• MAXILLOFACIAL TRAUMA
• Dr.YASIR NAIF QASSIM F.I.B.M.S(PLASTIC & RECONSTRUCTIVE)• Facial injuries deserve special attention, because of their life and aesthetic significance.Facial trauma is a life threathing condition because :
• 1-The face is an area of airway passage (mouth and nose).
• 2-The face is very vascular area (carotid arteries, vertebral arteries,…etc).
• 3-It may be associated with other injuries to brain and spine.
• A- SOFT TISSUE INJURIES
• Soft tissue injuries may include:
• Contusion.• Abrasion.
• Puncture wound.
• Accidental (traumatic) tattoo.
• Clear cut injury.
• Laceration injury.
• Avulsion flap.
contusion
Abrasion
Puncture wound
Accidental (traumatic) tattoo
Clear cut injury
Laceration injury
Avulsion flap
• B- SKELETAL INJURIES
• 1-Maxillary Fractures:
• First described by an anatomist René Le Fort in 1901.
• Le Fort I — A transverse fracture resulting in a floating palate.
• Le Fort II — A pyramidal fracture that traverses the infraorbital rims and nasoethmoid region producing midface mobility.
• Le Fort III — A fracture through the zygoma,orbital floor and nasal bridge that results in craniofacial dysjunction.
Le Fort classification of maxillary fractures
• The Le Fort II fracture is the most common, followed by Le Fort I and III patterns.
• The patient is presenting with malocclusion , mobile maxilla , epistaxis and periorbital ecchymosis(Le Fort II & III) , and battle sign,haemotympanum,&CSF otorrhea(Le Fort III).periorbital ecchymosis
Battle sign
Haemotympanum
Normal tympanic membrane
• 2-Mandibular fractures:
• Mandibular fracture can be classified according to:• 1. Region of mandible: condyle and condylar neck, ramus, coronoid, angle, body, symphysis.
• The neck of condyle is the most common site fallowed by the angle of mandible; the least common site is the region of canine tooth.
• 2-Open or closed: depending on whether or not have communication with skin laceration.
• 3-according to direction: whether oblique, transverse, or comminuted.
Mandibular regions
• Usually the patient is presenting with pain, swelling, tenderness and malocclusion. Also numbness in the distribution of mental nereve,bleeding from laceration or from socket of tooth, trismus (pain on moving the jaw) is noted.On palpation we can feel crepitus, tenderness and when the patient is asked to open his or her mouth the jaw deviated toward one side.
3-Zygomatic fractures:
The patient is presenting with malar flattening , Infraorbital nerve parasthesia , tenderness and brusisng.In case of isolated zygomatic arch fractures there will be limitation of mandibular range of motion4-Bony orbit fractures:
• Inferior and medial wall are most frequently involved & usually the patient is presenting with diplopia due to injury of muscles or nerve, and subconjectival hemorrhage. Enopthalmus due to pressure from outside or exopthalmus indicating retrorbital hematoma may be the presenting signs.5-Nasal bone fractures:
• Nasal fractures are either laterally or posteriorly displace.The presenting features include swelling of the nose & the medial orbital region ,Pain,nasal obstruction.crepitation, nasal deformity,septum deviation,nasal bleedings (epistaxsis),& mucosal laceration with or without septal haematoma.Displacement of nasal fractures
PosteriorlyLaterally
• Evaluation and initial management:
• 1-History: ask about the mechanism of injury and if the patient is unconscious we take the history from witness which includes the mechanism of injury, history of previous medical or surgical disease.• 2-Clinical examination: the examination should be quick and proper.Begin with overall inspection noting any facial asymmetries, hemorrhage and ecchymosis.Neurological examination of 12 cranial nerves and sensory examination.All bony surfaces are palpated to assess areas of tenderness, crepitation or any bone defect.
• 3-Investigation: these include general blood examination e.g.Hb,blood group & Rh,bleeding time & clotting time.The basic biochemical inestigations should also be done like blood sugar and renal function tests in addition to radiological examinations which include:
• A-Plain film: which have limited role in the radiological evaluation of facial trauma. Include:
• -Skull film(lateral and posteroanterior view).
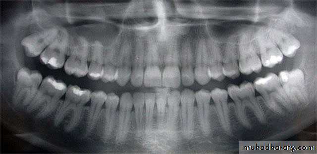
• -Panorex radiographs for evaluation of mandible.
• -Submentvertex view for zygomatic arch.
• -Cerical spine X-ray.
• B-maxillofacial computer tomography (CT/SCAN): which is the study of choice for evaluation of most of facial injuries include axial and coronal planes.
Skull film
Lateral viewP-A view
Submentovertex view
Panorex film
Maxillofacial CT
• 4-Treatment:
• 1. Maintenance of airway.• 2. Control hemorrhage.
• 3.Prevention of aspirated of blood , saliva or gastric contents.
• 4.Control shock.
• 5. Identification of other injuries.
• After life threating problem have been resolved,all the devitalized tissues should be debrided(but be conservatie as much as you can) and the wound is copiously irrigated with normal saline.Soft tissue injuries are repaired under local or general anesthesia(can be left without repair for up to 24 hours without compromising final result provided the bleeding has been controlled and wound is dressed).The fractures are redused to normal position and fixed in place using wires,or mini plates.
Treatment of nasal fractures
• 1-Control of epistaxsis by:
• -Head up position.
• -Cold bandage.
• -Pressure on nose externally or internal by (nasal packing).
• 2-Corticosteroids are used to minimize edema and facilitated evaluation of fracture reduction.
• Antibiotics can be used if there is intranasal lacerations.
3-Septal hematoma should be drainage surgically because it causes resorption of the cartilage because of pressure necrosis leading to saddle nose.
• 4. Management of fracture should be done immediately before a significant edema is developed or after edema is resolved usually after 5-7 days during this period the patient should have steroids and antibiotics.Management of fractures by refracturing the bone and reposition of nasal bone in proper architecture,internal packs are inserted and nasal cast or splint is used externally to hold the bone.
• Internal packs are removed in day 2-3, while external splint is removed in 10-12 days.All the patients should be informed that there is possibility of rhinoplasty after one year.








































