Introduction to ultrasound Imaging
HISTORYThe potential of ultrasound as an imaging modality was realized as early as the
late 1940s when, utilizing sonar and radar technology developed during World
War II, Although pulse–echo ultrasound had been used to diagnose a variety of medical problems since the 1950s, it did not become a widely accepted diagnostic tool until the early 1970s when gray-scale ultrasound mapping was introduced . Continuous wave (CW) and pulsed wave Doppler (PW) ultrasound devices for measuring blood flow also became available during that time.
Duplex ultrasound scanners that combined both functions , thus allowing the imaging of anatomy and the measurement of blood flow with one single instrument, soon followed .
Today, ultrasound is the second most utilized diagnostic imaging modality in medicine, second only to conventional x-ray, and is a critically important diagnostic tool of any medical facility.
.
Physics of US imaging
The audible range of human ear is from 20 Hz to 20 kHz. Ultrasound sound waves in the 2- to 10-MHz frequency range are used for imaging the body by detecting the intensity of the reflected waves from various organs and displaying this reflected intensity as a gray-scale (or color) image .Because ultrasound is a wave, it transmits energy just like an electromagnetic wave or radiation, but unlike an electromagnetic wave, sound requires a medium in which to travel and thus cannot propagate in a vacuum.
The sound waves are generated by applying an electrical pulse to a piezoelectric crystal.
This crystal also acts as a receiver of the reflected waves after the transmitter pulse is terminated.The higher the frequency the less the penetration .
Ultrasonic descriptive terms
Typically, a cyst containing a clear fluid has few if any echoes (anechoic =black ) ,Tissues such as liver and spleen give a picture with rather homogeneous small echoes due to the fibrous interstitial tissue (hypo echoic , isoechoic or hyper echoic = gray scale spectrum ) ,
Metals or Calcium in the bone and stones ( echogenic = white ) .
Biologecal effects :
Because ultrasound radiation is nonionizing, no adverse biologic effects have been observed at diagnostic power levels
ROLE OF ULTRASOUND IN MEDICAL IMAGING
.The many advantages that ultrasound can offer have enabled it to become a valuable diagnostic tool in many medical disciplines such as
obstetrics and gynecology,
Abdominal ultrasound
Superficial structures such as breast, scrotal , thyroid , musculoskeletal ….ext
pediatrics, and pediatrics neurology.
Vascular ultrasound (Doppler)
Interventional radiology
Cardiology (echocardiography )
The advantages of ultrasound
• Ultrasound is a form of nonionizing radiation and is considered safe tothe best of present knowledge.
• It is less expensive than imaging modalities of similar capabilities.
• It produces images in real time, un attainable at the present time by any
other methods.
• It has a resolution in the millimeter range for the frequencies being
clinically used today, which may be improved if the frequency is
increased.
• It is portable and thus can be easily transported to the bedside of a patient.
. It can yield blood flow information by applying the Doppler principle .
** Ultrasound is the tool of choice in obstetrics primarily because of no adverse biologic effects , noninvasive nature, its cost-effectiveness, and its real-time imaging capability. This role will not change in the foreseeable future.
Ultrasound also has several drawbacks.
Chief among them are :
• Organs containing gases and bony structures cannot be adequately imaged without introducing specialized procedures.
• Only a limited window is available for ultrasonic examination of certain organs, such as heart and neonatal brain.
• It depends on operator skill.
• It is sometimes impossible to obtain good images from certain types of patients, including obese patients (penetration limitations ) .
Urinary tract US
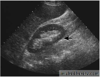
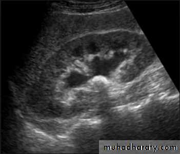
Renal ultrasound is a simple noninvasive examination .The kidney is bean shaped and has bright central echoes because of the fat surrounding the collecting system.
Ultrasound is typically ordered to exclude , stones , hydronephrosis or to evaluate renal size or suspected renal cysts .
2
Normal renal ultrasound.
A longitudinal view of the right kidney was obtained by passing the sound beam through the right lobe of the liver. The kidney is seen behind this, outlined by the markers. The central bright echoes in the kidney are due to fat around the collecting system.















