CALCIUM HYDROXYAPATITE DEPOSITION DISEASE
HA is the primary mineral of bone and teeth.Abnormal accumulation can occur in areas of tissue damage (dystrophic calcification), in hypercalcemic or hyperparathyroid states (metastatic calcification), and in certain conditions of unknown cause .
CALCIUM HYDROXYAPATITE DEPOSITION DISEASE
HA may be released from exposed bone and cause the acute synovitisoccasionally seen in chronic stable osteoarthritis (e.g., “hot”Heberden’s nodes). ).HA deposition is also an important factor in an extremely destructive chronic arthropathy of the elderly that occurs most often in knees and shoulders (Milwaukee shoulder).
Conditions Associated with Hydroxyapatite Deposition Disease
AgingOsteoarthritis
Hemorrhagic shoulder effusions in the elderly (Milwaukee shoulder)
Destructive arthropathy
Tendinitis, bursitis
Disease-associated
Hyperparathyroidism
Renal failure/long-term dialysis
Connective tissue diseases (e.g., progressive systemic sclerosis,
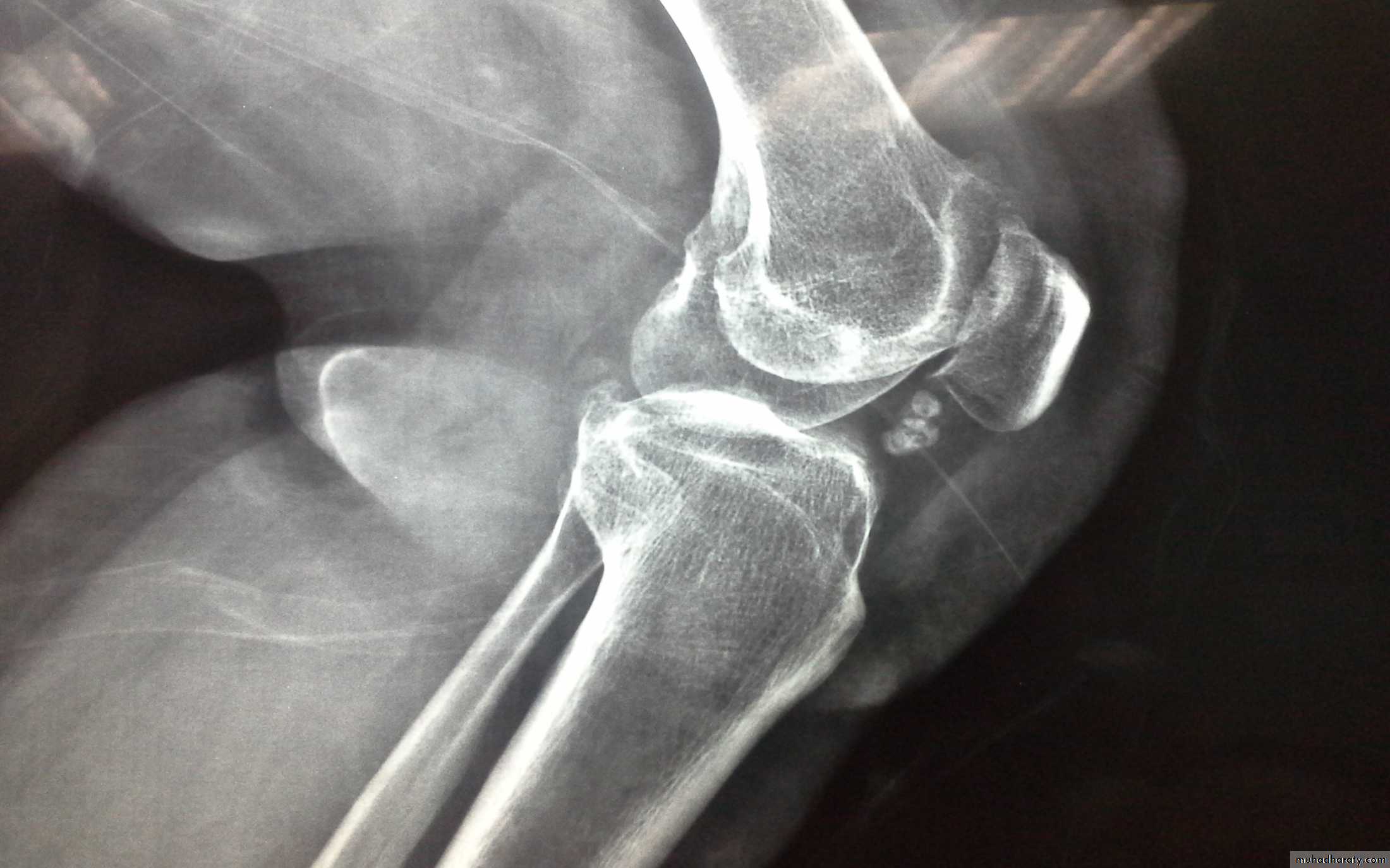
CALCIFIC TENDENITIS
Intraarticular calcification
Intraarticular calcification
Intraarticular calcification
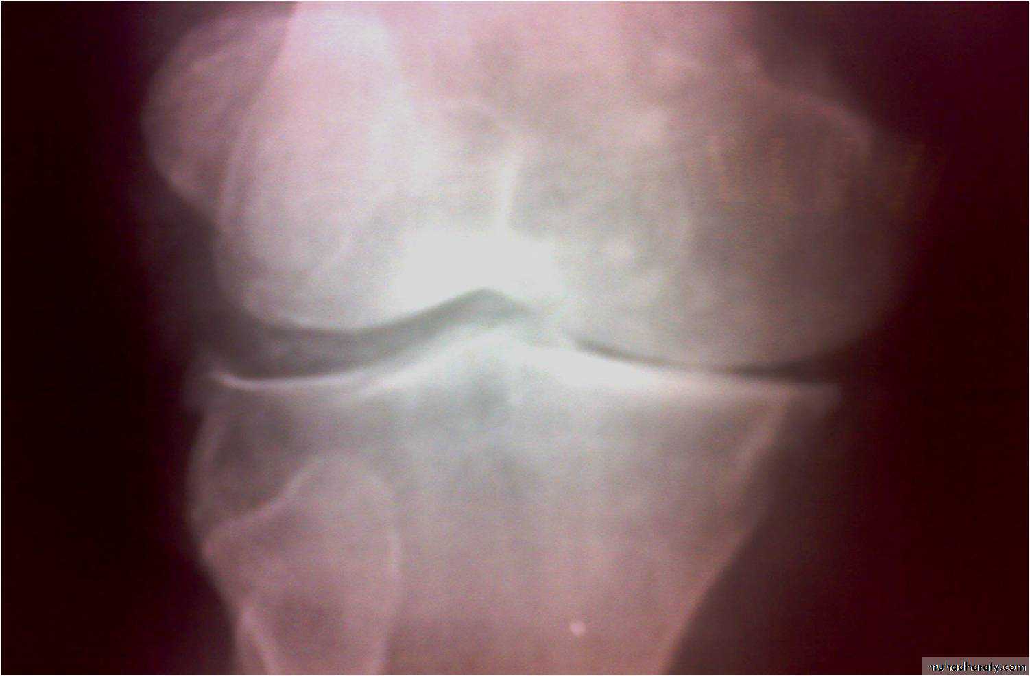
Chronic Pyrophosphate Dihydrate(CPPD)crystal deposition
-CPPD crystal deposition in hyaline and fibro-cartilage of joints( Chondrocalcinosis) is a common age associated phenomenon affects the knee and can cause self limiting synovitis (pseudogout) or chronic arthritis and showing astrong association with nodal OAChronic Pyrophosphate Dihydrate(CPPD)crystal deposition
-it is rare under the age of 55- the knee,wrist, and symphysis pubis are the most common prevelent sites
chondrocalcinosis
etiology
-it is most commonly sporadic ,age related disease-it is also associated with
a-OA
b-metabolic disorders like hemochromatosis, hyperthyroidism,hypophosphatasia and Wilsons disease
c- familial predisposition :autosomal dominant presented with polyarticular chondrocalcinosis
Clinical features
1- acute synovitis (pseudogout) : involves the knee, wrist ,elbow and the shoulder.Trauma or surgery may trigger the attack with pain , swelling and stiffness with overlying erythema ,the attack is self limiting.
2- chronic arthritis :mostly in elderly women, usually involve the knee then the wrist,shoulder and the elbow with chronic pain,stiffness and functional impairment,but acute arthritis may occur, affected joint show features of osteoarthritis.
3- incidental finding: seen in elderly persons and they are asymptomatic
Investigations1- during the acute pseudogout:
a- synovial aspirate under polarized microscopic examination will show CPPD crystals
b- synovial aspirate &culture to exclude sepsis
2- radiographs: show chondrocalcinosis with or without OA3- secreening for familial or metabolic predisposing factors in patients with :a-early onset disease(under 55 years old)b-polyarticular diseasec-recurrent acute attacksd- clinical or x-ray finding of predisposing disease
Management
1- acute pseudogout:a-joint aspiration and intraarticular steroid injection.
b-NSAID
c-Colchicine
2- chronic pseudogout treated like OA
BONE AND JOINT INFECTIONSEPTIC ARTHRITIS
Septic arthritis is a medical emergency. It is the most rapid and destructive joint disease and has a significant morbidity and a mortality of 10%.The incidence is 2-10 per 100 000 in the general population and 30-70 per 100 000 in those with pre-existing joint disease or joint replacement.
EARLY SEPTIC ARTHRITIS
SEPTIC ARTHRITIS
Sources of infection
Patients with septic arthritis inevitably have a bacteraemia.Haematogenous spread from either skin or upper respiratory tract is the most common source;
infection from direct puncture wounds or secondary to joint aspiration is uncommon.
TIBIA -OSTEOMYLITIS
Risk factors for septic arthritis
pre-existing joint disease (principally R A ), diabetes mellitus and immunosuppression (through drugs or disease).
Clinical features
The usual presentation is with acute or subacute monoarthritis.The joint is usually swollen, hot and red and is held in the 'loose-pack' position, with rest pain and stress pain on movement.
the lower limb, particularly knee and hip, is the most common site
THE MICROORGANISM
1-In adultsthe most likely organism is Staphylococcus aureus, particularly in patients with RA and diabetes.
2-In young, sexually active adults disseminated gonococcal infection is an important cause.
3-Amongst the elderly or those who misuse intravenous drugs, Gram-negative bacilli or group B, C and G streptococci are important causes
Investigations
Joint aspiration is essential. Synovial fluid should be sent for Gram stain and culture
. Blood cultures should also be taken
Synovial fluid culture is positive in around 90% of cases of septic arthritis
Management
- Hospitalisation is essential-pain relief
- parenteral antibiotics
- adequate drainage
- early active rehabilitation
The recommended first-line antibiotic regime in (adults is flucloxacillin (2 g i.v. 6-hourly
for 2-3 weeks followed by oral treatment for 6 weeks in total.
Initially, the joint should be aspirated daily to minimise the effusion
surgical drainage may be required
Discitis
Discitis is an inflammation of the vertebral disc space often related to infection. Infection of the disc space must be considered with vertebral osteomyelitis, as these conditions are almost always present together and share much of the same pathophysiology, symptoms, and treatment. The lumbar region is most commonly affected, followed by the cervical spine and, lastly, the thoracic spineMRI with contrast before 1m.
Pathophysiology
An infection does not ordinarily originate in the vertebra or disc space, but rather, it spreads there from other sites via the bloodstream.Staphylococcus aurous is the organism most commonly found. Diabetes, AIDS, steroid use, cancer, and chronic renal insufficiency are common comorbidities.
Clinical Presentation
Unfortunately, adult discitis has a slow, insidious onset, which can cause diagnosis to be delayed for months. Neck or back pain with localized tenderness is the initial presenting complaint. Movement exacerbates these symptoms, which are not alleviated with conservative treatment (eg, analgesics, bed rest)Physical signs
Localized tenderness over the involved area with paraspinal muscle spasm is the most common physical sign .Differential DX
Osteomylitis
Rheumatoid Spondylitis
Spinal Tumors
Laboratory Studies
Hematology:WBC ,CRP ,ESR.
Microbiology Blood cultures must be obtained on a frequent basis for any patient suspected of harboring an infected disc
Imaging Studies
Plain x-ray
Ct scan
MRI
Bone scan…. Bone biobsy
Echocardiography can detect bacterial endocarditis, which is a common source of discitis and embolic infection throughout the body.
Treatment
Antibiotic:Parenteral treatment is usually administered for 6-8 weeks. Before parenteral therapy is discontinued, the ESR should have dropped by one half to one third, the patient should have no pain on ambulation, and there should be no neurologic deficits.
The use of oral antibiotics following intravenous treatment has not been shown to be of added benefit.
Immobilization is necessary, Generally, bracing is used for 3-6 months following initiation of treatment; however, even with the use of appropriate antibiotics and bracing, collapse of the vertebral segments and kyphos formation may occur.
Surgical Care:
Indications for surgery beyond open biopsy include neurologic deficit, spinal deformity, disease progression, noncompliance, and antibiotic toxicity.BRUCELLOSIS
BRUCELLOSIS in 1884 Sir David Bruce isolated B. melitensis from British soldiers who died from Malta fever in MaltaBRUCELLOSIS is a bacterial zoonosis transmitted directly or indirectly to humans from infected animals.
It is transmitted by ingesting infected food, direct contact with an infected animal, or inhalation of aerosols.
gram negative, non-motile, non-capsulate, non-sporing coccobacilli Arranged singly or in short chains 2 main somatic antigens: A and MThe 3 main Brucella differ from one another in the amount of the 2 main antigen they have in common
The disease is known as undulant fever
because of its remittent character.Human brucellosis is caused by strains of Brucella:
, B. melitensis, which is the commonest cause of symptomatic disease in humans B. abortus, is acquired from cattle or buffalo.
B. suis, acquired from swine
B. canis, is acquired from
dogs.
Brucella can survive for up to 2 months in soft cheeses made from goat or sheep milk. The commonest species isolated from Iraqi patients are Brucella abortus (77.4%) and B. melitensis (19.4%)
The clinical syndromes
Incubation period: 3-16 days
Latent infection:Infection is serological positive but there is no clinical evidence.
Acute brucellosis (influenza like syndrome)Undulant fever (usually peaks in the evening and slowly returns to normal by morning)
Headache.Limb and back pains are unusually severe, night sweating and fatigue are marked anorexia, weakness, loss of weight, depression
Subacute brucellosis:
It may follow acute brucellosis.Blood culture is less frequently positive.
Skin test is positive.
Chronic brucellosis:
culture is rarely positive.It is usually non bacteremic.
Blood test and agglutination are strongly positive.
There is lassitude sweating and joint pain.
Complications:
Arthritis, meningitis, spondylitis, uveitis, orchitis
Brucellosis as an occupational hazard
Farmers and their families, abattoir workers, butchers and veterinarians are particularly at risk.Infected animals that have recently aborted present the greatest hazard.
Laboratory Diagnosis
Specimen:Blood
Urine, sputum, breast milk
Lymph node biopsy
Bone marrow aspirate
the MSK presentations of brucellosis
often fit into one of three patterns:1- febrile illness that resembles typhoid but is less severe .
2- fever and acute monoarthritis, typically of hip or knee, in a young child .
3- long-lasting fever, misery, and low-back pain or hip pain in an older man.
Focal features are present in the majority of patients. 1-Musculoskeletal pain in the peripheral and axial skeleton (40 % of cases). 2-Discitis: more commonly involvesthe lumbar and lower thoracic vertebrae .-3-Septic arthritis:commonly affected the knee, hip,& sacroiliac joints, and the pattern either monoarthritis or polyarthritis.4-Osteomyelitis may also accompany septic arthritis.
INFECTIVE DISCITIS
the most important differential diagnosis is tuberculosis Septic arthritis brucellosis progresses slowly In the vertebrae, starting with small pericapsular erosions, finally Anterior osteophytes develop.,but vertebral destruction or impingement on the spinal cord is rare
The diagnosis of brucellosis is based on the clinical features and the results of laboratory tests . The isolation of Brucella species by culture is disappointing . Therefore, the laboratory diagnosis of brucellosis is usually based on serological tests.
Bengal agglutination test The minimum antibody titres which could give positive results by this method have been suggested to be 1/80 .
Standard agglutination test (SAT): Diluted serum of patients is tested by slide or tube method against a brucella suspension
A presumptive diagnosis can be made when there is 4 fold rise in the titre or a single titre greater than 80.
Prozone phenomenon:
absence of agglutination in low dilution of serum due to high concentration of antibodies.ELISA and RIA: can distinguish IgM, IgG and IgA brucella specific antibodies
Brucellin test (Skin test ): Positive reaction shows an area of erythema and induration of 6 mm diameter within 24 hoursC-reactive protein test CRP, although not specific for brucellosis, can be regarded as a valuable index of its activity and response to therapy . The CRP level also correlated with the duration of brucellosis ,it is recommended for the follow-up of a patient.
Combined tests in the diagnosis of brucellosis
The use of Tube agglutination test TAT with Coomb-like test CLT was found to offer the best sensitivity (100%) and a specificity followed by RBT with IFAT,Serum levels of hepatic enzymes and bilirubin may be elevated. Peripheral leukocyte counts are usually normal or low, with relative lymphocytosis. Mild anemia may be documented. The erythrocyte sedimentation rate and C-reactive protein levels are often normal but may be raised
The radiologic features of bony disease develop late in brucellosisIsotope scanning is more sensitivethan plain x-ray Isolation of brucellae from blood, CSF, bone marrow, or joint fluid or from a tissue aspirate or biopsy sample is definitive, and attempts at isolation are usually successful in 50 to 70% of cases .
The peripheral blood–based (PCR)has enormous potential to
a-detect bacteremia, b- predict relapse, c- exclude “chronic brucellosis
MANAGEMENT OF BRUCELLOSIS
The aims of antimicrobial therapy for brucellosis are: 1-to treat current infection 2-and relieve its symptoms 3-and to prevent relapse. Focal disease presentations may require surgical intervention (e.g., cardiac valve replacement, abscess drainage, joint replacement) -in addition to more prolonged and tailored antibiotic therapyThe “gold standard” for the treatment of brucellosis in adults is -intramuscular streptomycin (750 mg to 1 g daily for 14 to 21 days) together with doxycycline (100 mg twice daily for 6 weeks
The usual alternative regimen (and the current World Health Organization recommendation) is rifampicine (600–900 mg/d) plus doxycycline (100 mg twice daily) for 6 weeks. The relapse/failure rate is ~10% in trial conditions rifampin administration.
other aminoglycosides can be substituted for streptomycin—e.g., netilmicin or gentamicin given daily for at least 2 weeks.
high-dose ofloxacin (400 mg twice daily) or ciprofloxacin (500 mg twice daily), given together with rifampin for 6 weeks, may become accepted as an alternative to the other 6-week regimens for adults
Significant neurologic disease due to Brucella requires prolonged treatment (i.e., for 3–6 months), usually with ceftriaxone supplementation of a standard regimen
Significant neurologic disease due to Brucella requires prolonged treatment (i.e., for 3–6 months), usually with ceftriaxone supplementation of a standard regimen
Surgery is still required for the majority of cases of infection of prosthetic heart valves and prosthetic joints
Prognosis and Relapse Relapse occurs in up to 30% of poorly compliant patients. Thus patients should ideally be followed clinically for up to 2 years to detect relapse,
• Immunity is not solid; patients can be reinfected after repeated exposures. Fewer than 1% of patients die of brucellosis. death is usually a consequence of cardiac involvement; or from severe neurologic disease.


















