IsolatIon OF the OperatIng FIeld
Dr.Huda YasirINTRODUCTION
The complexities of oral environment present obstacles to the operating procedures starting from diagnosis till the final treatment is done.INTRODUCTION
In order to minimize the trauma to these surrounding structures and to provide comfort to the patient the clinician needs to control the operating field.While performing any operative procedure, many structures require proper control so as to prevent them from interfering with the operating field
COMPONENTS OF ORAL ENVIRONMENT
SalivaMoving organs
Tongue
Mandible
Lips and cheek
Gingival tissue
Buccal and lingual vestibule
Floor of mouth
Adjacent teeth and restoration
Respiratory moisture.
sources of moIsture In the clInIcal envIronment
Saliva: From salivary glandsBlood: It can come from
Inflamed gingival tissues
Iatrogenic damage to tissues.
Gingival crevicular fluid: Specially from inflamed gingival tissues.
Water: Water can come from
Rotary instruments during cutting
Air water syringe.
Dental materials like etchants, irrigant solutions used during various procedures
Advantages of Moisture Control
Patient Related FactorsProvide comfort to the patient
Protects patients from swallowing or aspirating foreign bodies
Protects patient’s soft tissues–tongue, cheeks by retracting them from operating field
Advantages of Moisture Control
Operator Related FactorsA dry and clean operating field
Increased accessibility to operative site
Improved properties of dental materials, hence better results are obtained
Protection of the patient and operator
Improved visibility of the working field and diagnosis.
Less fogging of the dental mirror.
Prevents contamination of tooth preparation.
Hemorrhage from gingiva does not enter operative site.
Methods of moisture control
Direct methods
Rubber dam
Aspiration
Air-Water Syringe
Absorbent materials
Gingival retraction cord
Electrosurgery.
Local anesthetics
Pharmacological methods
Antisialagogues
Antianxiety drugs
Muscle relaxants.
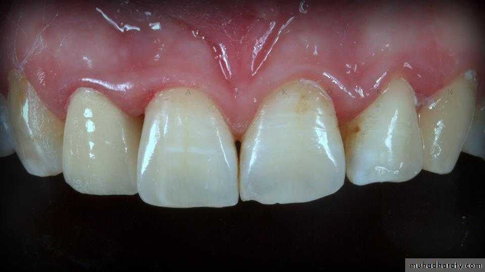
Isolation with Rubber Dam
It defines the operating field by secluding one or more teeth from the oral environment.It eliminates saliva from the operating site.
It retracts the soft tissue, thereby improves access and also provide protection to soft tissues.
Using rubber dam during excavation of deep carious lesion can prevent or minimize pulpal contamination with oral fluids if pulpal exposure occurs.
Prevents aspiration or swallowing of restorative material, flaked tooth structure and even small instruments while the procedure is carried out.
By all this, it remarkably aids in patient comfort and improves operative efficiency.
DefInIte Advantages of Rubber Dam InOperatIve DentIstry
The operator can obtain appropriate dryness of the operating field so procedures like caries removal, proper cavity preparation and insertion of restorative material can be best performedIt retracts the cheeks, lips and tongue thereby provide better access and visibility of the operating site.
DefInIte Advantages of Rubber Dam InOperatIve DentIstry
The dark non-reflecting surface provides a contrasting background for the operating field thereby better access and visibility.The rubber dam prevents moisture contamination of the restorative material during insertion, thus improving or maintaining the physical properties.
It prevents swallowing or aspiration of small instruments, debris, or restorative material associated with operative procedure.
The rubber dam protects soft tissue from rotating burs and stones.
It also protects the soft tissue from irritating or distasteful medicaments like itching agents or certain cements.
It acts as a barrier against infectious agents present in the patient’s mouth thereby protecting the operator
DefInIte Advantages of Rubber Dam InOperatIve DentIstry
It eliminates the time consumed in rinsing and expectoration by the patient thereby improves productivity.It discourages excessive patient conversation during the procedure thereby improves operating efficiency and productivity.
The rubber dam retainers aids in providing moderate extend of mouth opening during the procedure.
Rubber dam facilitates ‘Quadrant restorative procedures’
Contraindcations of Rubber Dam
Insufficiently erupted teethAsthmatic patients who have difficulty in breathing through nose.
Should not be used in patients who cannot tolerate it because of psychological reason.
Patients who are allergic to latex.
Rubber dam equipment
Rubber dam sheetRubber dam clamps
Rubber dam forceps
Rubber dam frame
Rubber dam punch.
Rubber dam accessories
Lubricant/petroleum jelly
Dental floss
Rubber dam napkin.
Rubber Dam Material (SHEET)
Available in size 6’’× 6’’ squarescolors are usually green, blue or black.
It is available in three thicknesses,
light, medium and heavy.
The middle grade is usually preferred as thin is more prone to tearing and thickest more difficult to apply
Hole-positioning guides
Teeth as a guideThe teeth themselves, or a stone cast of the teeth, can be used in marking the dam.
To use this method, the dam is held in the desired position in the mouth, or on the stone cast, over the teeth to be included in the isolation.
The cusp tips of posterior teeth and incisal edges of anterior teeth can be visualized through the dam, and the centers of the teeth are marked on the dam with a pen
An advantage of this method is precise positioning of the marks even when teeth are malaligned.
Hole-positioning guides
Rubber dam TemplateTemplates are available to guide the marking of the dam
These templates are approximately the same size and shape as the unstretched rubber dam itself.
Holes in each template correspond to tooth positions. The template is laid over the dam, and a pen is used to mark through selected holes onto the dam.
With the template, the dam can be marked and punched before the patient is seated
Rubber dam stamp
Rubber stamps provide a very convenient and efficient way of marking the dam for punching .There are commercially available stamps, or stamps can be made by any rubber stamp manufacturer from a pattern, or any custom design.
Rubber dam stamp and template
Rubber stamp for marking on rubber dam tooth position
Rubber Dam framesRubber dam frames support the edges of rubber dam
Plastic frame
Advantageous when radiographs will be a part of the procedure because it is radiolucent.
Do not, however, stand up to heat sterilization as well as do metal frames,
Have a shorter life span
Metal frames
Less bulky and last for years.
They are available with balls on the ends to protect the patient in the event that the frame is inadvertently pushed toward the eyes.
Rubber Dam frames
Rubber Dam Retainer (Clamps)
The retainer anchors the rubber dam material to the tooth which is posterior most to the isolated site.The retainer can be winged or wingless.
The winged retainer has both anterior and lateral wings.
These wings provide extra retraction of the rubber dam from the operating field and also allows attaching the dam to the retainer before the dam with retainer is conveyed to anchor tooth.
Rubber Dam Retaıner (Clamps)
The main disadvantage of winged retainer is interference with placement of matrix bands, and wedges.The retainer should be tied with a dental floss before carrying it into mouth. This allows retrieval of the retainer or its broken parts if accidentally swallowed or aspirated
Rubber Dam Retaıner (Clamps)
Parts of a clampRubber Dam Retaıner (Clamps)
(a) Winged rubber dam clamp; (b) wingless rubber dam clamp; (c) butterfly rubber dam clamp.
Rubber Dam Punch
It is a precision instrument having a rotating metal disk with six holes of varying sizes and a tapered sharp pointed plunger.It is used to cut the appropriate sized holes in the rubber dam material.
The appropriate hole in the table corresponding to the size of the tooth to be isolated is moved to coincide with the plunge
Rubber Dam Punch
Place the rubber in between the table and plunger and hole is punched.The larger hold accommodates the molars, medium sized holes for premolars upper canines and incisors while the smallest hole for the lower incisors
Rubber Dam Punch
Rubber Dam Punch
Rubber Dam Forceps
Rubber dam forceps are used to carry the clamp to the tooth.They are designed to spread the two working ends of the forceps apart when the handles are squeezed together
The working ends have small projections that fit into two corresponding holes on the rubber dam clamps.
The area between the working end and the handle has a sliding lock device which locks the handles in positions while the clinician moves the clamp around the tooth
Rubber Dam Forceps
Rubber Dam Forceps
Rubber Dam Napkin
It is placed between rubber dam and patient’s skin it has following advantages:Prevents skin contact of dam material and reduces allergic risk.
Absorbs saliva at corner of mouth.
Acts as a cushion.
Provides convenient method for wiping patients lips after dam removal
Placement of Rubber Dam
Method I—Clamp placed before rubber dam (Dam over clamp)Placement of rubber dam. (A)Placing clamp on selected tooth; (B) Stretching rubber dam sheet over clamp; (C) After complete stretching tooth is isolated
Method II—Placement of rubber dam and clamp together
Handi DAM
Recently introducedPreframed rubber dam
Eliminates the need for traditional frame
Easy to place and saves time of both patient as well as doctor.
It allows easy access to oral cavity during the procedure.
Full ISOLATON
Absorbents
Cotton rolls, pellets, gauze, absorbents are helpful for short period of isolation, for example, in examination, polishing, pit and fissure sealant placementAbsorbents play an essential role in isolation of the teeth especially when rubber dam application is not possible.
Low Volume Evacuator
Tip of saliva ejector should be smooth to prevent any tissue injury. It is better to have small diameter disposable tipPrecautIons to be Taken WhIle UsIng Saliva Ejector
Before using, mold the ejector so that its tip faces backward with upward curvature. In other words, floor of mouth should not directly contact the tip so as to avoid trauma.When rubber dam is used, always make a hole so that ejector can pass through the dam instead of placing it under the dam.
Always protect floor of mouth beneath the ejector using cotton rolls or gauze piece to avoid tissue injury
Cheek Retractors
They are used to expand the mouth opening more in the vertical rather than horizontal direction . This makes them ideal for use when working on the gingival border of upper and lower front teeth and for the adjustment of orthodontic bandsMouth Prop
A mouth prop should establish and maintain suitable mouth opening, thus help in tooth preparation of posterior teeth .It is placed on the side opposite to treatment site, placed between mandibular and maxillary teeth.
Offers muscle relaxation for patient
Provides sufficient mouth opening for long durations
Easily positioned and removed
Mouth Prop
Isolite
The Isolite (Isolite Systems) is a newer isolation device that provides illumination in addition to suction, retraction of tongue and cheek, and an integrated bite blockIt is relatively simple to use and comfortable for the patient. Single-use mouthpieces come in six sizes
Mouthpieces conduct light so that it surrounds the teeth being isolated, and illumination is excellent
ISOLITE
USE OF MEDICAMENTS TOCONTROL OPERATIVE FIELD
Antisialagogue such as atropine 5 mg ½ hour before the procedure to decrease salivary flow.Antianxiety drugs like valium 5-10 mg or barbiturates, is given half hour before the appointment.
Muscle relaxants.
Medication used to control the gingiva.
Pain control medication.
METHODS USED FOR GINGIVAL TISSUE MANAGEMENT
There are various methods available which can be used for effective gingival tissue retraction. These methods are
Physicomechanical
Chemical
Chemomechanical
Rotary curettage
Electrochemical
Surgical.
Physicomechanical Means
Mechanically displace the gingiva both laterally and apically away from the tooth surface.Rubber dam
Wooden wedges
Gingival retraction cords
Rolled cotton twills
Gingival retraction cords
Control of gingival flow or gingival bleeding—especially when the margins of restoration are close to gingiva, for example, restoration of class V preparationTo provide esthetics for final restoration of fixed prosthesis by exposing the finish line
To increase retention in case of indirect restorations where crown height is inadequate
To extend the margins subgingivally in case of cervical caries extending below the gingiva
For accurate recording of preparation margins while taking impressions
For removing the hypertrophied gingiva, interfering with placement of preparation margins.
Gingival retractıon cords
GingIval retractıon cords
Placement of retraction cord: (A) A two inch long cord is taken and twisted to make it tight; (B and C) Cord is placed
around the tooth and pushed into the sulcus; (D) Extra cord is cut off; (E) Remaining cord piece is tucked into the sulcus
GingIval retractıon cords
Cord tucking instrument
While tucking cordinto the sulcus, applyslight forcelaterally and angulated towards tooth surface
Chemicomechanical Methods
Vasoconstrictors
Epinephrine
Norepinephrine
Astringents
Tissue coagulants
Zinc ChlorideSilver nitrate.
Chemicomechanical Methods
VasoconstrictorsAs the name indicates, these cause local vasoconstriction, reduce the blood supply and gingival fluid seepage.
Epinephrine and nor-ephinephrine are included in this category.
Chemicomechanical Methods
Astringents (Biologic Fluid Coagulants)These chemicals coagulate blood and gingival fluid in the sulcus, thus forms a surface layer which seals against blood and fluid seepage.
Alum, aluminum chloride, tannic acid and feric sulphate
Chemicomechanical Methods
Tissue CoagulantsThese chemicals or coagulants are not preferred because of its side effects.
These agents usually act by coagulating the surface layer of sulcular and gingival epithelium.
These chemicals form a nonpermeable film for underlying fluids.
Zinc chloride and silver nitrate are included in the tissue coagulants.
If applied for prolonged time, these chemicals can cause
Ulceration
Local necrosis
Change in contour, size and position of free gingiva




































































