Lec. 7
Tissue coccidian parasiteToxoplasma gondii
Morphology of T. gondii
Oocyst :Trophozoite , (tachyzoite, endozoite
Trophozoite , (tachyzoite, endozoite )
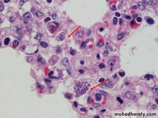
Pseudocyst & true cystPseudocyst & true cyst
Pseudocyst & true cyst
Life cycle
The life cycle of T. gondii is complex. It involves three distinct yet inter-linked cycles:1- feline cycle : involves the final host .
2- feline- non-feline cycle). involves definitive host and an intermediate host.
3- non-feline-non-feline cycle : The third involves two intermediate hosts.
Congenital toxoplasmosis
Dr. Amal KH. KH.
PhD. Medical Parasitology



























