclear phagocyte system, also known by the older name of reticulo-endothelial system
2. Lymphocytes :
are mobilized to the setting of any specific immune stimulus (i.e., infections) as well as non-immune-mediated inflammation (e.g., due to infarction or tissue trauma).
Both T and B lymphocytes migrate into inflammatory sites using some of the same adhesion molecule pairs and chemokines that recruit other leukocytes. Lymphocytes and macrophages interact in a bidirectional way, and these interactions play an important role in chronic inflammation. Macrophages display antigens to T cells that stimulate them . Activated T lymphocytes, in turn, produce cytokines, and one of these, IFN-γ, is a powerful activator of macrophages
The half-life of circulating monocytes is about 1 day; under the influence of adhesion molecules and chemotactic factors, they begin to migrate to a site of injury within 24 to 48 hours after the onset of acute inflammation,. When monocytes reach the extravascular tissue, they undergo transformation into larger macrophages, which have longer half-lives and a greater capacity for phagocytosis than do blood monocytes. Macrophages may also become activated, resulting in increased cell size, increased content of lysosomal enzymes, more active metabolism, and greater ability to kill ingested organisms. By light microscopy, activated macrophages appear large, flat, and pink (in H&E stains); this appearance may be similar to that of squamous epithelial cells, and cells with such an appearance are therefore sometimes called epithelioid cells. Activation signals include bacterial endotoxin and other microbial products, cytokines secreted by sensitized T lymphocytes (in particular the cytokine IFN-γ), various mediators produced during acute inflammation, and ECM proteins such as fibronectin. After activation, macrophages secrete a wide variety of biologically active products that, if unchecked, can result in the tissue injury and fibrosis that are characteristic of chronic inflammation (Fig. 2-21). These products include
Acid and neutral proteases. Recall that the latter were also implicated as mediators of tissue damage in acute inflammation. Other enzymes, such as plasminogen activator, greatly amplify the generation of proinflammatory substances.
ROS and NO
AA metabolites (eicosanoids)
Cytokines such as IL-1 and TNF, as well as a variety of growth factors that influence the proliferation of smooth muscle cells and fibroblasts and the production of ECM
After the initiating stimulus is eliminated and the inflammatory reaction abates, macrophages eventually die or wander off into lymphatics. In chronic inflammatory sites, however, macrophage accumulation persists, and macrophages can proliferate. Steady release of lymphocyte-derived chemokines and other cytokines is an important mechanism by which macrophages are recruited to or immobilized in inflammatory sites. IFN-γ can also induce macrophages to fuse into large, multinucleated cells called giant cells
3. Eosinophils
are characteristically found in inflammatory sites around parasitic infections or as part of immune reactions mediated by IgE, typically associated with allergies.
Their recruitment is driven by adhesion molecules similar to those used by neutrophils, and by specific chemokines (e.g., eotaxin) derived from leukocytes or epithelial cells. Eosinophil granules contain major basic protein, a highly charged cationic protein that is toxic to parasites but also causes epithelial cell necrosis.
4. Mast cells
are sentinel cells widely distributed in connective tissues throughout the body, and they can participate in both acute and chronic inflammatory responses. In atopic individuals (individuals prone to allergic reactions), mast cells are "armed" with IgE antibody specific for certain environmental antigens.
When these antigens are subsequently encountered, the IgE-coated mast cells are triggered to release histamines and AA metabolites that elicit the early vascular changes of acute inflammation. IgE-armed mast cells are central players in allergic reactions, including anaphylactic shock.
Mast cells can also elaborate cytokines such as TNF and chemokines and may play a beneficial role in some infections.
Mediators of chronic inflammation
• Agent• Action
• Source
• Migration inhibition factor (MIF)
• Aggregation of macrophages at site of injury
• Activated T lymphocytes
• Macrophage activatingfactor (MAF)
• Increased phagocytosis by macrophages
• Activated T lymphocytes
• Complement C5a
• Chemotatic for macrophages
• Complement system
• Eosinophil chemotacticfactor ofanaphylaxis (ECF A)
• Chemotactic for eosinophils in metazone infection
• Mast cells and basophils
Granulomatous inflammation
is a distinctive pattern of chronic inflammation characterized by aggregates of activated macrophages that assume an epithelioid appearance.
Granulomas are encountered in certain specific pathologic states; consequently, recognition of the granulomatous pattern is important because of the limited number of conditions (some life-threatening) that cause it.
Granulomas can form in the setting of persistent T-cell responses to certain microbes (such as Mycobacterium tuberculosis, T. pallidum, or fungi), where T-cell-derived cytokines are responsible for chronic macrophage activation.
Tuberculosis is the prototype of a granulomatous disease caused by infection and should always be excluded as the cause when granulomas are identified.
Granulomas may also develop in response to relatively inert foreign bodies (e.g., suture or splinter), forming so-called foreign body granulomas.
The formation of a granuloma effectively "walls off" the offending agent and is therefore a useful defense mechanism.
However, granuloma formation does not always lead to eradication of the causal agent, which is frequently resistant to killing or degradation, and granulomatous inflammation with subsequent fibrosis may even be the major cause of organ dysfunction in some diseases, such as tuberculosis.
• Causes of granulomatous inflammation:
• granulomatous inflammation is encountered in a number of immunologically mediated infectious and non-infectious conditions, these include:• Tuberculosis
• Sarcoidosis
• Cat-scratch disease
• Lymphogranuloma inguinale
• Leprosy
• Brucelosis
• Syphilis
• Some fungal infection
• Reactions of irretant lipid
Recognition of granuloma in biopsy specimen is important because it shorten the list of differetial diagnosis .agranuloma is a focus of chronic inflammation consist of aggregation of macrophages that are transformed into epithelioid cells surrounded by a collar of mononuclear leukocytes principally lymphocytes and occasionally plasma cells.older granulomas develop an enclosing rim of fibroblasts and connective tissue .frequently , epithelioid cells fuse to form multinucleated giant cells in periphery or some time in the center of the granuloma.they have 20 or more small nuclei arranged either peripherally (Langhans-type giant cell) or haphazardlly ( foreign body –type giant cell )
Diagram of typical TB granuloma
Caseation
Epithelioid cellsMultinucleated GC
Lymphocytes
Fibroblasts
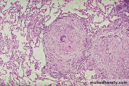
This is a low power view showing two, adjacent, well-defined, rounded granulomas . From this power the presence of multinucleated giant cells is obvious (arrow).
TB granulomas lung
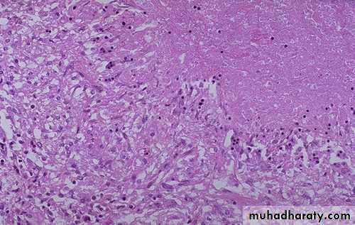
This is a high power view showing a portion of typical TB granuloma. Note the amorphous, pinkish central caseation, which is surrounded by a rim of epithelioid cells.
TB granulomas
Epithelioid cells
Caseation
Two foreign body giant cells are seen, where there is a bluish strand of suture material (arrow) from a previous operation
Foreign body giant cells in suture granuloma
Seen under polarized light are numerous bright white crystals of talc in a patient who was an intravenous drug user. The injected drug was diluted with the talc. Such foreign material can produce a granulomatous reaction.
Talc granulomas, pulmonary, polarized light
Sarcoidosis is a granulomatous inflammatory disease which affects many tissues, including lymphoid tissue. The capsule of the node is on the left. The normal architecture of the node has been largely destroyed, with some blue-staining lymphoid tissue surviving beneath the capsule and between the round sarcoid granulomas. The latter vary widely in size, from a few cells to very large collections (right) several mm in diameter. They consist of epithelioid histiocytes. There is no caseation, but some contain calcified laminated Schaumann bodies (arrows).
Sarcoidosis lymph node
SYSTEMIC EFFECTS OF INFLAMMATION
• 1. Fever :• is produced in response to substances called pyrogens that act by stimulating prostaglandin (PG) synthesis in the vascular and perivascular cells of the hypothalamus.
• 2. Acute-phase proteins:
• which are plasma proteins, mostly synthesized in the liver, whose concentrations may increase several 100-fold as part of the response to inflammatory stimuli Three of the best-known of these proteins are C-reactive protein (CRP), fibrinogen, and serum amyloid A (SAA) protein .
• CRP and SAA, bind to microbial cell walls, and they may act as opsonins and fix complement, thus promoting the elimination of the microbes. Fibrinogen binds to erythrocytes and causes them to form stacks (rouleaux) that sediment more rapidly at unit gravity than do individual erythrocytes.
• Leukocytosis
• is a common feature of inflammatory reactions, especially those induced by bacterial infection. The leukocyte count usually climbs to 15,000 or 20,000 cells/μL, but sometimes it may reach extraordinarily high levels, as high as 40,000 to 100,000 cells/μL. These extreme elevations are referred to as leukemoid reactions because they are similar to the white cell counts obtained in leukemia. The leukocytosis occurs initially because of accelerated release of cells from the bone marrow postmitotic reserve pool (caused by cytokines, including TNF and IL-1) and is therefore associated with a rise in the number of more immature neutrophils in the blood (shift to the left). Prolonged infection also stimulates production of colony-stimulating factors (CSFs), leading to increased bone marrow output of leukocytes, which compensates for the loss of these cells in the inflammatory reaction. Most bacterial infections induce an increase in the blood neutrophil count, called neutrophilia. Viral infections, such as infectious mononucleosis, mumps, and German measles, are associated with increased numbers of lymphocytes (lymphocytosis). Bronchial asthma, hay fever, and parasite infestations all involve an increase in the absolute number of eosinophils, creating an eosinophilia. Certain infections (typhoid fever and infections caused by some viruses, rickettsiae, and certain protozoa) are paradoxically associated with a decreased number of circulating white cells (leukopenia), likely because of cytokine-induced sequestration of lymphocytes in lymph nodes.
4. Other manifestations of the acute-phase response include increased heart rate and blood pressure; decreased sweating, mainly because of redirection of blood flow from cutaneous to deep vascular beds, to minimize heat loss through the skin; and rigors (shivering), chills (perception of being cold as the hypothalamus resets the body temperature), anorexia, and malaise, probably because of the actions of cytokines on brain cells. Chronic inflammation is associated with a wasting syndrome called cachexia, which is mainly the result of TNF-mediated appetite suppression and mobilization of fat stores
5. In severe bacterial infections (sepsis), the large amounts of organisms and LPS in the blood or extravascular tissue stimulate the production of enormous quantities of several cytokines, notably TNF, as well as IL-12 and IL-1. As a result, circulating levels of these cytokines increase, and the nature of the host response changes. High levels of TNF cause disseminated intravascular coagulation (DIC), hypoglycemia, and hypotensive shock. This clinical triad is described as septic shock.







