Urinary tract imaging
*Mega ureter
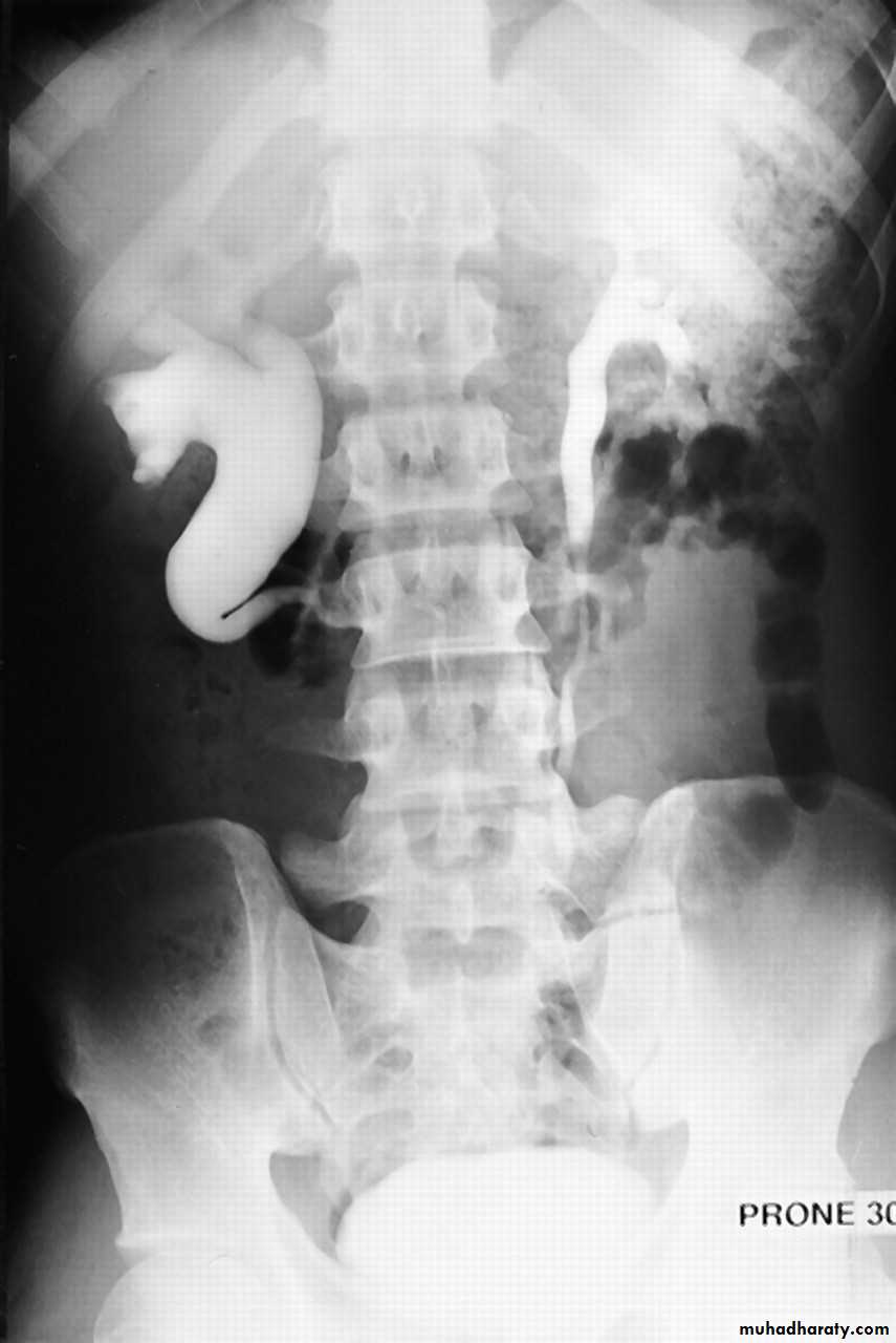
*Retrocaval ureter (right ureter ) behind inferior vena cava.*PUJ obstruction
*Duplication of the right kidney
Horse shoe kidney :-*lower poles fused *low positioned kidneys *parallel to spines.*malrotated medially
*Right kideny is ectopic(presacrally located)&bilateral hydronephrosis.
*Polycystic kidney disease
*Cobra head:-rounded or elliptical dilatation of lower end of ureter with thin lineal filling defect around it with proximal dilatation of the rest of ureter.
Same as previously
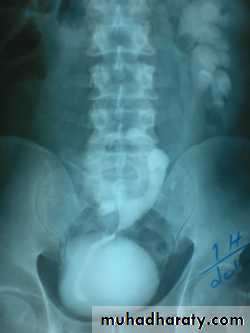
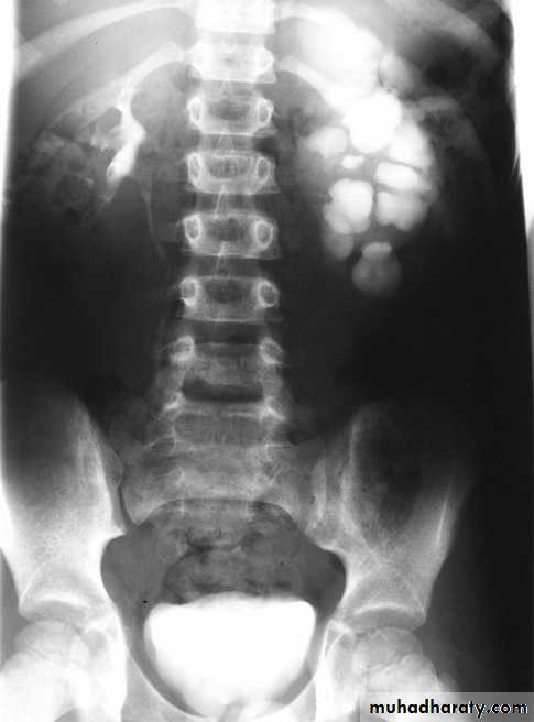
:*Ectopia vesica :-bladder located at low position with separartion of symphysis pubis.
*Cobra head: rounded or elliptical dilatation of lower end of ureter with thin lineal filling defect around it with proximal dilatation of the rest of ureter
*Bilateral megaureter
*Ectopic left kidney:-ureter is short (small arrow)
Retrocaval ureter:- (right ureter ) behind inferior vena cava.
*Hydronephrosis + ectopic left kidney
*PUJ obstruction&retrocaval ureter
*Hydronephrosis&ectopic kidney
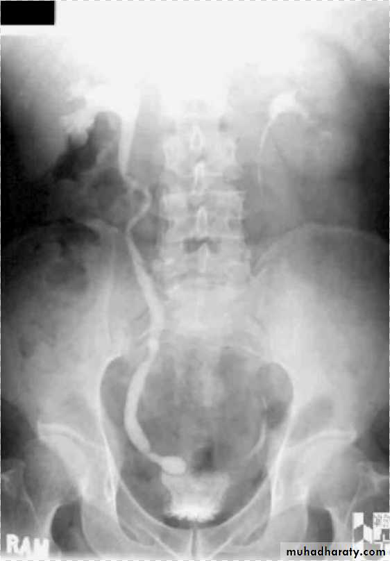
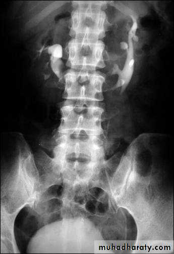
*PUJ obstruction
Horse shoe kidney :-*lower poles fused *low positioned kidneys *parallel to spines.*malrotated medially
*PUJ obstruction
Horse shoe kidney :-*lower poles fused *low positioned kidneys *parallel to spines.*malrotated medially
*PUJ obstruction
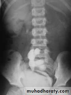
*Duplication of right kidney
*PUJ obstruction
*Duplication (incomplete)
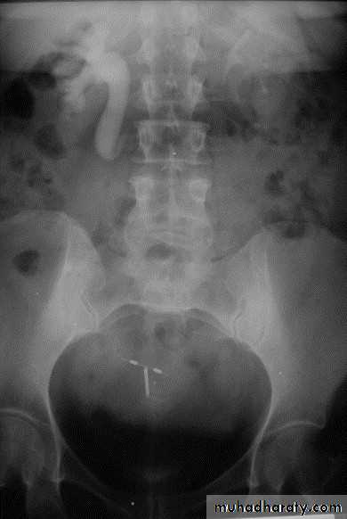
*Bladder shistosmomiasis (calcification most important feature)
*Dilated pelvicalyceal system with filling defect
*Irregular filling defect in P.C.Stumour
*Filling defect in P.C.S :- stone(because it is regular ,if irregularblood clot or tumour .
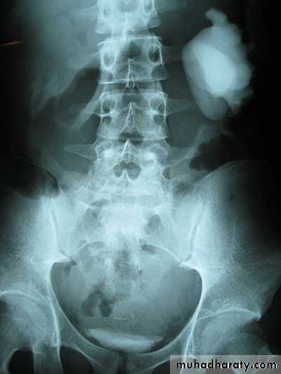
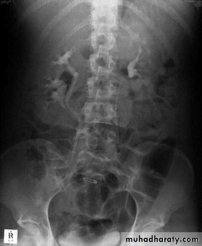
*Stone in the left kidney
*PUJ obstruction
*Vesico ureteral junction stone on CT
*Stone without hydronephrosis (left) and stone+ hydronephrosis (right) because of dilatation of P.C.S
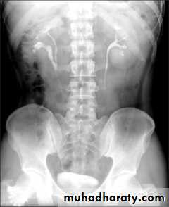
*Hydronephrosis:-dilated pelvicalyceal system on US
*Phlebolith (arrow):-round lucent centre,,it represents calcified thrombus in pelvic vein.






































