Characteristic Features of Epithelial Cells
3rd lecture November 5, 2015Characteristic Features of Epithelial Cells
Epithelial cells generally show polarity, with organelles and membrane proteins distributed unevenly in different parts of the cell.The region of the cell that faces the connective tissue is called the basal pole, whereas the opposite pole, usually facing a space, is the apical pole and the intervening sides apposed in neighboring cells are the lateral surfaces.
The membranes on the apical surfaces of epithelium cells often have numerous enfolding to increase the area of that surface, increasing its functional capacity. The different regions of polarized cells may have different functions.
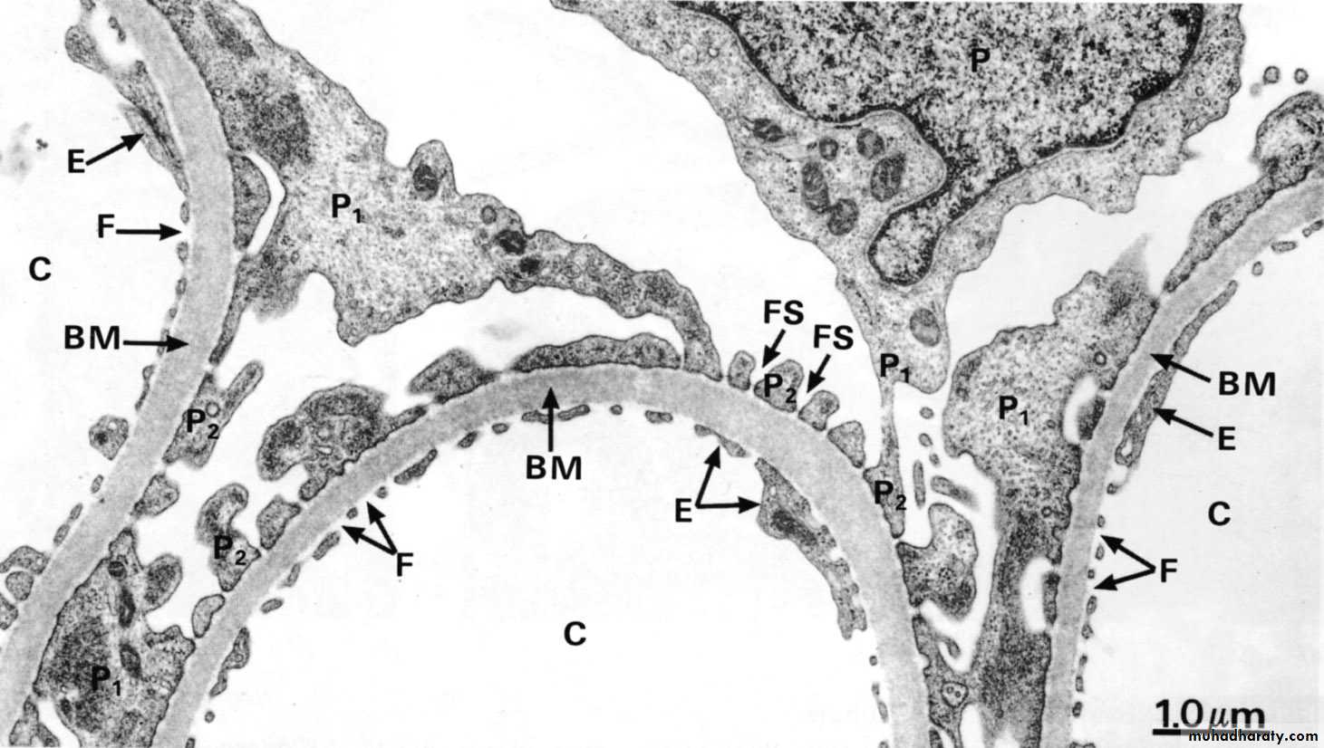
Basal Laminae & Basement Membranes
All epithelial cells in contact with subjacent connective tissue have at their basal surfaces a felt-like sheet of extracellular material called the basement membrane or basal lamina.An extracellular basal lamina always lies at the interface of epithelial cells and connective tissue. The basal laminae to two neighboring epithelia can fuse or appear to fuse in places where there is no intervening connective tissue. Nutrients for epithelial cells must diffuse across the basal lamina. Nerve fibers normally penetrate this structure, but small blood capillaries (being epithelial themselves) never enter an epithelium across a basal lamina. When components of a basal lamina are resolved with the light microscope, the structure is often called a basement membrane.
Basal laminae have many functions
In addition to simple structural and filtering functions, they are also able toinfluence cell polarity
regulate cell proliferation and differentiation by binding and concentrating growth factors
influence cell metabolism and survival
organize the proteins in the adjacent plasma membrane (affecting signal transduction)
serve as pathways for cell migration.
Basement membranes.
This section of kidney shows the typical basement membranes (arrows) of several tubules and of structures within the single glomerulus included here. In renal glomeruli the basement membrane, besides having a supporting function, has an important role as a filter. X100. Picrosirius-hematoxylin (PSH).Intercellular Adhesion & Other Junctions
Several membrane-associated structures contribute to adhesion and communication between cells. They are present in most tissues but are particularly numerous and prominent in epithelia.
Epithelial cells are extremely cohesive and relatively strong mechanical forces are necessary to separate them. Intercellular adhesion is especially marked in epithelial tissues that are subjected to traction and pressure (eg, in the skin).
The lateral membranes of epithelial cells exhibit several specialized intercellular junctions.
1- Tight junctions
Tight junctions seal adjacent epithelial cells in a narrow band just beneath their apical surface. They consist of a network of claudins and other proteins. Tight junctions perform two vital functions: They limit the passage of molecules and ions through the space between cells.2- Desmosomes
They attached to intermediate filaments made of a protein called keratin; they hold two adjacent cells tightly together of a localized region. Desmosomes do not prevent the movement of ions or molecules around cells but they are usually found in combination with tight junction which do. Usually desmosome found in tissues that undergoes a constant stretching and pressure (e.g. Skin and intestinal tissue).3- Gap junctions
gap junctions: Channels for communication between adjacent cells composed of connexins protein. In several epithelia such junctions are present in a definite order from the apical to the basal ends of the cells.Gap junctions permit the rapid exchange between cells of molecules with small (<1.5 nm) diameters.
A good example is heart muscle, where abundant gap junctions are greatly responsible for the heart's coordinated beat.
Intercellular Adhesion & other Junctions
Specializations of the Apical cell Surface
The free or apical surface of many types of epithelial cells has specialized structures to increase the cell surface area or to move substances or particles bound to the epithelium.Microvilli
In absorptive cells, such as the lining epithelium of the small intestine, the apical surface presents orderly arrays of many hundreds of more permanent microvilli (L. villus, tuft).The average microvillus is only about 1 µm high and 0.08 µm wide, but with hundreds or thousands present on the end of each absorptive cell.
The total surface area can be increased as much as 20- or 30-fold. In these absorptive cells the glycocalyx is thicker than that of most cells and includes enzymes for the final stages of certain macromolecules' breakdown.
The complex of microvilli and glycocalyx is easily seen in the light microscope and is called the brush or striated border.
Specialization of apical cell surface
microvilliStereocilia are long apical processes of cells in other absorptive epithelia such as that lining the epididymis (and ductus deferens. These structures are much longer and less motile than microvilli, are branched, and should not be confused with true cilia. Like microvilli, stereocilia also increase the cells' surface area, facilitating the movement of molecules into and out of the cell.
Stereocilia
Stereocilia
Cilia
Cilia are elongated, highly motile structures on the surface of some epithelial cells, 5–10 µm long and 0.2 µm in diameter, which is much longer and two times wider than a typical microvillus.In living organisms, cilia exhibit rapid back-and-forth movements coordinated to propel a current of fluid and suspended matter in one direction over the ciliated epithelium.
The motion occurs due to activity of ciliary dynein present on the peripheral microtubular doublets of the axoneme, with adenosine triphosphate (ATP) as the energy source. A ciliated cell of the trachea lining is estimated to have about 250 cilia.
Cilia
Each cilium is bounded by the cell membrane and contains an axoneme with a central pair of microtubules surrounded by nine peripheral microtubular pairs.
Cilia are inserted into basal bodies, which are electron-dense structures at the apical pole just below the cell membrane. Basal bodies have a structure similar to that of centrioles.













