Small & large bowel disease
Ba examinationBarium studies of the small intestine Ba follow through Small bowel follow through (SBFT) routine investigation for delineation of all parts of the small boweldone with barium meal after having a quick look at esophagus, stomach, and duodenumRadiographic featuresOn a normal barium study of the small bowel, the jejunum is located in the upper left abdomen and the ileum in the lower right abdomen, to be continued by colon in ileo caecal region .The mucosa of the small bowel is characterized by the existence of the valvulae conniventes which give the small bowel normal feathery appearance in ba-follow through examination .
Indication of Ba –follow through examination
In the small intestine, a barium exam may reveal:Inflammatory bowel disease ( CD & UC )
Mal absorption syndromes
swelling and/or inflammation of the small intestine walls
tumors
Ulcer
Contraindications for a barium follow through may include:
suspected bowel perforation
bowel obstruction
conditions where aspiration of barium is likely
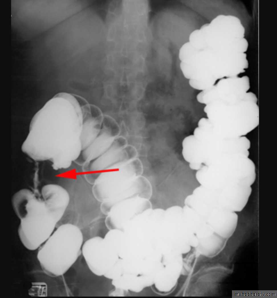
Crohns disease
Crohn disease remains idiopathicRadiographic features
The characteristic of Crohn disease is the
presence of :
skip lesions
multiple discrete ulcers.
The frequency with which various parts of the gastrointestinal tract are affected varies widely :
small bowel: 70-80%
small and large bowel: 50%
large bowel only: 15-20%
Barium small bowel follow-throughfindings of CD
Multiple mucosal ulcers aphthous ulcerslongitudinal fissures
Multiple skip lesions
when severe leads to cobblestone appearance
may lead to sinus tracts and fistulae
widely separated loops of bowel due to fibro-fatty proliferation
thickened folds due to edema
Pseudo diverticula formation: due to contraction at the site of ulcer with ballooning of the opposite site
Ulcerative colitis (UC) is an inflammatory bowel disease which predominantly affects the colon, but also has extra intestinal manifestation
Radiographic features
Involvement of the rectum is almost always present (95%) , with the disease involving variable amounts of the more proximal colon, in continuity. The entire colon may be involved, in which case edema of the terminal ileum may also be present (so-called back-wash ileitis).
In very severe cases, the colon becomes atonic, with marked dilatation, worsened by bacterial overgrowth. This leads to toxic mega colon which although uncommon has a poor prognosis.
Plain film
Non specific but may show evidence of mural thickening (more common), with thumb printing also seen in more severe cases.
Fluoroscopy - Barium enema
Double contrast barium enema allows for detail of the colonic mucosa, and also allows bowel proximal to strictures to be assessed. It is however contraindicated if acute severe colitis is present due to the risk of perforation.
Mucosal inflammation lends a granular appearance to the surface of the bowel. As inflammation increases , the bowel wall and haustra thicken.
Mucosal ulcers are undermined (button-shaped ulcers). When most of the mucosa has been lost, islands of mucosa remain giving it a pseudo-polyp appearance.
In chronic cases the bowel becomes featureless with loss of normal haustral markings, luminal narrowing and bowel shortening (lead pipe sign).
Colorectal carcinoma in the setting of ulcerative colitis is more frequently sessile and may appear to be a simple stricture.
toxic megacolon (TM) is complication that can be seen in both types of inflammatory bowel disease more in UC , in infectious colitis, as well as in some other types of colitis.
Radiographic features OF TOXIC MEGACOLON
The colon (typically transverse colon) becomes dilated to at least 6 cm (usually greater). There is additional loss of haustral markingsIt is serious acute abdominal condition
More in UC > CD
Practical points
barium studies and colonoscopy should be avoided, due to the risk of perforation
Crohn's disease vs. ulcerative colitis
Due to the overlap in clinical presentation of Crohn's disease (CD) and ulcerative colitis (UC), imaging often has a role to play in distinguishing the two. Distinguishing features include:bowel involved
CD: small bowel 70-80%, only 15-20% have only colonic involvement
UC: rectal involvement 95%, with terminal ileum only involved in pancolitis (backwash ileitis)
distribution
CD: skip lesions typical
UC: continuous disease from rectum up
gender
CD: no gender preference
UC: male predilection
colonic wall
Terminal ileum involvement
CD: involved ( terminal ileatis )
UC: un common, backwash ileatis
Lymphoma of small bowel
Splaying & separation of the bowel loops due to enlarged LNThickening of the mucosa , irregular in outline ( saw tooth pattern ) .
LATER stage could be present as sign of Mal absorption syndrome ( flocculation & segmentation of the Ba ) .
Mal absorption syndrome
Ba follow through findingsLoss of normal small bowel feathery appearance .
Dilated small bowel loops > 3.5 cm
Splaying & increase the distance between small bowel loops
Flocculation & segmentation of the Ba
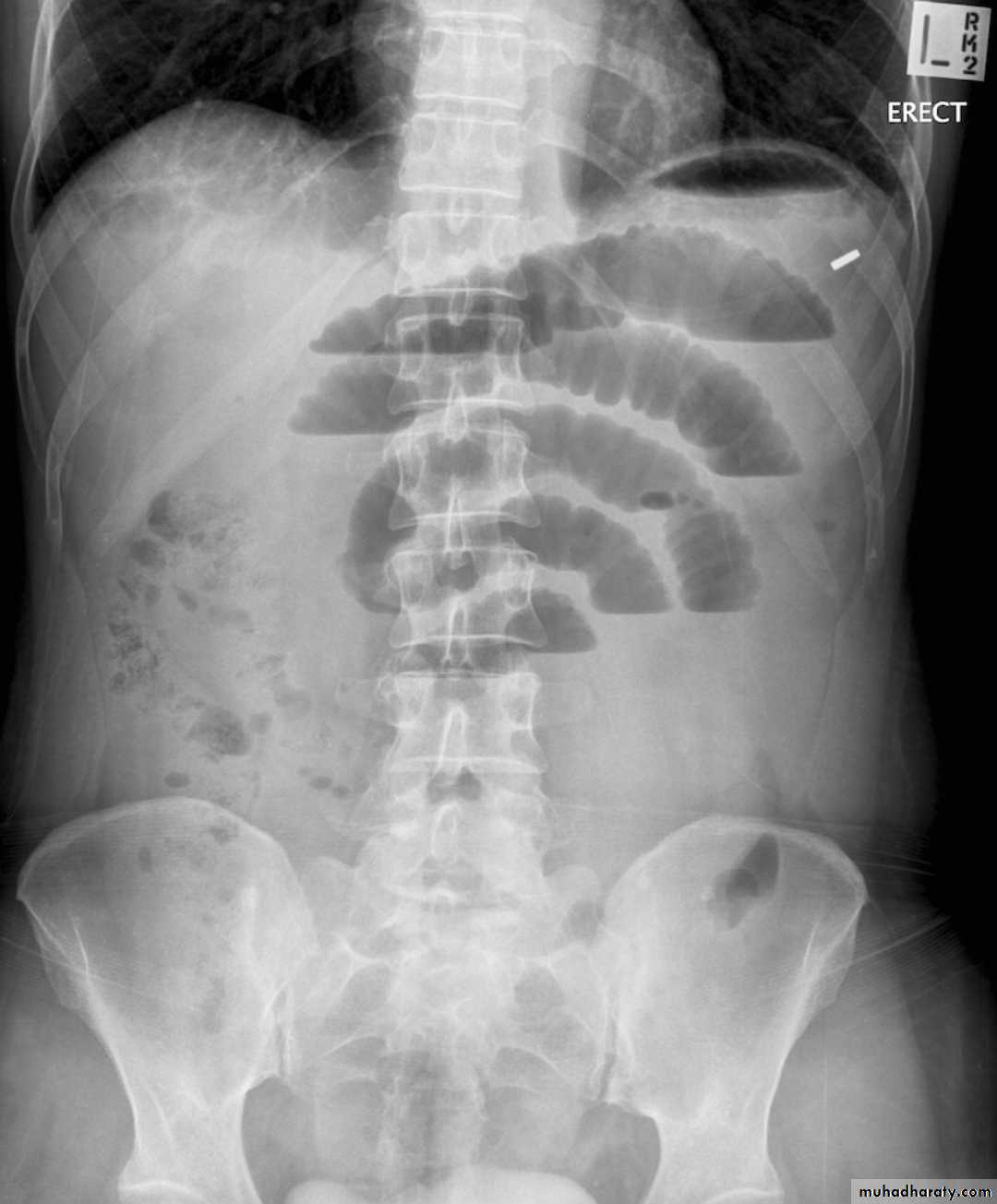
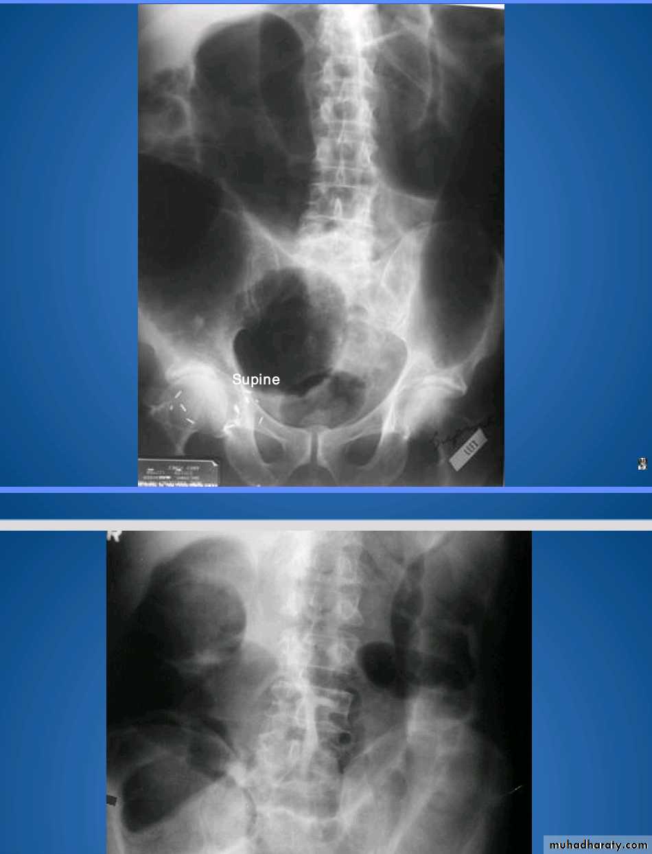
Small bowel obstruction accounts for 80% all mechanical intestinal obstruction; the remaining 20% result from large bowel obstruction
Radiographic features
Abdominal radiograph
Abdominal radiographs are only 50-60% sensitive for small bowel obstruction .
In most cases, the abdominal radiograph will have the following features:
dilated loops of small bowel proximal to the obstruction
predominantly central dilated loops
three instances of dilatation over 3 cm
valvulae conniventes are visible
fluid levels if the study in erect position
Large bowel obstruction (LBO) are often impressive on imaging, on account of the ability of the large bowel to massively distend. This condition requires prompt diagnosis and treatment
Radiographic features
Colonic distension > small bowel
Peripherally located
Dilated loops Less in no. than SBO
Presence of haustra
Ba –enema examination
A barium enema is an x-ray examination of the colon and rectum that helps a doctor identify inflammation, polyps, or cancer.Before a barium enema, you will need to empty your colon by following a restricted diet and using a laxative or enema.
During the examination, a liquid called barium is delivered into the colon through the anus and x-rays are taken.
After the procedure, you will go to the restroom to push out the barium; you may be asked to take a laxative at home to get rid of any barium still in your body.
Colorectal carcinoma (CRC) is the most common cancer of the gastrointestinal tract and the second most frequently diagnosed malignancy in adults
Radiographic features
Colorectal cancers can be found anywhere from the caecum to the rectum, in the following distribution :
recto-sigmoid: 55%
caecum and ascending colon: 20%
ileocaecal valve: 2%
transverse colon: 10%
descending colon: 5%
Barium enema 3 presentation
1. infiltrative ( Apple core sign ) lesion infiltrate bowel wall from outside
2.ill defined filling defect within the lumen of the bowel
3.could be ulcerative nodule or ulcerative lesion .
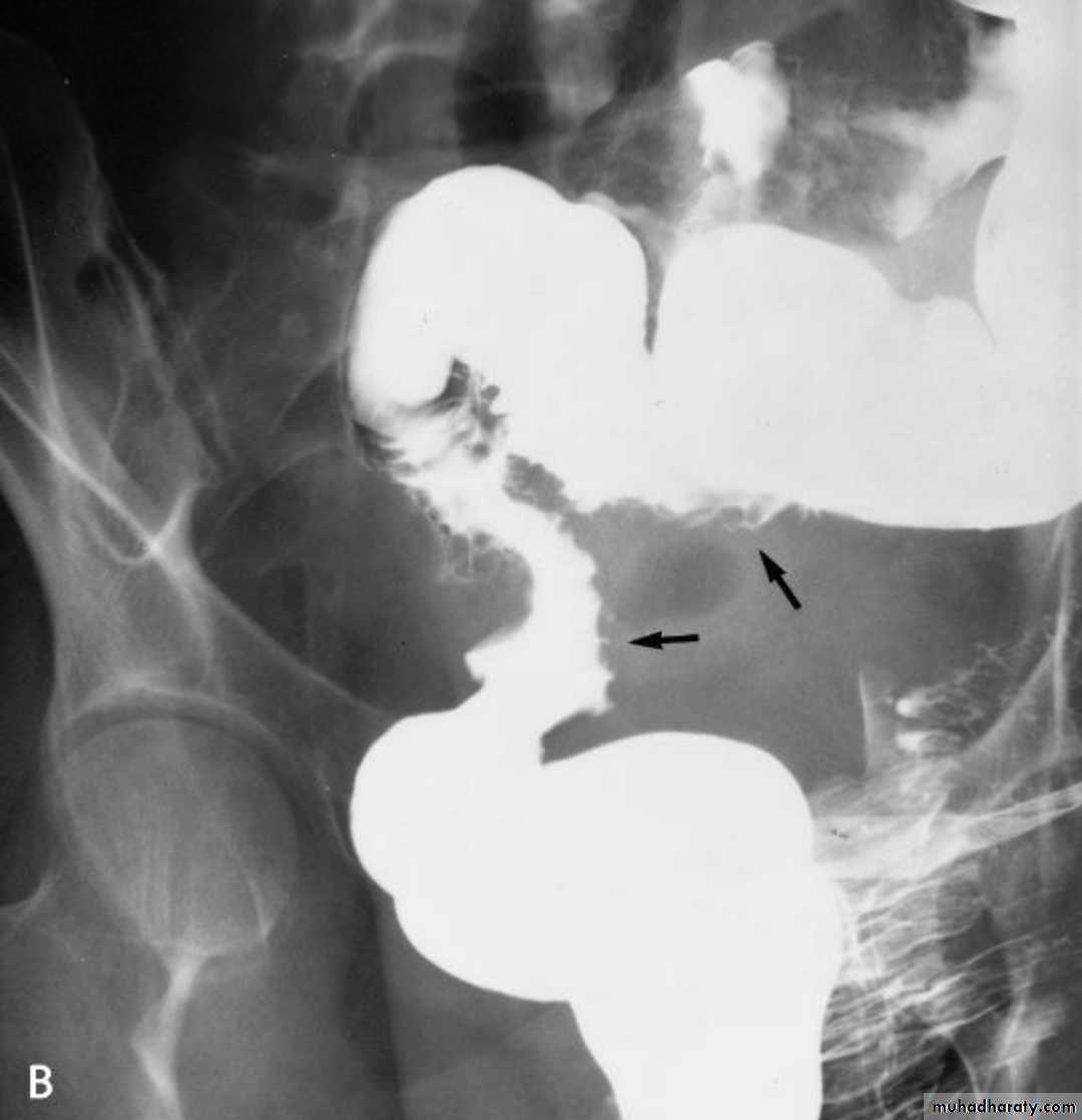
Intussusceptions occurs when one segment of bowel is pulled into itself (or a neighboring loop of bowel) It is an important cause of an acute abdomen in childrenIntussusceptions may also occur in the adult population where it is usually caused by a focal lesion acting as a lead point.
Radiographic features
Intussusceptions can occur essentially anywhere, in children there is a strong predilection for the ileo colic region
Abdominal plain film
Abdominal x-rays may demonstrate an elongated soft tissue mass (typically in the right upper quadrant in children) with a bowel obstruction proximal to it.
Ultrasound
is a reliable screening tool for children at low risk for intussusceptionsUltrasound signs include:
target sign (also known as the doughnut sign)
Pseudo kidney shape sign
contrast enema
A contrast enema remains the gold standard, demonstrating the intussusceptions as an occluding mass prolapsing into the lumen, giving the "coiled spring ” appearance .The main contra-indication for an enema is a perforation
Contrast enema is diagnostic & therapeutic
Colonic diverticulosis
refers to the presence of multiple diverticula. It is quite distinct from diverticulitis which describes inflammation and infection of one or multiple diverticula.Radiographic features
Diverticula range in size from a few millimeters to a few centimetersBarium enema
Both single and double contrast barium enemas are able to demonstrate diverticula as barium-filled out-pouchings.
Familial adenomatous polyposis syndrome
(FAPS) is characterized by the presence of hundreds of adenomatous polyps in the colon. It is the most common of the polyposis syndromes.Radiographic features
FAPS has a varied imaging appearance and demonstrate innumerable polyps. Imaging usually underestimates the number of polyps because most are <5mm in size.
It is a predisposition to colorectal carcinoma (CRC)
Pneumoperitoneum
describes as gas within the peritoneal cavity, and is often of a critical illnessplain film
Chest radiograph
An erect chest x-ray is probably the most sensitive plain radiograph for the detection of free intra peritoneal gas as crescent shape of lucency below diaphragm , more in the RT sided aspect .
Described as sub diaphragmatic free gas
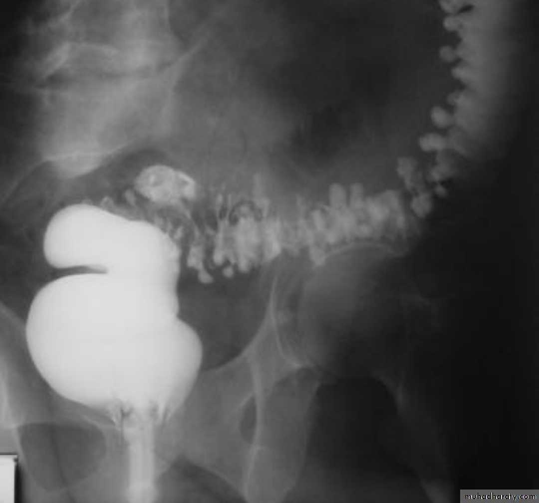
Hirschprung disease
is the most common cause of neonatal colonic obstruction (~15-20%). It is commonly characterized by a short segment of colonic aganglionosis affecting term neonates, especially boys.contrast enema
A carefully performed contrast enema is indispensable in both the diagnosis of Hirschprung disease but also in assessing the length of involvement. It should be noted however that the depicted transition zone on the contrast enema is not accurate at determining the transition between absent and present ganglion cells.
The affected segment is of small caliber with proximal dilatation Fasciculation/saw-tooth irregularity of the aganglion segment is frequently seen
Views of particular importance include:
early filling views that include rectum and sigmoid colon allowing for rectosigmoid ratio to be determined.
transition zone
Anal atresia (or imperforate anus)
refers to a spectrum of ano rectal abnormalities ranging from a membranous separation to complete absence of the anus.Abdominal radiograph
can be variable depending on the site of atresia (e.g high or low) , level of impaction with meconium and physiological effects such as straining
may show multiple dilated bowel loops with with absence of rectal gas
Invertogram
A coin/metal piece is placed over the expected anus and the baby is turned upside down (for a minimum 3 minutes).
Distance of gas bubble in rectum from the metal piece is noted:
>3 cm: denotes high type
<3 cm: denotes low type


















































