Fat soluble vitamins
Dheyaa Kadhim Al-Waeli - MD, FICMS, MSc. (Endo.)Assistant professor: University of Thi-Qar, College of medicine , Department of Medicine
Adult Endocrinologist: Thi-Qar Specialized Daibetes Endocrine and Metabolism Center (TDEMC)
Thi-Qar Internist Association
E-mail: dheyaaalwaeli@yahoo.com
Email: dhiaa.alwaeli@fdemc.iq
ORCID iD:http://orcid.org/ 0000-0001-8738-2205
L 4
Vitamin D
The natural form of vitamin D, cholecalciferol or vitamin D3 , is formed in the skin by the action of ultraviolet (UV) light on 7-dehydrocholesterol, a metabolite of cholesterol. Few foods contain vitamin D naturally and skin exposure to sunlight is the main source.Moving away from the equator, the intensity of UV light decreases, so that at a latitude above 50° (including northern Europe) vitamin D is not synthesised in winter, and even above 30° there is seasonal variation.
The body store accumulated during the summer is consumed during the winter.
Vitamin D is converted in the liver to 25-hydroxyvitamin D (25(OH)D), which is further hydroxylated in the kidneys to 1,25-dihydroxyvitamin D (1,25(OH)2.This 1,25(OH)2D), the active form of the vitamin D activates specific intracellular receptors that influence calcium metabolism, bone mineralisation and tissue differentiation.
The synthetic form, ergocalciferol or vitamin D2 considered to be less potent than endogenous D3
Recommended dietary intakes aim to:-
• Improve musculoskeletal health• Preventing rickets and osteomalacia
• Enhancing muscle strength and reducing the risks of falls in the elderly.
Does vit D has non musculoskeletal functions?
Non-musculoskeletal conditions and may improve immune function .The combination of
• low dietary intake and• limited sunlight exposure in the UK has led to:-
recommendations that everyone over the age of 5 should take 10 μg of vitamin D daily.
Which individuals are liable for Vit D deficiency ??
The individuals at highest risk of vitamin D deficiency are those who have:-• limited exposure to sunshine.
• People who are confined indoors, those who habitually
• Cover up their skin when outdoors and
• Those with darker skins .
Should take 10 μg of vitamin D per day all year round. Other groups may require such supplementation only in the winter months of October to March.
What are the effects of vitamin D deficiency?
The effects of vitamin D deficiency (calcium deficiency) are rickets and osteomalacia) .An analogue of vitamin D (calcipotriol) is used for treatment of skin conditions such as psoriasis.
Excessive doses of cholecalciferol, ergocalciferol or the hydroxylated metabolites cause hypercalcaemia .
There are eight related fat-soluble substances with vitamin E activity. The most important dietary form is α-tocopherol.
Vitamin E
What are the actions of Vit E?
Vitamin E has many direct metabolic actions:• It prevents oxidation of polyunsaturated fatty acids(PUFA) in cell membranes by free radicals.
• It helps maintain cell membrane structure.
• It affects DNA synthesis and cell signalling.
• It is involved in the anti-inflammatory and immune systems.
Human deficiency is rare and has been described only in premature infants and in malabsorption.
It can cause a mild haemolytic anaemia, ataxia and visual scotomas.
Vitamin E intakes of up to 3200 mg/day (1000-fold greater than recommended intakes) are considered safe.
Vitamin K
Vitamin K is supplied in the diet mainly as vitamin K1 (phylloquinone) in the UK, or as vitamin K2 (menaquinone) from fermented products in parts of Asia.What is the importance of Vit K ??
Vitamin K2 is also synthesised by bacteria in the colon. Vitamin K is a co-factor for carboxylation reactions: in particular, the production of γ-carboxyglutamate (gla).Gla residues are found in four of the coagulation factor proteins (II, VII, IX and X), conferring their capacity to bind to phospholipid surfaces in the presence of calcium.
Does vit K has other functions ??
Other important gla proteins are osteocalcin and matrix gla protein, which are important in bone mineralisation.
Vitamin K deficiency leads to delayed coagulation and bleeding.
In obstructive jaundice, dietary vitamin K is not absorbed and it is essential to administer the vitamin in parenteral form before surgery.
Warfarin and related anticoagulants act by antagonising vitamin K.
Vitamin K is given routinely to newborn babies to prevent haemorrhagic disease.
Symptoms of excess have been reported only in infants, with synthetic preparations linked to haemolysis and liver damage.Water-soluble vitamins
Thiamin (vitamin B1)Thiamin is widely distributed in foods of both vegetable and animal origin.
What is its importance ?
Thiamin pyrophosphate (TPP) is a co-factor for enzyme reactions involved in the metabolism of macronutrients (carbohydrate, fat and alcohol).So what could occur in its deficiency ?
In thiamin deficiency, cells cannot metabolise glucose aerobically to generate energy as ATP.
Which cells will be affected more than others & why?
Neuronal cells are most vulnerable because they depend almost exclusively on glucose for energy requirements.
Impaired glucose oxidation also causes an accumulation of pyruvic and lactic acids, which produce vasodilatation and increased cardiac output.
Deficiency
In the developed world, thiamin deficiency is mainly encountered in chronic alcoholics, due to :-• Poor diet.
• Impaired absorption, storage and phosphorylation of thiamin in the liver.
• Increased requirements for thiamin to metabolise ethanol.
In the developing world, deficiency usually arises as a consequence of a diet based on polished rice. The body has very limited stores of thiamin, so deficiency is manifest after only 1 month on a thiamin-free diet. There are two forms of the disease in adults:
1. Dry (or neurological) beri-beri manifests with chronic peripheral neuropathy and with wrist and/or foot drop, and may cause Korsakoff’s psychosis and Wernicke’s encephalopathy .
2. Wet (or cardiac) beri-beri causes generalised oedema due to biventricular heart failure with pulmonary congestion.
In dry beri-beri, response to thiamin administration is not uniformly good. Multivitamin therapy seems to produce some improvement, however, suggesting that other vitamin deficiencies may be involved.
Wernicke’s encephalopathy and wet beri-beri should be treated without delay with intravenous vitamin B and C mixture. Korsakoff’s psychosis is irreversible and does not respond to thiamin treatment.
Riboflavin (vitamin B2)
Riboflavin is required for the flavin co-factors involved in oxidation–reduction reactions. It is widely distributed in animal and vegetable foods.Levels are low in staple cereals but germination increases its content.
It is destroyed under alkaline conditions by heat and by exposure to sunlight.
Deficiency is rare in developed countries. It mainly affects the tongue and lips and manifests as glossitis, angular stomatitis and cheilosis.
The genitals may be involved, as well as the skin areas rich in sebaceous glands, causing nasolabial or facial dyssebacea (seborrheic dermatitis).
Rapid recovery usually follows administration of riboflavin 10 mg daily by mouth.
Disorder of the sebaceous glands marked by reddening and accumulation of greasy flaky scales on affected areas and often indicative of a vitamin deficiency
Nasolabial or facial dyssebacea due to Riboflavin (vitamin B2) deficiency
Niacin (vitamin B3)
Niacin encompasses nicotinic acid and nicotinamide. Nicotinamide is an essential part of the two pyridine nucleotides, nicotinamide adenine dinucleotide (NAD) and nicotinamide adenine dinucleotide phosphate (NADP), which play a key role as hydrogen acceptors and donors for many enzymes.Niacin can be synthesized in the body in limited amounts from the amino acid tryptophan.
It remains a problem in :-
• Parts of Africa, and is occasionally seen in• Alcoholics
• Patients with chronic small intestinal disease in developed countries.
• Hartnup’s disease, a genetic disorder characterised by impaired absorption of several amino acids, including tryptophan.
• Carcinoid syndrome when tryptophan is consumed in the excessive production of 5-hydroxytryptamine (5-HT, serotonin).
What is the result of its deficiency ??
Pellagra has been called the disease of the three Ds:Dermatitis. Characteristically, there is erythema resembling severe sunburn, appearing symmetrically over the parts of the body exposed to sunlight, particularly the limbs and especially on the neck but not the face (Casal’s necklace).
The skin lesions may progress to vesiculation, cracking, exudation and secondary infection.
Diarrhoea.
Dermatitis.Dementia.
Diarrhoea. This is often associated with anorexia, nausea, glossitis and dysphagia, reflecting the presence of a non-infective inflammation that extends throughout the gastrointestinal tract.
• Dementia. In severe deficiency, delirium occurs acutely and dementia develops in chronic cases.
Treatment is with nicotinamide, given in a dose of 100 mg 3 times daily orally or parenterally. The response is usually rapid. Within 24 hours the erythema diminishes, the diarrhoea ceases and a striking improvement occurs in the patient’s mental state.
Does it have other uses??
Is there any toxicity if taken in large doses?Toxicity
Excessive intakes of niacin may lead to reversible hepatotoxicity.
Nicotinic acid is a lipid-lowering agent but at doses above 200 mg a day gives rise to vasodilatory symptoms (‘flushing’ and/or hypotension).
Pyridoxine (vitamin B6 )
Pyridoxine, pyridoxal and pyridoxamine are different forms of vitamin B6 that undergo phosphorylation to produce pyridoxal 5-phosphate (PLP).PLP is the co-factor for a large number of enzymes involved in the metabolism of amino acids.
Vitamin B6 is available in most foods.
Deficiency is rare, although certain drugs, such as isoniazid (Anti TB) and penicillamine, act as chemical antagonists to pyridoxine.
Pyridoxine administration is effective in isoniazid-induced peripheral neuropathy and some cases of sideroblastic anaemia.
Large doses of vitamin B6 have an antiemetic effect in radiotherapy-induced nausea. Although vitamin B6
supplements have become popular in the treatment of nausea in pregnancy, carpal tunnel syndrome and pre-menstrual syndrome, there is no convincing evidence of benefit.
Very high doses of vitamin B6 taken for several months
can cause a sensory polyneuropathy.
Biotin
Biotin is a co-enzyme in the synthesis of fatty acids, isoleucine and valine, and is also involved in gluconeogenesis.Deficiency results from consuming very large quantities of raw egg whites (> 30% energy intake) because the avidin they contain binds to and inactivates biotin in the intestine.
It may also be seen after long periods of total parenteral nutrition (TPN).
The clinical features of deficiency include:• Scaly dermatitis
• Alopecia and
• Paraesthesia.
Folate (folic acid)
Folates exist in many forms. The main circulating form is 5-methyltetrahydrofolate. The natural forms are prone to oxidation.Folic acid is the stable synthetic form. Folate works as a methyl donor for cellular methylation and protein synthesis.
It is directly involved in DNA and RNA synthesis, and requirements increase during embryonic development.
All women planning a pregnancy are advised to include good sources of folate in their diet, and to take folate supplements throughout the first trimester.
Liver is the richest source of folate but an alternative source (e.g. leafy vegetables) is advised in early pregnancy ?
Folate deficiency has also been associated with heart disease, dementia and cancer.
because of the high vitamin A content of liver.
Hydroxycobalamin (vitamin B12)
Vitamin B12 is a co-factor in folate co-enzyme recycling and nerve myelination. Vitamin B12 and folate are particularly important in DNA synthesis in red blood cells.
MEGALOBLASTIC ANEMIA
Vitamin B12 , but not folate, is needed for the integrity of myelin, so that vitamin B12
deficiency is also associated with neurological diseaseNeurological disease
Neurological findings in B12
Peripheral nerves• Glove and stocking paraesthesiae
• Loss of ankle reflexes
Spinal cord
• Subacute combined degeneration of the cord
• Posterior columns – diminished vibration sensation and proprioception
• Corticospinal tracts – upper motor neuron signs
Cerebrum
• Dementia
• Optic atrophy
Autonomic neuropathy deficiency
Smooth tongue is a feature of megaloplastic anaemia
Vitamin C (ascorbic acid)Ascorbic acid is the most active reducing agent in the aqueous phase of living tissues and is involved in intracellular electron transfer.
It takes part in the hydroxylation of proline and lysine in protocollagen to hydroxyproline and hydroxylysine in mature collagen.
It is very easily destroyed by heat, increased pH and light, and is very soluble in water; hence many traditional cooking methods reduce or eliminate it.
Claims that high-dose vitamin C improves immune function (including resistance to the common cold) and cholesterol turnover remain unsubstantiated.
Deficiency – scurvy
Vitamin C deficiency causes defective formation of collagen with:-• Impaired healing of wounds
• Capillary haemorrhage
• Reduced platelet adhesiveness (normal platelets are rich in ascorbate)
Scurvy – vitamin C deficiency precipitating factors:-
Increased requirement• Trauma, surgery, burns, infections
• Smoking
• Drugs (glucocorticoids, aspirin, indometacin, tetracycline)
Dietary deficiency
• Lack of dietary fruit and vegetables for > 2 months
• Infants fed exclusively on boiled milk
Clinical features of scurvey
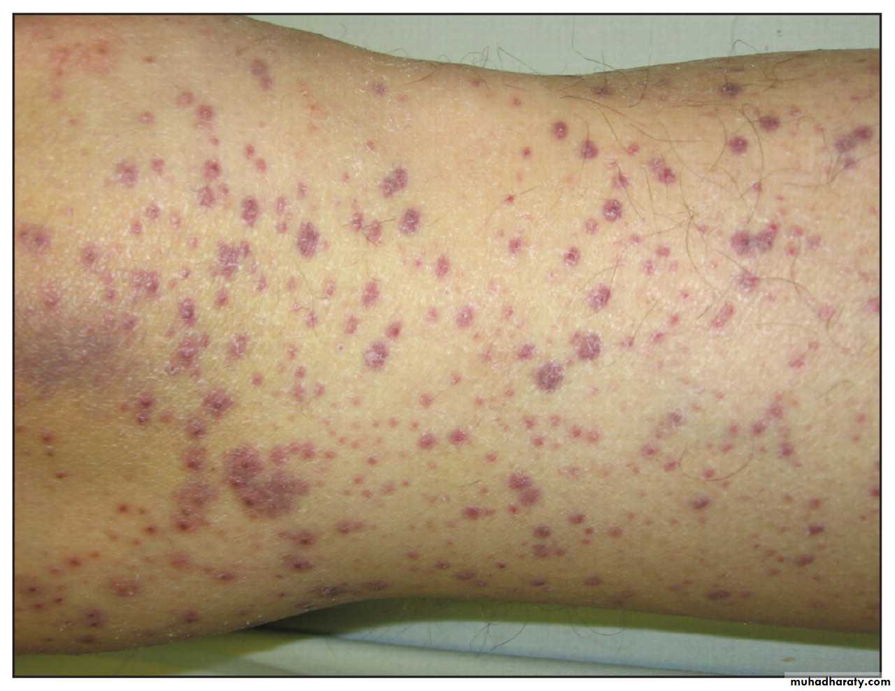
• Swollen gums that bleed easily• Perifollicular and petechial haemorrhages
• Ecchymoses
• Haemarthrosis
• Gastrointestinal bleeding (GIT bleeding)
• Anaemia
• Poor wound healing
Swollen gums that bleed easily
A dose of 250 mg vitamin C 3 times daily by mouth should saturate the tissues quickly.
The deficiencies of the patient’s diet also need to be corrected and other vitamin supplements given if necessary.Daily intakes of more than 1 g/day have been reported to cause diarrhoea and the formation of renal oxalate stones.
Calcium and phosphorus
Calcium is the most abundant cation in the body and powerful homeostatic mechanisms control circulating ionised calcium levels.Inorganic micronutrients
The WHO’s dietary guidelines for calcium differ between countries, with higher intakes usually recommended in places with higher fracture prevalence.
Between 20% and 30% of calcium in the diet is absorbed, depending on vitamin D status and food source.
Calcium requirements depend on phosphorus intakes, with an optimum molar ratio (Ca:P) of 1 : 1.
Excessive phosphorus intakes (e.g. 1–1.5 g/day) with a Ca:P of 1 : 3 have been shown to cause hypocalcaemia and secondary hyperparathyroidism. Calcium absorption may be impaired in vitamin D deficiency and in malabsorption secondary to small intestinal disease.
Calcium deficiency causes impaired bone mineralisation and can lead to osteomalacia in adults. Too much calcium can lead to constipation, and toxicity has been observed in ‘milk-alkali syndrome’.
Dietary deficiency of phosphorus is rare (except in older people with limited diets) because it is present in nearly all foods and phosphates are added to a number of processed foods. Phosphate deficiency in adults occurs:
• In patients with renal tubular phosphate loss
• In patients receiving a prolonged high dosage of aluminium hydroxide.
• In alcoholics sometimes when they are fed with high carbohydrate foods
• In patients receiving parenteral nutrition if inadequate phosphate is provided.
Deficiency causes hypophosphataemia and muscle weakness secondary to ATP deficiency.Non-haem iron in cereals and vegetables is poorly absorbed but makes the greater contribution to overall intake, compared to the well-absorbed haem iron from animal products.
Iron
Iron is involved in the synthesis of haemoglobin and is required for the transport of electrons within cells and for a number of enzyme reactions
Fruits and vegetables containing vitamin C enhance iron absorption, while the tannins in tea reduce it.
Dietary calcium reduces iron uptake from the same meal, which may precipitate iron deficiency in those with borderline iron stores.
There is no physiological mechanism for excretion of iron, so homeostasis depends on the regulation of iron absorption.
This is regulated at the level of duodenal enterocytes by hepcidin (a peptide secreted by hepatocytes in the duodenum).
The expression of hepcidin is suppressed when body iron is low, leading to enhanced efflux of iron into the circulation.
The normal daily loss of iron is 1 mg, arising from desquamated surface cells and intestinal losses.
A regular loss of only 2 mL of blood per day doubles the iron requirement.
On average, an additional 20 mg of iron is lost during menstruation, so pre-menopausal women require about twice as much iron as men (and more if menstrual losses are heavy).The major consequence of iron deficiency is anaemia.
Dietary iron overload is occasionally observed and results in iron accumulation in the liver and, rarely,cirrhosis.
Haemochromatosis results from an inherited increase
in iron absorption.
Iodine
Iodine is required for synthesis of thyroid hormones.It is present in sea fish, seaweed and most plant foods grown near the sea.
The amount of iodine in soil and water influences
the iodine content of most foods.
Iodine is lacking in the highest mountainous areas of the world (e.g. the Alps and the Himalayas) and in the soil of frequently flooded plains (e.g. Bangladesh).
Goitre is the most common manifestation, affecting about 200 million people.
In those areas where most women have endemic goitre, 1% or more of babies are born with cretinism (characterised by mental and physical retardation).
There is a higher than usual prevalence of deafness, slowed reflexes and poor learning in the remaining population. The best way of preventing neonatal cretinism is to ensure adequate levels of iodine during pregnancy. This can be achieved by intramuscular injections with 1–2 mL of iodised poppy seed oil (475–950 mg iodine) to women of child-bearing age every 3–5 years, by administration of iodised oil orally at 6-monthly or yearly intervals to adults and children,
or by provision of iodised salt for cooking.
Zinc
Zinc is present in most foods of vegetable and animal origin. It is an essential component of many enzymes, including carbonic anhydrase, alcohol dehydrogenase and alkaline phosphatase.Acute zinc deficiency has been reported in patients receiving prolonged zinc-free parenteral nutrition and causes diarrhoea, mental apathy, a moist, eczematoid dermatitis, especially around the mouth, and loss of hair.
Chronic zinc deficiency occurs in dietary deficiency, malabsorption syndromes, alcoholism and its associated hepatic cirrhosis.
It causes the clinical features seen in the very rare congenital disorder known as acrodermatitis enteropathica (growth retardation, hair loss and chronic diarrhoea).
Zinc deficiency is thought to be responsible for one-third of the world’s population not reaching their optimal height..
In the Middle East, chronic deficiency has been associated with dwarfism and hypogonadism.
In starvation, zinc deficiency causes thymic atrophy; zinc supplements may accelerate the healing of skin lesions, promote general well-being, improve appetite and reduce the morbidity associated with the under-nourished state, and lower the mortality associated with diarrhoea andpneumonia in children
Selenium
The family of seleno-enzymes includes glutathione peroxidase, which helps prevent free radical damage to cells, and mono-deiodinase, which converts thyroxine to triiodothyronine.Selenium deficiency can cause hypothyroidism, cardiomyopathy in children (Keshan’s disease) and myopathy in adults.
Excess selenium can cause heart disease.
Excessive whitening of fingernail beds is a tell-tale sign of Selenium deficiency in the human body.
Fluoride
Fluoride helps prevent dental caries because it increases the resistance of the enamel to acid attack.It is a component of bone mineral and some studies have shown anti-fracture effects at low doses, but excessive intakes may compromise bone structure.
If the local water supply contains more than 1 part per million (ppm) of fluoride, the incidence of dental caries is low.
Soft waters usually contain no fluoride, while very hard waters may contain over 10 ppm.
The benefit of fluoride is greatest when it is taken before the permanent teeth erupt, while their enamel is being laid down.
The addition of traces of fluoride (at 1 ppm) to public water supplies is now a widespread practice. Chronic fluoride poisoning is occasionally seen where the water supply contains > 10 ppm fluoride..
It can also occur in workers handling cryolite (aluminium sodium fluoride), used in smelting aluminium.
Pitting of teeth is a result of too much fluoride as a child
Sodium, potassium and magnesium
Western diets are high in sodium due to the sodium chloride (salt) that is added to processed food. In the UK, it is suggested that daily salt intakes are kept well below 6 g.Other essential inorganic nutrients
These include chloride (a counter-ion to sodium and potassium), cobalt (required for vitamin B12),sulphur (a constituent of methionine and cysteine), manganese (needed for or activates many enzymes) and chromium (necessary for insulin action). Deficiency of chromium presents as hyperglycaemia and has been reported in adults as a rare complication of prolonged parenteral nutrition.












































