Miscellaneous Pharyngeal Conditions
Paterson-Kelly Syndrome (Plummer Vinson)A chronic atrophic type of inflammation of the mucous membrane of the mouth, pharynx and upper end of esophagus. The major changes occur in the postcricoid region initially started by fissuring and hyperkeratosis followed by fibrosis, web formation and stricture. A small proportion of patients (3%) with this condition progress to the stage of postcricoid cancer.
Aetiology
It’s unknown but autoimmune and metabolic basis may be presumed.
Clinical picture
The disease is more common in females usually over 40 years.
Dysphagia and feeling of a lump in the throat.
Pallor due to iron deficiency anaemia.
Fissures at the angles of the mouth result from angular stomatitis.
Dryness of the tongue because of glossitis.
Angular stomatitis
Koilonychia
Loss of weight.
Koilonychia
Glossitis
Investigations
Haematological: CBP---- hypochromic microcytic anaemia, low serum iron and high iron binding capacity.
Ba-swallow: web at the postcricoid region.
Endoscopy: fissuring, hyperkeratosis followed by fibrosis, web formation in the postcroid region.
Treatment
Iron and vitamin B complex in high doses.
Endoscopic dilation in resistant cases to medical treatment to relieve dysphagia and exclude malignancy by histopathological examination.
Keep the patient under observation, because malignant changes can still occur.
Oesophageal web
Globus Hystericus (Globus Pharyngeus)
Sensation of a lump in the throat affecting mainly females, which is brought on or made worse by anxiety. The old name globus hystericus is no longer accepted.
Aetiology
The condition is often regarded as functional in which no other organic cause can be found. Recently the most accepted organic theory is gastroesophageal reflux.
Clinical Picture
Sensation of a lump in the throat, which is, noticed when the patient is swallowing saliva and relieved by meals. There is no true dysphagia and the patient often has psychological stress or cancer phobia.
Diagnosis
The condition should not be diagnosed until an organic lesions has been excluded in order not to miss an early carcinoma.
Ba -Swallow ---- cricopharyngeal spasm
Endoscopy to exclude any abnormality
Full haematological investigations to exclude iron deficiency anemia.
Treatment
Reassurance that there is no organic disease or cancer
Antireflux therapy: Omeprazole + Domperidone
Psychiatric consultation is required in selected cases
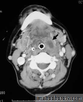
Retropharyngeal Abscess
An abscess in the potential space between the buccopharyngeal and prevertebral fascia. There are two distinct types.
Acute Retropharyngeal Abscess
Collection of pus in the retropharyngeal space due to infection in the retropharyngeal lymph nodes (lymph nodes of Rouviere). This condition is very rare in adults because these lymph nodes atrophy during childhood.
Aetiology
1. Upper respiratory tract infection (Tonsillitis, sinusitis)
2. F.B penetrating the posterior pharyngeal mucosa.
Clinical Picture
Mostly affects infants and it's of acute onset
1. The patient is ill, toxic and feverish.
2. Sore throat with pain and discomfort on swallowing and the patient may drool saliva.
3. Nasal obstruction in upward situated abscess and laryngeal obstruction (stridor) in those situated downward.
Examination
1. Swelling on one side of the posterior pharyngeal wall.
2. Cervical lymphadenopathy.
Investigations
Lateral X-ray of the neck, which shows increase in prevertebral soft tissue shadow or an air-fluid level.
Treatment
Under the cover of intravenous antibiotics, the abscess should be drained vertically through the posterior pharyngeal wall.
1. Drainage under G.A. with endotracheal tube.
2. If no facility for G.A. an assistant should be ready to turn the patient over quickly after drainage to avoid inhalation of pus. A sucker should be present to aspirate the pus.
Acute Retropharyngeal Abscess
Chronic Retropharyngeal Abscess (Pott,s Abscess)This is caused by TB of the cervical spine. The disease spread through anterior longitudinal ligament of the spine to reach retropharyngeal space.
Clinical Picture
Occurs in older children, adolescents and adults. It’s of slow onset and presents as:
1. Pharyngeal discomfort rather than pain.
2. Mild dysphagia.
Examination
1. Painless swelling on the posterior pharyngeal wall.
2. Enlarged and painless cervical lymphadenopathy.
Investigations
Lateral X-ray of the neck shows evidence of bone destruction and loss of the normal curvature of the cervical spine.
Treatment
1. Drainage through the neck and never through the mouth to avoid secondary infection.
2. Full anti T.B. therapy must be ordered.
Parapharyngeal Abscess
A suppurative infection of the parapharyageal space.
Aetiology
1. Complication of tonsillitis or tonsillectomy.
2. Infection or extraction of the lower third molar tooth.
3. Extension of mastoid infection
Clinical Picture
Occurs mostly in adolescents and adults
1. The patient is feverish , ill and toxic.
2. Acute sore throat with trismus because of spasm of the medial pterygoid muscle .
Examination
1. Tender and firm swelling in the upper part of the neck.
2. The pharyngeal wall and tonsil are pushed medially.
Complications
1- Acute oedema of the larynx --- tracheostomy.
2. Thrombophlebitis of the IJV with septicaemia.
3. Carotid artery erosion.
4. Cranial nerves and sympathetic chain involvement leading to Horner,s syndrome.
Treatment
Antibiotics should be commenced before culture and sensitivities are available:
I.V. penicillin + Metronidazole. If the general condition is stable and airway is patent investigations can be done:
WBC ↑, ESR ↑
Needle aspiration will prove the diagnosis( if doubtful) and pus is send for culture.
Orthopantomogram ( OPG) may shows root abscess.
Ultrasound of the neck can differentiate between cellulites and abscess collection.
If there is no improvement within 24 hours abscess must be drained:
Under GA and ETT collar incision is done in the neck at the level of hyoid bone at the anterior border of sternomastoid muscle, pus is evacuated and drain is inserted.









