1- Mega ureter2- Retrocaval ureter3- PUJ obstruction 4- Double ureter5- Horse shoe kidney6- Ectopic pelvic kidney Bilateral Hydronephrosis7- Polycystic kidney 8- Copra head 9- Copra head 10- Ectopia vesica
11– Copra head
12- Bilateral megaureter
13- Polycystic
14- Retrocaval
15- Ectopic
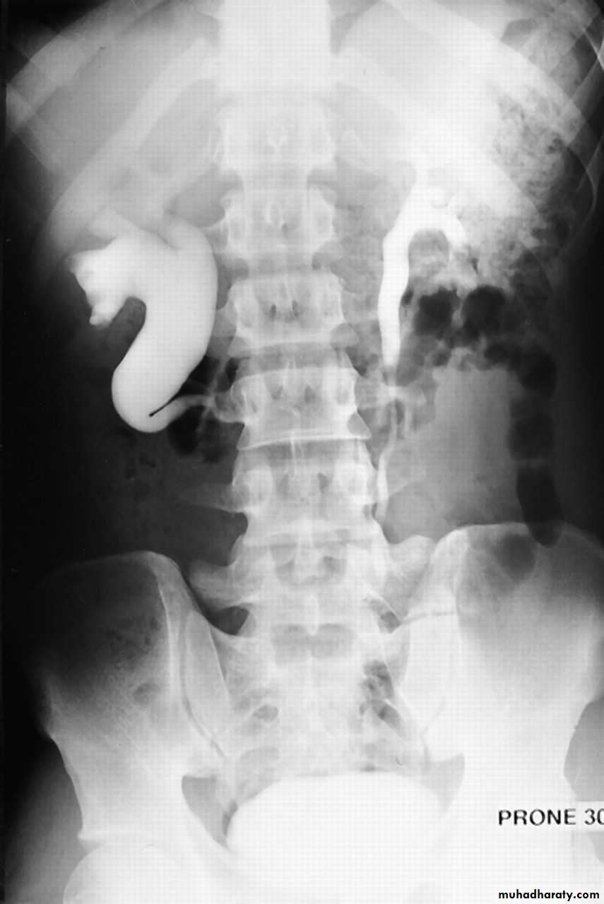
16- Retrocaval
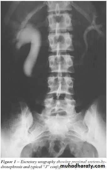
17- Ectopic + hydronephrosis
18- PUJ obstruction
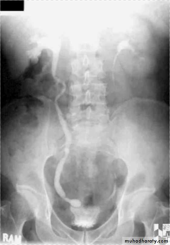
19- Ectopic + hydronephrosis
20- PUJ obstruction
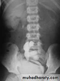
21- Horse shoe kidney
22- PUJ obstruction23- horse shoe24- PUJ obstruction25- double ureter26- partial PUJ obstruction27- double ureter28- schistosoma of bladder29- filling defect in the pelvi-calycial system30- tumor 31- filling defect (stone)
32- Stone
33- PUJ obstruction
34- vesico-uretric junction stone (CT scan)
35- Stone without hydronephrosis (left) and stone with hydronephrosis (right)
36- Hydronephrosis
37- Phlebolith





































