Spondyloarthropathies
Spondyloarthropathias include the following Ankylosing spondylitis ,Reiter's syndrome or reactive arthritis ,Arthropathy of inflammatory bowel disease (Crohn's disease, ulcerative colitis) ,Psoriatic arthritis ,Undifferentiated spondyloarthropathies ,Juvenile chronic arthritis and juvenile-onset ankylosing spondylitis .Clinical Characteristics of Spondyloarthropathies are:
Typical pattern of peripheral arthritis—predominantly of lower limb, asymmetric Tendency toward radiographic sacroiliitis ,Absence of rheumatoid factor ,Absence of subcutaneous nodules and other extra-articular features of rheumatoid arthritis ,Overlapping extra-articular features characteristic of the group (e.g., anterior uveitis) ,Significant familial aggregation ,Association with HLA-B27.ankylosing spondylitis
CAUSE AND GENETICSThe precise cause of AS is still unclear, although several dominant themes have emerged.
HLA-B27
it has been estimated that B27 contributes only 16% of the total genetic risk The main function of HLA class I molecules such as B27 is to present peptides to CD8+ T cells.
ROLE OF BACTERIA
Bacteroides species, triggers the onset of both intestinal and joint inflammation. In humans, evidence of intestinal inflammation is present in up to 60% of AS patients.
PATHOLOGY
Characteristic pathologic features of AS include inflammation in axial joints, large peripheral joints, and entheses associated with inflammation in subchondral bone marrow. Reparation is also characteristic in terms of the development of chondroid metaplasia, followed by calcification of cartilage and formation of bone, particularly in the axial joints.SACROILIAC JOINT
Disease typically originates in the sacroiliac joints, where MRI reveals inflammation in the posteroinferior capsular region and subchondral bone of the synovial portion of the joint.
sacroiliac biopsies from AS patients at various stages of disease and controls showed cellular infiltration with lymphocytes, macrophages, and plasma cells in the synovium and subchondral marrow as the earliest features of disease .Later features include the development of pannus extending from both synovium and subchondral bone marrow, with erosion of articular cartilage and its replacement by granulation tissue.
SPINE
Chronic inflammation with lymphocytes, plasma cells, and macrophages is first observed in the outer annulus fibrosus, particularly at its insertion into the rim of the vertebral end plate. This leads to resorption of bone, followed by reparative changes in adjacent trabecular bone and bone apposition on the waist of the vertebral body during postinflammatory remodeling, accounting for the squaring and shining corner appearance on plain radiography. Cartilage metaplasia of granulation tissue is followed by its calcification and then replacement by bone at the vertebral margin and in the outer annulus. This extends across the vertical length of the disk, eventually leading to complete bony fusion of adjacent vertebrae and the appearance of a syndesmophyte on plain radiographyInflammation in nonarticular sites may involve the anterior uvea and ciliary body. Elsewhere, granulation tissue forms, with an accumulation of lymphocytes and plasma cells around the small blood vessels in the adventitia of the ascending aorta, followed by fibrosis extending below the base of the aortic valve to form a characteristic subvalvular ridge. Apical fibrosis of the lungs also occurs.
CLINICAL MANIFESTATIONS
Back pain is an extremely common symptom, occurring in up to 80% of the general population . Therefore, it is important to note that back pain in AS has special features that differentiate it from mechanical back pain.Inflammatory spinal pain characterised by:
Onset before age 40 yr
Insidious onset
Persistence for at least 3 mo
Morning stiffness of at least 30 min duration
Improvement with exercise but not with rest
Awakening because of back pain during second half of night
Chest pain
Alternate buttock pain
Other featuers of A.S are:
Acute anterior uveitis
Synovitis (predominantly of lower limbs, asymmetric)
Enthesitis (heel, plantar)
Radiographic sacroiliitis
Positive family history of Ankylosing spondylitis Chronic inflammatory bowel disease Psoriasis.
The girdle or “root” joints (hips and shoulders) are the most frequently involved extra-axial joints in AS, and pain in these areas is the presenting symptom in up to 15% of patients. Shoulder involvement, but especially hip involvement, may cause considerable physical disability.
Coexisting disease in the lumbar spine often contributes significantly to disability of the lower extremities. Hips and shoulders are involved at some stage of disease in up to 35% of patients.
Hip disease is relatively more common as a presenting manifestation if the disease starts in childhood (juvenile AS). In boys 8 to 10 years of age, hip disease as a manifestation of juvenile AS is the most frequent type of chronic arthritis.
These children with hip disease are mostly HLA-B27 positive, and they are serologically negative for antinuclear antibodies.
EXTRASKELETAL MANIFESTATIONS
Eye DiseaseAcute anterior uveitis or iridocyclitis is the most common extra-articular manifestation of AS, occurring in 25% to 30% of patients at some time during the course of the disease.
The onset of eye inflammation is usually acute and typically unilateral,
The eye is red and painful, with visual impairment. Photophobia and increased lacrimation may be present. If the eye remains untreated or if treatment is delayed, posterior synechiae and glaucoma may develop.
Cardiovascular Disease
Cardiac involvement may be clinically silent or may cause considerable problems. Manifestations of cardiac involvement include ascending aortitis, aortic valve incompetence, conduction abnormalities, cardiomegaly, and pericarditis. In rare situations, aortitis may precede other features of AS.Both aortic incompetence and cardiac conduction defects occur twice as often in patients with peripheral joint involvement.
Pulmonary Disease
Lung involvement is a rare and late manifestation of AS. It is characterized by slowly progressive fibrosis of the upper lobes of the lungs, appearing, on average, 2 decades after the onset of AS. Patients may complain of cough, dyspnea, and sometimes hemoptysis.
High-resolution computed tomography (CT) may be helpful in detecting interstitial lung disease in patients with respiratory symptoms
Neurologic Involvement
Causes of neurologic complications due to compression include ossification of the posterior longitudinal ligament (which may lead to compressive myelopathy), destructive intervertebral disk lesions, and spinal stenosis. The cauda equina syndrome is a rare but serious complication of long-standing AS.Renal Involvement
IgA nephropathy has been reported in many patients with AS.Microscopic hematuria and proteinuria may occur in up to 35% of patients.
Amyloidosis (secondary type) is a rare complication.
Osteoporosis also a feature.
By examination;Schober’s test, chest expantion, occiput to wall distance& sacro-iliac joint examination.
LABORATORY TESTS
A normal erythrocyte sedimentation rate (ESR) or normal C-reactive protein (CRP) level does not exclude active disease. An elevated ESR or CRP is reported in up to 75% of patients, but it may not correlate with clinical disease activity.A mild normochromic anemia may be present in 15% of patients. Elevation of serum alkaline phosphatase (derived primarily from bone)
is seen in some patients but is unrelated to disease activity or duration .Some elevation of serum IgA is frequent in AS.
Active disease is associated with decreased lipid levels, particularly high-density lipoprotein cholesterol, resulting in a more atherogenic lipid profile.
Diagnosis of AS
Proposed Criteria for Inflammatory Back Pain in Young to Middle-aged Adults with Chronic Back Pain:
Morning stiffness of at least 30 min duration
Improvement of back pain with exercise but not with rest
Awakening because of back pain during second half of night only
Alternating buttock pain
IMAGING STUDIES
The typical radiographic changes of AS are seen primarily in the axial skeleton, especially in the sacroiliac, discovertebral, apophyseal, costovertebral, and costotransverse joints.findings of sacroiliitis are usually symmetric and consist of blurring of the subchondral bone plate, followed by erosions and sclerosis of the adjacent bone
The changes in the synovial portion of the joint (i.e., the lower two thirds of the joint) result from inflammatory synovitis and osteitis of the adjacent subchondral bone.
Ultimately, usually after several years, there may be complete bony ankylosis of the sacroiliac joints.
Bony erosions particularly at the calcaneus, ischial tuberosities, iliac crest, femoral trochanters, supraspinatus insertion, and spinous processes of the vertebrae.
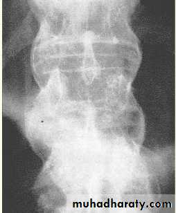
gradual ossification of the annulus fibrosus and eventual “bridging” between vertebrae by syndesmophytes. result in a virtually complete fusion of the vertebral column (“bamboo spine”).
COMPUTED TOMOGRAPHY AND MAGNETIC RESONANCE IMAGING
For the detection of bone changes, such as erosions and ankylosis, CT is usually considered superior to MRI, but MRI is better in the imaging of cartilage and provides the possibility of dynamic measurementsThey are more sensetive than plane X-ray but not used routinly
Bamboo spine
MANAGEMENT
Optimal management of AS requires a combination of nonpharmacologic and pharmacologic treatments.Corticosteroid injections directed to the local site of musculoskeletal inflammation may be considered. The use of systemic corticosteroids for axial disease is not supported by evidence.
PHYSIOTHERAPY
There is now ample evidence that physiotherapy in the form of exercises is effective, at least in the short term (up to 1 year), and particularly in groups of patients with AS(swimming) . Scientific evidence of long-term effectiveness is not yet available.In a randomized, controlled trial, a program of supervised physiotherapy in groups was found to be superior to individualized programs in improving thoracolumbar mobility and fitness.
MEDICATION
Nonsteroidal Anti-inflammatory DrugsMany NSAIDs are effective in patients with AS, and no NSAID has documented superiority in terms of efficacy. Selective cyclooxygenase-2 (COX-2) inhibitors have similar efficacy to conventional NSAIDs .A nonselective NSAID is appropriate for most patients with AS, who tend to be relatively young and without comorbidity. A COX-2 selective agent may be used in the presence of risk factors for peptic ulceration, although both categories of NSAIDs may exacerbate inflammatory bowel disease.
Second-Line Drugs
Although most of the second-line agents developed primarily for RA have been studied in AS, none can be considered disease controlling in AS.sulfasalazine
patients with (peripheral) polyarthritis had a significant but modest response early disease may be more responsive to therapy.
Methotrexate
Systemic steroids are of unproven benefit and are thought to be less effective than in RA
Bisphosphonate, pamidronate, given intravenously on a monthly basis for 6 months showed evidence of symptomatic efficacy, primarily in patients with only axial disease . However, this finding needs to be confirmed.
Thalidomide has been used in two open-label studies in AS because it enhances the degradation of TNF-α messenger RNA.
Bisphosphonat: patient should receive one of the bisphosphonat as Alindronate.
Tricyclic antidepresent(amtreptiline) also used in the treatment of AS.BIOLOGIC THERAPIES
anti–TNF-α therapies demonstrate response rates of 55% to 60% .virtually all patients relapse by 4 months after discontinuation of treatment . Significant improvement is also observed in function, spinal mobility, peripheral synovitis, enthesitis score, and quality of life. Sick leave and work disability are reduced. Response to treatment appears to be increased in those with high disease activity and worse in those with a long disease duration, impaired function, and no discernible evidence of inflammation on MRI.


