قراءة
عرض

Dermatology Photos

WWW.muhadharaty.com/dermatology
WWW.muhadharaty.com/lecture/3472
Dermatology Photos

Macule

Dermatology Photos

Patch

Dermatology Photos

Cyst



Dermatology Photos

Nodule

Dermatology Photos

Papule

Dermatology Photos

Plaque

Dermatology Photos




Crust

Dermatology Photos

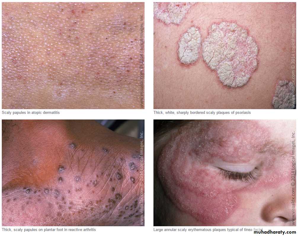
Scale

Dermatology Photos

Bullae

Dermatology Photos

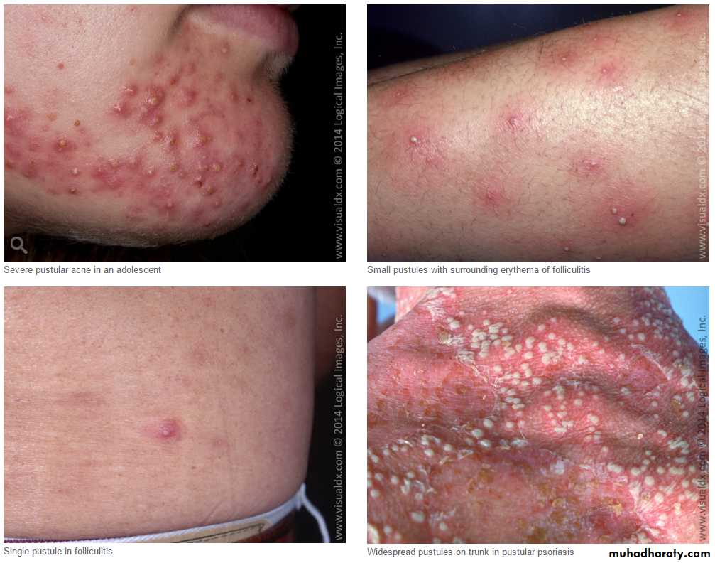
Pustule

Dermatology Photos




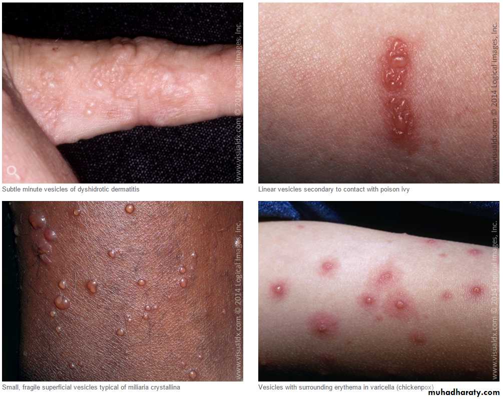
Vesicle


Dermatology Photos

Erythema

Dermatology Photos

Erythroderma

Dermatology Photos

Telangiectasia


Dermatology Photos

Ecchymosis

Dermatology Photos

Petechiae

Dermatology Photos

Palpable Purpura

Dermatology Photos

Atrophy



Dermatology Photos

Erosion

Dermatology Photos

Ulcer

Dermatology Photos

Eschar

Dermatology Photos


Gangrene

Dermatology Photos

Thank you

See more photos @ www.visualdx.com/learnderm/




رفعت المحاضرة من قبل: Abdalmalik Abdullateef
المشاهدات: لقد قام 92 عضواً و 791 زائراً بقراءة هذه المحاضرة








تسجيل دخول

أو
عبر الحساب الاعتيادي
الرجاء كتابة البريد الالكتروني بشكل صحيح
الرجاء كتابة كلمة المرور
لست عضواً في موقع محاضراتي؟
اضغط هنا للتسجيل