قراءة
عرض

Ultrasonography in Gynaecology

Dr Sameer Abdul Lateef.

Introduction

Ultrasound was first introduced by Ian Donald (Glasgow 1950) in the field of medicine
Sonography is widely used in Gynaecology either with the transabdominal (TAS) or with the transvaginal (TVS) probe
Because of the safety, high patient acceptance and relatively low cost, ultrasonography has become a common diagnostic modality in gynaecology these days.

Use of Ultrasound in Gynaecology

Use of infertility workup
Serial measurement of ovarian follicular diameter (folliculometry) and endometrial thickness are done using TVS.
Ultrasound can provide presumptive evidence of ovulation. Following ovulation, internal echoes appear and free fluid is observed in pouch of Douglas.
To detect correcting time of ovulation by folliculometry in conjuction with plasma oestradiol.
Sonographic guided oocyte retrieval in IVF and GIFT programmes.

Use of ultrasound in Gynaecology

Ectopic pregnancy can be detected on TVS as a “tubal ring” separate from the ovary in a patient with empty uterine cavity.
Pelvic mass can be evaluated as regard to its location and consistency. Uterine fibroid, ovarian mass, endometrioma, tubo-ovarian mass, etc. can be delineated when there is confusion in clinical diagnosis.
Oncology: TV-CDS can assess the vascularity of the mass. Low flow impedance with a high flow velocity raises the suspicion of a malignant tumor.


Use of Ultrasound in Gynaecology
Endometrial disease: Women with unexplained uterine bleeding, or postmenopausal bleeding .

Ultrasonography in Gynaecology

Transabdominal sonography

Ultrasonography in Gynaecology

Transabdominal sonography

Is done with a linear or curvilinear array transducer operating at 2.5-3.5 MHz.
TAS requires full bladder to displace the bowel out of pelvis.
Other wise gas in the bowel acts as a complete barrier to ultrasound waves.

Transabdominal sonography

TAS is best used for large masses like fibroid or ovarian tumor
Higher is the frequency of ultrasound wave, better is the image resolution but lesser is the depth of tissue penetration

Transvaginal Sonography (TVS)

It is done with a probe which is placed close to the targt organ.


Preparing patient
There is no need of a full bladder
It also avoids the difficulties due to obesity, faced in TAS

Transvaginal Sonography

Transvaginal ultrasound may be done for the following problems:
Abnormal findings on a physical exam, such as cysts, fibroid tumors, or other growths
Abnormal vaginal bleeding and menstrual problems
Certain types of infertility
Ectopic pregnancy
Pelvic pain

Transvaginal sonography

TVS operates at a high frequency (5-8 MHz).
Therefore, detailed evaluation of the pelvic organs (within 10 cm of the field) is possible with TVS.
But the drawbacks of TVS are mainly due to narrow vagina as in virgins, postmenopausal women or post radiation vaginal stenosis.

Transvaginal sonography

Ultrasonography in Gynaecology




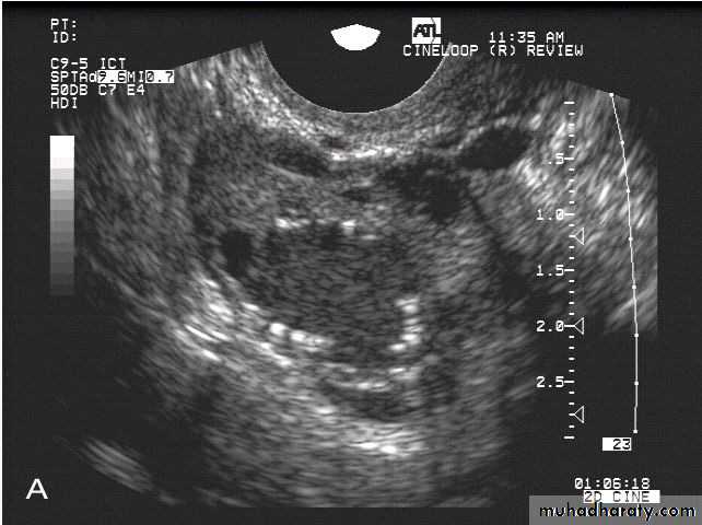
Ultrasound of Normal ovary
Ultrasonography in Gynaecology

Normal Ovary

Ultrasonography in Gynaecology


Normal ovary during a natural menstrual cycle demonstrating normal follicle population and distribution on day 12 postmenstruation. A dominant follicle is visualized in the central portion of the image and several subordinate follicles from the wave (2–5 mm) are observed in the left lateral aspect of the ovary.

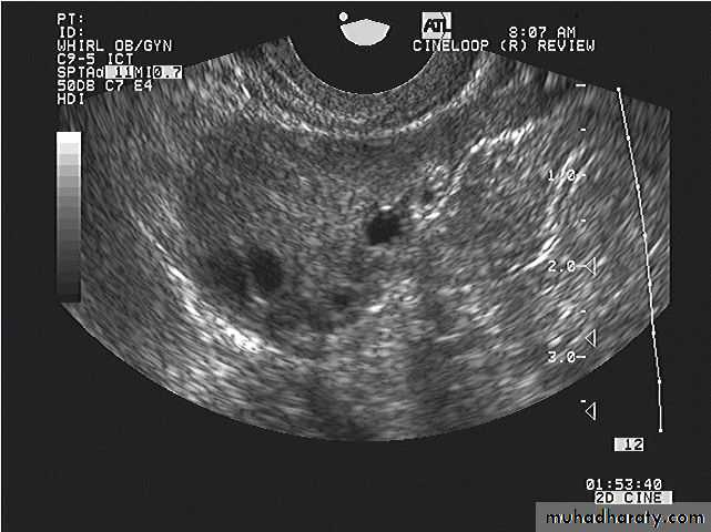
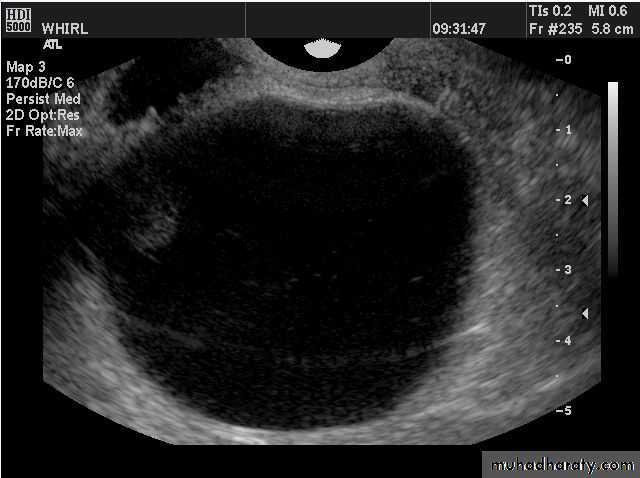
Functional cysts of the ovary - Follicular cysts:

Ultrasonography in Gynaecology


This young female patient underwent sonography for non-specific pain in the lower abdomen. Ultrasound images of the pelvis show bilateral ovarian cysts which show absence of internal nodules, septae or debris. These findings are typical of follicular cysts of the ovaries. Follicular cysts are functional cysts and are enlarged ovarian follicles that have not ruptured (ovulated). They are usually unilateral.

• Functional cysts of the ovary – Corpus Luteum cysts

Lt. adnexal cystic mass- Luteal cyst(Lt. ovary):
Ultrasonography in Gynaecology


Ultrasonography in Gynaecology




• Functional cysts of the ovary – Corpus Luteum cysts
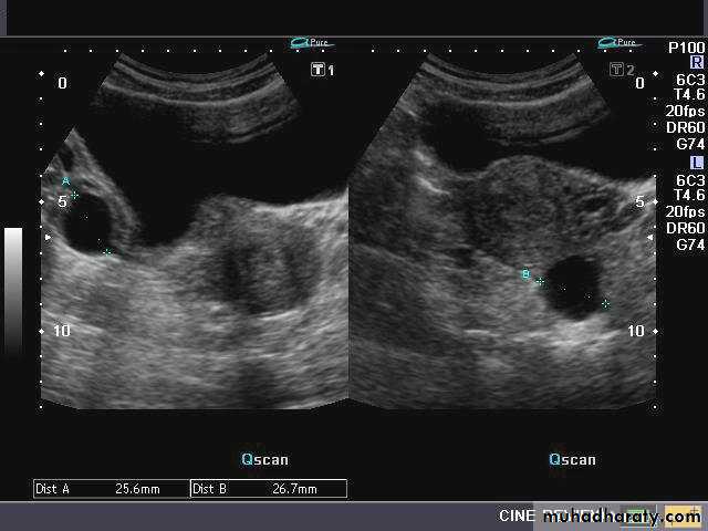
Rt. ovarian simple cyst:
Ultrasonography in Gynaecology

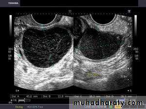
Hemorrhagic ovarian cysts:

Hemorrhagic cyst of ovary resulting from Ovulation induction
This young nulliparous female patient undwerwent ultrasonography following ovulation induction. The right ovary shows a typical hemorrhagic cyst formed from the corpus luteum. The first image (top row- left) is a transabdominal ultrasound image showing fine fibrinous strands within the cystic mass in the right ovary. Transvaginal ultrasound and color Doppler images confirm these findings. The uterus shows typical secretory changes in the endometrium suggesting post ovulatory phase.
Ultrasonography in Gynaecology

Hemorrhagic ovarian cysts:

Hemorrhagic cyst of ovary resulting from Ovulation induction
This young nulliparous female patient undwerwent ultrasonography following ovulation induction. The right ovary shows a typical hemorrhagic cyst formed from the corpus luteum. The first image (top row- left) is a transabdominal ultrasound image showing fine fibrinous strands within the cystic mass in the right ovary. Transvaginal ultrasound and color Doppler images confirm these findings. The uterus shows typical secretory changes in the endometrium suggesting post ovulatory phase.
Ultrasonography in Gynaecology

Hemorrhagic ovarian cysts:

Hemorrhagic cyst of ovary with co-existing chocolate cyst/ endometrioma:
This patient has a co-existing chocolate cyst with a hemorrhagic cyst in the same (right) ovary. The cyst on the left half of the ultrasound image is a hemorrhagic cyst. Note the fine fibrinous strands within the cyst suggesting clot formation. The cyst on the right half of the image is homogenous with fine echoes throughout the ovarian cyst. This is a typical appearance of an endometrioma (chocolate cyst)
Ultrasonography in Gynaecology


Hemorrhagic ovarian cysts:

Hemorrhagic cyst of ovary with ruptured ectopic pregnancy:
This female patient has a left ovarian hemorrhagic cyst (see ultrasound image above-left). In addition, there is a large collection of free fluid with particulate matter in the pelvis. The right fallopian tube is thickened with a ring shaped mass. This suggests that there is significant hemorrhage into the pelvis due to a ruptured ectopic pregnancy (right tubal ectopic gestation). The left ovarian hemorrhagic cyst appears intact, ruling out ruptured hemorrhagic cyst.
Ultrasonography in Gynaecology

Ovarian dermoid cyst or Cystic teratomas:

Ultrasonography in Gynaecology


These ultrasound images reveal bilateral ovarian complex masses that contain both solid and cystic components. The right ovary shows a cystic mass with a solid, highly echogenic "dermoid plug". This is a solid nodule containing fat and various tissues including hair. Posterior acoustic shadowing is seen. The left ovary shows a dermoid plug and, in addition, a "dermoid mesh" is also seen, an irregular echogenic solid mass within the cyst. Echogenic debris is seen floating within the fluid

• Ovarian dermoid cyst or Cystic teratomas:

These ultrasound images reveal bilateral ovarian complex masses that contain both solid and cystic components. The right ovary shows a cystic mass with a solid, highly echogenic "dermoid plug". This is a solid nodule containing fat and various tissues including hair. Posterior acoustic shadowing is seen. The left ovary shows a dermoid plug and, in addition, a "dermoid mesh" is also seen, an irregular echogenic solid mass within the cyst. Echogenic debris is seen floating within the fluid
Ultrasonography in Gynaecology

• Ovarian dermoid cyst or Cystic teratomas:

These ultrasound images reveal bilateral ovarian complex masses that contain both solid and cystic components. The right ovary shows a cystic mass with a solid, highly echogenic "dermoid plug". This is a solid nodule containing fat and various tissues including hair. Posterior acoustic shadowing is seen. The left ovary shows a dermoid plug and, in addition, a "dermoid mesh" is also seen, an irregular echogenic solid mass within the cyst. Echogenic debris is seen floating within the fluid
Ultrasonography in Gynaecology


• Ovarian dermoid cyst or Cystic teratomas:

These ultrasound images reveal bilateral ovarian complex masses that contain both solid and cystic components. The right ovary shows a cystic mass with a solid, highly echogenic "dermoid plug". This is a solid nodule containing fat and various tissues including hair. Posterior acoustic shadowing is seen. The left ovary shows a dermoid plug and, in addition, a "dermoid mesh" is also seen, an irregular echogenic solid mass within the cyst. Echogenic debris is seen floating within the fluid
Ultrasonography in Gynaecology

Rupture of hemorrhagic ovarian cyst:

Ultrasonography in Gynaecology

Transabdominal scanned image

• Rupture of hemorrhagic ovarian cyst:
Transvaginal scanned image
Ultrasonography in Gynaecology

Ovarian hyperstimulation syndrome (OHSS):

Ultrasonography in Gynaecology


This young adult female patient was examined to evaluate the uterus and ovaries. She was under treatment for infertility and was using gonadotropins. Ultrasound images of the ovaries show grossly enlarged ovaries with large cysts (measuring 2.6 to 3 cms.) in both ovaries. These ultrasound findings are diagnostic of OHSS or ovarian hyperstimulation syndrome.


• Ovarian hyperstimulation syndrome (OHSS):
The ultrasound image again show hyperstimulated ovaries. Both ovaries are grossly enlarged and cystic.
Ultrasonography in Gynaecology

• Ovarian hyperstimulation syndrome (OHSS):

Transvaginal ultrasound images of ovarian hyperstimulation syndrome:
Ultrasonography in Gynaecology


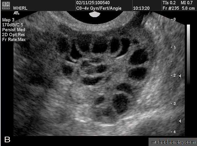
This young adult female patient showed multiple large theca lutein cysts of both ovaries, arranged in spoke-wheel pattern (ultrasound images above) which were the result of use of gonadotropins in the management of infertility. The cysts vary in size from 2 to 4 cms. with the ovaries massively enlarged (each ovary measures up to 7 cms. in size). This can be classified as grade-2 hyperstimulation of the ovaries (ovarian diameter from 5 to 10 cms.). There is not evidence of ascites. The color Doppler image of the ovaries shows vessels passing along the margins of the cysts. One of the complications of such enlarged ovaries in OHSS is torsion and in certain cases rupture of the ovaries, both of which are medical emergencies. Ovarian hyperstimulation syndrome is known to occur more frequently in patients of pre-existing Polycystic ovaries (PCO).

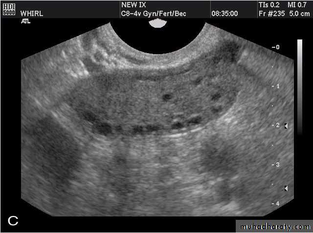
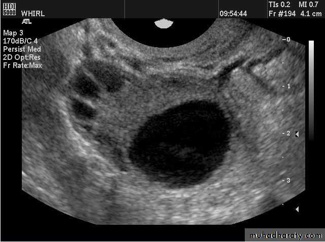
PERSISTENT ANOVULATORY FOLLICLE

Ultrasonography in Gynaecology


Failure of ovulation and development of “cystic” follicle. The follicle typically grows larger than the mean preovulatory follicle diameter of 23 mm, thin atretic follicle walls are observed and small flecks of particulate matter are frequently seen in the lumen or aggregated at the side of the structure.

BENIGN OVARIAN NEOPLASIA

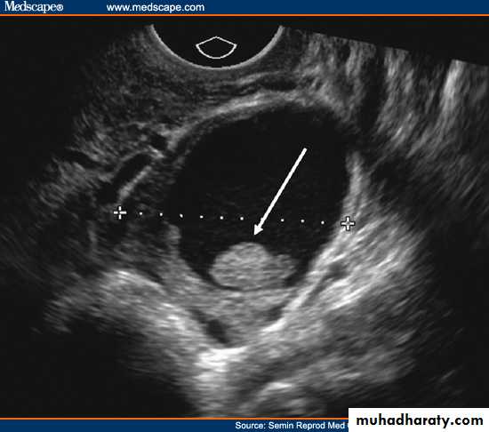
Images of a small intraovarian dermoid cyst (A, B). The cyst is completely embedded in the ovary and is surrounded by focal areas of hyperechoicity. Small follicles are observed in the surrounding stroma. Folliculogenesis and ovulation were impaired in this ovary. The contralateral ovary demonstrated compensatory hypertrophy.
Ultrasonography in Gynaecology




• BENIGN OVARIAN NEOPLASIA
Images of a small intraovarian dermoid cyst
Ultrasonography in Gynaecology




Ultrasonography in Gynaecology


Ultrasonography in Gynaecology




Ultrasonography in Gynaecology

Premature ovarian failure.

Ultrasonography in Gynaecology


Image from a woman in premature ovarian failure. Only the stroma of the ovary is identified. A very few follicles of less than 1 mm diameter can be observed on the inferior aspect of the ovary.

POLYCYSTIC OVARY SYNDROME

Ultrasonography in Gynaecology



Images from women with differing expressions of the four major subtypes of the metabolic syndrome associated with polycystic ovary syndrome (A–D). The images exhibit quite differing ultrasonographic appearances in the size and distribution of follicles within PCOS ovaries. A recent corpus luteum is clearly visible in the ovary in panel (D).

• POLYCYSTIC OVARY SYNDROME

Images from women with differing expressions of the four major subtypes of the metabolic syndrome associated with polycystic ovary syndrome (A–D). The images exhibit quite differing ultrasonographic appearances in the size and distribution of follicles within PCOS ovaries. A recent corpus luteum is clearly visible in the ovary in panel (D).
Ultrasonography in Gynaecology

• POLYCYSTIC OVARY SYNDROME

Images from women with differing expressions of the four major subtypes of the metabolic syndrome associated with polycystic ovary syndrome (A–D). The images exhibit quite differing ultrasonographic appearances in the size and distribution of follicles within PCOS ovaries. A recent corpus luteum is clearly visible in the ovary in panel (D).
Ultrasonography in Gynaecology

• POLYCYSTIC OVARY SYNDROME

Images from women with differing expressions of the four major subtypes of the metabolic syndrome associated with polycystic ovary syndrome (A–D). The images exhibit quite differing ultrasonographic appearances in the size and distribution of follicles within PCOS ovaries. A recent corpus luteum is clearly visible in the ovary in panel (D).
Ultrasonography in Gynaecology

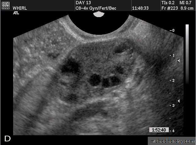
The Oviduct (Fallopian Tube)

Normal Oviduct
Ultrasonography in Gynaecology



An image of an oviduct visualized from the uterine cornu to the fimbria. The ampulla, infundibulum and very fine interfaces representing the fimbria may be appreciated on the superior aspects of the ovaries.

• Normal Oviduct

The fimbria of the oviduct are clearly visualized in free fluid surrounding the ovary following ovulation or hysterosalpinography.
Ultrasonography in Gynaecology

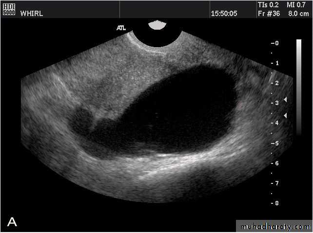
Hydrosalpinx

Ultrasonography in Gynaecology


• Hydrosalpinx is usually easily diagnosed as well-constrained fluid accumulation in the adnexae. In some cases, adhesions between the oviduct and ovary may be visualized.

• Hydrosalpinx

• Hydrosalpinx is usually easily diagnosed as well-constrained fluid accumulation in the adnexae. In some cases, adhesions between the oviduct and ovary may be visualized.

Ultrasonography in Gynaecology

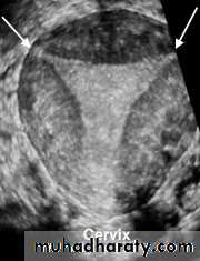
• Uterus

• Reconstructed coronal view of the uterus demonstrating cornuas (arrow) and cervix, with a normal uterine contour
Ultrasonography in Gynaecology


• Normal Uterus

• Planar views of normal uterus using volume contast imaging
Ultrasonography in Gynaecology

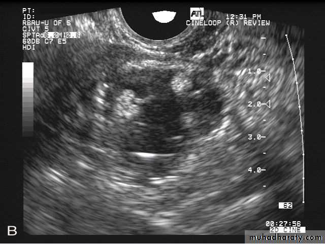
Normal Uterus

Normal Uterus in longitudinal view
Ultrasonography in Gynaecology

Uterine Pathology

Fibroids (leiomyomata)
Ultrasonography in Gynaecology


• Intramural leiomyomata are frequently visualized. Examples of fibroids which compromise the contours of the endometrial cavity are shown (A–D). Refraction artifacts resulting from tissue density interfaces and the texture of the fibroids often aid in their identification.

• Fibroids (leiomyomata)

• Intramural leiomyomata are frequently visualized. Examples of fibroids which compromise the contours of the endometrial cavity are shown (A–D). Refraction artifacts resulting from tissue density interfaces and the texture of the fibroids often aid in their identification.
Ultrasonography in Gynaecology


• Fibroids (leiomyomata)

• Intramural leiomyomata are frequently visualized. Examples of fibroids which compromise the contours of the endometrial cavity are shown (A–D). Refraction artifacts resulting from tissue density interfaces and the texture of the fibroids often aid in their identification.
Ultrasonography in Gynaecology

Congenital anomalies of uterus

Unicornuate uterus
Ultrasonography in Gynaecology

Congenital anomalies of uterus

Bicornuate Bicollis Uterus
Ultrasonography in Gynaecology

• Congenital anomalies of uterus

• Didelphic uterus with Left sided hematometra
Ultrasonography in Gynaecology




• Congenital anomalies of uterus
• Subseptate Uterus
Ultrasonography in Gynaecology

• Congenital anomalies of uterus

• Complete Septate
Ultrasonography in Gynaecology

• Congenital anomalies of uterus

• Arcuate uterus
Ultrasonography in Gynaecology




Ultrasonography in Gynaecology


Ultrasonography in Gynaecology




Endometrium

• Endometrium

• Post menstruation
Ultrasonography in Gynaecology

• Endometrium

• Trilaminar appearance during proliferation
Ultrasonography in Gynaecology

• Endometrium

• Secretory phase
Ultrasonography in Gynaecology

• Endometrium

• Premenopausal Endometrium
• Endometrium

Ultrasonography in Gynaecology



Sagittal US image of the uterus obtained during the secretory phase of the menstrual cycle shows a thickened, echogenic endometrium (cursors).

Pathology of Endometrium

Ultrasonography in Gynaecology


Endometritis. US image demonstrates multiple echogenic foci within the endometrium (arrow) representing gas.

Endomaterial polyp

Ultrasonography in Gynaecology

• Pathology of Endometrium

Submucosal fibroid. (a) Transvaginal US image reveals a uterine mass (arrows) with posterior acoustic shadowing.
Ultrasonography in Gynaecology

• Pathology of Endometrium

Endometrial hyperplasia. US image shows an endometrium with diffuse thickening (maximum thickness, 1.74 cm) due to hyperplasia (cursors). This finding was confirmed at biopsy.
Ultrasonography in Gynaecology




• Pathology of Endometrium
Endometrial adenocarcinoma.
(a) US image reveals a heterogeneous endometrial mass (arrows) that is difficult to distinguish from the myometrium. Cursors indicate the entire transverse width of the uterus.
Ultrasonography in Gynaecology

• IUD

IUD. US image shows a hyperechoic linear structure within the endometrial canal (arrow) representing an IUD.
Ultrasonography in Gynaecology




Ultrasonography in Gynaecology

THANKSFOR ATTENTION




رفعت المحاضرة من قبل: Abdalmalik Abdullateef
المشاهدات: لقد قام 10 أعضاء و 157 زائراً بقراءة هذه المحاضرة








تسجيل دخول

أو
عبر الحساب الاعتيادي
الرجاء كتابة البريد الالكتروني بشكل صحيح
الرجاء كتابة كلمة المرور
لست عضواً في موقع محاضراتي؟
اضغط هنا للتسجيل