مواضيع المحاضرة: fracture clavicle,fracture scapula
قراءة
عرض

Injuries of the upper limb:

1-Fractue clavicle
Injuries of upper limbs




Injuries of upper limbs


Injuries of upper limbs

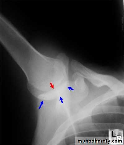
2-Fracture scapula

Injuries of upper limbs

3-The Acromioclavicular joint:

How the AC joint is injured?
The AC joint is a quite common sporting injury especially in contact sports. It is usually injured by a fall directly onto the shoulder or a fall onto the arm or a tackle.
The ligaments that bind the clavicle to the acromion are firstly stretched, and thentorn. Depending on the severity of the injury the clavicle can tear away from the acromion causing a noticeable lump to appear on top of the shoulder. The injury results in considerable pain, swelling and loss of shoulder movement.



Injuries of upper limbs

Grading of an AC joint injury:

The most commonly used classification system recognizes 6 severities of AC joint injury.
Injuries of upper limbs

grade I

A slight displacement of the joint. The acromioclavicular ligament may be stretched or partially torn. This is the most common type of injury to the AC Joint.
Injuries of upper limbs

grade 2

A partial dislocation of the joint in which there may be dome displacement that may not be obvious during a physical examination. The acromioclavicular ligament is completely torn, while the coracoclavicular ligaments remain intact.


Injuries of upper limbs

Grade 3

A complete separation of the joint. The acromioclavicular ligament, the coracoclavicular ligaments and the capsule surrounding the joint are torn. Usually, the displacement is obvious on clinical exam. Without any ligament support, the shoulder falls under the weight of the arm and the clavicle is pushed up, causing a bump on the shoulder
Grades I-III are the most common. Grades IV-VI are uncommon and are usually a result of a very high-energy injury such as ones that might occur in a motor vehicle accident.


4-Sternoclavicular joint:
Injuries of upper limbs

Adult Sternoclavicular Joints - PA Oblique

Injuries of upper limbs

5-The Shoulder joint:

One of the large joints that commonly dislocated.
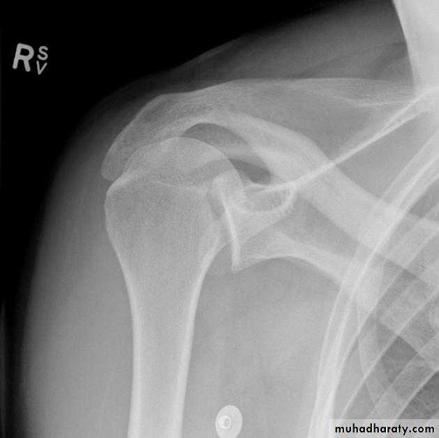
-Anterior shoulder dislocation:
*most common type about 96% of total shoulder dislocation.
*40% recurrent.
* 15% fracture greater tuberosity.
Injuries of upper limbs




Injuries of upper limbs





Injuries of upper limbs

Posterior shoulder dislocation:

* very rare & form about 2-4% of shoulder dislocation.
* Posterior dislocation may be missed initially on frontal radiographs in 50% of cases, as the humeral head appears to be almost normally aligned with the glenoid.
*the internally rotated humeral head takes on a rounded appearance known as the light bulb sign.
*may be associated with posterior glenoid rim or lesser tuberosity.


Injuries of upper limbs




Injuries of upper limbs

Inferior sholder dislocation (Luxatio erecta): (1-2)%


Luxatio erecta ─ uncommon form of shoulder dislocation.
-Extremity held over head in fixed position with elbow flexed.
- Severe hyperabduction of arm resulting in impingement of humeral head against acromion
-Humeral articular surface faces inferiorly



Injuries of upper limbs

Note:

in all of these dislocations , it’s important to examine for neurovascular injury before & after the reduction.



رفعت المحاضرة من قبل: Salim AlSaffar
المشاهدات: لقد قام 24 عضواً و 297 زائراً بقراءة هذه المحاضرة








تسجيل دخول

أو
عبر الحساب الاعتيادي
الرجاء كتابة البريد الالكتروني بشكل صحيح
الرجاء كتابة كلمة المرور
لست عضواً في موقع محاضراتي؟
اضغط هنا للتسجيل